Suppr超能文献

一名老年弥漫性大B细胞淋巴瘤患者在接受含利妥昔单抗治疗及具有胃腺癌自然病史情况下的长期无复发生存

Long-Term Recurrence-Free Survival of an Elderly Patient With Diffuse Large B-cell Lymphoma in the Setting of Rituximab-Containing Therapy and a Natural History of Gastric Adenocarcinoma.

作者信息

Kubo Toshiyuki, Adachi Yasushi, Yamamoto Satoshi, Sakai Toshiya, Goto Akira

机构信息

Department of Internal Medicine, Sapporo Shirakaba-dai Hospital, Sapporo, JPN.

Department of Hematology, Sapporo City General Hospital, Sapporo, JPN.

出版信息

Cureus. 2024 Aug 30;16(8):e68217. doi: 10.7759/cureus.68217. eCollection 2024 Aug.

Abstract

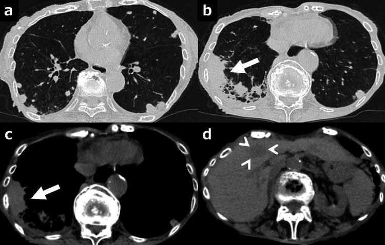
Diffuse large B-cell lymphoma (DLBCL) is a high-grade malignancy. We present a case of a 97-year-old female with gastric cancer and DLBCL in whom remission with rituximab-containing minimum chemotherapy was sustained for 10 years. As she had severe adverse effects, she refused further treatments for both tumors. Ten years after the initial treatment, examinations showed several tumors in the lungs, the right pleura, and the liver, as well as advanced gastric cancer. She eventually passed away, and the autopsy revealed that multiple tumors were not lymphoma, but adenocarcinoma. This case report is a valuable addition to the literature as it analyzes whether rituximab-containing minimum chemotherapy is effective for elderly DLBCL and delineates the natural history of gastric cancer.

摘要

弥漫性大B细胞淋巴瘤(DLBCL)是一种高度恶性肿瘤。我们报告一例97岁女性患者,患有胃癌和DLBCL,接受含利妥昔单抗的最小化化疗后缓解持续了10年。由于她出现了严重的不良反应,拒绝了针对两种肿瘤的进一步治疗。初始治疗10年后,检查发现肺部、右侧胸膜和肝脏有多处肿瘤,同时患有进展期胃癌。她最终去世,尸检显示多处肿瘤并非淋巴瘤,而是腺癌。本病例报告为文献增添了有价值的内容,因为它分析了含利妥昔单抗的最小化化疗对老年DLBCL是否有效,并描述了胃癌的自然病程。

https://cdn.ncbi.nlm.nih.gov/pmc/blobs/2732/11440006/9dec7a9fefa9/cureus-0016-00000068217-i01.jpg

文献AI研究员

20分钟写一篇综述,助力文献阅读效率提升50倍。

立即体验

用中文搜PubMed

大模型驱动的PubMed中文搜索引擎

马上搜索

文档翻译

学术文献翻译模型,支持多种主流文档格式。

立即体验