Xu Yue, Xiao Xiuying, Ma Chunxiao, Wang Ziyi, Feng Wenxin, Rao Hanyu, Zhang Wei, Liu Ningyuan, Aji Rebiguli, Meng Xiangjun, Gao Wei-Qiang, Li Li
State Key Laboratory of Systems Medicine for Cancer, Renji-Med X Clinical Stem Cell Research Center, Ren Ji Hospital, School of Medicine and School of Biomedical Engineering, Shanghai Jiao Tong University, Shanghai, China.
School of Biomedical Engineering and Med-X Research Institute, Shanghai Jiao Tong University, Shanghai, China.
Clin Transl Med. 2024 Dec;14(12):e70128. doi: 10.1002/ctm2.70128.
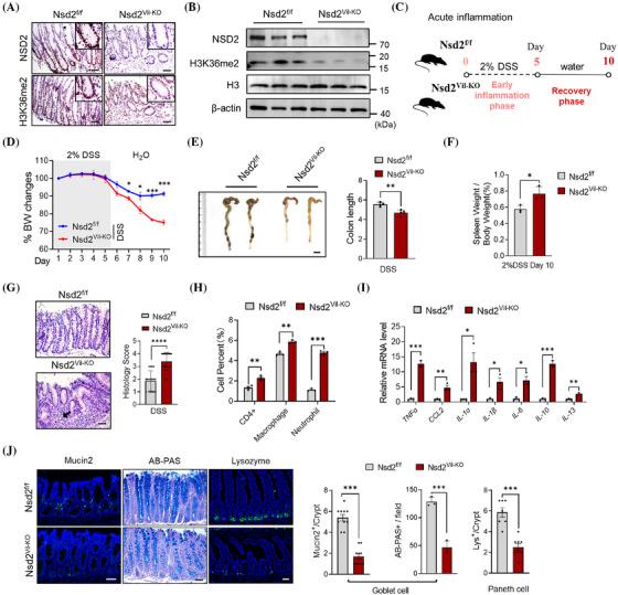
Inflammatory bowel disease (IBD) presents a significant challenge due to its intricate pathogenesis. NSD2, a histone methyltransferase responsible for dimethylating histone 3 at lysine 36, is associated with transcriptional activation. NSD2 expression is decreased in both the intestinal epithelial cells (IECs) of IBD patients and the IBD mouse model. However, the precise role of NSD2 in IBD remains unexplored.
Colon tissues from IBD mice, SW620 cells and MC38 cells, were used as research subjects. Clinical databases of IBD patients were analysed to investigate whether NSD2 expression is reduced in the occurrence of IBD. NSD2-knockout mice were generated to further investigate the role of NSD2 in IBD. The IECs were isolated for RNA sequencing and chromatin immunoprecipitation sequencing to identify molecular signalling pathways and key molecules leading to IBD in mice. Molecular and cellular experiments were conducted to analyse and validate the role of NSD2 in the development of IBD. Finally, rescue experiments were performed to confirm the molecular mechanism of NSD2 in the development of IBD.
Deficiency of NSD2 in mouse IECs aggravated epithelial barrier disruption and inflammatory response in IBD. Mechanistically, NSD2 loss led to downregulation of H3K36me2 and flavin-containing monooxygenase (FMO) (taurine-synthesis enzyme) mRNA, resulting in decreased taurine biosynthesis in IECs. Significantly, supplementation with taurine markedly alleviated the symptoms of NSD2 deficiency-induced IBD.
These data demonstrate that NSD2 plays a pivotal role in maintaining FMO-mediated taurine biosynthesis to prevent intestinal inflammation. Our findings also underscore the importance of NSD2-H3K36me2-mediated taurine biosynthesis in maintaining intestinal mucosal barrier homeostasis.
In this study, we investigated the role of the histone methyltransferase NSD2 in preventing intestinal barrier disruption by sustaining taurine biosynthesis. NSD2 levels were reduced in both human specimens and mouse models of IBD. We demonstrate that NSD2 loss hinders the process of taurine synthesis in intestinal cells, leading to increased intestinal inflammation. Supplementation with taurine significantly relieved the symptoms caused by NSD2 deficiency. These data suggest that maintenance of NSD2-mediated taurine biosynthesis is vital for preserving the intestinal barrier and attenuating inflammation.
炎症性肠病(IBD)因其复杂的发病机制而带来重大挑战。NSD2是一种负责组蛋白3赖氨酸36位点二甲基化的组蛋白甲基转移酶,与转录激活相关。在IBD患者的肠上皮细胞(IECs)和IBD小鼠模型中,NSD2的表达均降低。然而,NSD2在IBD中的确切作用仍未得到探索。
将IBD小鼠的结肠组织、SW620细胞和MC38细胞用作研究对象。分析IBD患者的临床数据库,以调查NSD2表达在IBD发生过程中是否降低。构建NSD2基因敲除小鼠,以进一步研究NSD2在IBD中的作用。分离IECs进行RNA测序和染色质免疫沉淀测序,以鉴定导致小鼠IBD的分子信号通路和关键分子。进行分子和细胞实验,以分析和验证NSD2在IBD发展中的作用。最后,进行挽救实验以确认NSD2在IBD发展中的分子机制。
小鼠IECs中NSD2的缺失加剧了IBD中的上皮屏障破坏和炎症反应。机制上,NSD2的缺失导致H3K36me2和含黄素单加氧酶(FMO,牛磺酸合成酶)mRNA下调,导致IECs中牛磺酸生物合成减少。值得注意的是,补充牛磺酸显著减轻了NSD2缺乏诱导的IBD症状。
这些数据表明,NSD2在维持FMO介导的牛磺酸生物合成以预防肠道炎症方面起关键作用。我们的研究结果还强调了NSD2-H3K36me2介导的牛磺酸生物合成在维持肠道黏膜屏障稳态中的重要性。
在本研究中,我们研究了组蛋白甲基转移酶NSD2通过维持牛磺酸生物合成来预防肠道屏障破坏的作用。在IBD的人类标本和小鼠模型中,NSD2水平均降低。我们证明,NSD2的缺失阻碍肠道细胞中牛磺酸的合成过程,导致肠道炎症增加。补充牛磺酸显著减轻了NSD2缺乏引起的症状。这些数据表明,维持NSD2介导的牛磺酸生物合成对于保护肠道屏障和减轻炎症至关重要。