• 文献检索
  • 文档翻译
  • 深度研究
  • 学术资讯
  • Suppr Zotero 插件Zotero 插件
  • 邀请有礼
  • 套餐&价格
  • 历史记录
应用&插件
Suppr Zotero 插件Zotero 插件浏览器插件Mac 客户端Windows 客户端微信小程序
定价
高级版会员购买积分包购买API积分包
服务
文献检索文档翻译深度研究API 文档MCP 服务
关于我们
关于 Suppr公司介绍联系我们用户协议隐私条款
关注我们

Suppr 超能文献

核心技术专利:CN118964589B侵权必究
粤ICP备2023148730 号-1Suppr @ 2026

文献检索

告别复杂PubMed语法,用中文像聊天一样搜索,搜遍4000万医学文献。AI智能推荐,让科研检索更轻松。

立即免费搜索

文件翻译

保留排版,准确专业,支持PDF/Word/PPT等文件格式,支持 12+语言互译。

免费翻译文档

深度研究

AI帮你快速写综述,25分钟生成高质量综述,智能提取关键信息,辅助科研写作。

立即免费体验

鼻出血之外:一例罕见的异位鼻窦釉质型颅咽管瘤

Beyond Epistaxis: A Rare Case of Ectopic Sinonasal Adamantinomatous Craniopharyngioma.

作者信息

Selva Kumaran Kabilen, Shamsudin Nurul Syamiza, Dalip Singh Harvinder Singh, Devesahayam Philip Rajan

机构信息

Otolaryngology - Head and Neck Surgery, Hospital Raja Permaisuri Bainun, Ipoh, MYS.

Otolaryngology - Head and Neck Surgery, Hospital Tuanku Ja'afar, Seremban, MYS.

出版信息

Cureus. 2024 Sep 1;16(9):e68357. doi: 10.7759/cureus.68357. eCollection 2024 Sep.

DOI:10.7759/cureus.68357
PMID:39355486
原文链接:https://pmc.ncbi.nlm.nih.gov/articles/PMC11443304/
Abstract

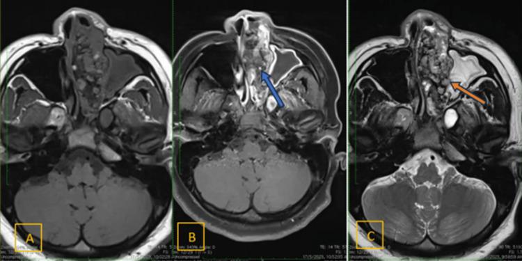
Adamantinomatous craniopharyngioma (ACP) is one of the two types of craniopharyngioma recognized by the World Health Organization (WHO), the other being papillary craniopharyngioma (PCP). These rare, benign tumours of the pituitary region are classified as Grade 1 central nervous system (CNS) tumours. ACP predominantly affects adolescents aged 5-15 years and adults over 50 years. It is usually located in the sellar and suprasellar regions. We present the case of an 18-year-old Malaysian female with a six-year history of persistent epistaxis and progressive nasal obstruction, an atypical presentation of ACP. This report highlights an entirely ectopic location of ACP in the sinonasal region. The tumour encompassed the left nasal cavity, the left anterior and posterior ethmoid sinuses, and the bilateral frontal sinuses. The unusual presentation of this tumour was detected with the aid of CT and MRI and confirmed by histopathological examination. In this case report, we discuss a rare presentation, an unusual location, and the strategies employed to overcome these challenges.

摘要

造釉细胞瘤型颅咽管瘤(ACP)是世界卫生组织(WHO)认可的两种颅咽管瘤类型之一,另一种是乳头型颅咽管瘤(PCP)。这些罕见的垂体区良性肿瘤被归类为1级中枢神经系统(CNS)肿瘤。ACP主要影响5至15岁的青少年和50岁以上的成年人。它通常位于鞍区和鞍上区。我们报告一例18岁马来西亚女性病例,有六年持续性鼻出血和进行性鼻塞病史,这是ACP的非典型表现。本报告强调了ACP在鼻窦区域完全异位的位置。肿瘤累及左侧鼻腔、左侧前后筛窦和双侧额窦。借助CT和MRI检测到该肿瘤的异常表现,并经组织病理学检查证实。在本病例报告中,我们讨论了一种罕见的表现、不寻常的位置以及为克服这些挑战所采用的策略。

https://cdn.ncbi.nlm.nih.gov/pmc/blobs/8f48/11443304/64ebebaff647/cureus-0016-00000068357-i09.jpg
https://cdn.ncbi.nlm.nih.gov/pmc/blobs/8f48/11443304/cac50b68729e/cureus-0016-00000068357-i01.jpg
https://cdn.ncbi.nlm.nih.gov/pmc/blobs/8f48/11443304/899fcebb21cc/cureus-0016-00000068357-i02.jpg
https://cdn.ncbi.nlm.nih.gov/pmc/blobs/8f48/11443304/0d14a1adec0e/cureus-0016-00000068357-i03.jpg
https://cdn.ncbi.nlm.nih.gov/pmc/blobs/8f48/11443304/3331d6b14ffe/cureus-0016-00000068357-i04.jpg
https://cdn.ncbi.nlm.nih.gov/pmc/blobs/8f48/11443304/806e361f618f/cureus-0016-00000068357-i05.jpg
https://cdn.ncbi.nlm.nih.gov/pmc/blobs/8f48/11443304/abdab1309647/cureus-0016-00000068357-i06.jpg
https://cdn.ncbi.nlm.nih.gov/pmc/blobs/8f48/11443304/c3c06eab3320/cureus-0016-00000068357-i07.jpg
https://cdn.ncbi.nlm.nih.gov/pmc/blobs/8f48/11443304/ad9951429da8/cureus-0016-00000068357-i08.jpg
https://cdn.ncbi.nlm.nih.gov/pmc/blobs/8f48/11443304/64ebebaff647/cureus-0016-00000068357-i09.jpg
https://cdn.ncbi.nlm.nih.gov/pmc/blobs/8f48/11443304/cac50b68729e/cureus-0016-00000068357-i01.jpg
https://cdn.ncbi.nlm.nih.gov/pmc/blobs/8f48/11443304/899fcebb21cc/cureus-0016-00000068357-i02.jpg
https://cdn.ncbi.nlm.nih.gov/pmc/blobs/8f48/11443304/0d14a1adec0e/cureus-0016-00000068357-i03.jpg
https://cdn.ncbi.nlm.nih.gov/pmc/blobs/8f48/11443304/3331d6b14ffe/cureus-0016-00000068357-i04.jpg
https://cdn.ncbi.nlm.nih.gov/pmc/blobs/8f48/11443304/806e361f618f/cureus-0016-00000068357-i05.jpg
https://cdn.ncbi.nlm.nih.gov/pmc/blobs/8f48/11443304/abdab1309647/cureus-0016-00000068357-i06.jpg
https://cdn.ncbi.nlm.nih.gov/pmc/blobs/8f48/11443304/c3c06eab3320/cureus-0016-00000068357-i07.jpg
https://cdn.ncbi.nlm.nih.gov/pmc/blobs/8f48/11443304/ad9951429da8/cureus-0016-00000068357-i08.jpg
https://cdn.ncbi.nlm.nih.gov/pmc/blobs/8f48/11443304/64ebebaff647/cureus-0016-00000068357-i09.jpg

相似文献

1
Beyond Epistaxis: A Rare Case of Ectopic Sinonasal Adamantinomatous Craniopharyngioma.鼻出血之外:一例罕见的异位鼻窦釉质型颅咽管瘤
Cureus. 2024 Sep 1;16(9):e68357. doi: 10.7759/cureus.68357. eCollection 2024 Sep.
2
A rare case of giant cystic adamantinomatous craniopharyngioma in an adult.一例罕见的成人巨大囊性造釉细胞瘤型颅咽管瘤。
Radiol Case Rep. 2020 Apr 30;15(7):846-849. doi: 10.1016/j.radcr.2020.04.022. eCollection 2020 Jul.
3
Infrasellar craniopharyngioma of the posterior nasal septum: a rare entity.鼻中隔后部鞍下颅咽管瘤:一种罕见的病症。
Med J Malaysia. 2012 Feb;67(1):131-2.
4
A Rare Case of Adamantinomatous Craniopharyngioma in an Adult.一例成人牙釉质型颅咽管瘤罕见病例
Cureus. 2022 Oct 6;14(10):e30000. doi: 10.7759/cureus.30000. eCollection 2022 Oct.
5
Craniopharyngioma involving the anterior, middle, and posterior cranial fossa in adults: A case report.成人颅咽管瘤累及前颅窝、中颅窝和后颅窝:一例报告
Front Neurol. 2023 Jan 26;14:1098600. doi: 10.3389/fneur.2023.1098600. eCollection 2023.
6
Papillary craniopharyngioma in a patient following resection of nonfunctioning pituitary adenoma: illustrative case.无功能垂体腺瘤切除术后患者的乳头型颅咽管瘤:病例说明
J Neurosurg Case Lessons. 2021 Jan 11;1(2):CASE2063. doi: 10.3171/CASE2063.
7
Ectopic Craniopharyngioma Recurrence: A Case Report and Literature Review.异位颅咽管瘤复发:一例报告及文献复习
Cureus. 2024 Sep 17;16(9):e69607. doi: 10.7759/cureus.69607. eCollection 2024 Sep.
8
Comparative immunohistochemical expression of β-catenin, EGFR, ErbB2, and p63 in adamantinomatous and papillary craniopharyngiomas.β-连环蛋白、表皮生长因子受体(EGFR)、ErbB2和p63在成釉细胞瘤型和乳头型颅咽管瘤中的免疫组化表达比较
J Egypt Natl Canc Inst. 2015 Sep;27(3):139-45. doi: 10.1016/j.jnci.2015.06.003. Epub 2015 Jul 18.
9
Characteristics and factors influencing hypothalamic pituitary dysfunction in patients with craniopharyngioma.颅咽管瘤患者下丘脑-垂体功能障碍的特征及影响因素。
Front Endocrinol (Lausanne). 2023 Jun 2;14:1180591. doi: 10.3389/fendo.2023.1180591. eCollection 2023.
10
Primary ectopic frontotemporal craniopharyngioma.原发性异位额颞部颅咽管瘤
Int J Surg Case Rep. 2015;9:57-60. doi: 10.1016/j.ijscr.2014.12.038. Epub 2015 Jan 8.

本文引用的文献

1
Craniopharyngioma: A comprehensive review of the clinical presentation, radiological findings, management, and future Perspective.颅咽管瘤:临床表现、影像学表现、治疗及未来展望的全面综述
Heliyon. 2024 May 31;10(11):e32112. doi: 10.1016/j.heliyon.2024.e32112. eCollection 2024 Jun 15.
2
Advances in the treatment of Adamantinomatous craniopharyngioma: How to balance tumor control and quality of life in the current environment: a narrative review.成釉细胞瘤型颅咽管瘤的治疗进展:在当前环境下如何平衡肿瘤控制与生活质量:一项叙述性综述
Front Oncol. 2023 Dec 21;13:1326595. doi: 10.3389/fonc.2023.1326595. eCollection 2023.
3
Adamantinomatous Craniopharyngioma in an Adult: A Case Report with NGS Analysis.
成人牙釉质型颅咽管瘤:一例NGS分析病例报告
Int Med Case Rep J. 2020 Apr 21;13:123-137. doi: 10.2147/IMCRJ.S243405. eCollection 2020.
4
Primary Ectopic Ethmoidal Craniopharyngioma.原发性异位筛窦颅咽管瘤
J Craniofac Surg. 2017 Jun;28(4):944-946. doi: 10.1097/SCS.0000000000003426.
5
Malignant Transformation of Craniopharyngioma without Radiation Therapy: Case Report and Review of the Literature.未接受放射治疗的颅咽管瘤恶变:病例报告及文献综述
J Korean Neurosurg Soc. 2017 Jan 1;60(1):108-113. doi: 10.3340/jkns.2015.0707.022. Epub 2016 Dec 29.
6
Extracranial infrasellar ectopic craniopharyngioma: a case report and review of the literature.颅外鞍下异位颅咽管瘤:一例报告并文献复习
Skull Base. 2010 Nov;20(6):475-80. doi: 10.1055/s-0030-1261269.
7
Ectopic craniopharyngioma.异位颅咽管瘤
Klin Padiatr. 2011 May;223(3):176-7. doi: 10.1055/s-0031-1273743. Epub 2011 Apr 1.
8
Nasal craniopharyngioma: case report and literature review.鼻颅咽管瘤:病例报告及文献综述
J Laryngol Otol. 2011 May;125(5):517-9. doi: 10.1017/S0022215110002938. Epub 2011 Jan 24.
9
The pathogenesis of craniopharyngiomas.颅咽管瘤的发病机制。
Childs Nerv Syst. 2005 Aug;21(8-9):622-7. doi: 10.1007/s00381-005-1190-9. Epub 2005 Jun 18.
10
MR differentiation of adamantinous and squamous-papillary craniopharyngiomas.成釉细胞瘤型和鳞状乳头型颅咽管瘤的磁共振成像鉴别诊断
AJNR Am J Neuroradiol. 1997 Jan;18(1):77-87.