• 文献检索
  • 文档翻译
  • 深度研究
  • 学术资讯
  • Suppr Zotero 插件Zotero 插件
  • 邀请有礼
  • 套餐&价格
  • 历史记录
应用&插件
Suppr Zotero 插件Zotero 插件浏览器插件Mac 客户端Windows 客户端微信小程序
定价
高级版会员购买积分包购买API积分包
服务
文献检索文档翻译深度研究API 文档MCP 服务
关于我们
关于 Suppr公司介绍联系我们用户协议隐私条款
关注我们

Suppr 超能文献

核心技术专利:CN118964589B侵权必究
粤ICP备2023148730 号-1Suppr @ 2026

文献检索

告别复杂PubMed语法,用中文像聊天一样搜索,搜遍4000万医学文献。AI智能推荐,让科研检索更轻松。

立即免费搜索

文件翻译

保留排版,准确专业,支持PDF/Word/PPT等文件格式,支持 12+语言互译。

免费翻译文档

深度研究

AI帮你快速写综述,25分钟生成高质量综述,智能提取关键信息,辅助科研写作。

立即免费体验

N-乙酰半胱氨酸可缓解青少年 EAAC1 敲除小鼠和早期生活应激模型大鼠的抑郁样行为。

N-Acetylcysteine Alleviates Depressive-Like Behaviors in Adolescent EAAC1 Mice and Early Life Stress Model Rats.

机构信息

Department of Anatomy and Neuroscience, College of Medicine, Eulji University, Daejeon, 34824, Republic of Korea.

Department of Nuclear Medicine, Seoul National University Hospital, Seoul, 03080, Republic of Korea.

出版信息

Int J Biol Sci. 2024 Oct 7;20(14):5450-5473. doi: 10.7150/ijbs.97723. eCollection 2024.

DOI:10.7150/ijbs.97723
PMID:39494328
原文链接:https://pmc.ncbi.nlm.nih.gov/articles/PMC11528454/
Abstract

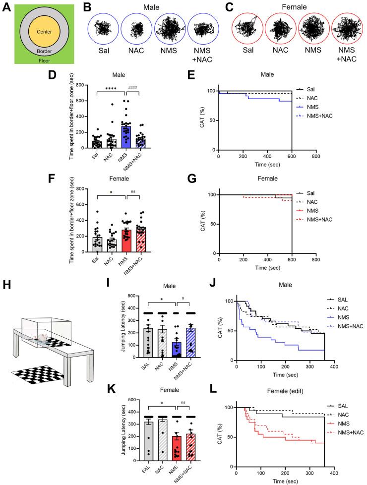
Exposure to adverse experiences during early life is associated with an increased risk of psychopathology during adolescence. In a previous study, we demonstrated that neonatal maternal separation (NMS) combined with social isolation led to impulsive and depressive-like behaviors in male adolescents. Additionally, it significantly reduced the expression of excitatory amino acid carrier 1 (EAAC1) in the hippocampus. Building upon this work, we investigated the effects of N-acetylcysteine (NAC), a precursor to glutathione, in early-life stress (ELS) model rats and in EAAC1 mice. EAAC1 plays a dual role in transporting both glutamate and cysteine into neurons. Our findings revealed that female adolescents subjected to in the ELS model also exhibited behavioral defects similar to those of males. NAC injection rescued depressive-like behaviors in both male and female NMS models, but it improved impulsive behavior only in males. Furthermore, we observed increased reactive oxidative stress (ROS) and neuroinflammation in the ventral hippocampus (vHPC) and prefrontal cortex of NMS model rats, which were mitigated by NAC treatment. Notably, NAC reversed the reduced expression of EAAC1 in the vHPC of NMS model rats. In EAAC1 mice, severe impulsive and depressive-like behaviors were evident, and the NAC intervention improved only depressive-like behaviors. Collectively, our results suggest that ELS contributes to depression and impulsive behaviors during adolescence. Moreover, the cysteine uptake function of EAAC1 in neurons may be specifically related to depression rather than impulsive behavior.

摘要

早期生活中遭受不良经历与青少年时期精神病理学风险增加有关。在之前的一项研究中,我们证明了新生期母体分离(NMS)结合社会隔离会导致雄性青少年出现冲动和抑郁样行为。此外,它还显著降低了海马中的兴奋性氨基酸载体 1(EAAC1)的表达。在此基础上,我们研究了 N-乙酰半胱氨酸(NAC),即谷胱甘肽的前体,对早期生活应激(ELS)模型大鼠和 EAAC1 小鼠的影响。EAAC1 在将谷氨酸和半胱氨酸转运到神经元中具有双重作用。我们的研究结果表明,雌性青少年在 ELS 模型中也表现出与雄性相似的行为缺陷。NAC 注射可挽救雄性和雌性 NMS 模型中的抑郁样行为,但仅改善雄性的冲动行为。此外,我们观察到 NMS 模型大鼠腹侧海马(vHPC)和前额叶皮质中的反应性氧化应激(ROS)和神经炎症增加,NAC 处理可减轻这种情况。值得注意的是,NAC 逆转了 NMS 模型大鼠 vHPC 中 EAAC1 的表达减少。在 EAAC1 小鼠中,明显表现出严重的冲动和抑郁样行为,而 NAC 干预仅改善了抑郁样行为。总之,我们的研究结果表明,ELS 导致青少年时期的抑郁和冲动行为。此外,神经元中 EAAC1 的半胱氨酸摄取功能可能与抑郁而不是冲动行为特别相关。

https://cdn.ncbi.nlm.nih.gov/pmc/blobs/99da/11528454/c61cb0e46080/ijbsv20p5450g013.jpg
https://cdn.ncbi.nlm.nih.gov/pmc/blobs/99da/11528454/0d904a14a2f1/ijbsv20p5450g001.jpg
https://cdn.ncbi.nlm.nih.gov/pmc/blobs/99da/11528454/4b90ce0ddf0d/ijbsv20p5450g002.jpg
https://cdn.ncbi.nlm.nih.gov/pmc/blobs/99da/11528454/2228cbdac84f/ijbsv20p5450g003.jpg
https://cdn.ncbi.nlm.nih.gov/pmc/blobs/99da/11528454/706229203b9b/ijbsv20p5450g004.jpg
https://cdn.ncbi.nlm.nih.gov/pmc/blobs/99da/11528454/2bd01e38d954/ijbsv20p5450g005.jpg
https://cdn.ncbi.nlm.nih.gov/pmc/blobs/99da/11528454/de5f8d0307c2/ijbsv20p5450g006.jpg
https://cdn.ncbi.nlm.nih.gov/pmc/blobs/99da/11528454/79c78fd10e64/ijbsv20p5450g007.jpg
https://cdn.ncbi.nlm.nih.gov/pmc/blobs/99da/11528454/6a547c2ab10d/ijbsv20p5450g008.jpg
https://cdn.ncbi.nlm.nih.gov/pmc/blobs/99da/11528454/8bba01ec5c10/ijbsv20p5450g009.jpg
https://cdn.ncbi.nlm.nih.gov/pmc/blobs/99da/11528454/73a229fc57b8/ijbsv20p5450g010.jpg
https://cdn.ncbi.nlm.nih.gov/pmc/blobs/99da/11528454/922b3d1cfd35/ijbsv20p5450g011.jpg
https://cdn.ncbi.nlm.nih.gov/pmc/blobs/99da/11528454/f781a546e0dd/ijbsv20p5450g012.jpg
https://cdn.ncbi.nlm.nih.gov/pmc/blobs/99da/11528454/c61cb0e46080/ijbsv20p5450g013.jpg
https://cdn.ncbi.nlm.nih.gov/pmc/blobs/99da/11528454/0d904a14a2f1/ijbsv20p5450g001.jpg
https://cdn.ncbi.nlm.nih.gov/pmc/blobs/99da/11528454/4b90ce0ddf0d/ijbsv20p5450g002.jpg
https://cdn.ncbi.nlm.nih.gov/pmc/blobs/99da/11528454/2228cbdac84f/ijbsv20p5450g003.jpg
https://cdn.ncbi.nlm.nih.gov/pmc/blobs/99da/11528454/706229203b9b/ijbsv20p5450g004.jpg
https://cdn.ncbi.nlm.nih.gov/pmc/blobs/99da/11528454/2bd01e38d954/ijbsv20p5450g005.jpg
https://cdn.ncbi.nlm.nih.gov/pmc/blobs/99da/11528454/de5f8d0307c2/ijbsv20p5450g006.jpg
https://cdn.ncbi.nlm.nih.gov/pmc/blobs/99da/11528454/79c78fd10e64/ijbsv20p5450g007.jpg
https://cdn.ncbi.nlm.nih.gov/pmc/blobs/99da/11528454/6a547c2ab10d/ijbsv20p5450g008.jpg
https://cdn.ncbi.nlm.nih.gov/pmc/blobs/99da/11528454/8bba01ec5c10/ijbsv20p5450g009.jpg
https://cdn.ncbi.nlm.nih.gov/pmc/blobs/99da/11528454/73a229fc57b8/ijbsv20p5450g010.jpg
https://cdn.ncbi.nlm.nih.gov/pmc/blobs/99da/11528454/922b3d1cfd35/ijbsv20p5450g011.jpg
https://cdn.ncbi.nlm.nih.gov/pmc/blobs/99da/11528454/f781a546e0dd/ijbsv20p5450g012.jpg
https://cdn.ncbi.nlm.nih.gov/pmc/blobs/99da/11528454/c61cb0e46080/ijbsv20p5450g013.jpg

相似文献

1
N-Acetylcysteine Alleviates Depressive-Like Behaviors in Adolescent EAAC1 Mice and Early Life Stress Model Rats.N-乙酰半胱氨酸可缓解青少年 EAAC1 敲除小鼠和早期生活应激模型大鼠的抑郁样行为。
Int J Biol Sci. 2024 Oct 7;20(14):5450-5473. doi: 10.7150/ijbs.97723. eCollection 2024.
2
Early-life stress induces EAAC1 expression reduction and attention-deficit and depressive behaviors in adolescent rats.早年生活应激诱导青春期大鼠EAAC1表达降低及注意力缺陷和抑郁行为。
Cell Death Discov. 2020 Aug 8;6:73. doi: 10.1038/s41420-020-00308-9. eCollection 2020.
3
N-acetylcysteine prevents loss of dopaminergic neurons in the EAAC1-/- mouse.N-乙酰半胱氨酸可预防 EAAC1-/- 小鼠多巴胺能神经元的丢失。
Ann Neurol. 2011 Mar;69(3):509-20. doi: 10.1002/ana.22162. Epub 2010 Nov 23.
4
Decreased cysteine uptake by EAAC1 gene deletion exacerbates neuronal oxidative stress and neuronal death after traumatic brain injury.EAAC1基因缺失导致的半胱氨酸摄取减少会加剧创伤性脑损伤后的神经元氧化应激和神经元死亡。
Amino Acids. 2016 Jul;48(7):1619-29. doi: 10.1007/s00726-016-2221-4. Epub 2016 Apr 4.
5
Neuronal glutathione deficiency and age-dependent neurodegeneration in the EAAC1 deficient mouse.EAAC1基因缺陷小鼠的神经元谷胱甘肽缺乏与年龄依赖性神经退行性变
Nat Neurosci. 2006 Jan;9(1):119-26. doi: 10.1038/nn1609. Epub 2005 Nov 27.
6
N-acetylcysteine attenuates neuroinflammation associated depressive behavior induced by chronic unpredictable mild stress in rat.N-乙酰半胱氨酸可减轻慢性不可预知轻度应激诱导的大鼠神经炎症相关抑郁行为。
Behav Brain Res. 2019 May 17;364:356-365. doi: 10.1016/j.bbr.2019.02.025. Epub 2019 Feb 14.
7
Ethanol (E) Impairs Fetal Brain GSH Homeostasis by Inhibiting Excitatory Amino-Acid Carrier 1 (EAAC1)-Mediated Cysteine Transport.乙醇(E)通过抑制兴奋性氨基酸载体 1(EAAC1)介导的半胱氨酸转运来损害胎儿大脑谷胱甘肽稳态。
Int J Mol Sci. 2017 Dec 5;18(12):2596. doi: 10.3390/ijms18122596.
8
Oxidative stress on EAAC1 is involved in MPTP-induced glutathione depletion and motor dysfunction.对兴奋性氨基酸转运体1(EAAC1)的氧化应激参与了1-甲基-4-苯基-1,2,3,6-四氢吡啶(MPTP)诱导的谷胱甘肽耗竭和运动功能障碍。
Eur J Neurosci. 2008 Jan;27(1):20-30. doi: 10.1111/j.1460-9568.2007.05979.x. Epub 2007 Dec 17.
9
EAAC1 gene deletion increases neuronal death and blood brain barrier disruption after transient cerebral ischemia in female mice.EAAC1基因缺失会增加雌性小鼠短暂性脑缺血后的神经元死亡和血脑屏障破坏。
Int J Mol Sci. 2014 Oct 27;15(11):19444-57. doi: 10.3390/ijms151119444.
10
EAAC1 gene deletion alters zinc homeostasis and enhances cortical neuronal injury after transient cerebral ischemia in mice.EAAC1 基因缺失改变锌稳态并增强小鼠短暂性脑缺血后皮质神经元损伤。
J Trace Elem Med Biol. 2012 Jun;26(2-3):85-8. doi: 10.1016/j.jtemb.2012.04.010. Epub 2012 May 8.

引用本文的文献

1
Ethanol-Induced Depression: Exploring the Underlying Molecular Mechanisms.乙醇诱导的抑郁:探索潜在的分子机制
Cell Mol Neurobiol. 2025 May 22;45(1):49. doi: 10.1007/s10571-025-01569-7.

本文引用的文献

1
Clinically approved immunomodulators ameliorate behavioral changes in a mouse model of hereditary spastic paraplegia type 11.临床批准的免疫调节剂可改善11型遗传性痉挛性截瘫小鼠模型的行为变化。
Front Neurosci. 2024 Feb 16;18:1299554. doi: 10.3389/fnins.2024.1299554. eCollection 2024.
2
Microglial morphometric analysis: so many options, so little consistency.小胶质细胞形态计量分析:选择众多,一致性却很差。
Front Neuroinform. 2023 Aug 10;17:1211188. doi: 10.3389/fninf.2023.1211188. eCollection 2023.
3
Augmented impulsive behavior in febrile seizure-induced mice.
发热惊厥诱导的小鼠冲动行为增强
Toxicol Res. 2022 Jul 29;39(1):37-51. doi: 10.1007/s43188-022-00145-1. eCollection 2023 Jan.
4
Aging and Pubertal Development Differentially Predict Symptoms of ADHD, Depression, and Impairment in Children and Adolescents: An Eight-Year Longitudinal Study.衰老和青春期发育对儿童和青少年 ADHD、抑郁和损伤症状的预测作用不同:一项为期八年的纵向研究。
Res Child Adolesc Psychopathol. 2023 Jun;51(6):819-832. doi: 10.1007/s10802-023-01030-7. Epub 2023 Jan 31.
5
Neuregulin-1 reverses anxiety-like behavior and social behavior deficits induced by unilateral micro-injection of CoCl into the ventral hippocampus (vHPC).神经调节蛋白-1可逆转由向腹侧海马体(vHPC)单侧微量注射氯化钴所诱导的焦虑样行为和社交行为缺陷。
Neurobiol Dis. 2023 Feb;177:105982. doi: 10.1016/j.nbd.2022.105982. Epub 2022 Dec 30.
6
Rearing in an Enriched Environment Ameliorates the ADHD-like Behaviors of Lister Hooded Rats While Suppressing Neuronal Activities in the Medial Prefrontal Cortex.丰富环境饲养可改善 Lister Hooded 大鼠的 ADHD 样行为,同时抑制其前额皮质内侧神经元活动。
Cells. 2022 Nov 17;11(22):3649. doi: 10.3390/cells11223649.
7
Prolonged Maternal Separation Reduces Anxiety State and Increases Compulsive Burying Activity in the Offspring of BALB/c Mice.长期母婴分离可降低BALB/c小鼠后代的焦虑状态并增加强迫性埋土行为。
J Pers Med. 2022 Nov 17;12(11):1921. doi: 10.3390/jpm12111921.
8
Classification of Microglial Morphological Phenotypes Using Machine Learning.使用机器学习对小胶质细胞形态表型进行分类
Front Cell Neurosci. 2021 Jun 29;15:701673. doi: 10.3389/fncel.2021.701673. eCollection 2021.
9
Early life stress and development: potential mechanisms for adverse outcomes.早期生活压力与发展:不良后果的潜在机制。
J Neurodev Disord. 2020 Dec 16;12(1):34. doi: 10.1186/s11689-020-09337-y.
10
Neuregulin-1 inhibits CoCl-induced upregulation of excitatory amino acid carrier 1 expression and oxidative stress in SH-SY5Y cells and the hippocampus of mice.神经调节素 1 抑制 CoCl2 诱导的 SH-SY5Y 细胞和小鼠海马中兴奋性氨基酸载体 1 表达和氧化应激的上调。
Mol Brain. 2020 Nov 13;13(1):153. doi: 10.1186/s13041-020-00686-2.