Suppr超能文献

特殊染色对胃肠道间质瘤与平滑肌瘤的鉴别诊断。

Differential diagnosis of gastrointestinal stromal tumors versus leiomyomas by special stains.

机构信息

Department of Pathology, Hubei Provincial Hospital of Integrated Chinese and Western Medicine, Wuhan, 430000, China.

出版信息

BMC Gastroenterol. 2024 Nov 21;24(1):418. doi: 10.1186/s12876-024-03511-5.

Abstract

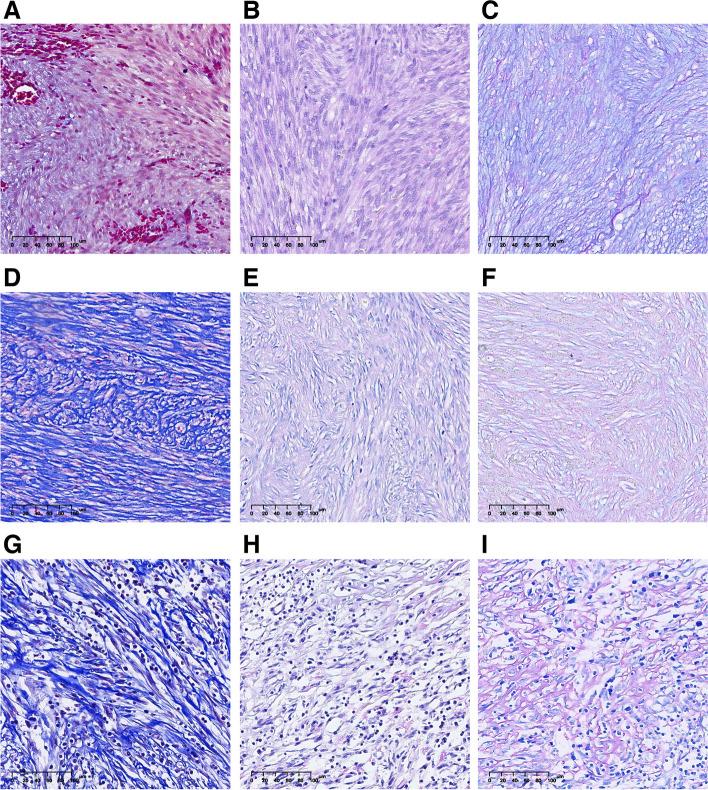
The objective of the study was to investigate whether special stains can differentiate gastrointestinal stromal tumors (GISTs) and gastrointestinal leiomyomas (GILs). In this retrospective study, 39 cases of GISTs (diameter, 0.2-8.8 cm) and 75 cases of GILs (diameter, 0.2-4.5 cm) were recruited, all biopsy specimens were obtained by endoscopic submucosal dissection (ESD) and endoscopic mucosal resection (EMR) excision, and the depth of excision included the whole mucosa, mucosal myometria, and most submucosa. GISTs and GILs were the most common types of mesenchymal tumors found anywhere along the gastrointestinal (GI) tract, from the esophagus to the rectum. GISTs were often associated with a higher risk of malignancy. In this study, the gender, age of onset, size and sites of the lesions, together with the number of mucosal or lamina propria lesions all have significant differences, nevertheless, there was no significant difference in cell morphology of GISTs and GILs tested by hematoxylin eosin (H&E) stain, and all showed low echo areas by EUS examination. In this retrospective study, the GISTs and GILs had been diagnosed by immunohistochemistry combined with clinical morphology. Subsequently, special stains including Masson's trichrome (MT) stain, Alcian blue periodic acid-Schiff (AB-PAS) stain (pH 2.5), Wright-Giemsa (W-G) stain and periodic acid-Schiff (PAS) combined with diastase periodic acid-Schiff (D-PAS) stains were also applied in the diagnosis, the retrospective study results showed that 92.3% GISTs were stained blue with MT stain, 97.3% GILs were stained red with MT stain (P < 0.01), almost all GISTs were PAS-negative (light purple), in contrast, all GILs were PAS-positive (rose red) (P < 0.01), all of these experiments set control using the blood vessels stained by MT and AB-PAS stains. Nevertheless, there was no significant difference between GISTs and GILs stained by W-G stain. These obvious and meaningful differential results were also confirmed in the detection of new GISTs and GILs cases using MT and AB-PAS stains. In conclusion, MT and AB-PAS stains could also identify GISTs and GILs cases, particularly, AB-PAS was more sensitive and more specific, providing a more cost-effective, simple, and high sensitivity and specificity inspection methods, which should be noticed and widely used in the future, especially in resource-limited grass-roots testing institution or in cases with inconclusive immunostains or insufficient material.

摘要

本研究旨在探讨特殊染色是否能区分胃肠道间质瘤(GISTs)和胃肠道平滑肌瘤(GILs)。在这项回顾性研究中,共纳入 39 例 GISTs(直径 0.2-8.8cm)和 75 例 GILs(直径 0.2-4.5cm)。所有活检标本均通过内镜黏膜下剥离术(ESD)和内镜黏膜切除术(EMR)切除,切除深度包括整个黏膜、黏膜肌层和大部分黏膜下层。GISTs 和 GILs 是胃肠道(GI)任何部位最常见的间叶肿瘤,从食管到直肠均有发生。GISTs 通常与更高的恶性风险相关。在本研究中,性别、发病年龄、病变大小和部位以及黏膜或固有层病变的数量均有显著差异,但苏木精-伊红(H&E)染色下 GISTs 和 GILs 的细胞形态无明显差异,且超声内镜(EUS)检查均显示低回声区。在这项回顾性研究中,GISTs 和 GILs 是通过免疫组织化学结合临床形态学诊断的。随后,应用特殊染色包括 Masson 三色(MT)染色、阿尔辛蓝过碘酸希夫(AB-PAS)染色(pH 2.5)、Wright-Giemsa(W-G)染色和过碘酸希夫(PAS)联合淀粉酶过碘酸希夫(D-PAS)染色进行诊断。回顾性研究结果显示,92.3%的 GISTs 用 MT 染色呈蓝色,97.3%的 GILs 用 MT 染色呈红色(P<0.01),几乎所有的 GISTs 均 PAS 阴性(淡紫色),相比之下,所有的 GILs 均 PAS 阳性(玫瑰红色)(P<0.01),所有这些实验均使用 MT 和 AB-PAS 染色的血管作为对照。然而,W-G 染色的 GISTs 和 GILs 之间无明显差异。在使用 MT 和 AB-PAS 染色检测新的 GISTs 和 GILs 病例时,也得到了这些明显而有意义的鉴别结果。总之,MT 和 AB-PAS 染色也可以识别 GISTs 和 GILs 病例,尤其是 AB-PAS 更敏感、更特异,提供了一种更具成本效益、简单、高灵敏度和特异性的检查方法,值得在未来注意并广泛应用,尤其是在资源有限的基层检测机构或免疫组化结果不确定或材料不足的情况下。

https://cdn.ncbi.nlm.nih.gov/pmc/blobs/d60a/11580362/c14d69875782/12876_2024_3511_Fig1_HTML.jpg

文献检索

告别复杂PubMed语法,用中文像聊天一样搜索,搜遍4000万医学文献。AI智能推荐,让科研检索更轻松。

立即免费搜索

文件翻译

保留排版,准确专业,支持PDF/Word/PPT等文件格式,支持 12+语言互译。

免费翻译文档

深度研究

AI帮你快速写综述,25分钟生成高质量综述,智能提取关键信息,辅助科研写作。

立即免费体验