Suppr超能文献

丙烯酰胺对 SPC212 人胸膜间皮瘤细胞的形态分析和细胞毒性:低剂量诱导增殖,而高剂量导致毒性?

Morphological analysis and cytotoxicity of acrylamide on SPC212 human mesothelioma cells: Do low doses induce proliferation, while high doses cause toxicity?

机构信息

Department of Histology and Embryology, Faculty of Medicine, Eskisehir Osmangazi University, Eskisehir, Turkey.

Division of Pulmonary, Critical Care, Sleep and Occupational Medicine, Department of Medicine, Indiana University, Indianapolis, Indiana, USA.

出版信息

J Cell Mol Med. 2024 Nov;28(21):e70190. doi: 10.1111/jcmm.70190.

Abstract

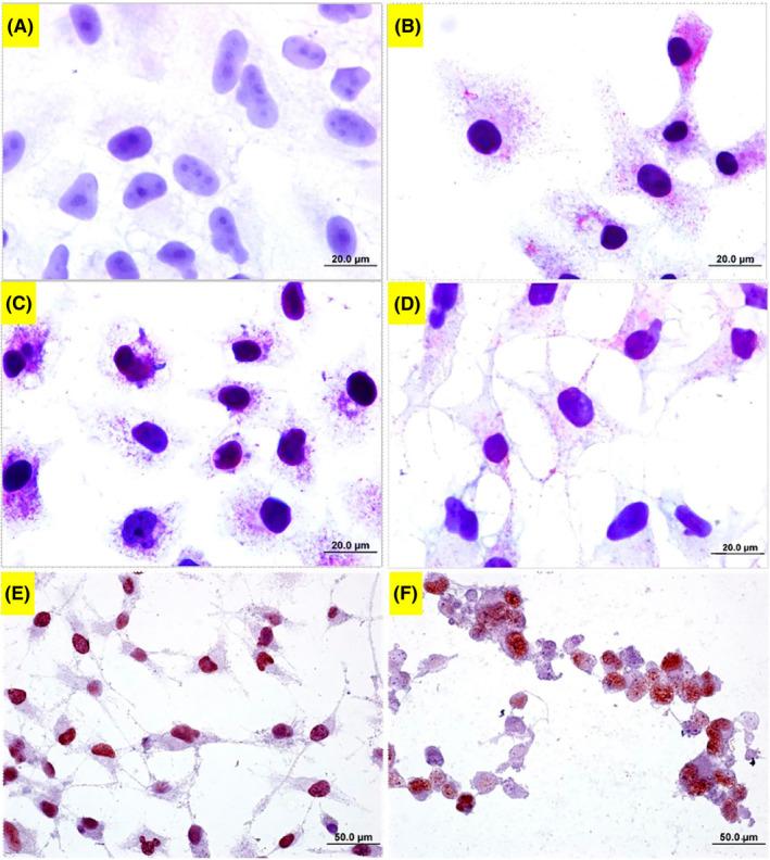
Acrylamide is broadly utilized in numerous areas with different purposes including being an additive, flocculating, sealing, dry strength improver and polymerizing agent, and so forth. Furthermore, it forms in certain food products at high temperatures. It poses serious hazard since its readily water-soluble and very reactive nature. Besides in vivo studies, several in vitro studies with various cell lines are carried out to evaluate its toxicity. However, of these cell line studies, there are no mesothelium or mesothelioma cell lines. To fill this lacuna, we aimed at examining various dose range of acrylamide on SPC212 human mesothelioma cell line. First, we executed MTT and neutral red cytotoxicity tests and ascertained IC50 dose. Next, we performed inverted, light (haematoxylin-eosin and May Grünwald), fluorescent (DAPI) and confocal microscope (AO/EB) analyses as well as immunohistochemistry for Bax, Bcl-2 and PCNA proteins. As a result, we found IC50 of acrylamide at 2.65 mM. Starting from 3.13 mM of acrylamide dose, a deep decrease in cell proliferation was observed. Particularly in MTT assay, a proliferative action of acrylamide was detected at 0.39 and 0.78 mM, supported with inverted microscope images. In light microscope analysis, several cellular degenerations, including condensed and kidney-shaped nucleus were evident. In AO/EB staining, cells with apoptotic characteristics augmented dose-dependently, being upheld by a parallel uptick in Bax and a dimunition in Bcl-2 staining. Besides, PCNA decreased at IC50 dose of acrylamide. This is the acrylamide-associated first study conducted on SPC212 mesothelioma cells encompassing advanced morphological analysis. We believe this study to be an incentive for future studies.

摘要

丙烯酰胺广泛应用于许多领域,具有不同的用途,包括作为添加剂、絮凝剂、密封剂、干强度增强剂和聚合剂等。此外,它在某些高温食品中形成。由于其易溶于水且反应性很强,因此构成了严重的危害。除了体内研究外,还进行了许多使用不同细胞系的体外研究,以评估其毒性。然而,在这些细胞系研究中,没有间皮或间皮瘤细胞系。为了填补这一空白,我们旨在研究丙烯酰胺对 SPC212 人胸膜间皮瘤细胞系的不同剂量范围。首先,我们进行了 MTT 和中性红细胞毒性试验,并确定了 IC50 剂量。接下来,我们进行了倒置、光(苏木精-伊红和迈格林沃尔德)、荧光(DAPI)和共聚焦显微镜(AO/EB)分析以及 Bax、Bcl-2 和 PCNA 蛋白的免疫组织化学分析。结果发现,丙烯酰胺的 IC50 为 2.65mM。从丙烯酰胺剂量 3.13mM 开始,观察到细胞增殖深度下降。特别是在 MTT 测定中,在 0.39 和 0.78mM 时检测到丙烯酰胺的增殖作用,这与倒置显微镜图像相吻合。在光镜分析中,观察到多种细胞变性,包括核浓缩和肾形核。在 AO/EB 染色中,具有凋亡特征的细胞剂量依赖性增加,同时 Bax 染色增加,Bcl-2 染色减少。此外,PCNA 在丙烯酰胺的 IC50 剂量下减少。这是首次在 SPC212 间皮瘤细胞上进行的与丙烯酰胺相关的研究,涵盖了先进的形态学分析。我们相信这项研究将为未来的研究提供动力。

https://cdn.ncbi.nlm.nih.gov/pmc/blobs/b32f/11548975/f12b1a1d474e/JCMM-28-e70190-g004.jpg

文献AI研究员

20分钟写一篇综述,助力文献阅读效率提升50倍。

立即体验

用中文搜PubMed

大模型驱动的PubMed中文搜索引擎

马上搜索

文档翻译

学术文献翻译模型,支持多种主流文档格式。

立即体验