Suppr超能文献

Beclin 1可预防ISG15介导的细胞因子风暴,以确保胎儿造血及存活。

Beclin 1 prevents ISG15-mediated cytokine storms to secure fetal hematopoiesis and survival.

作者信息

Wei Wen, Gao Xueqin, Qian Jiawei, Li Lei, Zhao Chen, Xu Li, Zhu Yanfei, Liu Zhenzhen, Liu Nengrong, Wang Xueqing, Jin Zhicong, Liu Bowen, Xu Lan, Dong Jin, Zhang Suping, Wang Jiarong, Zhang Yumu, Yu Yao, Yan Zhanjun, Yang Yanjun, Lu Jie, Fang Yixuan, Yuan Na, Wang Jianrong

机构信息

Research Center for Blood Engineering and Manufacturing, Cyrus Tang Medical Institute, Soochow University, Suzhou, China.

National Clinical Research Center for Hematologic Diseases, Key Laboratory of Thrombosis and Hemostasis Ministry of Health, Collaborative Innovation Center of Hematology, Jiangsu Institute of Hematology, Institute of Blood and Marrow Transplantation, The First Affiliated Hospital of Soochow University, Suzhou, China.

出版信息

J Clin Invest. 2025 Feb 3;135(3):e177375. doi: 10.1172/JCI177375.

Abstract

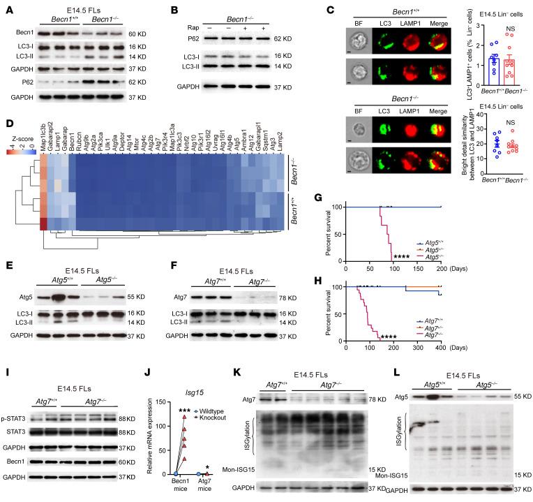
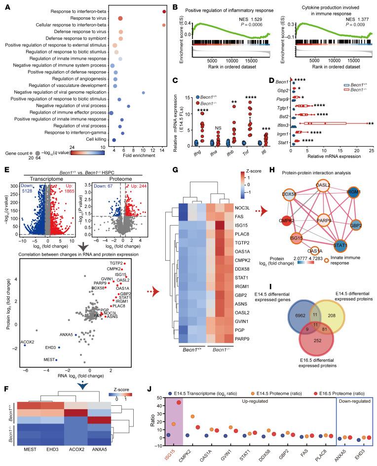
Proper control of inflammatory responses is essential for embryonic development, but the underlying mechanism is poorly understood. Here, we show that under physiological conditions, inactivation of ISG15, an inflammation amplifier, is associated with the interaction of Beclin 1 (Becn1), via its evolutionarily conserved domain, with STAT3 in the major fetal hematopoietic organ of mice. Conditional loss of Becn1 caused sequential dysfunction and exhaustion of fetal liver hematopoietic stem cells, leading to lethal inflammatory cell-biased hematopoiesis in the fetus. Molecularly, the absence of Becn1 resulted in the release of STAT3 from Becn1 tethering and subsequent phosphorylation and translocation to the nucleus, which in turn directly activated the transcription of ISG15 in fetal liver hematopoietic cells, coupled with increased ISGylation and production of inflammatory cytokines, whereas inactivating STAT3 reduced ISG15 transcription and inflammation but improved hematopoiesis potential, and further silencing ISG15 mitigated the above collapse in the Becn1-null hematopoietic lineage. The Becn1/STAT3/ISG15 axis remains functional in autophagy-disrupted fetal hematopoietic organs. These results suggest that Becn1, in an autophagy-independent manner, secures hematopoiesis and survival of the fetus by directly inhibiting STAT3/ISG15 activation to prevent cytokine storms. Our findings highlight a previously undocumented role of Becn1 in governing ISG15 to safeguard the fetus.

摘要

对炎症反应进行适当控制对于胚胎发育至关重要,但其潜在机制仍知之甚少。在此,我们表明在生理条件下,炎症放大器ISG15的失活与Beclin 1(Becn1)通过其进化保守结构域与小鼠主要胎儿造血器官中的STAT3相互作用有关。Becn1的条件性缺失导致胎儿肝脏造血干细胞的连续功能障碍和耗竭,导致胎儿出现致命的炎症细胞偏向性造血。在分子层面,Becn1的缺失导致STAT3从Becn1的束缚中释放出来,随后磷酸化并转移至细胞核,这反过来直接激活了胎儿肝脏造血细胞中ISG15的转录,同时ISGylation增加以及炎性细胞因子产生增加,而使STAT3失活则降低了ISG15转录和炎症,但改善了造血潜力,进一步沉默ISG15减轻了Becn1缺失造血谱系中的上述崩溃。Becn1/STAT3/ISG15轴在自噬破坏的胎儿造血器官中仍然发挥作用。这些结果表明,Becn1以自噬非依赖的方式,通过直接抑制STAT3/ISG15激活来防止细胞因子风暴,从而确保胎儿的造血和存活。我们的发现突出了Becn1在调控ISG15以保护胎儿方面以前未被记录的作用。

https://cdn.ncbi.nlm.nih.gov/pmc/blobs/6e68/11785930/e8b78b3cbb0d/jci-135-177375-g206.jpg

文献检索

告别复杂PubMed语法,用中文像聊天一样搜索,搜遍4000万医学文献。AI智能推荐,让科研检索更轻松。

立即免费搜索

文件翻译

保留排版,准确专业,支持PDF/Word/PPT等文件格式,支持 12+语言互译。

免费翻译文档

深度研究

AI帮你快速写综述,25分钟生成高质量综述,智能提取关键信息,辅助科研写作。

立即免费体验