Suppr超能文献

伴有静脉淤滞性视网膜病变和黄斑前出血的髓鞘少突胶质细胞糖蛋白相关视神经炎的罕见表现:一例报告

A Rare Presentation of Myelin Oligodendrocyte Glycoprotein-Associated Optic Neuritis with Venous Stasis Retinopathy and Premacular Hemorrhage: A Case Report.

作者信息

Srimanan Worapot, Ngathaweesuk Yaninsiri

机构信息

Division of Ophthalmology, Phramongkutklao Hospital, Bangkok, Thailand.

出版信息

Case Rep Ophthalmol. 2024 Aug 29;15(1):669-677. doi: 10.1159/000540776. eCollection 2024 Jan-Dec.

Abstract

INTRODUCTION

Myelin oligodendrocyte glycoprotein (MOG)-associated disorders can cause inflammation of the central nervous system in various specific organs. Ocular involvement manifests as optic neuritis is one of the most common presentations; other ocular presentations are uncommon. Recently, rare ocular complications have been reported in conjunction with MOG-associated optic neuritis. We reported a rare case of acute venous stasis retinopathy co-occurring with bilateral optic neuritis.

CASE PRESENTATION

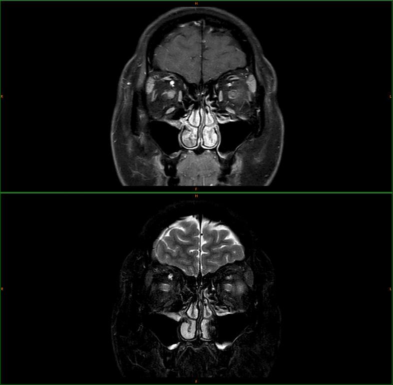
A 27-year-old woman complained of a throbbing headache for 2 weeks before developing visual loss in her right eye. She was diagnosed with presumed central retinal vein occlusion and was scheduled for further investigations. Two days later, she suddenly lost vision in her left eye and was admitted to the hospital. An eye examination revealed tortuous and dilated veins and optic disk swelling, notably in the right eye, compatible with venous stasis retinopathy in both eyes. Her right eye also had a premacular hemorrhage and vitreous hemorrhage. Magnetic resonance imaging showed an enhancement of bilateral optic nerves, and MOG antibody was detected in her serum. She successfully achieved a rapid improvement of vision in the left eye with intravenous methylprednisolone. However, her vision in the right eye did not recover due to dense vitreous hemorrhage.

CONCLUSION

Venous stasis retinopathy is a rare complication of MOG-associated optic neuritis. High-dose corticosteroids result in a rapid response and excellent symptom recovery. Ongoing reports may uncover new clinical presentations associated with this disorder.

摘要

引言

髓鞘少突胶质细胞糖蛋白(MOG)相关疾病可导致中枢神经系统不同特定器官发生炎症。眼部受累表现为视神经炎是最常见的症状之一;其他眼部表现并不常见。最近,有报道称与MOG相关视神经炎并发罕见的眼部并发症。我们报告了一例罕见的急性静脉淤滞性视网膜病变与双侧视神经炎同时发生的病例。

病例介绍

一名27岁女性在右眼视力丧失前两周诉说搏动性头痛。她被诊断为疑似视网膜中央静脉阻塞,并计划进一步检查。两天后,她突然左眼失明并入院。眼部检查发现双眼静脉迂曲扩张以及视盘肿胀,尤其是右眼,符合双眼静脉淤滞性视网膜病变。她的右眼还出现黄斑前出血和玻璃体出血。磁共振成像显示双侧视神经强化,血清中检测到MOG抗体。静脉注射甲基强的松龙后,她左眼视力迅速改善。然而,由于严重的玻璃体出血,她右眼视力未恢复。

结论

静脉淤滞性视网膜病变是MOG相关视神经炎的罕见并发症。大剂量皮质类固醇可导致快速反应和症状的良好恢复。持续的报告可能会发现与该疾病相关的新临床表现。

https://cdn.ncbi.nlm.nih.gov/pmc/blobs/7bee/11521472/dcf4f949eb0a/cop-2024-0015-0001-540776_F01.jpg

文献检索

告别复杂PubMed语法,用中文像聊天一样搜索,搜遍4000万医学文献。AI智能推荐,让科研检索更轻松。

立即免费搜索

文件翻译

保留排版,准确专业,支持PDF/Word/PPT等文件格式,支持 12+语言互译。

免费翻译文档

深度研究

AI帮你快速写综述,25分钟生成高质量综述,智能提取关键信息,辅助科研写作。

立即免费体验