Suppr超能文献

阑尾腔内:一例病例报告。

in the Appendiceal Lumen: A Case Report.

作者信息

Razzaghi Mehta, Rezaei Hosna, Mohammadi Farshid, Salehi Amir Mohammad

机构信息

Clinical Research Development Unit of Besat Hospital, Hamadan University of Medical Sciences, Hamadan, Iran.

Internal Medicine, Clinical Research Development Unit of Shahid Beheshti Hospital, Hamadan University of Medical Science, Hamadan, Iran.

出版信息

Case Rep Surg. 2024 Oct 15;2024:7806541. doi: 10.1155/2024/7806541. eCollection 2024.

Abstract

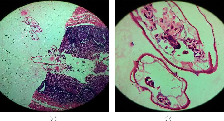
is a common parasitic infection worldwide. Acute appendicitis (AA) is a frequently encountered condition in general surgery; however, its association with remains controversial. AA caused by is a relatively uncommon infection that primarily affects children. We reported a 21-year-old female who was admitted to our hospital due to right lower quadrant abdominal tenderness. Laboratory tests and imaging were not consistent with AA. She underwent a diagnostic laparoscopy and appendectomy. Histopathological examinations revealed the presence of in the lumen of the appendix, which caused its obstruction without evidence of inflammatory cell infiltration or lymphoid hyperplasia.

摘要

是一种全球常见的寄生虫感染。急性阑尾炎(AA)是普通外科常见病症;然而,其与 的关联仍存在争议。由 引起的AA是一种相对罕见的感染,主要影响儿童。我们报告了一名21岁女性,因右下腹压痛入院。实验室检查和影像学检查结果与AA不符。她接受了诊断性腹腔镜检查和阑尾切除术。组织病理学检查显示阑尾腔内存在 ,导致阑尾梗阻,但无炎症细胞浸润或淋巴样增生迹象。

https://cdn.ncbi.nlm.nih.gov/pmc/blobs/59b7/11496576/e2300c65ab15/CRIS2024-7806541.001.jpg

文献检索

告别复杂PubMed语法,用中文像聊天一样搜索,搜遍4000万医学文献。AI智能推荐,让科研检索更轻松。

立即免费搜索

文件翻译

保留排版,准确专业,支持PDF/Word/PPT等文件格式,支持 12+语言互译。

免费翻译文档

深度研究

AI帮你快速写综述,25分钟生成高质量综述,智能提取关键信息,辅助科研写作。

立即免费体验