Suppr超能文献

宏基因组下一代测序在免疫功能正常患者肺炎辅助诊断中的应用:一例报告及文献综述

Adjunctive Diagnosis of Pneumonia by Metagenomic Next-Generation Sequencing in an Immunocompetent Patient: A Case Report and Literature Review.

作者信息

Shi Shengqiao, Gai Wei, Huang Hui, Zheng Yafeng, Zhang Xiaojing, Dai Yuanrong, Wu Chengyun

机构信息

Department of Respiratory Medicine, The 2nd Affiliated Hospital of Wenzhou Medical University, Wenzhou, Zhejiang, People's Republic of China.

WillingMed Technology (Beijing) Co., Ltd, Beijing, People's Republic of China.

出版信息

Infect Drug Resist. 2024 Dec 9;17:5481-5489. doi: 10.2147/IDR.S494310. eCollection 2024.

Abstract

INTRODUCTION

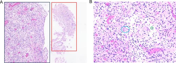
is a nonpathogenic pathogen commonly found in nature and is generally considered a contaminant in clinical practice. Although there have been few reported cases of infection, most of them are secondary to immunosuppression. This paper described a rare case of globular shadow in the chest of an immunocompetent male who was diagnosed with pulmonary disease. He went to the hospital with chest pains that had lasted for more than two weeks. The routine clinical pathogen detection failed to discover the cause of the infection. Although metagenomic next-generation sequencing (mNGS) of the lung tissue was negative, was detected in the background microorganism with only one read. Based on the pathological results, it was considered to be the causative pathogen. Two months of treatment with rifampicin, ethambutol, clarithromycin, and levofloxacin resulted in significant reduction and absorption of lung lesions. No abnormalities were detected in either lung one year later. The lack of positive culture and other conventional microbiological test results make this case is not a strictly confirmed case. This study also explored the clinical features and treatment options of 32 cases of pulmonary disease through a systematic review of the literature. Although there is no standard recommended treatment regimen for infection, but combination therapy with macrolides, rifampicin, and ethambutol has been proven effective.

CONCLUSION

This case highlights that when the clinical highly suspected of infection, mNGS can contribute to the early identification of non-tuberculous Mycobacterium (NTM) even with low reads, when clinical suspicion is high. Analyzing background microorganisms in sterile samples may help diagnose rare pathogens.

摘要

引言

是一种常见于自然界的非致病性病原菌,在临床实践中通常被视为污染物。虽然报道的感染病例很少,但其多数继发于免疫抑制。本文描述了一例免疫功能正常男性胸部出现球形阴影,被诊断为肺病的罕见病例。他因胸痛持续两周以上前往医院就诊。常规临床病原体检测未能发现感染原因。尽管肺组织的宏基因组下一代测序(mNGS)结果为阴性,但在背景微生物中仅检测到一条 reads 的该菌。基于病理结果,认为其为致病病原体。使用利福平、乙胺丁醇、克拉霉素和左氧氟沙星治疗两个月后,肺部病变明显减轻并吸收。一年后双肺均未检测到异常。由于缺乏阳性培养及其他常规微生物检测结果,该病例并非严格意义上的确诊病例。本研究还通过系统回顾文献,探讨了32例肺病的临床特征及治疗选择。虽然对于感染尚无标准推荐治疗方案,但大环内酯类、利福平和乙胺丁醇联合治疗已被证明有效。

结论

该病例强调,当临床高度怀疑感染时,即使 reads 数较低,mNGS 也有助于早期识别非结核分枝杆菌(NTM),尤其是在临床怀疑度较高时。分析无菌样本中的背景微生物可能有助于诊断罕见病原体。

https://cdn.ncbi.nlm.nih.gov/pmc/blobs/cc57/11645288/ec6d810520bb/IDR-17-5481-g0001.jpg

文献检索

告别复杂PubMed语法,用中文像聊天一样搜索,搜遍4000万医学文献。AI智能推荐,让科研检索更轻松。

立即免费搜索

文件翻译

保留排版,准确专业,支持PDF/Word/PPT等文件格式,支持 12+语言互译。

免费翻译文档

深度研究

AI帮你快速写综述,25分钟生成高质量综述,智能提取关键信息,辅助科研写作。

立即免费体验