• 文献检索
  • 文档翻译
  • 深度研究
  • 学术资讯
  • Suppr Zotero 插件Zotero 插件
  • 邀请有礼
  • 套餐&价格
  • 历史记录
应用&插件
Suppr Zotero 插件Zotero 插件浏览器插件Mac 客户端Windows 客户端微信小程序
定价
高级版会员购买积分包购买API积分包
服务
文献检索文档翻译深度研究API 文档MCP 服务
关于我们
关于 Suppr公司介绍联系我们用户协议隐私条款
关注我们

Suppr 超能文献

核心技术专利:CN118964589B侵权必究
粤ICP备2023148730 号-1Suppr @ 2026

文献检索

告别复杂PubMed语法,用中文像聊天一样搜索,搜遍4000万医学文献。AI智能推荐,让科研检索更轻松。

立即免费搜索

文件翻译

保留排版,准确专业,支持PDF/Word/PPT等文件格式,支持 12+语言互译。

免费翻译文档

深度研究

AI帮你快速写综述,25分钟生成高质量综述,智能提取关键信息,辅助科研写作。

立即免费体验

应用磁共振成像方法评估健康成年人眼眶结构的正常测量值。

Evaluation of the Normal Measurements of Orbital Structures in Healthy Adult Individuals by Using a Magnetic Resonance Imaging Method.

机构信息

Department of Anatomy, Faculty of Medicine, Çukurova University, 01010 Adana, Turkey.

Department of Radiology, Yuregir State Hospital, 01010 Adana, Turkey.

出版信息

Tomography. 2024 Oct 22;10(11):1706-1715. doi: 10.3390/tomography10110125.

DOI:10.3390/tomography10110125
PMID:39590934
原文链接:https://pmc.ncbi.nlm.nih.gov/articles/PMC11598162/
Abstract

BACKGROUND

This study aims to determine the normal values of orbital structures according to sex in healthy adults.

METHODS

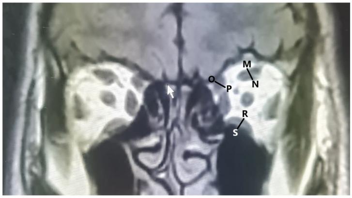
Diameters of extraocular muscles, the width of the optic nerve sheath diameter, the length of the inter-zygomatic line, ocular bulb length, and globe position were measured in the T1-weighed MR (magnetic resonance) images in 204 orbits of 102 individuals.

RESULTS

The mean values of the diameters of the extraocular muscles in males and females were as follows: medial rectus, 3.96 ± 0.52 and 3.58 ± 0.53 mm; lateral rectus, 3.47 ± 0.61 and 3.15 ± 0.48 mm; inferior rectus, 4.47 ± 0.53 and 4.07 ± 0.48 mm; superior rectus, 4.44 ± 0.64 and 4.01 ± 0.56 mm; and superior oblique, 3.68 ± 0.49 and 3.45 ± 0.44 mm. The length of the interzygomatic line in males and females were 102.68 ± 3.89 and 96.95 ± 3.4 mm, the ocular bulb length was 23.33 ± 1.32 and 22.83 ± 1.1 mm, the globe position was 7.66 ± 1.33 and 7.3 ± 1.39 mm, and the width of the optic nerve sheath diameter was 4.65 ± 0.62 and 4.28 ± 0.51 mm, respectively. All measurements were significantly greater for males than for females ( < 0.05).

CONCLUSIONS

We believe that a practical and quantitative method will be provided by this study for the diagnosis and determination of the normative values of orbital structures.

摘要

背景

本研究旨在确定健康成年人眼眶结构的性别正常参考值。

方法

在 102 名个体的 204 个眼眶的 T1 加权磁共振(MR)图像中,测量了眼外肌直径、视神经鞘直径宽度、眶间距离、眼球长度和眼球位置。

结果

男性和女性眼外肌直径的平均值分别为:内直肌,3.96 ± 0.52 和 3.58 ± 0.53mm;外直肌,3.47 ± 0.61 和 3.15 ± 0.48mm;下直肌,4.47 ± 0.53 和 4.07 ± 0.48mm;上直肌,4.44 ± 0.64 和 4.01 ± 0.56mm;和上斜肌,3.68 ± 0.49 和 3.45 ± 0.44mm。男性和女性眶间距离分别为 102.68 ± 3.89 和 96.95 ± 3.4mm,眼球长度分别为 23.33 ± 1.32 和 22.83 ± 1.1mm,眼球位置分别为 7.66 ± 1.33 和 7.3 ± 1.39mm,视神经鞘直径宽度分别为 4.65 ± 0.62 和 4.28 ± 0.51mm。所有测量值男性均显著大于女性(<0.05)。

结论

我们认为本研究将为眼眶结构的诊断和正常值的确定提供一种实用的定量方法。

https://cdn.ncbi.nlm.nih.gov/pmc/blobs/e21f/11598162/d5544cbf9f53/tomography-10-00125-g002.jpg
https://cdn.ncbi.nlm.nih.gov/pmc/blobs/e21f/11598162/46508c45de01/tomography-10-00125-g001.jpg
https://cdn.ncbi.nlm.nih.gov/pmc/blobs/e21f/11598162/d5544cbf9f53/tomography-10-00125-g002.jpg
https://cdn.ncbi.nlm.nih.gov/pmc/blobs/e21f/11598162/46508c45de01/tomography-10-00125-g001.jpg
https://cdn.ncbi.nlm.nih.gov/pmc/blobs/e21f/11598162/d5544cbf9f53/tomography-10-00125-g002.jpg

相似文献

1
Evaluation of the Normal Measurements of Orbital Structures in Healthy Adult Individuals by Using a Magnetic Resonance Imaging Method.应用磁共振成像方法评估健康成年人眼眶结构的正常测量值。
Tomography. 2024 Oct 22;10(11):1706-1715. doi: 10.3390/tomography10110125.
2
Normative measurements of orbital structures using MRI.使用磁共振成像(MRI)对眼眶结构进行标准化测量。
J Comput Assist Tomogr. 2000 May-Jun;24(3):493-6. doi: 10.1097/00004728-200005000-00025.
3
Normative measurements of orbital structures on magnetic resonance images; a cross-sectional study with mini review of the literature.磁共振影像眼眶结构的正常值测量:文献复习的横断面研究。
Surg Radiol Anat. 2024 May;46(5):595-604. doi: 10.1007/s00276-024-03349-2. Epub 2024 Apr 2.
4
The association of corneal thickness with ocular structures from corneal epithelium to optic nerve sheath diameter.角膜厚度与从角膜上皮到视神经鞘直径的眼部结构之间的关联。
Int Ophthalmol. 2025 Jul 22;45(1):306. doi: 10.1007/s10792-025-03683-3.
5
Normative measurements of Korean orbital structures revealed by computerized tomography.计算机断层扫描显示的韩国人眼眶结构的正常测量值。
Acta Ophthalmol Scand. 2001 Apr;79(2):197-200. doi: 10.1034/j.1600-0420.2001.079002197.x.
6
The unique rectus extraocular muscles of cetaceans: Homologies and possible functions.鲸目动物独特的直肌外眼肌:同源性和可能的功能。
J Anat. 2022 Jun;240(6):1075-1094. doi: 10.1111/joa.13628. Epub 2022 Jan 19.
7
Lateral Rectus Muscle Expands More Than Medial Rectus Following Maximal Deep Balanced Orbital Decompression.在最大深度平衡眼眶减压术后,外直肌比内直肌扩张更明显。
Ophthalmic Plast Reconstr Surg. 2018 Mar/Apr;34(2):140-142. doi: 10.1097/IOP.0000000000000894.
8
Patterns of Extraocular Muscle Enlargement in Graves' Orbitopathy and Acromegaly.格雷夫斯眼眶病和肢端肥大症中眼外肌增大的模式。
Thyroid. 2025 Jun;35(6):706-710. doi: 10.1089/thy.2024.0438. Epub 2024 Dec 20.
9
Normative measurements of orbital structures using CT.使用CT对眼眶结构进行规范性测量。
AJR Am J Roentgenol. 1998 Apr;170(4):1093-6. doi: 10.2214/ajr.170.4.9530066.
10
[MRI study of the thickness and width of the extraocular muscles in normal subjects].[正常受试者眼外肌厚度和宽度的磁共振成像研究]
Zhonghua Yan Ke Za Zhi. 2015 Jun;51(6):434-8.

本文引用的文献

1
The utility of orbital imaging in the evaluation of orbital disease.眼眶疾病评估中环眶成像的应用。
PLoS One. 2024 Aug 30;19(8):e0308528. doi: 10.1371/journal.pone.0308528. eCollection 2024.
2
Normative measurements of orbital structures on magnetic resonance images; a cross-sectional study with mini review of the literature.磁共振影像眼眶结构的正常值测量:文献复习的横断面研究。
Surg Radiol Anat. 2024 May;46(5):595-604. doi: 10.1007/s00276-024-03349-2. Epub 2024 Apr 2.
3
Magnetic Resonance-Based Assessment of Optic Nerve Sheath Diameter: A Prospective Observational Cohort Study on Inter- and Intra-Rater Agreement.
基于磁共振成像的视神经鞘直径评估:一项关于评分者间和评分者内一致性的前瞻性观察队列研究。
J Clin Med. 2023 Apr 5;12(7):2713. doi: 10.3390/jcm12072713.
4
Extraocular muscle enlargement.眼外肌肿大。
Graefes Arch Clin Exp Ophthalmol. 2022 Nov;260(11):3419-3435. doi: 10.1007/s00417-022-05727-1. Epub 2022 Jun 17.
5
Extraocular Muscle Volumetry for Assessment of Thyroid Eye Disease.用于评估甲状腺眼病的眼外肌容积测量法
J Neuroophthalmol. 2022 Mar 1;42(1):e274-e280. doi: 10.1097/WNO.0000000000001339. Epub 2021 Sep 30.
6
Magnetic resonance imaging of the orbit, Part 1: Basic principles and radiological approach.眼眶磁共振成像。第 1 部分:基本原理和放射学方法。
Indian J Ophthalmol. 2021 Oct;69(10):2574-2584. doi: 10.4103/ijo.IJO_3141_20.
7
Anatomy of the Orbit.眼眶解剖学
J Neurol Surg B Skull Base. 2020 Aug;81(4):319-332. doi: 10.1055/s-0040-1715096. Epub 2020 Sep 17.
8
Computed tomography imaging-based normative orbital measurement in Indian population.基于计算机断层扫描成像的印度人群正常眼眶测量。
Indian J Ophthalmol. 2019 May;67(5):659-663. doi: 10.4103/ijo.IJO_1187_18.
9
Association of anthropometric markers with globe position: A population-based MRI study.人体测量标志物与眼球位置的相关性:基于人群的 MRI 研究。
PLoS One. 2019 Feb 7;14(2):e0211817. doi: 10.1371/journal.pone.0211817. eCollection 2019.
10
Magnetic Resonance Imaging in Orbital Pathologies: A Pictorial Review.眼眶病变的磁共振成像:图文综述
J Belg Soc Radiol. 2018 Jan 4;101(1):5. doi: 10.5334/jbr-btr.1308.