• 文献检索
  • 文档翻译
  • 深度研究
  • 学术资讯
  • Suppr Zotero 插件Zotero 插件
  • 邀请有礼
  • 套餐&价格
  • 历史记录
应用&插件
Suppr Zotero 插件Zotero 插件浏览器插件Mac 客户端Windows 客户端微信小程序
定价
高级版会员购买积分包购买API积分包
服务
文献检索文档翻译深度研究API 文档MCP 服务
关于我们
关于 Suppr公司介绍联系我们用户协议隐私条款
关注我们

Suppr 超能文献

核心技术专利:CN118964589B侵权必究
粤ICP备2023148730 号-1Suppr @ 2026

文献检索

告别复杂PubMed语法,用中文像聊天一样搜索,搜遍4000万医学文献。AI智能推荐,让科研检索更轻松。

立即免费搜索

文件翻译

保留排版,准确专业,支持PDF/Word/PPT等文件格式,支持 12+语言互译。

免费翻译文档

深度研究

AI帮你快速写综述,25分钟生成高质量综述,智能提取关键信息,辅助科研写作。

立即免费体验

Rho GTP酶激活蛋白11A促进舌鳞状细胞癌增殖,并且是叉头框M1的转录靶点。

Rho GTPase activating protein 11A promotes tongue squamous cell carcinoma proliferation and is a transcriptional target of forkhead box M1.

作者信息

Zhang Weiwei, Bai Xueyan, Liu Tingting, Mao Yulong, Zhang Lingnan, Wang Wenlong, Yu Huanying

机构信息

Department of Orthodontics, Binzhou Medical University Hospital, Binzhou, China.

Department of Oral Medicine, Binzhou Medical University Hospital, Binzhou, China.

出版信息

J Dent Sci. 2024 Oct;19(4):2268-2277. doi: 10.1016/j.jds.2024.02.015. Epub 2024 Feb 29.

DOI:10.1016/j.jds.2024.02.015
PMID:39347089
原文链接:https://pmc.ncbi.nlm.nih.gov/articles/PMC11437295/
Abstract

BACKGROUND/PURPOSE: Rho GTPase activating protein 11A (ARHGAP11A) can facilitate GTP hydrolysis in RhoA. The functions of ARHGAP11A in oral squamous cell carcinoma (OSCC) have not yet been explored. This study aimed to investigate the expression profile of ARHGAP11A in OSCC, its correlation with patient prognosis, its effect on cell-cycle progression, and the mechanisms by which it is dysregulated.

MATERIALS AND METHODS

Bioinformatics analysis was conducted using data from The Cancer Genome Atlas-Head and Neck Squamous Cell Carcinoma (TCGA-HNSC). Lentiviruses carrying shRNAs were employed to determine the effects of knockdown on tumor cell proliferation and cell-cycle progression. Dual-luciferase reporter assays were utilized to examine how FOXM1 transcriptionally regulates expression.

RESULTS

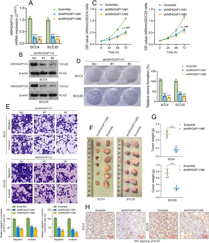
upregulation was associated with unfavorable overall survival (OS) in patients with TSCC (HR: 2.142, 95%CI: 1.224-3.749,  = 0.007), but not in patients with OSCC of sites other than the tongue. knockdown inhibited the proliferation of TSCC cells and , and induced G1 phase arrest. knockdown increased GTP-RhoA but decreased p-RB levels, while it did not affect the total expression of RhoA and RB. knockdown increased p27 and decreased cyclin E1 expression. is transcriptionally activated by FOXM1 via multiple FOXM1 binding sites in the promoter regions in TSCC cells.

CONCLUSION

This study revealed the oncogenic role of ARHGAP11A in TSCC, highlighting its impact on cell-cycle control and tumor proliferation. Furthermore, the regulatory relationship between FOXM1 and ARHGAP11A provides new insights into the transcriptional networks in TSCC.

摘要

背景/目的:Rho GTP酶激活蛋白11A(ARHGAP11A)可促进RhoA中的GTP水解。ARHGAP11A在口腔鳞状细胞癌(OSCC)中的功能尚未得到探索。本研究旨在调查ARHGAP11A在OSCC中的表达谱、其与患者预后的相关性、其对细胞周期进程的影响以及其失调的机制。

材料与方法

使用来自癌症基因组图谱-头颈部鳞状细胞癌(TCGA-HNSC)的数据进行生物信息学分析。携带短发夹RNA的慢病毒用于确定敲低对肿瘤细胞增殖和细胞周期进程的影响。双荧光素酶报告基因检测用于检查FOXM1如何转录调节表达。

结果

上调与舌鳞状细胞癌(TSCC)患者的不良总生存期(OS)相关(HR:2.142,95%CI:1.224 - 3.749,P = 0.007),但在舌以外部位的OSCC患者中无相关性。敲低抑制了TSCC细胞CAL27和SCC9的增殖,并诱导G1期阻滞。敲低增加了GTP-RhoA但降低了p-RB水平,而它不影响RhoA和RB的总表达。敲低增加了p27并降低了细胞周期蛋白E1的表达。在TSCC细胞中,FOXM1通过启动子区域中的多个FOXM1结合位点转录激活ARHGAP11A。

结论

本研究揭示了ARHGAP11A在TSCC中的致癌作用,突出了其对细胞周期控制和肿瘤增殖的影响。此外,FOXM1与ARHGAP11A之间的调控关系为TSCC中的转录网络提供了新的见解。

https://cdn.ncbi.nlm.nih.gov/pmc/blobs/449a/11437295/d402619c7b18/gr4.jpg
https://cdn.ncbi.nlm.nih.gov/pmc/blobs/449a/11437295/329caee34321/gr1.jpg
https://cdn.ncbi.nlm.nih.gov/pmc/blobs/449a/11437295/9248a5222109/gr2.jpg
https://cdn.ncbi.nlm.nih.gov/pmc/blobs/449a/11437295/55debb0887b2/gr3.jpg
https://cdn.ncbi.nlm.nih.gov/pmc/blobs/449a/11437295/d402619c7b18/gr4.jpg
https://cdn.ncbi.nlm.nih.gov/pmc/blobs/449a/11437295/329caee34321/gr1.jpg
https://cdn.ncbi.nlm.nih.gov/pmc/blobs/449a/11437295/9248a5222109/gr2.jpg
https://cdn.ncbi.nlm.nih.gov/pmc/blobs/449a/11437295/55debb0887b2/gr3.jpg
https://cdn.ncbi.nlm.nih.gov/pmc/blobs/449a/11437295/d402619c7b18/gr4.jpg

相似文献

1
Rho GTPase activating protein 11A promotes tongue squamous cell carcinoma proliferation and is a transcriptional target of forkhead box M1.Rho GTP酶激活蛋白11A促进舌鳞状细胞癌增殖,并且是叉头框M1的转录靶点。
J Dent Sci. 2024 Oct;19(4):2268-2277. doi: 10.1016/j.jds.2024.02.015. Epub 2024 Feb 29.
2
Expression and prognostic analysis of Rho GTPase-activating protein 11A in lung adenocarcinoma.Rho GTP酶激活蛋白11A在肺腺癌中的表达及预后分析
Ann Transl Med. 2021 May;9(10):872. doi: 10.21037/atm-21-2113.
3
Blockade of ARHGAP11A reverses malignant progress via inactivating Rac1B in hepatocellular carcinoma.阻断 ARHGAP11A 通过使 Rac1B 失活来逆转肝癌的恶性进展。
Cell Commun Signal. 2018 Dec 13;16(1):99. doi: 10.1186/s12964-018-0312-4.
4
FoxM1 promotes epithelial-mesenchymal transition, invasion, and migration of tongue squamous cell carcinoma cells through a c-Met/AKT-dependent positive feedback loop.FoxM1通过c-Met/AKT依赖性正反馈环促进舌鳞状细胞癌细胞的上皮-间质转化、侵袭和迁移。
Anticancer Drugs. 2018 Mar;29(3):216-226. doi: 10.1097/CAD.0000000000000585.
5
Rho GTPase Transcriptome Analysis Reveals Oncogenic Roles for Rho GTPase-Activating Proteins in Basal-like Breast Cancers.Rho GTP酶转录组分析揭示Rho GTP酶激活蛋白在基底样乳腺癌中的致癌作用。
Cancer Res. 2016 Jul 1;76(13):3826-37. doi: 10.1158/0008-5472.CAN-15-2923. Epub 2016 May 23.
6
LINC01207 promotes the progression of non-small cell lung cancer via regulating ARHGAP11A by sponging miR-525-5p.LINC01207 通过海绵吸附 miR-525-5p 调控 ARHGAP11A 促进非小细胞肺癌的进展。
Cancer Biomark. 2022;33(3):401-414. doi: 10.3233/CBM-203197.
7
Cyclin-dependent kinase 5 promotes the growth of tongue squamous cell carcinoma through the microRNA 513c-5p/cell division cycle 25B pathway and is associated with a poor prognosis.周期素依赖性激酶 5 通过 microRNA 513c-5p/细胞分裂周期 25B 通路促进舌鳞状细胞癌的生长,并与不良预后相关。
Cancer. 2022 May 1;128(9):1775-1786. doi: 10.1002/cncr.34136. Epub 2022 Feb 10.
8
Expression and effect of heterogeneous nuclear ribonucleoprotein A2/B1 in tongue squamous cell carcinoma.核不均一核糖核蛋白 A2/B1 在舌鳞癌中的表达及作用。
Zhong Nan Da Xue Xue Bao Yi Xue Ban. 2023 May 28;48(5):633-640. doi: 10.11817/j.issn.1672-7347.2023.220316.
9
Upregulation of far upstream element-binding protein 1 (FUBP1) promotes tumor proliferation and unfavorable prognosis in tongue squamous cell carcinoma.FUBP1 的上调促进舌鳞状细胞癌的肿瘤增殖和不良预后。
Int J Biol Markers. 2020 Jun;35(2):56-65. doi: 10.1177/1724600820912252. Epub 2020 Apr 27.
10
ARHGAP11A Promotes the Malignant Progression of Gastric Cancer by Regulating the Stability of Actin Filaments through TPM1.ARHGAP11A通过TPM1调节肌动蛋白丝的稳定性促进胃癌的恶性进展。
J Oncol. 2021 Dec 6;2021:4146910. doi: 10.1155/2021/4146910. eCollection 2021.

本文引用的文献

1
Preparation of human primary macrophages to study the polarization from monocyte-derived macrophages to pro- or anti-inflammatory macrophages at biomaterial interface .制备人原代巨噬细胞,以研究在生物材料界面处单核细胞衍生的巨噬细胞向促炎或抗炎巨噬细胞的极化。
J Dent Sci. 2023 Oct;18(4):1630-1637. doi: 10.1016/j.jds.2023.01.020. Epub 2023 Feb 13.
2
Proliferation-associated 2G4 P48 is stabilized by malignant T-cell amplified sequence 1 and promotes the proliferation of head and neck squamous cell carcinoma.增殖相关的2G4 P48由恶性T细胞扩增序列1稳定,并促进头颈部鳞状细胞癌的增殖。
J Dent Sci. 2023 Oct;18(4):1588-1597. doi: 10.1016/j.jds.2023.02.020. Epub 2023 Mar 7.
3
FOXM1-Mediated Regulation of Reactive Oxygen Species and Radioresistance in Oral Squamous Cell Carcinoma Cells.
FOXM1 介导的活性氧调节与口腔鳞状细胞癌细胞的放射抵抗性。
Lab Invest. 2023 May;103(5):100060. doi: 10.1016/j.labinv.2022.100060. Epub 2023 Jan 10.
4
Combined evaluation of both WEE1 and phosphorylated cyclin dependent kinase 1 expressions in oral squamous cell carcinomas predicts cancer recurrence and progression.联合评估口腔鳞状细胞癌中WEE1和磷酸化细胞周期蛋白依赖性激酶1的表达可预测癌症复发和进展。
J Dent Sci. 2022 Oct;17(4):1780-1787. doi: 10.1016/j.jds.2022.08.009. Epub 2022 Aug 26.
5
RHOA takes the RHOad less traveled to cancer.RHOA 选择了一条少有人走的通往癌症的路。
Trends Cancer. 2022 Aug;8(8):655-669. doi: 10.1016/j.trecan.2022.04.005. Epub 2022 May 12.
6
ARHGAP11A Is a Prognostic Biomarker and Correlated With Immune Infiltrates in Gastric Cancer.ARHGAP11A是一种预后生物标志物,与胃癌中的免疫浸润相关。
Front Mol Biosci. 2021 Oct 18;8:720645. doi: 10.3389/fmolb.2021.720645. eCollection 2021.
7
Cell cycle control in cancer.癌症中的细胞周期调控。
Nat Rev Mol Cell Biol. 2022 Jan;23(1):74-88. doi: 10.1038/s41580-021-00404-3. Epub 2021 Sep 10.
8
Relevance of pRB Loss in Human Malignancies.pRB 缺失与人类恶性肿瘤的相关性。
Clin Cancer Res. 2022 Jan 15;28(2):255-264. doi: 10.1158/1078-0432.CCR-21-1565. Epub 2021 Aug 18.
9
Expression and prognostic analysis of Rho GTPase-activating protein 11A in lung adenocarcinoma.Rho GTP酶激活蛋白11A在肺腺癌中的表达及预后分析
Ann Transl Med. 2021 May;9(10):872. doi: 10.21037/atm-21-2113.
10
Deregulation of extracellular matrix modeling with molecular prognostic markers revealed by transcriptome sequencing and validations in Oral Tongue squamous cell carcinoma.通过转录组测序和口腔舌鳞状细胞癌验证揭示的分子预后标志物对细胞外基质建模的调控失调。
Sci Rep. 2021 Jan 8;11(1):250. doi: 10.1038/s41598-020-78624-4.