• 文献检索
  • 文档翻译
  • 深度研究
  • 学术资讯
  • Suppr Zotero 插件Zotero 插件
  • 邀请有礼
  • 套餐&价格
  • 历史记录
应用&插件
Suppr Zotero 插件Zotero 插件浏览器插件Mac 客户端Windows 客户端微信小程序
定价
高级版会员购买积分包购买API积分包
服务
文献检索文档翻译深度研究API 文档MCP 服务
关于我们
关于 Suppr公司介绍联系我们用户协议隐私条款
关注我们

Suppr 超能文献

核心技术专利:CN118964589B侵权必究
粤ICP备2023148730 号-1Suppr @ 2026

文献检索

告别复杂PubMed语法,用中文像聊天一样搜索,搜遍4000万医学文献。AI智能推荐,让科研检索更轻松。

立即免费搜索

文件翻译

保留排版,准确专业,支持PDF/Word/PPT等文件格式,支持 12+语言互译。

免费翻译文档

深度研究

AI帮你快速写综述,25分钟生成高质量综述,智能提取关键信息,辅助科研写作。

立即免费体验

不常见病因所致梗阻性脑积水:青少年时期表现为导水管狭窄的病例报告和神经外科治疗。

Obstructive hydrocephalus of uncommon etiology: case report and neurosurgical management of aqueductal web presenting in adolescence.

机构信息

Neurosurgery Department, Cedars Sinai Medical Center, Los Angeles, CA, USA.

Radiology Department, Cedars Sinai Medical Center, Los Angeles, CA, USA.

出版信息

Childs Nerv Syst. 2024 Dec;40(12):4389-4392. doi: 10.1007/s00381-024-06645-9. Epub 2024 Nov 1.

DOI:10.1007/s00381-024-06645-9
PMID:39482561
原文链接:https://pmc.ncbi.nlm.nih.gov/articles/PMC11579050/
Abstract

INTRODUCTION

Aqueductal webs are a rare cause of obstructive hydrocephalus. Accurate diagnosis and intervention can prevent neurological complications.

CASE PRESENTATION

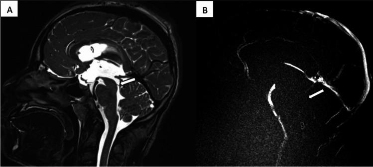
Herein, we describe a case of a child presenting with headaches and vomiting. Magnetic resonance imaging (MRI) revealed obstructive tri-ventricular hydrocephalus caused by an aqueductal web. Endoscopic third ventriculostomy (ETV) was successfully performed to restore cerebrospinal fluid (CSF) flow.

CONCLUSION

This case underscores the importance of phase-contrast and T2-weighted cinematic magnetic resonance imaging of cerebrospinal fluid flow for diagnosis of aqueductal webs. These modalities provide valuable insights into CSF dynamics and guidance of appropriate neurosurgical intervention.

摘要

简介

导水管狭窄是引起梗阻性脑积水的罕见原因。准确的诊断和干预可以预防神经并发症。

病例介绍

在此,我们描述了一例以头痛和呕吐为表现的患儿。磁共振成像(MRI)显示由导水管狭窄引起的三脑室梗阻性脑积水。成功实施了内镜第三脑室造瘘术(ETV)以恢复脑脊液(CSF)流动。

结论

本病例强调了相位对比和 T2 加权电影磁共振成像在诊断导水管狭窄中的重要性。这些方法为 CSF 动力学提供了有价值的见解,并指导了适当的神经外科干预。

https://cdn.ncbi.nlm.nih.gov/pmc/blobs/74bd/11579050/8e0cd9533458/381_2024_6645_Fig4_HTML.jpg
https://cdn.ncbi.nlm.nih.gov/pmc/blobs/74bd/11579050/25c4d1b399e1/381_2024_6645_Fig1_HTML.jpg
https://cdn.ncbi.nlm.nih.gov/pmc/blobs/74bd/11579050/d65c46158997/381_2024_6645_Fig2_HTML.jpg
https://cdn.ncbi.nlm.nih.gov/pmc/blobs/74bd/11579050/6f91e0c5262e/381_2024_6645_Fig3_HTML.jpg
https://cdn.ncbi.nlm.nih.gov/pmc/blobs/74bd/11579050/8e0cd9533458/381_2024_6645_Fig4_HTML.jpg
https://cdn.ncbi.nlm.nih.gov/pmc/blobs/74bd/11579050/25c4d1b399e1/381_2024_6645_Fig1_HTML.jpg
https://cdn.ncbi.nlm.nih.gov/pmc/blobs/74bd/11579050/d65c46158997/381_2024_6645_Fig2_HTML.jpg
https://cdn.ncbi.nlm.nih.gov/pmc/blobs/74bd/11579050/6f91e0c5262e/381_2024_6645_Fig3_HTML.jpg
https://cdn.ncbi.nlm.nih.gov/pmc/blobs/74bd/11579050/8e0cd9533458/381_2024_6645_Fig4_HTML.jpg

相似文献

1
Obstructive hydrocephalus of uncommon etiology: case report and neurosurgical management of aqueductal web presenting in adolescence.不常见病因所致梗阻性脑积水:青少年时期表现为导水管狭窄的病例报告和神经外科治疗。
Childs Nerv Syst. 2024 Dec;40(12):4389-4392. doi: 10.1007/s00381-024-06645-9. Epub 2024 Nov 1.
2
Why does endoscopic aqueductoplasty fail so frequently? Analysis of cerebrospinal fluid flow after endoscopic third ventriculostomy and aqueductoplasty using cine phase-contrast magnetic resonance imaging.为什么内镜导水管成形术如此频繁地失败?使用电影相位对比磁共振成像分析内镜第三脑室造瘘和导水管成形术后的脑脊液流动。
J Neurosurg. 2012 Jul;117(1):141-9. doi: 10.3171/2012.3.JNS111926. Epub 2012 May 11.
3
Tremor in triventricular hydrocephalus secondary to an aqueductal web with stenosis and response to third ventricular ventriculostomy.三脑室脑积水伴狭窄引起的震颤和第三脑室脑室造瘘术的反应。
Br J Neurosurg. 2024 Dec;38(6):1329-1331. doi: 10.1080/02688697.2022.2126435. Epub 2022 Dec 12.
4
Tetraventricular hydrocephalus with aqueductal flow void: an overlooked entity having consistent improvement following endoscopic third ventriculostomy.伴有导水管血流信号缺失的四脑室脑积水:一种在内镜下第三脑室造瘘术后持续改善但被忽视的疾病。
Br J Neurosurg. 2023 Apr;37(2):220-226. doi: 10.1080/02688697.2022.2118234. Epub 2022 Sep 4.
5
Changes in cerebral perfusion hormone profile and cerebrospinal fluid flow across the third ventriculostomy after endoscopic third ventriculostomy in patients with aqueductal stenosis: a prospective study. Clinical article.导水管狭窄患者内镜下第三脑室造瘘术后第三脑室造瘘处脑灌注激素谱及脑脊液流动的变化:一项前瞻性研究。临床文章。
J Neurosurg Pediatr. 2009 Jan;3(1):29-36. doi: 10.3171/2008.10.PEDS08148.
6
A case of developing obstructive hydrocephalus following aqueductal stenosis caused by developmental venous anomalies.一例因发育性静脉异常导致导水管狭窄后发生梗阻性脑积水的病例。
Childs Nerv Syst. 2020 Jul;36(7):1549-1555. doi: 10.1007/s00381-019-04489-2. Epub 2020 Jan 7.
7
Spontaneous Third Ventriculostomy in Cases of Aqueductal Stenosis: A Retrospective Case Series.导水管狭窄病例中自发性第三脑室造瘘术:一项回顾性病例系列研究。
World Neurosurg. 2023 Aug;176:e408-e414. doi: 10.1016/j.wneu.2023.05.074. Epub 2023 May 26.
8
Hydrocephalus Resulting from Late-Onset Aqueductal Membranous Occlusion: A Case Report and Review of the Literature.由迟发性导水管膜性闭塞引起的脑积水:病例报告及文献复习。
World Neurosurg. 2020 May;137:345-349. doi: 10.1016/j.wneu.2020.02.027. Epub 2020 Feb 12.
9
Endoscopic third ventriculostomy for idiopathic aqueductal stenosis.内镜第三脑室造瘘术治疗特发性导水管狭窄。
World Neurosurg. 2013 Feb;79(2 Suppl):S21.e13-20. doi: 10.1016/j.wneu.2012.02.007. Epub 2012 Feb 10.
10
Case report: Flattening of the tectal plate in obstructive hydrocephalus with auto-ventriculostomy.病例报告:自动脑室造瘘术治疗梗阻性脑积水时的脑顶盖平坦化。
Neuroradiol J. 2022 Apr;35(2):255-259. doi: 10.1177/19714009211036686. Epub 2021 Aug 2.

本文引用的文献

1
Advanced cerebrospinal fluid flow MRI findings of aqueductal stenosis caused by web.由膈膜引起的导水管狭窄的脑脊液流动磁共振成像高级表现
J Clin Ultrasound. 2024 Feb;52(2):201-207. doi: 10.1002/jcu.23606. Epub 2023 Nov 28.
2
A case of aqueductal obstruction by web with no sign except a headache.一例因蛛网膜造成导水管梗阻的病例,除头痛外无其他症状。
Radiol Case Rep. 2022 Aug 5;17(10):3767-3769. doi: 10.1016/j.radcr.2022.07.036. eCollection 2022 Oct.
3
Endoscopic Third Ventriculostomy versus Ventriculoperitoneal Shunt in Patients with Obstructive Hydrocephalus: Meta-Analysis of Randomized Controlled Trials.
内镜第三脑室造瘘术与脑室-腹腔分流术治疗梗阻性脑积水的疗效比较:随机对照试验的荟萃分析。
World Neurosurg. 2019 Sep;129:334-340. doi: 10.1016/j.wneu.2019.04.255. Epub 2019 May 25.
4
Endoscopic third ventriculostomy in the treatment of childhood hydrocephalus.内镜下第三脑室造瘘术治疗儿童脑积水
J Pediatr. 2009 Aug;155(2):254-9.e1. doi: 10.1016/j.jpeds.2009.02.048. Epub 2009 May 15.
5
Endoscopic aqueductoplasty in the treatment of aqueductal stenosis.内镜下导水管成形术治疗导水管狭窄
Childs Nerv Syst. 2007 Nov;23(11):1263-8. doi: 10.1007/s00381-007-0393-7. Epub 2007 Aug 4.
6
Indications for neuroendoscopic aqueductoplasty without stenting for obstructive hydrocephalus due to aqueductal stenosis.因导水管狭窄导致梗阻性脑积水而不置入支架的神经内镜下导水管成形术的适应证。
Minim Invasive Neurosurg. 2005 Jun;48(3):136-41. doi: 10.1055/s-2004-830265.
7
Aqueduct stenosis. Case review and discussion.导水管狭窄。病例回顾与讨论。
J Neurol Neurosurg Psychiatry. 1977 Jun;40(6):521-32. doi: 10.1136/jnnp.40.6.521.