Suppr超能文献

成人肝毛霉病的异质性表现:一例病例报告及文献综述

The Heterogenous Presentation of Hepatic Mucormycosis in Adults: A Case Report and Review of the Literature.

作者信息

Allos Hazim, Hicklen Rachel S, Matsuo Takahiro, Adachi Javier, Wurster Sebastian, Kontoyiannis Dimitrios P

机构信息

Department of Infectious Diseases, Infection Control and Employee Health, The University of Texas MD Anderson Cancer Center, Houston, TX 77030, USA.

Research Medical Library, The University of Texas MD Anderson Cancer Center, Houston, TX 77030, USA.

出版信息

J Fungi (Basel). 2025 May 26;11(6):408. doi: 10.3390/jof11060408.

Abstract

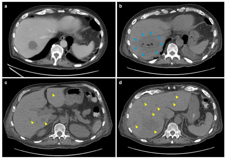
Hepatic mucormycosis is a rare but often fatal opportunistic fungal infection, primarily affecting immunocompromised patients. Herein, we report such a case from MD Anderson Cancer Center (Houston, TX, USA) and systematically review published cases in patients ≥ 19 years of age to better characterize clinical presentation, diagnostic challenges, and treatment outcomes of hepatic mucormycosis. Among the 40 identified cases (including ours), hematologic malignancies (55%) and solid organ transplantation (30%) were the most common underlying conditions. Fever (70%) and abdominal pain (63%) were the predominant symptoms. Imaging revealed multiple hepatic lesions in 72% of cases. Diagnosis was primarily based on histopathology (73%), whereas culture positivity was low (36%), underscoring the difficulty of pathogen isolation. Mucorales-active antifungal therapy was often delayed but eventually used in 85% of cases (all amphotericin B +/- Mucorales-active triazoles), while 45% underwent additional surgical intervention. Despite treatment, 1-year all-cause mortality remained high at 46%, with a trend towards lower mortality for those who underwent surgery compared to non-surgical management (35% vs. 55%, = 0.334). These findings highlight the aggressive nature of hepatic mucormycosis and the importance of early recognition as well as the need for non-culture-based diagnostics and multimodal treatment approaches. Improved awareness and further research into optimized management strategies are crucial to improve the outcomes of this challenging infection.

摘要

肝毛霉病是一种罕见但往往致命的机会性真菌感染,主要影响免疫功能低下的患者。在此,我们报告了美国德克萨斯州休斯顿市MD安德森癌症中心的这样一个病例,并系统回顾了19岁及以上患者中已发表的病例,以更好地描述肝毛霉病的临床表现、诊断挑战和治疗结果。在40例确诊病例(包括我们的病例)中,血液系统恶性肿瘤(55%)和实体器官移植(30%)是最常见的基础疾病。发热(70%)和腹痛(63%)是主要症状。72%的病例影像学检查显示肝脏有多个病变。诊断主要基于组织病理学(73%),而培养阳性率较低(36%),这凸显了病原体分离的困难。对毛霉目有效的抗真菌治疗常常延迟,但最终85%的病例使用了该治疗(均为两性霉素B±对毛霉目有效的三唑类药物),同时45%的病例接受了额外的手术干预。尽管进行了治疗,但1年全因死亡率仍高达46%,与非手术治疗相比,接受手术治疗的患者死亡率有降低趋势(35%对55%,P = 0.334)。这些发现突出了肝毛霉病的侵袭性、早期识别的重要性以及对非培养诊断和多模式治疗方法的需求。提高认识并进一步研究优化管理策略对于改善这种具有挑战性的感染的治疗结果至关重要。

https://cdn.ncbi.nlm.nih.gov/pmc/blobs/fb30/12193974/b5456bdfe625/jof-11-00408-g001.jpg

文献AI研究员

20分钟写一篇综述,助力文献阅读效率提升50倍。

立即体验

用中文搜PubMed

大模型驱动的PubMed中文搜索引擎

马上搜索

文档翻译

学术文献翻译模型,支持多种主流文档格式。

立即体验