• 文献检索
  • 文档翻译
  • 深度研究
  • 学术资讯
  • Suppr Zotero 插件Zotero 插件
  • 邀请有礼
  • 套餐&价格
  • 历史记录
应用&插件
Suppr Zotero 插件Zotero 插件浏览器插件Mac 客户端Windows 客户端微信小程序
定价
高级版会员购买积分包购买API积分包
服务
文献检索文档翻译深度研究API 文档MCP 服务
关于我们
关于 Suppr公司介绍联系我们用户协议隐私条款
关注我们

Suppr 超能文献

核心技术专利:CN118964589B侵权必究
粤ICP备2023148730 号-1Suppr @ 2026

文献检索

告别复杂PubMed语法,用中文像聊天一样搜索,搜遍4000万医学文献。AI智能推荐,让科研检索更轻松。

立即免费搜索

文件翻译

保留排版,准确专业,支持PDF/Word/PPT等文件格式,支持 12+语言互译。

免费翻译文档

深度研究

AI帮你快速写综述,25分钟生成高质量综述,智能提取关键信息,辅助科研写作。

立即免费体验

棘皮动物精子发生的免疫组织化学特征

Immunohistochemical Characterization of Spermatogenesis in the Ascidian .

机构信息

Shimoda Marine Research Center, University of Tsukuba, 5-10-1, Shimoda 415-0025, Shizuoka, Japan.

Faculty of Life Science and Biotechnology, Fukuyama University, Fukuyama 729-0292, Hiroshima, Japan.

出版信息

Cells. 2024 Nov 11;13(22):1863. doi: 10.3390/cells13221863.

DOI:10.3390/cells13221863
PMID:39594612
原文链接:https://pmc.ncbi.nlm.nih.gov/articles/PMC11592721/
Abstract

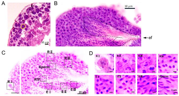
Animals show diverse processes of gametogenesis in the evolutionary pathway. Here, we characterized the spermatogenic cells in the testis of the marine invertebrate sperm differentiate in a non-cystic type of testis, comprising many follicles with various sizes and stages of spermatogenic cells. In the space among follicles, we observed free cells that were recognized by antibody against Müllerian inhibiting substance, a marker for vertebrate Sertoli cells. We further categorized the spermatogenic cells into four round stages (RI to RIV) and three elongated stages (EI to EIII) by morphological and immunohistochemical criteria. An antibody against a vertebrate Vasa homolog recognized a few large spermatogonium-like cells (RI) near the basal wall of a follicle. Consistent with the period of meiosis, a synaptonemal complex protein SYCP3 was recognized from early spermatocytes (RII) to early spermatids (E1). Acetylated tubulins were detected in spermatids before flagellar elongation at the RIV stage and became distributed along the flagella. Electron microscopy showed that the free cells outside the testicular follicle possessed a characteristic of vertebrate Sertoli cells. These results would provide a basis for basic and comparative studies on the mechanism of spermatogenesis.

摘要

动物在进化过程中表现出多样化的配子发生过程。在这里,我们描述了海洋无脊椎动物 精子发生的精巢中的生精细胞。在精巢中,生精细胞分化为非囊泡型,包含许多具有不同大小和生精细胞阶段的滤泡。在滤泡之间的空间中,我们观察到了自由细胞,这些细胞被抗 Müllerian 抑制物质的抗体识别,Müllerian 抑制物质是脊椎动物 Sertoli 细胞的标志物。我们进一步根据形态学和免疫组织化学标准将生精细胞分为四个圆形阶段(RI 到 RIV)和三个伸长阶段(EI 到 EIII)。一种针对脊椎动物 Vasa 同源物的抗体识别出靠近滤泡基底壁的几个大精原细胞样细胞(RI)。与减数分裂时期一致,从早期精母细胞(RII)到早期精子(E1)都能识别出联会复合体蛋白 SYCP3。在 RIV 阶段鞭毛伸长之前,乙酰化微管在精子中被检测到,并沿鞭毛分布。电子显微镜显示,滤泡外的自由细胞具有脊椎动物 Sertoli 细胞的特征。这些结果将为基础和比较研究精子发生机制提供依据。

https://cdn.ncbi.nlm.nih.gov/pmc/blobs/d70c/11592721/89c0264544f0/cells-13-01863-g008.jpg
https://cdn.ncbi.nlm.nih.gov/pmc/blobs/d70c/11592721/ccd4093af9cc/cells-13-01863-g001.jpg
https://cdn.ncbi.nlm.nih.gov/pmc/blobs/d70c/11592721/c10db6e2818f/cells-13-01863-g002.jpg
https://cdn.ncbi.nlm.nih.gov/pmc/blobs/d70c/11592721/d75135e81f57/cells-13-01863-g003.jpg
https://cdn.ncbi.nlm.nih.gov/pmc/blobs/d70c/11592721/d8c9e7e06d9e/cells-13-01863-g004.jpg
https://cdn.ncbi.nlm.nih.gov/pmc/blobs/d70c/11592721/c23aeb8a984c/cells-13-01863-g005.jpg
https://cdn.ncbi.nlm.nih.gov/pmc/blobs/d70c/11592721/3a8f2f64dd38/cells-13-01863-g006.jpg
https://cdn.ncbi.nlm.nih.gov/pmc/blobs/d70c/11592721/8ce503214570/cells-13-01863-g007.jpg
https://cdn.ncbi.nlm.nih.gov/pmc/blobs/d70c/11592721/89c0264544f0/cells-13-01863-g008.jpg
https://cdn.ncbi.nlm.nih.gov/pmc/blobs/d70c/11592721/ccd4093af9cc/cells-13-01863-g001.jpg
https://cdn.ncbi.nlm.nih.gov/pmc/blobs/d70c/11592721/c10db6e2818f/cells-13-01863-g002.jpg
https://cdn.ncbi.nlm.nih.gov/pmc/blobs/d70c/11592721/d75135e81f57/cells-13-01863-g003.jpg
https://cdn.ncbi.nlm.nih.gov/pmc/blobs/d70c/11592721/d8c9e7e06d9e/cells-13-01863-g004.jpg
https://cdn.ncbi.nlm.nih.gov/pmc/blobs/d70c/11592721/c23aeb8a984c/cells-13-01863-g005.jpg
https://cdn.ncbi.nlm.nih.gov/pmc/blobs/d70c/11592721/3a8f2f64dd38/cells-13-01863-g006.jpg
https://cdn.ncbi.nlm.nih.gov/pmc/blobs/d70c/11592721/8ce503214570/cells-13-01863-g007.jpg
https://cdn.ncbi.nlm.nih.gov/pmc/blobs/d70c/11592721/89c0264544f0/cells-13-01863-g008.jpg

相似文献

1
Immunohistochemical Characterization of Spermatogenesis in the Ascidian .棘皮动物精子发生的免疫组织化学特征
Cells. 2024 Nov 11;13(22):1863. doi: 10.3390/cells13221863.
2
[Identification of human testicular spermatogenic cells at different stages].[不同阶段人类睾丸生精细胞的鉴定]
Beijing Da Xue Xue Bao Yi Xue Ban. 2006 Aug 18;38(4):441-3.
3
Cytological features of spermatogenesis in Opsariichthys bidens (Teleostei, Cyprinidae).双斑斗鱼精子发生的细胞学特征(硬骨鱼纲,鲤科)。
Anim Reprod Sci. 2020 Nov;222:106608. doi: 10.1016/j.anireprosci.2020.106608. Epub 2020 Sep 22.
4
Immunohistochemical analysis of cAMP response element-binding protein in mouse testis during postnatal development and spermatogenesis.出生后发育和精子发生过程中小鼠睾丸中cAMP反应元件结合蛋白的免疫组织化学分析。
Histochem Cell Biol. 2009 Apr;131(4):501-7. doi: 10.1007/s00418-009-0554-8. Epub 2009 Jan 16.
5
Dynamics, ultrastructure and gene expression of human in vitro organized testis cells from testicular sperm extraction biopsies.人类睾丸精子提取活检体外组织睾丸细胞的动力学、超微结构和基因表达。
Mol Hum Reprod. 2018 Mar 1;24(3):123-134. doi: 10.1093/molehr/gax070.
6
Cyclic and postnatal developmental changes of testin in the rat seminiferous epithelium--an immunohistochemical study.大鼠生精上皮中睾丸抑制素的周期性及出生后发育变化——一项免疫组织化学研究
Biol Reprod. 1994 Nov;51(5):843-51. doi: 10.1095/biolreprod51.5.843.
7
Seasonal changes in testicular structure and localization of a sperm surface glycoprotein during spermatogenesis in sea urchins.海胆精子发生过程中睾丸结构的季节性变化及精子表面糖蛋白的定位
J Histochem Cytochem. 1993 Mar;41(3):423-31. doi: 10.1177/41.3.8429205.
8
Establishment and Characterization of Testis Organoids with Proliferation and Differentiation of Spermatogonial Stem Cells into Spermatocytes and Spermatids.建立和鉴定具有精原干细胞增殖和分化为精母细胞和精子细胞能力的睾丸类器官。
Cells. 2024 Oct 2;13(19):1642. doi: 10.3390/cells13191642.
9
Cell population indexes of spermatogenic yield and testicular sperm reserves in adult jaguars (Panthera onca).成年美洲虎(Panthera onca)的生精产量和睾丸精子储备的细胞群体指标。
Anim Reprod Sci. 2010 Mar;118(1):83-8. doi: 10.1016/j.anireprosci.2009.05.018.
10
Sertoli cell-conditioned medium restores spermatogenesis in azoospermic mouse testis.生精细胞条件培养基恢复不育小鼠睾丸的生精作用。
Cell Tissue Res. 2020 Mar;379(3):577-587. doi: 10.1007/s00441-019-03092-w. Epub 2019 Sep 7.

本文引用的文献

1
Sperm Binding and Penetration during Ascidian Fertilization*: (Ascidian/fertilization/sperm/glycosidase/actin).海鞘受精过程中的精子结合与穿透*:(海鞘/受精/精子/糖苷酶/肌动蛋白)
Dev Growth Differ. 1988 Aug;30(4):325-336. doi: 10.1111/j.1440-169X.1988.00325.x.
2
ACROSOME DIFFERENTIATION IN THE SPERMATOGENESIS OF CIONA INTESTINALIS.玻璃海鞘精子发生过程中的顶体分化
Dev Growth Differ. 1980;22(3):561-569. doi: 10.1111/j.1440-169X.1980.00561.x.
3
Identification of Early Oogenetic Cells in the Solitary Ascidians, Ciona savignyi and Ciona intestinalis: An Immunoelectron Microscopic Study: (oogonium/oocyte/germ cell/monoclonal antibody/ultrastructure).
萨氏海鞘和玻璃海鞘早期卵子发生细胞的鉴定:免疫电子显微镜研究:(卵原细胞/卵母细胞/生殖细胞/单克隆抗体/超微结构)
Dev Growth Differ. 1993 Oct;35(5):495-506. doi: 10.1111/j.1440-169X.1993.00495.x.
4
Models and Molecular Markers of Spermatogonial Stem Cells in Vertebrates: To Find Models in Nonmammals.脊椎动物精原干细胞的模型与分子标记:在非哺乳动物中寻找模型
Stem Cells Int. 2022 May 31;2022:4755514. doi: 10.1155/2022/4755514. eCollection 2022.
5
Fertilization of Ascidians: Gamete Interaction, Self/Nonself Recognition and Sperm Penetration of Egg Coat.海鞘的受精作用:配子相互作用、自我/非自我识别以及精子穿透卵膜
Front Cell Dev Biol. 2022 Jan 21;9:827214. doi: 10.3389/fcell.2021.827214. eCollection 2021.
6
A dynein-associated photoreceptor protein prevents ciliary acclimation to blue light.一种与动力蛋白相关的光感受器蛋白可防止纤毛适应蓝光。
Sci Adv. 2021 Feb 26;7(9). doi: 10.1126/sciadv.abf3621. Print 2021 Feb.
7
The Microtubule Cytoskeleton during the Early Spermiogenesis.精子发生早期的微管细胞骨架
Cells. 2020 Dec 14;9(12):2684. doi: 10.3390/cells9122684.
8
mRNA localization mediates maturation of cytoplasmic cilia in Drosophila spermatogenesis.mRNA 定位介导果蝇精子发生中细胞质纤毛的成熟。
J Cell Biol. 2020 Sep 7;219(9). doi: 10.1083/jcb.202003084.
9
Spermatogenesis and lobular cyst type of testes organization in marine gastropod Littorina saxatilis (Olivi 1792).海洋腹足纲软体动物滨螺(Olivi 1792)的精子发生和小叶囊型睾丸组织。
Cell Tissue Res. 2019 Jun;376(3):457-470. doi: 10.1007/s00441-019-03004-y. Epub 2019 Feb 19.
10
Ca efflux via plasma membrane Ca-ATPase mediates chemotaxis in ascidian sperm.质膜 Ca-ATP 酶介导海鞘精子的趋化性。
Sci Rep. 2018 Nov 9;8(1):16622. doi: 10.1038/s41598-018-35013-2.