• 文献检索
  • 文档翻译
  • 深度研究
  • 学术资讯
  • Suppr Zotero 插件Zotero 插件
  • 邀请有礼
  • 套餐&价格
  • 历史记录
应用&插件
Suppr Zotero 插件Zotero 插件浏览器插件Mac 客户端Windows 客户端微信小程序
定价
高级版会员购买积分包购买API积分包
服务
文献检索文档翻译深度研究API 文档MCP 服务
关于我们
关于 Suppr公司介绍联系我们用户协议隐私条款
关注我们

Suppr 超能文献

核心技术专利:CN118964589B侵权必究
粤ICP备2023148730 号-1Suppr @ 2026

文献检索

告别复杂PubMed语法,用中文像聊天一样搜索,搜遍4000万医学文献。AI智能推荐,让科研检索更轻松。

立即免费搜索

文件翻译

保留排版,准确专业,支持PDF/Word/PPT等文件格式,支持 12+语言互译。

免费翻译文档

深度研究

AI帮你快速写综述,25分钟生成高质量综述,智能提取关键信息,辅助科研写作。

立即免费体验

英夫利昔单抗治疗克罗恩病患者并发急性肾小管间质性肾炎:一例报告

Acute tubulointerstitial nephritis associated with infliximab therapy in a patient with Crohn's disease: a case report.

作者信息

Alghamdi Naif, Alshehri Fahad, Alhazza Sultan, Bhutto Fahad, Alhassan Azhari, Kechrid Mohammed, Alshehri Dhafer, Alshammari Kadi, Assiri Talal, Assiri Ohoud, Darewsh Emad, Ali Mohammed, Qadri Ruba, Alahmadi Yasser

机构信息

Internal Medicine Department, Nephrology Division, Security Forces Hospital Program, Riyadh, Saudi Arabia.

Internal Medicine Department, Security Forces Hospital Program, Riyadh, Saudi Arabia.

出版信息

CEN Case Rep. 2025 Apr;14(2):266-270. doi: 10.1007/s13730-024-00943-6. Epub 2024 Nov 2.

DOI:10.1007/s13730-024-00943-6
PMID:39487903
原文链接:https://pmc.ncbi.nlm.nih.gov/articles/PMC11958843/
Abstract

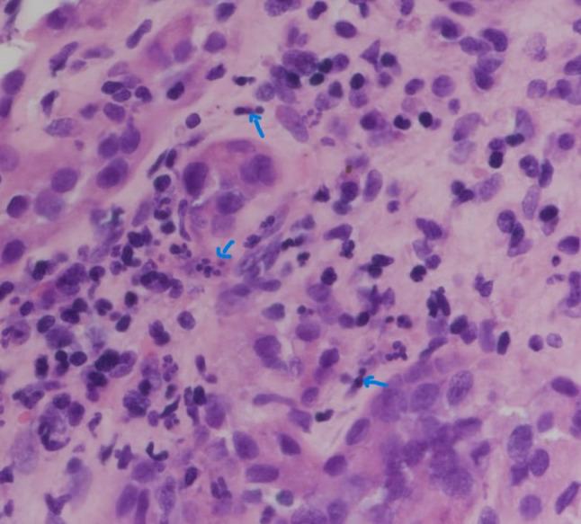
We report the case of a 39-year-old man who presented with a history of generalized fatigue, nausea, subjective fever with rigors, and renal dysfunction after receiving infliximab (IFX) therapy for Crohn's disease. A renal biopsy revealed acute tubulointerstitial nephritis (ATIN). After other causes of acute kidney injury were excluded, steroid therapy was initiated, his fever subsided, and kidney function improved. From this case report, infliximab could be a rare cause of elevated kidney function and that it should be not considered a completely safe treatment or disregarded as potential cause of ATIN.

摘要

我们报告了一例39岁男性病例,该患者在接受英夫利昔单抗(IFX)治疗克罗恩病后出现全身疲劳、恶心、伴有寒战的主观发热及肾功能障碍病史。肾活检显示为急性肾小管间质性肾炎(ATIN)。在排除急性肾损伤的其他病因后,开始使用类固醇治疗,其发热消退,肾功能改善。从该病例报告来看,英夫利昔单抗可能是肾功能升高的罕见原因,不应被视为完全安全的治疗方法,也不能忽视其作为ATIN潜在病因的可能性。

https://cdn.ncbi.nlm.nih.gov/pmc/blobs/c876/11958843/eefd1193296a/13730_2024_943_Fig2_HTML.jpg
https://cdn.ncbi.nlm.nih.gov/pmc/blobs/c876/11958843/7dedf2bccd7e/13730_2024_943_Fig1_HTML.jpg
https://cdn.ncbi.nlm.nih.gov/pmc/blobs/c876/11958843/eefd1193296a/13730_2024_943_Fig2_HTML.jpg
https://cdn.ncbi.nlm.nih.gov/pmc/blobs/c876/11958843/7dedf2bccd7e/13730_2024_943_Fig1_HTML.jpg
https://cdn.ncbi.nlm.nih.gov/pmc/blobs/c876/11958843/eefd1193296a/13730_2024_943_Fig2_HTML.jpg

相似文献

1
Acute tubulointerstitial nephritis associated with infliximab therapy in a patient with Crohn's disease: a case report.英夫利昔单抗治疗克罗恩病患者并发急性肾小管间质性肾炎:一例报告
CEN Case Rep. 2025 Apr;14(2):266-270. doi: 10.1007/s13730-024-00943-6. Epub 2024 Nov 2.
2
Acute Tubulointerstitial Nephritis Associated with Infliximab in a Patient with Crohn's Disease.一名克罗恩病患者中与英夫利昔单抗相关的急性肾小管间质性肾炎
Intern Med. 2016;55(10):1367-70. doi: 10.2169/internalmedicine.55.5834. Epub 2016 May 15.
3
Infliximab-Induced Tubulointerstitial Nephritis with Image Findings of Striated Nephrogram in Crohn's Disease.英夫利昔单抗诱导的肾小管间质性肾炎伴克罗恩病中条纹状肾图的影像学表现
Tohoku J Exp Med. 2018 Jul;245(3):149-152. doi: 10.1620/tjem.245.149.
4
A case of late onset-acute tubulointerstitial nephritis with infliximab and mesalazine treatment in a patient with Crohn's disease.1例克罗恩病患者在接受英夫利昔单抗和美沙拉嗪治疗后发生迟发性急性肾小管间质性肾炎。
Korean J Gastroenterol. 2014 May;63(5):308-12. doi: 10.4166/kjg.2014.63.5.308.
5
Unusual course of glyphosate-induced acute kidney injury: a case report of tubulointerstitial nephritis treated with steroids.草甘膦诱导的急性肾损伤的不寻常病程:一例用类固醇治疗的肾小管间质性肾炎病例报告
CEN Case Rep. 2025 Apr;14(2):128-134. doi: 10.1007/s13730-024-00914-x. Epub 2024 Jul 29.
6
Infliximab for the treatment of patients with checkpoint inhibitor-associated acute tubular interstitial nephritis.英夫利昔单抗用于治疗检查点抑制剂相关的急性肾小管间质性肾炎患者。
Oncoimmunology. 2021 Feb 2;10(1):1877415. doi: 10.1080/2162402X.2021.1877415.
7
[A case of drug-induced granulomatous interstitial nephritis during the long course of Crohn's disease].[1例克罗恩病长期病程中药物性肉芽肿性间质性肾炎]
Nihon Jinzo Gakkai Shi. 2013;55(2):167-71.
8
Rare allergic reaction of the kidney: sitagliptin-induced acute tubulointerstitial nephritis.罕见的肾脏过敏反应:西他列汀诱发的急性肾小管间质性肾炎。
BMJ Case Rep. 2016 Jul 19;2016:bcr2016216297. doi: 10.1136/bcr-2016-216297.
9
[Acute tubulointerstitial nephritis in children].[儿童急性肾小管间质性肾炎]
Srp Arh Celok Lek. 2001 May-Jun;129 Suppl 1:23-7.
10
Acute tubulointerstitial nephritis associated with antineutrophil cytoplasmic antibody following cimetidine treatment: a case report.西咪替丁治疗后伴抗中性粒细胞胞质抗体的急性肾小管间质性肾炎:一例报告。
BMC Nephrol. 2021 Aug 30;22(1):294. doi: 10.1186/s12882-021-02502-y.

引用本文的文献

1
Update on Acute Tubulointerstitial Nephritis: Clinical Features, Immunologic Insights, and Diagnostic and Treatment Approaches.急性肾小管间质性肾炎的最新进展:临床特征、免疫学见解以及诊断和治疗方法
Kidney Int Rep. 2025 Apr 1;10(6):1643-1656. doi: 10.1016/j.ekir.2025.03.050. eCollection 2025 Jun.

本文引用的文献

1
Acute interstitial nephritis in patients with inflammatory bowel disease treated with vedolizumab: a systematic review.英夫利昔单抗治疗炎症性肠病相关急性间质性肾炎的系统评价
Scand J Gastroenterol. 2024 Jul;59(7):821-829. doi: 10.1080/00365521.2024.2345383. Epub 2024 Apr 29.
2
Infliximab biosimilar-induced lupus nephritis: A case report.英夫利昔单抗生物类似药诱导狼疮性肾炎:一例报告。
Mod Rheumatol Case Rep. 2023 Dec 29;8(1):74-76. doi: 10.1093/mrcr/rxad061.
3
Infliximab (IFX)-Biosimilar Induced Drug-Induced Liver Injury (DILI): A Case Report.
英夫利昔单抗(IFX)生物类似药诱发的药物性肝损伤(DILI):一例报告
Cureus. 2022 Dec 14;14(12):e32525. doi: 10.7759/cureus.32525. eCollection 2022 Dec.
4
A case report of drug-induced liver injury due to the infliximab biosimilar CT-P13 on switching from original infliximab in a patient with Crohn's disease.1例克罗恩病患者从原研英夫利昔单抗转换为生物类似药英夫利昔单抗CT-P13后发生药物性肝损伤的病例报告
Ther Adv Drug Saf. 2022 May 24;13:20420986221100118. doi: 10.1177/20420986221100118. eCollection 2022.
5
Infliximab-Induced Tubulointerstitial Nephritis with Image Findings of Striated Nephrogram in Crohn's Disease.英夫利昔单抗诱导的肾小管间质性肾炎伴克罗恩病中条纹状肾图的影像学表现
Tohoku J Exp Med. 2018 Jul;245(3):149-152. doi: 10.1620/tjem.245.149.
6
Interstitial Nephritis in a Patient with Inflammatory Bowel Disease.一名炎症性肠病患者的间质性肾炎
Case Rep Nephrol. 2016;2016:4260365. doi: 10.1155/2016/4260365. Epub 2016 Sep 14.
7
Acute Tubulointerstitial Nephritis Associated with Infliximab in a Patient with Crohn's Disease.一名克罗恩病患者中与英夫利昔单抗相关的急性肾小管间质性肾炎
Intern Med. 2016;55(10):1367-70. doi: 10.2169/internalmedicine.55.5834. Epub 2016 May 15.
8
Renal Involvement in Inflammatory Bowel Diseases.炎症性肠病中的肾脏受累
J Crohns Colitis. 2016 Feb;10(2):226-35. doi: 10.1093/ecco-jcc/jjv138. Epub 2015 Jul 29.
9
Interferon alpha on NZM2328.Lc1R27: enhancing autoimmunity and immune complex-mediated glomerulonephritis without end stage renal failure.干扰素 alpha 在 NZM2328.Lc1R27 中的作用:增强自身免疫和免疫复合物介导的肾小球肾炎而不导致终末期肾衰竭。
Clin Immunol. 2014 Sep;154(1):66-71. doi: 10.1016/j.clim.2014.06.008. Epub 2014 Jun 27.
10
A case of late onset-acute tubulointerstitial nephritis with infliximab and mesalazine treatment in a patient with Crohn's disease.1例克罗恩病患者在接受英夫利昔单抗和美沙拉嗪治疗后发生迟发性急性肾小管间质性肾炎。
Korean J Gastroenterol. 2014 May;63(5):308-12. doi: 10.4166/kjg.2014.63.5.308.