Suppr超能文献

病例报告:一名接受柳氮磺胺吡啶治疗的溃疡性结肠炎患者出现扁平苔藓:是药物作用还是疾病表现?

Case report: lichen planus in a patient with ulcerative colitis receiving sulfasalazine: a drug effect or a disease manifestation?

作者信息

Nefzi Ahmed Mohamed, Yacoub Haythem, Souissi Asmahane, Hassine Hajer, Cherif Dhouha, Debbabi Habiba, Kchir Héla, Maamouri Nadia

机构信息

Gastroenterology B department, La Rabta Hospital, Tunis, Tunisia.

Dermatology department, La Rabta Hospital, Tunis, Tunisia.

出版信息

Future Sci OA. 2025 Dec;11(1):2432240. doi: 10.1080/20565623.2024.2432240. Epub 2024 Dec 5.

Abstract

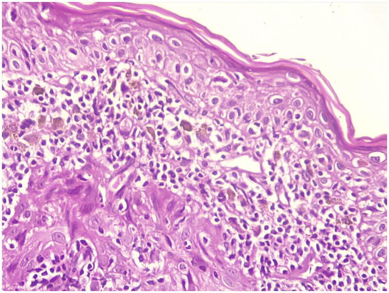
Lichen Planus is an inflammatory skin disease that has been reported to be associated with inflammatory diseases like Inflammatory Bowel Disease or with medication use such as sulfasalazine. We report a case of lichen planus in a 62-year-old patient with ulcerative colitis receiving sulfasalazine. Within three years of treatment, the patient developed an erythematous rash on her forehead and wrists, which gradually worsened and spread to her arms, forearms, neck, and upper back. Lichen planus was suspected and later confirmed through histopathological examination. Consequently, sulfasalazine was discontinued, leading to partial resolution of the skin lesions. Our case highlights the importance of a thorough patient interview, as the timeline of skin lesions in relation to medication use and disease activity.

摘要

扁平苔藓是一种炎症性皮肤病,据报道与炎症性肠病等炎症性疾病或柳氮磺胺吡啶等药物使用有关。我们报告一例62岁溃疡性结肠炎患者在接受柳氮磺胺吡啶治疗时发生扁平苔藓的病例。在治疗的三年内,患者前额和手腕出现红斑皮疹,逐渐加重并蔓延至手臂、前臂、颈部和上背部。怀疑为扁平苔藓,后来通过组织病理学检查得以确诊。因此,停用了柳氮磺胺吡啶,皮肤病变部分消退。我们的病例强调了全面患者访谈的重要性,因为皮肤病变的时间线与药物使用和疾病活动有关。

https://cdn.ncbi.nlm.nih.gov/pmc/blobs/e062/11622799/a545602b7a0b/IFSO_A_2432240_F0001_C.jpg

文献检索

告别复杂PubMed语法,用中文像聊天一样搜索,搜遍4000万医学文献。AI智能推荐,让科研检索更轻松。

立即免费搜索

文件翻译

保留排版,准确专业,支持PDF/Word/PPT等文件格式,支持 12+语言互译。

免费翻译文档

深度研究

AI帮你快速写综述,25分钟生成高质量综述,智能提取关键信息,辅助科研写作。

立即免费体验