Suppr超能文献

纵隔转移性去分化脂肪肉瘤伴骨肉瘤分化:一例报告。

Metastatic dedifferentiated liposarcoma of the mediastinum with osteosarcomatous differentiation: A case report.

作者信息

Hu Cong, Nong Shuxiong, Liu Aihua, Huang Weiling, Qi Yin, Wang Ying, Ye Yingfang, Jiang Yuancheng, Chen Yixin, Zhang Qi, Wu Meng

机构信息

Department of Ultrasound, Zhongnan Hospital of Wuhan University, Wuhan, Hubei, China.

Department of Cardiology, Baise People's Hospital. Affiliated Southwest Hospital of Youjiang Medical University for Nationalities, Baise, Guangxi, China.

出版信息

Medicine (Baltimore). 2024 Dec 6;103(49):e40748. doi: 10.1097/MD.0000000000040748.

Abstract

RATIONALE

Liposarcoma is a malignant tumor of adipocytic differentiation that rarely arises within the mediastinum. Most of the existing data available comes from scattered case reports and a few small series.

PATIENT CONCERNS

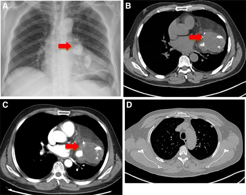
A 51-year-old man was admitted with cough and sputum accompanied by fever. X-ray and CT showed a bulky anterior mediastinal mass that was initially misdiagnosed as a teratoma. PET/CT demonstrated a lesion on that location showing a small area of moderately intense uptake. After surgical excision, histopathological examination via hematoxylin and eosin first revealed the diagnosis of malignant undifferentiated tumors. The results of immunohistochemical evaluations were as follows: P63 (scattered +), VIMENTIN (giant cell +), CD68 (KPI; giant cell +), SMA (-), and Ki-67 (Li: 50%). Molecular pathology: MDM2 gene status (+) with amplification.

DIAGNOSES

The final histopathological diagnosis was dedifferentiated liposarcoma with osteosarcomatous differentiation.

INTERVENTIONS

The patient underwent left mediastinal tumor resection, left upper lobe wedge resection and postoperative chemotherapy.

OUTCOMES

Mediastinal recurrences and chest wall metastases occurred quickly before the second round of chemotherapy 2 months later. Four months after surgery, the patient died.

LESSONS

This paper presents a case of dedifferentiated liposarcoma with osteosarcomatous differentiation in a rare location: the mediastinum. Correct diagnosis is of importance for appropriate choice of therapy. Clinicians should be aware of the presence of a dedifferentiated liposarcoma within a mass on the mediastinum and enhancing treatment and management strategies for affected patients.

摘要

理论依据

脂肪肉瘤是一种脂肪细胞分化的恶性肿瘤,很少发生于纵隔内。现有的大多数数据来自零散的病例报告和少数小系列研究。

患者情况

一名51岁男性因咳嗽、咳痰伴发热入院。X线和CT显示前纵隔有一个巨大肿块,最初被误诊为畸胎瘤。PET/CT显示该部位有一个病变,有一小片区域摄取中等强度放射性。手术切除后,苏木精-伊红染色的组织病理学检查最初显示为恶性未分化肿瘤。免疫组化评估结果如下:P63(散在阳性)、波形蛋白(巨细胞阳性)、CD68(KPI;巨细胞阳性)、平滑肌肌动蛋白(阴性)和Ki-67(Li:50%)。分子病理学:MDM2基因状态为阳性且有扩增。

诊断

最终组织病理学诊断为去分化脂肪肉瘤伴骨肉瘤分化。

干预措施

患者接受了左纵隔肿瘤切除术、左上叶楔形切除术及术后化疗。

结果

2个月后第二轮化疗前很快出现纵隔复发和胸壁转移。手术后4个月,患者死亡。

经验教训

本文报告了一例罕见部位(纵隔)的去分化脂肪肉瘤伴骨肉瘤分化病例。正确诊断对于恰当选择治疗方法很重要。临床医生应意识到纵隔肿块内存在去分化脂肪肉瘤,并加强对 affected患者的治疗和管理策略。 (注:原文中“affected patients”表述有误,推测应为“affected patients”,翻译为“受影响的患者”)

https://cdn.ncbi.nlm.nih.gov/pmc/blobs/cdac/11630991/1d6adc7a7e6a/medi-103-e40748-g001.jpg

文献检索

告别复杂PubMed语法,用中文像聊天一样搜索,搜遍4000万医学文献。AI智能推荐,让科研检索更轻松。

立即免费搜索

文件翻译

保留排版,准确专业,支持PDF/Word/PPT等文件格式,支持 12+语言互译。

免费翻译文档

深度研究

AI帮你快速写综述,25分钟生成高质量综述,智能提取关键信息,辅助科研写作。

立即免费体验