Suppr超能文献

先天性脑积水伴对侧球状体移位及缺血性扭转的“悬垂脉络膜”:病例说明

"Dangling choroid" with contralateral glomus displacement and ischemic torsion in congenital hydrocephalus: illustrative case.

作者信息

Jones Jill K, Moyer Quentin J, Sudhof Leanna S, Soufi Khadija, Mashouf Leila A, Warf Benjamin C, Sadegh Cameron

机构信息

Harvard Medical School, Boston, Massachusetts.

Departments of Pathology, Boston Children's Hospital, Boston, Massachusetts.

出版信息

J Neurosurg Case Lessons. 2024 Dec 2;8(23). doi: 10.3171/CASE24505.

Abstract

BACKGROUND

"Dangling choroid" is a prenatal sonographic marker of ventriculomegaly that measures the angle of choroid plexus (ChP) displacement in the lateral ventricle. To the authors' knowledge, postnatal sequelae related to this pathology, besides hydrocephalus, have never been reported.

OBSERVATIONS

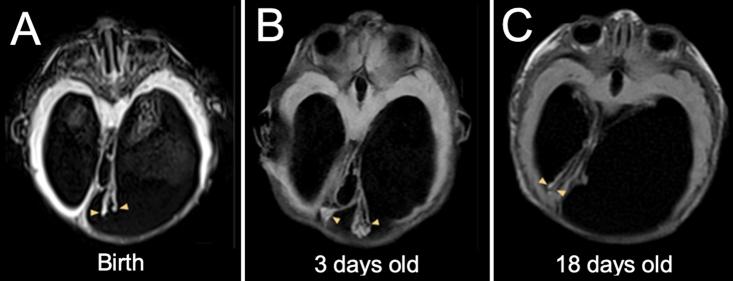
A female fetus was diagnosed with bilateral ventriculomegaly. Postnatally, the patient was diagnosed with hydrocephalus and macrocephaly secondary to aqueductal stenosis and underwent endoscopic third ventriculostomy with ChP cauterization. Intraoperatively, the septum pellucidum was incomplete, and the right-sided ChP glomus was contralaterally displaced and entangled with the left, with evidence of ischemic torsion and hemorrhage.

LESSONS

In this case of an ischemic ChP secondary to transventricular displacement of the glomus, at least two biomechanical events are relevant. First, the choroid fissure and velum interpositum can be thinned in the setting of ventriculomegaly. Second, stretching and perforation of the septum pellucidum can occur. Both changes can increase the mobility of a dangling choroid, occasionally leading to entanglement of the vascular pedicles. Preoperative recognition of this complication can help optimize surgical planning, e.g., using flexible endoscopy to facilitate complete ChP cauterization and changing the surgical approach if the ChP has been displaced. https://thejns.org/doi/10.3171/CASE24505.

摘要

背景

“悬垂脉络丛”是脑室扩大的一种产前超声标志物,用于测量侧脑室脉络丛(ChP)移位的角度。据作者所知,除脑积水外,与这种病变相关的产后后遗症从未有过报道。

观察结果

一名女胎被诊断为双侧脑室扩大。出生后,该患者被诊断为继发于导水管狭窄的脑积水和巨头畸形,并接受了内镜下第三脑室造瘘术及脉络丛烧灼术。术中发现透明隔不完整,右侧脉络丛球部向对侧移位并与左侧脉络丛缠绕,有缺血性扭转和出血迹象。

经验教训

在这种因脉络丛球部经脑室移位继发缺血性脉络丛的病例中,至少有两个生物力学事件与之相关。首先,在脑室扩大的情况下,脉络膜裂和中间帆可能会变薄。其次,透明隔可能会发生拉伸和穿孔。这两种变化都会增加悬垂脉络丛的活动度,偶尔会导致血管蒂缠绕。术前识别这种并发症有助于优化手术规划,例如使用软性内镜便于完全烧灼脉络丛,以及在脉络丛移位时改变手术入路。https://thejns.org/doi/10.3171/CASE24505

https://cdn.ncbi.nlm.nih.gov/pmc/blobs/63c3/11616145/e3d5f28fe057/CASE24505_figure_1.jpg

文献检索

告别复杂PubMed语法,用中文像聊天一样搜索,搜遍4000万医学文献。AI智能推荐,让科研检索更轻松。

立即免费搜索

文件翻译

保留排版,准确专业,支持PDF/Word/PPT等文件格式,支持 12+语言互译。

免费翻译文档

深度研究

AI帮你快速写综述,25分钟生成高质量综述,智能提取关键信息,辅助科研写作。

立即免费体验