Suppr超能文献

PLD2 通过与 YAP1 结合抑制 p53 从而加剧宫颈鳞状细胞癌。

PLOD2 exacerbates cervical squamous cell carcinoma by suppressing p53 by binding to YAP1.

机构信息

Clinical Laboratory Department, Beijing Chaoyang District Maternal and Child Health Care Hospital, Beijing 100021, P.R. China.

Clinical Laboratory Department, Beijing Da Wang Lu Emergency Hospital, Beijing 100021, P.R. China.

出版信息

Mol Med Rep. 2025 Jan;31(1). doi: 10.3892/mmr.2024.13388. Epub 2024 Nov 8.

Abstract

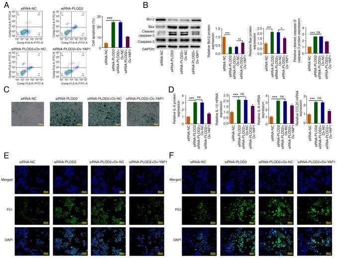
Procollagen‑lysine, 2‑oxoglutarate 5‑dioxygenase 2 (PLOD2) has been identified as an oncogene involved in the progression of several human cancers. However, its role in cervical squamous cell carcinoma (CESC) and its underlying mechanisms are not well understood. In the present study, several public databases, RT‑qPCR and western blotting were employed to detect the expression of PLOD2 and the prognosis in CESC. Cell counting kit‑8 assay, wound healing assay, Transwell assay, western blotting and flow cytometry were utilized to assess the proliferation, migration and cell apoptosis of CESC cells. Cellular senescence was examined by RT‑qPCR and β‑galactosidase staining. Prediction of PLOD2 binding to Yes‑associated protein 1 (YAP1) was assessed using BioGrid, HDock and co‑immunoprecipitation, and p53 and p21 signaling were assessed using immunofluorescence staining. The findings indicated that the expression of PLOD2 was elevated in CESC tissues and cell lines, and PLOD2 silencing caused the inhibition of CESC cell proliferation, migration and the promotion of apoptosis and senescence of CESC cells. PLOD2 was predicted to be bound to YAP1 and YAP1 overexpression reversed the effects of PLOD2 silencing on CESC cell proliferation, cell migration, apoptosis and senescence. In addition, PLOD2 facilitated CESC progression by regulating the P53 pathway through YAP1. PLOD2 exerted pro‑oncogenic effects on CESC through the p53 pathway by binding to YAP1. These findings provide new perspectives for the future study of PLOD2‑targeted therapy for CESC.

摘要

赖氨酰氧化酶 2(PLOD2)在几种人类癌症的进展中被鉴定为一种癌基因。然而,其在宫颈鳞状细胞癌(CESC)中的作用及其潜在机制尚不清楚。在本研究中,使用了几个公共数据库、RT-qPCR 和 Western blot 来检测 PLOD2 的表达和 CESC 的预后。通过细胞计数试剂盒-8 测定、划痕愈合试验、Transwell 测定、Western blot 和流式细胞术来评估 CESC 细胞的增殖、迁移和细胞凋亡。通过 RT-qPCR 和β-半乳糖苷酶染色来检测细胞衰老。使用 BioGrid、HDock 和共免疫沉淀来预测 PLOD2 与 Yes 相关蛋白 1(YAP1)的结合,使用免疫荧光染色来评估 p53 和 p21 信号通路。研究结果表明,PLOD2 在 CESC 组织和细胞系中表达上调,沉默 PLOD2 导致 CESC 细胞增殖、迁移的抑制,以及 CESC 细胞凋亡和衰老的促进。预测 PLOD2 与 YAP1 结合,过表达 YAP1 逆转了沉默 PLOD2 对 CESC 细胞增殖、细胞迁移、凋亡和衰老的影响。此外,PLOD2 通过 YAP1 调节 P53 通路促进 CESC 的进展。PLOD2 通过与 YAP1 结合,在 p53 通路中对 CESC 发挥致癌作用。这些发现为未来研究 PLOD2 靶向治疗 CESC 提供了新的视角。

https://cdn.ncbi.nlm.nih.gov/pmc/blobs/f880/11576930/678f0de9a07a/mmr-31-01-13388-g00.jpg

文献AI研究员

20分钟写一篇综述,助力文献阅读效率提升50倍。

立即体验

用中文搜PubMed

大模型驱动的PubMed中文搜索引擎

马上搜索

文档翻译

学术文献翻译模型,支持多种主流文档格式。

立即体验