• 文献检索
  • 文档翻译
  • 深度研究
  • 学术资讯
  • Suppr Zotero 插件Zotero 插件
  • 邀请有礼
  • 套餐&价格
  • 历史记录
应用&插件
Suppr Zotero 插件Zotero 插件浏览器插件Mac 客户端Windows 客户端微信小程序
定价
高级版会员购买积分包购买API积分包
服务
文献检索文档翻译深度研究API 文档MCP 服务
关于我们
关于 Suppr公司介绍联系我们用户协议隐私条款
关注我们

Suppr 超能文献

核心技术专利:CN118964589B侵权必究
粤ICP备2023148730 号-1Suppr @ 2026

文献检索

告别复杂PubMed语法,用中文像聊天一样搜索,搜遍4000万医学文献。AI智能推荐,让科研检索更轻松。

立即免费搜索

文件翻译

保留排版,准确专业,支持PDF/Word/PPT等文件格式,支持 12+语言互译。

免费翻译文档

深度研究

AI帮你快速写综述,25分钟生成高质量综述,智能提取关键信息,辅助科研写作。

立即免费体验

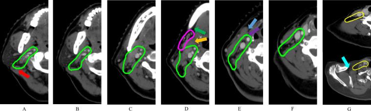
多中心数据集用于鼻咽癌淋巴结临床靶区勾画。

A multicenter dataset for lymph node clinical target volume delineation of nasopharyngeal carcinoma.

机构信息

Department of Radiation Oncology, Radiation Oncology Key Laboratory of Sichuan Province, Sichuan Clinical Research Center for Cancer, Sichuan Cancer Hospital and Institute. Sichuan Cancer Center, Affiliated Cancer Hospital of University of Electronic Science and Technology of China, Chengdu, China.

School of Mechanical and Electrical Engineering, University of Electronic Science and Technology of China, Chengdu, China.

出版信息

Sci Data. 2024 Oct 4;11(1):1085. doi: 10.1038/s41597-024-03890-0.

DOI:10.1038/s41597-024-03890-0
PMID:39366975
原文链接:https://pmc.ncbi.nlm.nih.gov/articles/PMC11452638/
Abstract

The deep learning (DL)-based prediction of accurate lymph node (LN) clinical target volumes (CTVs) for nasopharyngeal carcinoma (NPC) radiotherapy (RT) remains challenging. One of the main reasons is the variability of contours despite standardization processes by expert guidelines in combination with scarce data sharing in the community. Therefore, we retrospectively generated a 262-subjects dataset from four centers to develop the DL models for LN CTVs delineation. This dataset included 440 computed tomography images from different scanning phases, disease stages and treatment strategies. Three clinical expert boards, each comprising two experts (totalling six experts), manually delineated six basic LN CTVs on separate cohorts as the ground truth according to LN involvement and clinical requirements. Several state-of-the-art segmentation algorithms were evaluated on this benchmark, showing promising results for LN CTV segmentation. In conclusion, this work built a multicenter LN CTV segmentation dataset, which may be the first dataset for automatic LN CTV delineation development and evaluation, serving as a benchmark for future research.

摘要

深度学习(DL)在预测鼻咽癌(NPC)放疗的准确淋巴结(LN)临床靶区(CTV)方面仍然具有挑战性。其中一个主要原因是,尽管有专家指南的标准化流程以及社区内数据共享的缺乏,但轮廓的可变性仍然存在。因此,我们从四个中心回顾性地生成了一个包含 262 个病例的数据集,用于开发 LNCTV 勾画的 DL 模型。该数据集包括来自不同扫描阶段、疾病阶段和治疗策略的 440 张 CT 图像。三个临床专家委员会,每个委员会由两名专家组成(共计 6 名专家),根据 LN 的受累情况和临床要求,在单独的队列上对六个基本 LNCTV 进行了手动勾画,作为金标准。在这个基准上评估了几种最先进的分割算法,它们在 LNCTV 分割方面显示出了很有前景的结果。总之,这项工作构建了一个多中心的 LNCTV 分割数据集,这可能是第一个用于自动 LNCTV 勾画开发和评估的数据集,可为未来的研究提供基准。

https://cdn.ncbi.nlm.nih.gov/pmc/blobs/6acc/11452638/11c50b55caea/41597_2024_3890_Fig4_HTML.jpg
https://cdn.ncbi.nlm.nih.gov/pmc/blobs/6acc/11452638/40d906555012/41597_2024_3890_Fig1_HTML.jpg
https://cdn.ncbi.nlm.nih.gov/pmc/blobs/6acc/11452638/a43179b43f9f/41597_2024_3890_Fig2_HTML.jpg
https://cdn.ncbi.nlm.nih.gov/pmc/blobs/6acc/11452638/ae906a11b090/41597_2024_3890_Fig3_HTML.jpg
https://cdn.ncbi.nlm.nih.gov/pmc/blobs/6acc/11452638/11c50b55caea/41597_2024_3890_Fig4_HTML.jpg
https://cdn.ncbi.nlm.nih.gov/pmc/blobs/6acc/11452638/40d906555012/41597_2024_3890_Fig1_HTML.jpg
https://cdn.ncbi.nlm.nih.gov/pmc/blobs/6acc/11452638/a43179b43f9f/41597_2024_3890_Fig2_HTML.jpg
https://cdn.ncbi.nlm.nih.gov/pmc/blobs/6acc/11452638/ae906a11b090/41597_2024_3890_Fig3_HTML.jpg
https://cdn.ncbi.nlm.nih.gov/pmc/blobs/6acc/11452638/11c50b55caea/41597_2024_3890_Fig4_HTML.jpg

相似文献

1
A multicenter dataset for lymph node clinical target volume delineation of nasopharyngeal carcinoma.多中心数据集用于鼻咽癌淋巴结临床靶区勾画。
Sci Data. 2024 Oct 4;11(1):1085. doi: 10.1038/s41597-024-03890-0.
2
Level Ib CTV delineation in nasopharyngeal carcinoma based on lymph node distribution and topographic anatomy.基于淋巴结分布和解剖部位的鼻咽癌 Ib 区CTV 勾画。
Radiother Oncol. 2022 Jul;172:10-17. doi: 10.1016/j.radonc.2022.04.026. Epub 2022 Apr 29.
3
Risk factors and distribution features of level IB lymph nodes metastasis in nasopharyngeal carcinoma.鼻咽癌IB期淋巴结转移的危险因素及分布特征
Auris Nasus Larynx. 2019 Jun;46(3):457-464. doi: 10.1016/j.anl.2018.10.012. Epub 2018 Dec 6.
4
Delineation of Neck Clinical Target Volume Specific to Nasopharyngeal Carcinoma Based on Lymph Node Distribution and the International Consensus Guidelines.基于淋巴结分布和国际共识指南的鼻咽癌颈部临床靶区勾画。
Int J Radiat Oncol Biol Phys. 2018 Mar 15;100(4):891-902. doi: 10.1016/j.ijrobp.2017.11.004. Epub 2017 Nov 8.
5
Automatic clinical target volume delineation for cervical cancer in CT images using deep learning.基于深度学习的 CT 图像中宫颈癌自动临床靶区勾画。
Med Phys. 2021 Jul;48(7):3968-3981. doi: 10.1002/mp.14898. Epub 2021 May 19.
6
Distribution pattern and prognosis of metastatic lymph nodes in cervical posterior to level V in nasopharyngeal carcinoma patients.鼻咽癌患者颈 V 水平后区转移性淋巴结的分布模式与预后。
BMC Cancer. 2020 Jul 17;20(1):667. doi: 10.1186/s12885-020-07146-z.
7
Quantitative parameter analysis of pretreatment dual-energy computed tomography in nasopharyngeal carcinoma cervical lymph node characteristics and prediction of radiotherapy sensitivity.鼻咽癌颈部淋巴结特征的预处理双能 CT 定量参数分析及放疗敏感性预测。
Radiat Oncol. 2024 Jun 26;19(1):81. doi: 10.1186/s13014-024-02468-9.
8
Interobserver variations in the delineation of target volumes and organs at risk and their impact on dose distribution in intensity-modulated radiation therapy for nasopharyngeal carcinoma.调强放射治疗鼻咽癌时,靶区和危及器官勾画的观察者间变异性及其对剂量分布的影响。
Oral Oncol. 2018 Jul;82:1-7. doi: 10.1016/j.oraloncology.2018.04.025. Epub 2018 May 3.
9
Lymph drainage and cervical fascia anatomy-oriented differential nodal CTV delineation at the supraclavicular region for esophageal cancer and nasopharyngeal cancer.胸锁乳突肌肌间沟区域内淋巴引流与颈筋膜解剖导向的食管癌和鼻咽癌差异性淋巴结CTV 勾画。
Radiother Oncol. 2022 Dec;177:113-120. doi: 10.1016/j.radonc.2022.10.036. Epub 2022 Nov 3.
10
Post-induction lymph node delineation in nasopharyngeal cancer: A single-center experience.鼻咽癌诱导化疗后淋巴结勾画:单中心经验
Head Neck. 2023 Mar;45(3):612-619. doi: 10.1002/hed.27274. Epub 2022 Dec 12.

引用本文的文献

1
Multicentre evaluation of deep learning CT autosegmentation of the head and neck region for radiotherapy.用于放射治疗的头颈部区域深度学习CT自动分割的多中心评估。
NPJ Digit Med. 2025 May 27;8(1):312. doi: 10.1038/s41746-025-01624-z.

本文引用的文献

1
Comprehensive Evaluation of a Deep Learning Model for Automatic Organs-at-Risk Segmentation on Heterogeneous Computed Tomography Images for Abdominal Radiation Therapy.用于腹部放射治疗的异构计算机断层扫描图像上自动危及器官分割的深度学习模型的综合评估
Int J Radiat Oncol Biol Phys. 2023 Nov 15;117(4):994-1006. doi: 10.1016/j.ijrobp.2023.05.034. Epub 2023 May 26.
2
Deep learning for automatic head and neck lymph node level delineation provides expert-level accuracy.用于自动对头颈部淋巴结水平进行划分的深度学习具有专家级的准确性。
Front Oncol. 2023 Feb 16;13:1115258. doi: 10.3389/fonc.2023.1115258. eCollection 2023.
3
Upper-Neck Versus Whole-Neck Irradiation at the Contralateral Uninvolved Neck in Patients With Unilateral N3 Nasopharyngeal Carcinoma.
单侧 N3 期鼻咽癌患者对侧未累及颈行上颈部与全颈部放疗的比较。
Int J Radiat Oncol Biol Phys. 2023 Jul 15;116(4):788-796. doi: 10.1016/j.ijrobp.2022.12.041. Epub 2022 Dec 31.
4
WORD: A large scale dataset, benchmark and clinical applicable study for abdominal organ segmentation from CT image.一个用于 CT 图像腹部器官分割的大规模数据集、基准和临床适用研究。
Med Image Anal. 2022 Nov;82:102642. doi: 10.1016/j.media.2022.102642. Epub 2022 Sep 30.
5
The Medical Segmentation Decathlon.医学分割十项全能
Nat Commun. 2022 Jul 15;13(1):4128. doi: 10.1038/s41467-022-30695-9.
6
Level Ib CTV delineation in nasopharyngeal carcinoma based on lymph node distribution and topographic anatomy.基于淋巴结分布和解剖部位的鼻咽癌 Ib 区CTV 勾画。
Radiother Oncol. 2022 Jul;172:10-17. doi: 10.1016/j.radonc.2022.04.026. Epub 2022 Apr 29.
7
Automatic Delineation of Gross Tumor Volume Based on Magnetic Resonance Imaging by Performing a Novel Semisupervised Learning Framework in Nasopharyngeal Carcinoma.基于磁共振成像的鼻咽癌自动勾画大体肿瘤体积的新型半监督学习框架。
Int J Radiat Oncol Biol Phys. 2022 Jul 15;113(4):893-902. doi: 10.1016/j.ijrobp.2022.03.031. Epub 2022 Apr 3.
8
Elective upper-neck versus whole-neck irradiation of the uninvolved neck in patients with nasopharyngeal carcinoma: an open-label, non-inferiority, multicentre, randomised phase 3 trial.选择性上颈部与不涉及颈部的全颈部照射治疗鼻咽癌患者的疗效比较:一项开放标签、非劣效性、多中心、随机 3 期临床试验。
Lancet Oncol. 2022 Apr;23(4):479-490. doi: 10.1016/S1470-2045(22)00058-4. Epub 2022 Feb 28.
9
A deep learning-based auto-segmentation system for organs-at-risk on whole-body computed tomography images for radiation therapy.一种基于深度学习的用于放射治疗的全身计算机断层扫描图像上危及器官自动分割系统。
Radiother Oncol. 2021 Jul;160:175-184. doi: 10.1016/j.radonc.2021.04.019. Epub 2021 May 4.
10
Generating High-Quality Lymph Node Clinical Target Volumes for Head and Neck Cancer Radiation Therapy Using a Fully Automated Deep Learning-Based Approach.使用基于深度学习的全自动方法生成头颈部癌症放射治疗的高质量淋巴结临床靶区。
Int J Radiat Oncol Biol Phys. 2021 Mar 1;109(3):801-812. doi: 10.1016/j.ijrobp.2020.10.005. Epub 2020 Oct 14.