• 文献检索
  • 文档翻译
  • 深度研究
  • 学术资讯
  • Suppr Zotero 插件Zotero 插件
  • 邀请有礼
  • 套餐&价格
  • 历史记录
应用&插件
Suppr Zotero 插件Zotero 插件浏览器插件Mac 客户端Windows 客户端微信小程序
定价
高级版会员购买积分包购买API积分包
服务
文献检索文档翻译深度研究API 文档MCP 服务
关于我们
关于 Suppr公司介绍联系我们用户协议隐私条款
关注我们

Suppr 超能文献

核心技术专利:CN118964589B侵权必究
粤ICP备2023148730 号-1Suppr @ 2026

文献检索

告别复杂PubMed语法,用中文像聊天一样搜索,搜遍4000万医学文献。AI智能推荐,让科研检索更轻松。

立即免费搜索

文件翻译

保留排版,准确专业,支持PDF/Word/PPT等文件格式,支持 12+语言互译。

免费翻译文档

深度研究

AI帮你快速写综述,25分钟生成高质量综述,智能提取关键信息,辅助科研写作。

立即免费体验

腹腔异位妊娠:一例未接受产前检查的罕见妊娠并发症病例报告

Abdominal Ectopic Pregnancy: A Case Report of an Uncommon Complication of Pregnancy Without Prenatal Care.

作者信息

Durden James A, Burleson Samuel L, Pigott David C, Gullett John P, Thompson Maxwell

机构信息

Emergency Medicine, University of Alabama at Birmingham School of Medicine, Birmingham, USA.

出版信息

Cureus. 2024 Sep 2;16(9):e68478. doi: 10.7759/cureus.68478. eCollection 2024 Sep.

DOI:10.7759/cureus.68478
PMID:39360090
原文链接:https://pmc.ncbi.nlm.nih.gov/articles/PMC11446606/
Abstract

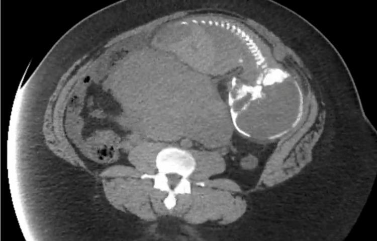
Ectopic pregnancy (EP) is a life-threatening condition requiring a high clinical suspicion. This diagnosis must be considered in all female patients of reproductive age presenting with abdominal pain or discomfort who may possibly be pregnant. Ectopic pregnancies occur in a small percentage of all pregnancies and are a significant cause of maternal morbidity and mortality. Abdominal ectopic pregnancy (AEP) is a rare and potentially fatal form of ectopic pregnancy where the implantation occurs in the abdominal cavity. We present the following case of a 23-year-old female who was transferred following an initial workup for abdominal pain and subsequently found to have an abdominal ectopic pregnancy at 37 weeks gestation. After transferring to our emergency department, the patient continued to have abdominal pain and her presenting FAST exam was positive for free fluid concerning for active hemorrhage and hematoma. Her clinical presentation was consistent with ruptured abdominal ectopic pregnancy, and she was taken to the operating room for emergent exploratory laparotomy and delivery. Her clinical course was complicated by adherent placenta and re-bleeding with significant hemoperitoneum requiring re-entry laparotomy and transfusion. We present the details of this case along with the diagnostic imaging and management of the rarely seen and life-threatening condition of secondary abdominal ectopic pregnancy (AEP).

摘要

异位妊娠(EP)是一种危及生命的情况,需要高度的临床怀疑。对于所有出现腹痛或不适且可能怀孕的育龄女性患者,都必须考虑这一诊断。异位妊娠在所有妊娠中占比很小,是孕产妇发病和死亡的重要原因。腹腔异位妊娠(AEP)是一种罕见且可能致命的异位妊娠形式,其着床发生在腹腔内。我们呈现以下病例:一名23岁女性,因最初的腹痛检查后被转诊,随后在妊娠37周时被发现患有腹腔异位妊娠。转入我们的急诊科后,患者持续腹痛,其床旁超声检查发现有游离液体,提示存在活动性出血和血肿。她的临床表现与腹腔异位妊娠破裂相符,于是被送往手术室进行紧急剖腹探查和分娩。她的临床过程因胎盘粘连和再次出血伴大量腹腔积血而复杂化,需要再次剖腹手术和输血。我们展示了该病例的详细情况以及继发性腹腔异位妊娠(AEP)这种罕见且危及生命状况的诊断影像学和处理方法。

https://cdn.ncbi.nlm.nih.gov/pmc/blobs/e22e/11446606/73331062a31c/cureus-0016-00000068478-i04.jpg
https://cdn.ncbi.nlm.nih.gov/pmc/blobs/e22e/11446606/af5de67c6286/cureus-0016-00000068478-i01.jpg
https://cdn.ncbi.nlm.nih.gov/pmc/blobs/e22e/11446606/b08cb4b8d93e/cureus-0016-00000068478-i02.jpg
https://cdn.ncbi.nlm.nih.gov/pmc/blobs/e22e/11446606/d8eda9806ff7/cureus-0016-00000068478-i03.jpg
https://cdn.ncbi.nlm.nih.gov/pmc/blobs/e22e/11446606/73331062a31c/cureus-0016-00000068478-i04.jpg
https://cdn.ncbi.nlm.nih.gov/pmc/blobs/e22e/11446606/af5de67c6286/cureus-0016-00000068478-i01.jpg
https://cdn.ncbi.nlm.nih.gov/pmc/blobs/e22e/11446606/b08cb4b8d93e/cureus-0016-00000068478-i02.jpg
https://cdn.ncbi.nlm.nih.gov/pmc/blobs/e22e/11446606/d8eda9806ff7/cureus-0016-00000068478-i03.jpg
https://cdn.ncbi.nlm.nih.gov/pmc/blobs/e22e/11446606/73331062a31c/cureus-0016-00000068478-i04.jpg

相似文献

1
Abdominal Ectopic Pregnancy: A Case Report of an Uncommon Complication of Pregnancy Without Prenatal Care.腹腔异位妊娠:一例未接受产前检查的罕见妊娠并发症病例报告
Cureus. 2024 Sep 2;16(9):e68478. doi: 10.7759/cureus.68478. eCollection 2024 Sep.
2
Abdominal ectopic pregnancy.腹腔妊娠。
BMJ Case Rep. 2023 Sep 29;16(9):e252960. doi: 10.1136/bcr-2022-252960.
3
Laparoscopic Management of Abdominal Pregnancy.腹腔镜下处理腹腔妊娠
J Minim Invasive Gynecol. 2017 Jul-Aug;24(5):724-725. doi: 10.1016/j.jmig.2017.01.023. Epub 2017 Feb 4.
4
Complicated abdominal pregnancy with placenta feeding off sacral plexus and subsequent multiple ectopic pregnancies during a 4-year follow-up: a case report.复杂腹腔妊娠伴胎盘附着于骶丛神经及4年随访期间继发多例异位妊娠:病例报告
J Med Case Rep. 2016 Feb 11;10:37. doi: 10.1186/s13256-016-0808-8.
5
Massive hemoperitoneum without peritoneal signs: An unusual presentation of omental ectopic rupture. A case report.无腹膜体征的大量腹腔积血:大网膜异位破裂的一种罕见表现。病例报告
Case Rep Womens Health. 2021 May 15;31:e00327. doi: 10.1016/j.crwh.2021.e00327. eCollection 2021 Jul.
6
Guidelines for the Management of a Pregnant Trauma Patient.妊娠创伤患者管理指南
J Obstet Gynaecol Can. 2015 Jun;37(6):553-74. doi: 10.1016/s1701-2163(15)30232-2.
7
Ruptured ovarian ectopic pregnancy presenting with an acute abdomen.破裂的卵巢异位妊娠伴急性腹痛。
BMJ Case Rep. 2022 Dec 19;15(12):e252499. doi: 10.1136/bcr-2022-252499.
8
Right abdominal pregnancy with hemorrhagic shock after previous left tubal pregnancy: A case report.既往左侧输卵管妊娠后右侧腹腔妊娠并失血性休克:一例报告
SAGE Open Med Case Rep. 2023 Jun 15;11:2050313X231180757. doi: 10.1177/2050313X231180757. eCollection 2023.
9
Spontaneous hemoperitoneum in the second and third trimester of pregnancy: two uncommon case reports at Tu Du Hospital, in Vietnam and a literature review.妊娠中晚期自发性腹腔内出血:越南图德医院两例罕见病例报告及文献综述
Int J Emerg Med. 2023 Apr 17;16(1):26. doi: 10.1186/s12245-023-00498-w.
10
Primary omental pregnancy after in vitro fertilization complicated by hemoperitoneum-how to manage it laparoscopically.体外受精后原发性卵巢妊娠并发腹腔积血的腹腔镜处理。
Fertil Steril. 2024 Feb;121(2):355-357. doi: 10.1016/j.fertnstert.2023.10.025. Epub 2023 Oct 29.

本文引用的文献

1
Abdominal ectopic pregnancy.腹腔妊娠。
BMJ Case Rep. 2023 Sep 29;16(9):e252960. doi: 10.1136/bcr-2022-252960.
2
Abdominal pregnancy: a case report and review of 17 cases.腹腔妊娠:17 例病例报告及回顾。
Arch Gynecol Obstet. 2023 Jan;307(1):263-274. doi: 10.1007/s00404-022-06570-9. Epub 2022 Apr 26.
3
Role of Abdominal Ultrasound and Magnetic Resonance Imaging in Pregnant Women Presenting With Acute Abdominal Pain.孕妇急腹症的腹部超声和磁共振成像作用。
Am Surg. 2022 Aug;88(8):1875-1878. doi: 10.1177/00031348221087914. Epub 2022 Apr 14.
4
Diagnosis and Management of Ectopic Pregnancy: A Comparative Review of Major National Guidelines.异位妊娠的诊断和管理:主要国家指南的比较综述。
Obstet Gynecol Surv. 2020 Oct;75(10):611-623. doi: 10.1097/OGX.0000000000000832.
5
Hemoperitoneum in advanced abdominal pregnancy with a live baby: a case report.晚期腹腔妊娠合并活胎伴腹腔积血:一例报告
BMC Res Notes. 2014 Feb 25;7:106. doi: 10.1186/1756-0500-7-106.
6
Full-term extrauterine abdominal pregnancy: a case report.足月宫外腹腔妊娠:一例病例报告。
J Med Case Rep. 2011 Oct 31;5:531. doi: 10.1186/1752-1947-5-531.
7
Primary abdominal ectopic pregnancy: a case report.原发性腹腔异位妊娠:一例报告
Cases J. 2009 Aug 7;2:8485. doi: 10.4076/1757-1626-2-8485.
8
Sites of ectopic pregnancy: a 10 year population-based study of 1800 cases.异位妊娠的发病部位:一项基于10年1800例病例的人群研究。
Hum Reprod. 2002 Dec;17(12):3224-30. doi: 10.1093/humrep/17.12.3224.
9
MR imaging and MR angiography of an abdominal pregnancy with placental infarction.胎盘梗死的腹腔妊娠的磁共振成像及磁共振血管造影
AJR Am J Roentgenol. 2001 Dec;177(6):1305-6. doi: 10.2214/ajr.177.6.1771305.
10
Secondary abdominal pregnancy.继发性腹腔妊娠。
Asia Oceania J Obstet Gynaecol. 1994 Jun;20(2):161-3. doi: 10.1111/j.1447-0756.1994.tb00443.x.