Suppr超能文献

缺氧诱导的 TGFBI 通过稳定 EphA2 维持神经胶质瘤干细胞。

Hypoxia-induced TGFBI maintains glioma stem cells by stabilizing EphA2.

机构信息

Department of General Intensive Care Unit, Department of Emergency Medicine, The First Affiliated Hospital of Zhengzhou University, Henan Engineering Research Center for Critical Care Medicine, Henan Key Laboratory of Critical Care Medicine, Henan Key Laboratory of Sepsis in Health Commission, Zhengzhou Key Laboratory of Sepsis, Henan Sepsis Diagnosis and Treatment Center, Zhengzhou, China.

Department of Neurosurgery, Tongji Hospital of Tongji Medical College, Huazhong University of Science and Technology, Wuhan, China.

出版信息

Theranostics. 2024 Sep 9;14(15):5778-5792. doi: 10.7150/thno.95141. eCollection 2024.

Abstract

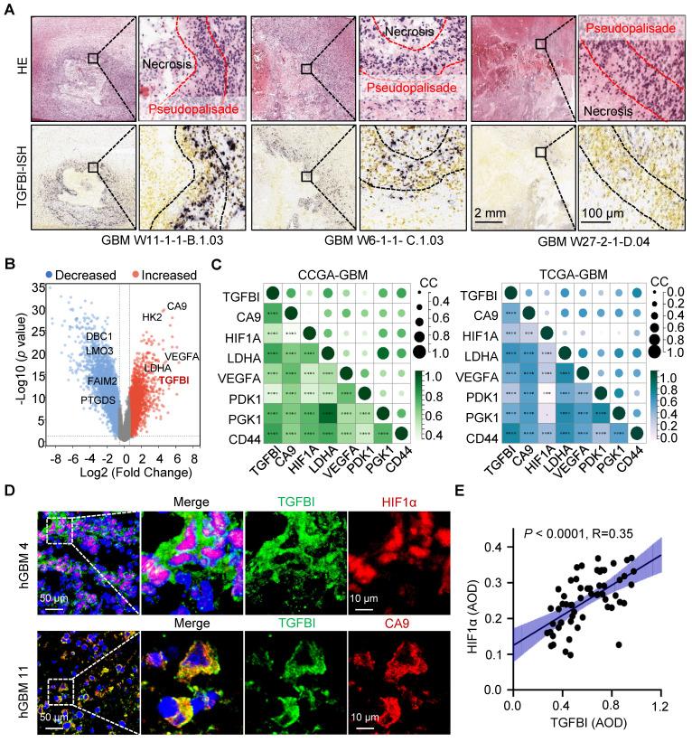
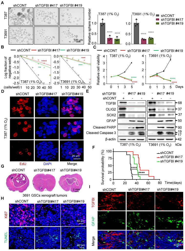
Glioma stem cells (GSCs) have emerged as pivotal drivers of tumor malignancy, sustained by various microenvironmental factors, including immune molecules and hypoxia. In our previous study, we elucidated the significant role of transforming growth factor beta-induced protein (TGFBI), a protein secreted by M2-like tumor-associated macrophages, in promoting the malignant behavior of glioblastoma (GBM) under normoxic conditions. Building upon these findings, the objective of this study was to comprehensively explore the crucial role and underlying mechanisms of autocrine TGFBI in GSCs under hypoxic conditions. We quantified TGFBI expression in glioma specimens and datasets. and assays were employed to investigate the effects of TGFBI on sustaining self-renewal and tumorigenesis of GSCs under hypoxia. RNA-seq and LC-MS/MS were conducted to explore TGFBI signaling mechanisms. TGFBI is preferentially expressed in GSCs under hypoxic conditions. Targeting TGFBI impair GSCs self-renewal and tumorigenesis. Mechanistically, TGFBI was upregulated by HIF1α in GSCs and predominantly activates the AKT-c-MYC signaling pathway in GSCs by stabilizing the EphA2 protein through preventing its degradation. TGFBI plays a crucial role in maintaining the stem cell properties of GSCs in the hypoxic microenvironment. Targeting the TGFBI/EphA2 axis emerges as a promising and innovative strategy for GBM treatment, with the potential to improve the clinical outcomes of patients.

摘要

神经胶质瘤干细胞(GSCs)已成为肿瘤恶性的关键驱动因素,受到多种微环境因素的支持,包括免疫分子和缺氧。在我们之前的研究中,我们阐明了转化生长因子β诱导蛋白(TGFBI)的重要作用,TGFBI 是 M2 样肿瘤相关巨噬细胞分泌的一种蛋白,它在常氧条件下促进胶质母细胞瘤(GBM)的恶性行为。基于这些发现,本研究的目的是全面探讨自分泌 TGFBI 在缺氧条件下对 GSCs 的关键作用和潜在机制。我们定量检测了胶质瘤标本和数据集的 TGFBI 表达。并进行了检测,以研究 TGFBI 对维持 GSCs 在缺氧下自我更新和致瘤性的影响。进行了 RNA-seq 和 LC-MS/MS 以探索 TGFBI 信号转导机制。TGFBI 在缺氧条件下优先在 GSCs 中表达。靶向 TGFBI 可损害 GSCs 的自我更新和致瘤性。在机制上,TGFBI 由 GSCs 中的 HIF1α 上调,并通过稳定 EphA2 蛋白来主要激活 GSCs 中的 AKT-c-MYC 信号通路,通过阻止其降解。TGFBI 在维持缺氧微环境中 GSCs 的干细胞特性方面起着关键作用。靶向 TGFBI/EphA2 轴是治疗 GBM 的一种有前途和创新的策略,有可能改善患者的临床结局。

https://cdn.ncbi.nlm.nih.gov/pmc/blobs/8bfe/11426234/bf346b000461/thnov14p5778g001.jpg

文献检索

告别复杂PubMed语法,用中文像聊天一样搜索,搜遍4000万医学文献。AI智能推荐,让科研检索更轻松。

立即免费搜索

文件翻译

保留排版,准确专业,支持PDF/Word/PPT等文件格式,支持 12+语言互译。

免费翻译文档

深度研究

AI帮你快速写综述,25分钟生成高质量综述,智能提取关键信息,辅助科研写作。

立即免费体验