Suppr超能文献

毛霉菌病诊断方法的最新进展

Recent Advances in Diagnostic Approaches for Mucormycosis.

作者信息

Safiia Jawad, Díaz Marco Aurelio, Alshaker Hassan, Atallah Christine J, Sakr Paul, Moshovitis Dimitrios G, Nawlo Ahmad, Franceschi Andres E, Liakos Alexis, Koo Sophia

机构信息

Brigham and Women's Hospital, Boston, MA 02115, USA.

Dana-Farber Cancer Institute, Boston, MA 02215, USA.

出版信息

J Fungi (Basel). 2024 Oct 19;10(10):727. doi: 10.3390/jof10100727.

Abstract

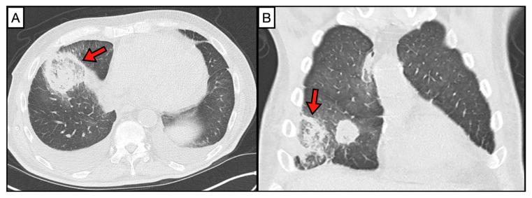
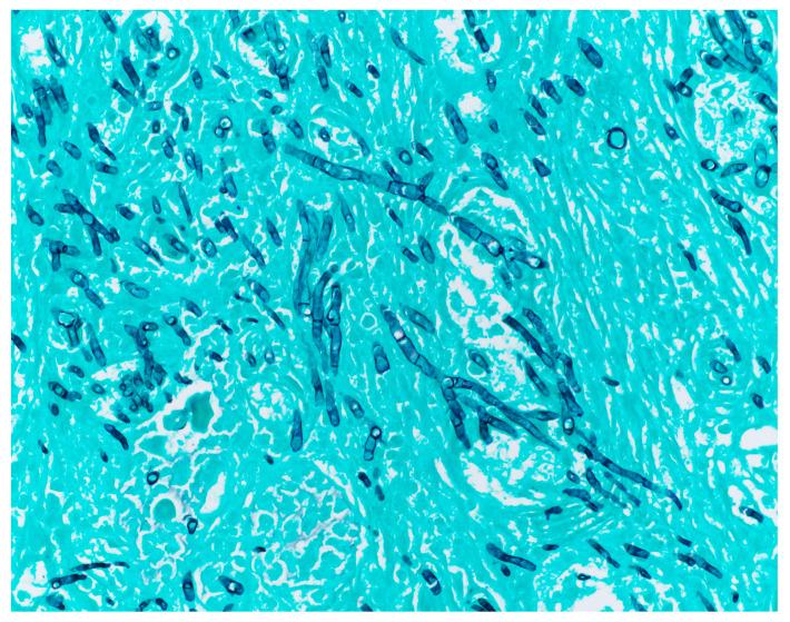
Mucormycosis, an invasive fungal infection caused by members of the order Mucorales, often progresses fulminantly if not recognized in a timely manner. This comprehensive review discusses the latest developments in diagnostic approaches for mucormycosis, from traditional histopathology and culture-based methods to advanced and emerging techniques such as molecular assays, imaging, serology, and metabolomics. We discuss challenges in the diagnosis of mucormycosis and emphasize the importance of rapid and accurate identification of this life-threatening infection.

摘要

毛霉病是一种由毛霉目真菌引起的侵袭性真菌感染,如果不能及时识别,通常会迅速发展。这篇综述讨论了毛霉病诊断方法的最新进展,从传统的组织病理学和基于培养的方法到先进的新兴技术,如分子检测、影像学、血清学和代谢组学。我们讨论了毛霉病诊断中的挑战,并强调了快速准确识别这种危及生命的感染的重要性。

https://cdn.ncbi.nlm.nih.gov/pmc/blobs/bea0/11509022/ab7ce8380042/jof-10-00727-g001.jpg

文献检索

告别复杂PubMed语法,用中文像聊天一样搜索,搜遍4000万医学文献。AI智能推荐,让科研检索更轻松。

立即免费搜索

文件翻译

保留排版,准确专业,支持PDF/Word/PPT等文件格式,支持 12+语言互译。

免费翻译文档

深度研究

AI帮你快速写综述,25分钟生成高质量综述,智能提取关键信息,辅助科研写作。

立即免费体验