Suppr超能文献

1型神经纤维瘤病患者并发十二指肠壶腹神经内分泌肿瘤和胃肠道间质瘤:一例报告

Duodenal ampulla neuroendocrine tumor and gastrointestinal stromal tumors in a case of neurofibromatosis type 1: a case report.

作者信息

Zhang Tingting, Yang Nanmu, Zheng Peng, Chen Jiaqi, Meng Bo, Wang Yi, Qiu Dapeng, Zhang Xianzhou, Han Feng, Zhuang Hao, Zheng Lu

机构信息

Department of Hepatobiliopancreatic Surgery, The Affiliated Cancer Hospital of Zhengzhou University and Henan Cancer Hospital, Zhengzhou, China.

Department of Pathology, The Affiliated Cancer Hospital of Zhengzhou University and Henan Cancer Hospital, Zhengzhou, China.

出版信息

Front Oncol. 2024 Sep 30;14:1336539. doi: 10.3389/fonc.2024.1336539. eCollection 2024.

Abstract

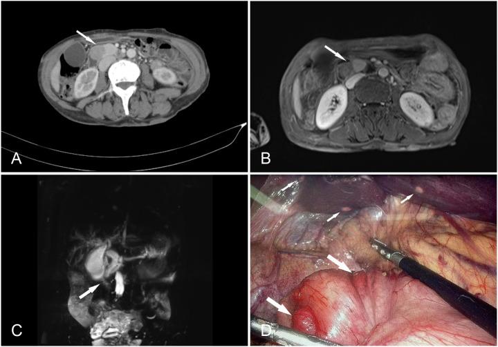
Neurofibromatosis type 1 (NF-1) is commonly associated with a variety of rare tumors. However, no case of multiple gastric gastrointestinal stromal tumors (GISTs) or duodenal ampulla neuroendocrine tumors (NETs) with multiple liver metastases in a patient with NF-1 has yet been reported. Here, we describe a case of a 55-year-old female patient with NF-1 whose serum Pro-Gastrin-Releasing Peptide (pro-GRP) levels were elevated. Gastrointestinal endoscopy and biopsy showed duodenal papilla space-occupying mass, and the pathological diagnosis turned out to be neuroendocrine tumors (NETs). During surgical exploration, multiple tumors were found on the serosal surface of the stomach and numerous miliary metastases in the liver. Following histopathological examination, it was determined that the liver metastases were NF-1 and the tumors in the gastric wall were GISTs. The patient benefited from targeted therapy and had an uneventful hospital stay. In this case, we emphasize treating patients with neurofibromatosis type 1 who exhibit abdominal symptoms with a high degree of clinical suspicion and performing thorough evaluations to rule out multiple tumors.

摘要

1型神经纤维瘤病(NF-1)通常与多种罕见肿瘤相关。然而,尚未有关于1型神经纤维瘤病患者出现多发胃胃肠道间质瘤(GISTs)或十二指肠壶腹神经内分泌肿瘤(NETs)并伴有多发肝转移的病例报道。在此,我们描述了一名55岁患有NF-1的女性患者,其血清胃泌素释放肽前体(pro-GRP)水平升高。胃肠内镜检查及活检显示十二指肠乳头占位性肿块,病理诊断为神经内分泌肿瘤(NETs)。手术探查时,在胃浆膜表面发现多个肿瘤,肝脏有大量粟粒样转移灶。经组织病理学检查,确定肝脏转移灶为NF-1,胃壁肿瘤为GISTs。该患者受益于靶向治疗,住院期间病情平稳。在此病例中,我们强调对于出现腹部症状的1型神经纤维瘤病患者要高度临床怀疑,并进行全面评估以排除多发肿瘤。

https://cdn.ncbi.nlm.nih.gov/pmc/blobs/1c3c/11471724/c88e63ed74a0/fonc-14-1336539-g001.jpg

文献检索

告别复杂PubMed语法,用中文像聊天一样搜索,搜遍4000万医学文献。AI智能推荐,让科研检索更轻松。

立即免费搜索

文件翻译

保留排版,准确专业,支持PDF/Word/PPT等文件格式,支持 12+语言互译。

免费翻译文档

深度研究

AI帮你快速写综述,25分钟生成高质量综述,智能提取关键信息,辅助科研写作。

立即免费体验