• 文献检索
  • 文档翻译
  • 深度研究
  • 学术资讯
  • Suppr Zotero 插件Zotero 插件
  • 邀请有礼
  • 套餐&价格
  • 历史记录
应用&插件
Suppr Zotero 插件Zotero 插件浏览器插件Mac 客户端Windows 客户端微信小程序
定价
高级版会员购买积分包购买API积分包
服务
文献检索文档翻译深度研究API 文档MCP 服务
关于我们
关于 Suppr公司介绍联系我们用户协议隐私条款
关注我们

Suppr 超能文献

核心技术专利:CN118964589B侵权必究
粤ICP备2023148730 号-1Suppr @ 2026

文献检索

告别复杂PubMed语法,用中文像聊天一样搜索,搜遍4000万医学文献。AI智能推荐,让科研检索更轻松。

立即免费搜索

文件翻译

保留排版,准确专业,支持PDF/Word/PPT等文件格式,支持 12+语言互译。

免费翻译文档

深度研究

AI帮你快速写综述,25分钟生成高质量综述,智能提取关键信息,辅助科研写作。

立即免费体验

肌苷-5'-单磷酸脱氢酶2(IMPDH2)调节三阴性乳腺癌的治疗反应和化疗耐药性。

Inosine monophosphate dehydrogenase 2 (IMPDH2) modulates response to therapy and chemo-resistance in triple negative breast cancer.

作者信息

da Silva Fernandes Tatiane, Gillard Bryan M, Dai Tao, Martin Jeffrey C, Chaudhry Kanita A, Dugas Scott M, Fisher Alyssa A, Sharma Pia, Wu RongRong, Attwood Kristopher M, Dasgupta Subhamoy, Takabe Kazuaki, Rosario Spencer R, Bianchi-Smiraglia Anna

机构信息

Department of Cell Stress Biology, Roswell Park Comprehensive Cancer Center, CGP L3-317, Buffalo, NY, 14263, USA.

Department of Pharmacology and Therapeutics, Roswell Park Comprehensive Cancer Center, Buffalo, NY, USA.

出版信息

Sci Rep. 2025 Jan 7;15(1):1061. doi: 10.1038/s41598-024-85094-5.

DOI:10.1038/s41598-024-85094-5
PMID:39774345
原文链接:https://pmc.ncbi.nlm.nih.gov/articles/PMC11707137/
Abstract

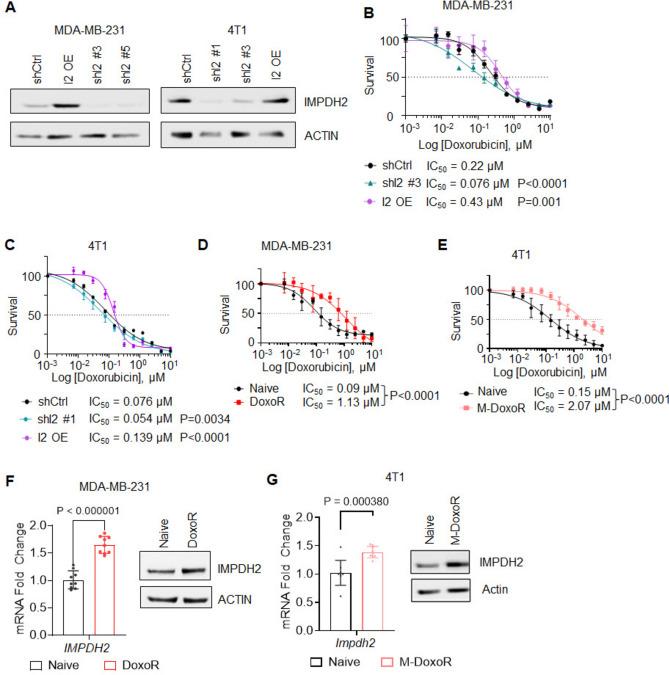
Triple negative breast cancer (TNBC) is one of the deadliest subtypes of breast cancer, whose high frequency of relapse is often due to resistance to chemotherapy. Here, we identify inosine monophosphate dehydrogenase 2 (IMPDH2) as a contributor to doxorubicin resistance, in multiple TNBC models. Analysis of publicly available datasets reveals elevated IMPDH2 expression to associate with worse overall TNBC prognosis in the clinic, including lower recurrence-free survival post adjuvant/neoadjuvant therapy. Importantly, both genetic depletion and pharmacological inhibition of IMPDH2 leads to reduction of pro-tumorigenic phenotypes in multiple doxorubicin-resistant TNBC models, both in vitro and in vivo. Overall, we propose IMPDH2 as a novel vulnerability that could be leveraged therapeutically to suppress and/or prevent the growth of chemo-resistant lesions.

摘要

三阴性乳腺癌(TNBC)是最致命的乳腺癌亚型之一,其高复发率通常归因于对化疗的耐药性。在此,我们在多个TNBC模型中确定肌苷单磷酸脱氢酶2(IMPDH2)是导致多柔比星耐药的一个因素。对公开可用数据集的分析显示,在临床上,IMPDH2表达升高与TNBC总体预后较差相关,包括辅助/新辅助治疗后无复发生存期较短。重要的是,在多个多柔比星耐药的TNBC模型中,无论是在体外还是体内,对IMPDH2进行基因敲除和药物抑制均导致促肿瘤表型减少。总体而言,我们提出IMPDH2是一种新的易损靶点,可通过治疗手段加以利用,以抑制和/或预防化疗耐药病灶的生长。

https://cdn.ncbi.nlm.nih.gov/pmc/blobs/360c/11707137/7df104e6d8b2/41598_2024_85094_Fig6_HTML.jpg
https://cdn.ncbi.nlm.nih.gov/pmc/blobs/360c/11707137/481094e3b7f0/41598_2024_85094_Fig1_HTML.jpg
https://cdn.ncbi.nlm.nih.gov/pmc/blobs/360c/11707137/8e3150cf3fdb/41598_2024_85094_Fig2_HTML.jpg
https://cdn.ncbi.nlm.nih.gov/pmc/blobs/360c/11707137/0ca20375275d/41598_2024_85094_Fig3_HTML.jpg
https://cdn.ncbi.nlm.nih.gov/pmc/blobs/360c/11707137/ec2f21c4ddce/41598_2024_85094_Fig4_HTML.jpg
https://cdn.ncbi.nlm.nih.gov/pmc/blobs/360c/11707137/8b7fa64a1134/41598_2024_85094_Fig5_HTML.jpg
https://cdn.ncbi.nlm.nih.gov/pmc/blobs/360c/11707137/7df104e6d8b2/41598_2024_85094_Fig6_HTML.jpg
https://cdn.ncbi.nlm.nih.gov/pmc/blobs/360c/11707137/481094e3b7f0/41598_2024_85094_Fig1_HTML.jpg
https://cdn.ncbi.nlm.nih.gov/pmc/blobs/360c/11707137/8e3150cf3fdb/41598_2024_85094_Fig2_HTML.jpg
https://cdn.ncbi.nlm.nih.gov/pmc/blobs/360c/11707137/0ca20375275d/41598_2024_85094_Fig3_HTML.jpg
https://cdn.ncbi.nlm.nih.gov/pmc/blobs/360c/11707137/ec2f21c4ddce/41598_2024_85094_Fig4_HTML.jpg
https://cdn.ncbi.nlm.nih.gov/pmc/blobs/360c/11707137/8b7fa64a1134/41598_2024_85094_Fig5_HTML.jpg
https://cdn.ncbi.nlm.nih.gov/pmc/blobs/360c/11707137/7df104e6d8b2/41598_2024_85094_Fig6_HTML.jpg

相似文献

1
Inosine monophosphate dehydrogenase 2 (IMPDH2) modulates response to therapy and chemo-resistance in triple negative breast cancer.肌苷-5'-单磷酸脱氢酶2(IMPDH2)调节三阴性乳腺癌的治疗反应和化疗耐药性。
Sci Rep. 2025 Jan 7;15(1):1061. doi: 10.1038/s41598-024-85094-5.
2
Proteomic profiling identifies upregulation of aurora kinases causing resistance to taxane-type chemotherapy in triple negative breast cancer.蛋白质组学分析确定了极光激酶的上调,其导致三阴性乳腺癌对紫杉烷类化疗产生耐药性。
Sci Rep. 2025 Jan 25;15(1):3211. doi: 10.1038/s41598-025-87315-x.
3
Amino acid transporter LAT1 (SLC7A5) promotes metabolic rewiring in TNBC progression through the L-Trp/QPRT/NAD pathway.氨基酸转运体LAT1(SLC7A5)通过L-色氨酸/QPRT/烟酰胺腺嘌呤二核苷酸途径促进三阴性乳腺癌进展中的代谢重塑。
J Exp Clin Cancer Res. 2025 Jul 3;44(1):190. doi: 10.1186/s13046-025-03446-z.
4
Chromatin-focused genetic and chemical screens identify BRPF1 as a targetable vulnerability in Taxol-resistant triple-negative breast cancer.以染色质为中心的基因和化学筛选确定BRPF1是耐紫杉醇三阴性乳腺癌中一个可靶向的脆弱点。
Exp Mol Med. 2025 Jun 30. doi: 10.1038/s12276-025-01466-5.
5
The neural stem cell gene PAFAH1B1 controls cell cycle progression, DNA integrity, and paclitaxel sensitivity of triple-negative breast cancer cells.神经干细胞基因PAFAH1B1控制三阴性乳腺癌细胞的细胞周期进程、DNA完整性和对紫杉醇的敏感性。
J Biol Chem. 2025 May 14;301(6):110235. doi: 10.1016/j.jbc.2025.110235.
6
SANT, a novel Chinese herbal monomer combination, decreasing tumor growth and angiogenesis via modulating autophagy in heparanase overexpressed triple-negative breast cancer.桑特,一种新型中草药单体组合,通过调节乙酰肝素酶过表达的三阴性乳腺癌中的自噬来抑制肿瘤生长和血管生成。
J Ethnopharmacol. 2021 Feb 10;266:113430. doi: 10.1016/j.jep.2020.113430. Epub 2020 Oct 2.
7
THEM6 modulates carboplatin sensitivity by regulating ferroptosis through FDFT1 in triple-negative breast cancer.THEM6通过FDFT1调节三阴性乳腺癌中的铁死亡来调控卡铂敏感性。
Breast Cancer Res. 2025 Jul 6;27(1):124. doi: 10.1186/s13058-025-02078-7.
8
Signature-based repurposed drugs resemble the inhibition of TGFβ-induced NDRG1 as potential therapeutics for triple-negative breast cancer.基于特征的重新利用药物类似于抑制TGFβ诱导的NDRG1,可作为三阴性乳腺癌的潜在治疗方法。
Int J Biol Sci. 2025 Jun 9;21(9):3949-3967. doi: 10.7150/ijbs.112645. eCollection 2025.
9
Inhibition of Interleukin-8/C-X-C Chemokine Receptor 2 Signaling Axis Prevents Tumor Growth and Metastasis in Triple-Negative Breast Cancer Cells.抑制白细胞介素-8/C-X-C趋化因子受体2信号轴可预防三阴性乳腺癌细胞的肿瘤生长和转移。
Pharmacology. 2025 Apr 4:1-13. doi: 10.1159/000545659.
10
USP44 promotes chemotherapeutic drug resistance of triple negative breast cancer through EZH2 protein stability.USP44通过EZH2蛋白稳定性促进三阴性乳腺癌的化疗耐药性。
Cancer Biol Ther. 2025 Dec;26(1):2529652. doi: 10.1080/15384047.2025.2529652. Epub 2025 Jul 6.

引用本文的文献

1
Glucose metabolism and its direct action in cancer and immune regulation: opportunities and challenges for metabolic targeting.葡萄糖代谢及其在癌症和免疫调节中的直接作用:代谢靶向的机遇与挑战
J Biomed Sci. 2025 Jul 29;32(1):71. doi: 10.1186/s12929-025-01167-1.
2
Neoadjuvant PD-1 blockade induces the autophagy of immune cells: a new target for synergistic therapy of recurrent glioblastoma.新辅助PD-1阻断诱导免疫细胞自噬:复发性胶质母细胞瘤协同治疗的新靶点。
Biochem Biophys Rep. 2025 Jun 27;43:102119. doi: 10.1016/j.bbrep.2025.102119. eCollection 2025 Sep.
3
Genome-scale knockout simulation and clustering analysis of drug-resistant breast cancer cells reveal drug sensitization targets.

本文引用的文献

1
Aryl hydrocarbon receptor suppresses STING-mediated type I IFN expression in triple-negative breast cancer.芳香烃受体抑制三阴性乳腺癌中 STING 介导的 I 型 IFN 表达。
Sci Rep. 2024 Mar 8;14(1):5731. doi: 10.1038/s41598-024-54732-3.
2
Wnt/β-catenin signalling activates IMPDH2-mediated purine metabolism to facilitate oxaliplatin resistance by inhibiting caspase-dependent apoptosis in colorectal cancer.Wnt/β-连环蛋白信号通路激活IMPDH2介导的嘌呤代谢,通过抑制结直肠癌中半胱天冬酶依赖性凋亡来促进奥沙利铂耐药。
J Transl Med. 2024 Feb 3;22(1):133. doi: 10.1186/s12967-024-04934-0.
3
Aryl hydrocarbon receptor is a tumor promoter in -amplified neuroblastoma cells through suppression of differentiation.
耐药性乳腺癌细胞的全基因组敲除模拟与聚类分析揭示了药物致敏靶点。
Proc Natl Acad Sci U S A. 2025 Jul;122(26):e2425384122. doi: 10.1073/pnas.2425384122. Epub 2025 Jun 25.
4
Multi-omics analyses of the heterogenous immune microenvironment in triple-negative breast cancer implicate UQCRFS1 potentiates tumor progression.三阴性乳腺癌异质性免疫微环境的多组学分析表明UQCRFS1促进肿瘤进展。
Exp Hematol Oncol. 2025 Jun 16;14(1):85. doi: 10.1186/s40164-025-00672-1.
5
The Therapeutic Potential of Baicalin and Baicalein in Breast Cancer: A Systematic Review of Mechanisms and Efficacy.黄芩苷和黄芩素在乳腺癌中的治疗潜力:机制与疗效的系统评价
Curr Issues Mol Biol. 2025 Mar 11;47(3):181. doi: 10.3390/cimb47030181.
芳烃受体通过抑制分化,在扩增的神经母细胞瘤细胞中是一种肿瘤促进因子。
iScience. 2023 Oct 21;26(11):108303. doi: 10.1016/j.isci.2023.108303. eCollection 2023 Nov 17.
4
GTP Signaling Links Metabolism, DNA Repair, and Responses to Genotoxic Stress.GTP 信号转导将代谢、DNA 修复和对遗传毒性应激的反应联系起来。
Cancer Discov. 2024 Jan 12;14(1):158-175. doi: 10.1158/2159-8290.CD-23-0437.
5
Mechanisms of Breast Cancer Stem Cell Specification and Self-Renewal Mediated by Hypoxia-Inducible Factor 1.缺氧诱导因子 1 介导的乳腺癌干细胞特化和自我更新的机制。
Stem Cells Transl Med. 2023 Dec 18;12(12):783-790. doi: 10.1093/stcltm/szad061.
6
Conserved angio-immune subtypes of the tumor microenvironment predict response to immune checkpoint blockade therapy.肿瘤微环境中保守的血管免疫亚型预测免疫检查点阻断治疗的反应。
Cell Rep Med. 2023 Jan 17;4(1):100896. doi: 10.1016/j.xcrm.2022.100896. Epub 2023 Jan 10.
7
Metabolic enzyme LDHA activates Rac1 GTPase as a noncanonical mechanism to promote cancer.代谢酶 LDHA 通过非典型机制激活 Rac1 GTPase 促进癌症。
Nat Metab. 2022 Dec;4(12):1830-1846. doi: 10.1038/s42255-022-00708-4. Epub 2022 Dec 19.
8
IMPDH inhibition activates TLR-VCAM1 pathway and suppresses the development of MLL-fusion leukemia.IMPdh 抑制激活 TLR-VCAM1 通路并抑制 MLL 融合白血病的发展。
EMBO Mol Med. 2023 Jan 11;15(1):e15631. doi: 10.15252/emmm.202115631. Epub 2022 Dec 1.
9
Compartmentalization and regulation of GTP in control of cellular phenotypes.GTP 在控制细胞表型中的区室化和调节。
Trends Mol Med. 2022 Sep;28(9):758-769. doi: 10.1016/j.molmed.2022.05.012. Epub 2022 Jun 16.
10
Doxorubicin-Resistant TNBC Cells Exhibit Rapid Growth with Cancer Stem Cell-like Properties and EMT Phenotype, Which Can Be Transferred to Parental Cells through Autocrine Signaling.多柔比星耐药的三阴性乳腺癌细胞表现出具有癌症干细胞样特性和 EMT 表型的快速生长,这种特性和表型可以通过自分泌信号传递给亲本细胞。
Int J Mol Sci. 2021 Nov 18;22(22):12438. doi: 10.3390/ijms222212438.