Suppr超能文献

棉苞叶单宁介导的对内皮细胞的毒性。对棉尘病发病机制的潜在作用。

Toxicity to endothelial cells mediated by cotton bract tannin. Potential contribution to the pathogenesis of byssinosis.

作者信息

Johnson C M, Hanson M N, Rohrbach M S

出版信息

Am J Pathol. 1986 Mar;122(3):399-409.

Abstract

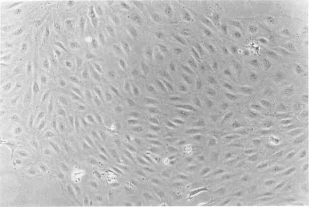
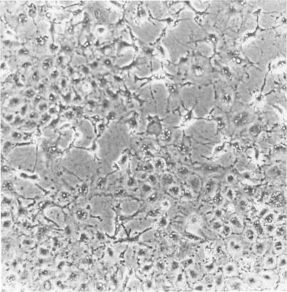
Byssinosis is an occupational disease of textile workers caused by exposure to the bract portion of the cotton plant in the form of mill dust. The authors established an in vitro cytotoxicity assay using 51Cr release to assess time- and dose-dependent toxicity of condensed tannin, a component of bracts, on porcine aortic and pulmonary arterial endothelial cells. Tannin produced dose-dependent toxicity to both types of endothelial cells; aortic endothelial cells were more sensitive than were endothelial cells from the pulmonary artery. Skin fibroblasts were relatively insensitive to tannin. Cytotoxicity was not immediate. Release of 51Cr was preceded by a several-hour period during which the endothelial cells underwent profound morphologic changes (as assessed by light and electron microscopy). Even brief exposure of endothelial cells to tannin produced later toxicity and morphologic changes. Condensed tannin causes time- and dose-dependent injury to endothelial cells in vitro at doses potentially achievable in vivo.

摘要

棉尘病是纺织工人的一种职业病,由接触棉株苞叶部分形成的工厂粉尘所致。作者建立了一种体外细胞毒性测定法,利用铬-51释放来评估苞叶成分缩合单宁对猪主动脉和肺动脉内皮细胞的时间和剂量依赖性毒性。单宁对两种类型的内皮细胞均产生剂量依赖性毒性;主动脉内皮细胞比肺动脉内皮细胞更敏感。皮肤成纤维细胞对单宁相对不敏感。细胞毒性并非即时发生。在铬-51释放之前,内皮细胞经历了数小时的深刻形态学变化(通过光学和电子显微镜评估)。即使内皮细胞短暂接触单宁也会产生后期毒性和形态学变化。缩合单宁在体内可能达到的剂量下,可在体外对内皮细胞造成时间和剂量依赖性损伤。

https://cdn.ncbi.nlm.nih.gov/pmc/blobs/908e/1888227/1658c376394c/amjpathol00162-0036-a.jpg

文献AI研究员

20分钟写一篇综述,助力文献阅读效率提升50倍。

立即体验

用中文搜PubMed

大模型驱动的PubMed中文搜索引擎

马上搜索

文档翻译

学术文献翻译模型,支持多种主流文档格式。

立即体验