• 文献检索
  • 文档翻译
  • 深度研究
  • 学术资讯
  • Suppr Zotero 插件Zotero 插件
  • 邀请有礼
  • 套餐&价格
  • 历史记录
应用&插件
Suppr Zotero 插件Zotero 插件浏览器插件Mac 客户端Windows 客户端微信小程序
定价
高级版会员购买积分包购买API积分包
服务
文献检索文档翻译深度研究API 文档MCP 服务
关于我们
关于 Suppr公司介绍联系我们用户协议隐私条款
关注我们

Suppr 超能文献

核心技术专利:CN118964589B侵权必究
粤ICP备2023148730 号-1Suppr @ 2026

文献检索

告别复杂PubMed语法,用中文像聊天一样搜索,搜遍4000万医学文献。AI智能推荐,让科研检索更轻松。

立即免费搜索

文件翻译

保留排版,准确专业,支持PDF/Word/PPT等文件格式,支持 12+语言互译。

免费翻译文档

深度研究

AI帮你快速写综述,25分钟生成高质量综述,智能提取关键信息,辅助科研写作。

立即免费体验

核 IMPDH2 通过调节 PARP1 活性来控制 DNA 损伤反应。

Nuclear IMPDH2 controls the DNA damage response by modulating PARP1 activity.

机构信息

Centre for Genomic Regulation (CRG), The Barcelona Institute of Science and Technology, Dr. Aiguader 88, Barcelona, Spain.

Department of Biomedical Sciences, Faculty of Medicine and Health Sciences, Universitat de Barcelona, Barcelona, Spain.

出版信息

Nat Commun. 2024 Nov 12;15(1):9515. doi: 10.1038/s41467-024-53877-z.

DOI:10.1038/s41467-024-53877-z
PMID:39532854
原文链接:https://pmc.ncbi.nlm.nih.gov/articles/PMC11557828/
Abstract

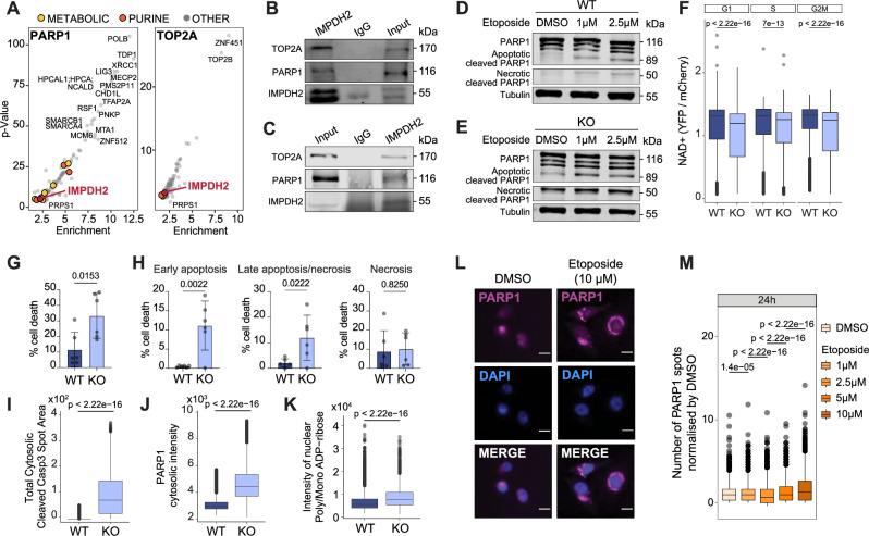
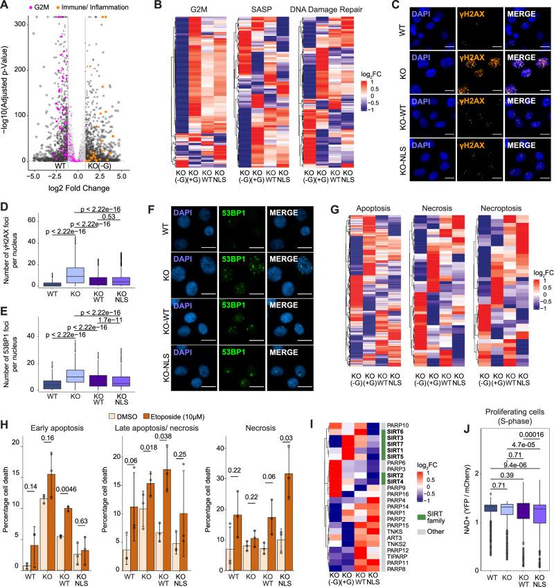
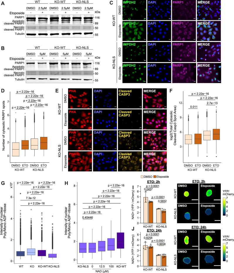
Nuclear metabolism and DNA damage response are intertwined processes, but the precise molecular links remain elusive. Here, we explore this crosstalk using triple-negative breast cancer (TNBC) as a model, a subtype often prone to DNA damage accumulation. We show that the de novo purine synthesis enzyme IMPDH2 is enriched on chromatin in TNBC compared to other subtypes. IMPDH2 chromatin localization is DNA damage dependent, and IMPDH2 repression leads to DNA damage accumulation. On chromatin, IMPDH2 interacts with and modulates PARP1 activity by controlling the nuclear availability of NAD to fine-tune the DNA damage response. However, when IMPDH2 is restricted to the nucleus, it depletes nuclear NAD, leading to PARP1 cleavage and cell death. Our study identifies a non-canonical nuclear role for IMPDH2, acting as a convergence point of nuclear metabolism and DNA damage response.

摘要

核代谢与 DNA 损伤反应是相互交织的过程,但精确的分子联系仍难以捉摸。在这里,我们以三阴性乳腺癌(TNBC)为模型探索这种串扰,该亚型通常容易积累 DNA 损伤。我们表明,从头嘌呤合成酶 IMPDH2 在 TNBC 中的染色质上的富集程度高于其他亚型。IMPDH2 染色质定位依赖于 DNA 损伤,并且 IMPDH2 的抑制导致 DNA 损伤的积累。在染色质上,IMPDH2 通过控制 NAD 的核可用性与 PARP1 相互作用并调节其活性,从而精细调节 DNA 损伤反应。然而,当 IMPDH2 被限制在核内时,它会耗尽核 NAD,导致 PARP1 切割和细胞死亡。我们的研究确定了 IMPDH2 的一种非典型核作用,它充当核代谢和 DNA 损伤反应的汇聚点。

https://cdn.ncbi.nlm.nih.gov/pmc/blobs/0262/11557828/814ce07e345a/41467_2024_53877_Fig6_HTML.jpg
https://cdn.ncbi.nlm.nih.gov/pmc/blobs/0262/11557828/18f073035fe7/41467_2024_53877_Fig1_HTML.jpg
https://cdn.ncbi.nlm.nih.gov/pmc/blobs/0262/11557828/be6e9e1e080d/41467_2024_53877_Fig2_HTML.jpg
https://cdn.ncbi.nlm.nih.gov/pmc/blobs/0262/11557828/6a902c1a6908/41467_2024_53877_Fig3_HTML.jpg
https://cdn.ncbi.nlm.nih.gov/pmc/blobs/0262/11557828/ebd97eeba639/41467_2024_53877_Fig4_HTML.jpg
https://cdn.ncbi.nlm.nih.gov/pmc/blobs/0262/11557828/159fe1afee3b/41467_2024_53877_Fig5_HTML.jpg
https://cdn.ncbi.nlm.nih.gov/pmc/blobs/0262/11557828/814ce07e345a/41467_2024_53877_Fig6_HTML.jpg
https://cdn.ncbi.nlm.nih.gov/pmc/blobs/0262/11557828/18f073035fe7/41467_2024_53877_Fig1_HTML.jpg
https://cdn.ncbi.nlm.nih.gov/pmc/blobs/0262/11557828/be6e9e1e080d/41467_2024_53877_Fig2_HTML.jpg
https://cdn.ncbi.nlm.nih.gov/pmc/blobs/0262/11557828/6a902c1a6908/41467_2024_53877_Fig3_HTML.jpg
https://cdn.ncbi.nlm.nih.gov/pmc/blobs/0262/11557828/ebd97eeba639/41467_2024_53877_Fig4_HTML.jpg
https://cdn.ncbi.nlm.nih.gov/pmc/blobs/0262/11557828/159fe1afee3b/41467_2024_53877_Fig5_HTML.jpg
https://cdn.ncbi.nlm.nih.gov/pmc/blobs/0262/11557828/814ce07e345a/41467_2024_53877_Fig6_HTML.jpg

相似文献

1
Nuclear IMPDH2 controls the DNA damage response by modulating PARP1 activity.核 IMPDH2 通过调节 PARP1 活性来控制 DNA 损伤反应。
Nat Commun. 2024 Nov 12;15(1):9515. doi: 10.1038/s41467-024-53877-z.
2
Inosine monophosphate dehydrogenase 2 (IMPDH2) modulates response to therapy and chemo-resistance in triple negative breast cancer.肌苷-5'-单磷酸脱氢酶2(IMPDH2)调节三阴性乳腺癌的治疗反应和化疗耐药性。
Sci Rep. 2025 Jan 7;15(1):1061. doi: 10.1038/s41598-024-85094-5.
3
MUC1-C Integrates Chromatin Remodeling and PARP1 Activity in the DNA Damage Response of Triple-Negative Breast Cancer Cells.MUC1-C 整合染色质重塑和 PARP1 活性在三阴性乳腺癌细胞的 DNA 损伤反应中。
Cancer Res. 2019 Apr 15;79(8):2031-2041. doi: 10.1158/0008-5472.CAN-18-3259. Epub 2019 Mar 1.
4
Nuclear localization of APLF facilitates breast cancer metastasis.APLF 的核定位促进乳腺癌转移。
Biochim Biophys Acta Mol Basis Dis. 2025 Jan;1871(1):167537. doi: 10.1016/j.bbadis.2024.167537. Epub 2024 Oct 9.
5
Shikonin is a novel and selective IMPDH2 inhibitor that target triple-negative breast cancer.紫草素是一种新型、选择性的 IMPDH2 抑制剂,可靶向三阴性乳腺癌。
Phytother Res. 2021 Jan;35(1):463-476. doi: 10.1002/ptr.6825. Epub 2020 Aug 10.
6
MORC2 regulates DNA damage response through a PARP1-dependent pathway.MORC2 通过依赖 PARP1 的途径调节 DNA 损伤反应。
Nucleic Acids Res. 2019 Sep 19;47(16):8502-8520. doi: 10.1093/nar/gkz545.
7
CXCR4 inhibitor, AMD3100, down-regulates PARP1 expression and Synergizes with olaparib causing severe DNA damage in BRCA-proficient triple-negative breast cancer.CXCR4抑制剂AMD3100可下调PARP1表达,并与奥拉帕尼协同作用,在BRCA功能正常的三阴性乳腺癌中造成严重的DNA损伤。
Cancer Lett. 2022 Dec 28;551:215944. doi: 10.1016/j.canlet.2022.215944. Epub 2022 Oct 7.
8
Wnt/β-catenin signalling activates IMPDH2-mediated purine metabolism to facilitate oxaliplatin resistance by inhibiting caspase-dependent apoptosis in colorectal cancer.Wnt/β-连环蛋白信号通路激活IMPDH2介导的嘌呤代谢,通过抑制结直肠癌中半胱天冬酶依赖性凋亡来促进奥沙利铂耐药。
J Transl Med. 2024 Feb 3;22(1):133. doi: 10.1186/s12967-024-04934-0.
9
PARP1 and PRC2 double deficiency promotes BRCA-proficient breast cancer growth by modification of the tumor microenvironment.PARP1 和 PRC2 双重缺失通过肿瘤微环境的改变促进了 BRCA 功能正常的乳腺癌生长。
FEBS J. 2021 May;288(9):2888-2910. doi: 10.1111/febs.15636. Epub 2020 Dec 2.
10
AKT-dependent nuclear localization of EPRS1 activates PARP1 in breast cancer cells.EPRS1 的 AKT 依赖性核定位激活乳腺癌细胞中的 PARP1。
Proc Natl Acad Sci U S A. 2024 Jul 23;121(30):e2303642121. doi: 10.1073/pnas.2303642121. Epub 2024 Jul 16.

引用本文的文献

1
Depletion of nuclear cytoophidia in Alzheimer's disease.阿尔茨海默病中细胞核胞质环的耗竭。
Free Neuropathol. 2025 Mar 7;6:8. doi: 10.17879/freeneuropathology-2025-6282. eCollection 2025 Jan.

本文引用的文献

1
Complex heatmap visualization.复杂热图可视化。
Imeta. 2022 Aug 1;1(3):e43. doi: 10.1002/imt2.43. eCollection 2022 Sep.
2
A metabolic map of the DNA damage response identifies PRDX1 in the control of nuclear ROS scavenging and aspartate availability.DNA 损伤反应的代谢图谱确定了 PRDX1 在控制核 ROS 清除和天冬氨酸可用性中的作用。
Mol Syst Biol. 2023 Jul 11;19(7):e11267. doi: 10.15252/msb.202211267. Epub 2023 Jun 1.
3
Nucleotide imbalance decouples cell growth from cell proliferation.核苷酸失衡使细胞生长与细胞增殖脱耦联。
Nat Cell Biol. 2022 Aug;24(8):1252-1264. doi: 10.1038/s41556-022-00965-1. Epub 2022 Aug 4.
4
Molecular Mechanisms of Parthanatos and Its Role in Diverse Diseases.细胞坏死性凋亡的分子机制及其在多种疾病中的作用。
Int J Mol Sci. 2022 Jun 30;23(13):7292. doi: 10.3390/ijms23137292.
5
OpenCell: Endogenous tagging for the cartography of human cellular organization.OpenCell:用于人类细胞组织图谱绘制的内源性标记。
Science. 2022 Mar 11;375(6585):eabi6983. doi: 10.1126/science.abi6983.
6
The hallmarks of cancer metabolism: Still emerging.癌症代谢的特征:仍在不断涌现。
Cell Metab. 2022 Mar 1;34(3):355-377. doi: 10.1016/j.cmet.2022.01.007. Epub 2022 Feb 4.
7
Role of PARP in TNBC: Mechanism of Inhibition, Clinical Applications, and Resistance.聚(ADP-核糖)聚合酶在三阴性乳腺癌中的作用:抑制机制、临床应用及耐药性
Biomedicines. 2021 Oct 21;9(11):1512. doi: 10.3390/biomedicines9111512.
8
The PRIDE database resources in 2022: a hub for mass spectrometry-based proteomics evidences.PRIDE 数据库资源在 2022 年:一个基于质谱的蛋白质组学证据的中心。
Nucleic Acids Res. 2022 Jan 7;50(D1):D543-D552. doi: 10.1093/nar/gkab1038.
9
clusterProfiler 4.0: A universal enrichment tool for interpreting omics data.clusterProfiler 4.0:用于解释组学数据的通用富集工具。
Innovation (Camb). 2021 Jul 1;2(3):100141. doi: 10.1016/j.xinn.2021.100141. eCollection 2021 Aug 28.
10
Emerging role of PARP-1 and PARthanatos in ischemic stroke.PARP-1 和 PARthanatos 在缺血性脑卒中中的作用日益凸显。
J Neurochem. 2022 Jan;160(1):74-87. doi: 10.1111/jnc.15464. Epub 2021 Jul 28.