Suppr超能文献

生理性绵羊颈椎间盘的形态测量、生物力学及组织学评估:一项实验研究及文献综述

Morphometric, Biomechanical and Histologic Assessment of Physiologic Ovine Cervical Intervertebral Disc: An Experimental Study and Brief Literature Review.

作者信息

Gkantsinikoudis Nikolaos, Koltsakidis Savvas, Prodromou Panagiotis, Aggelidou Eleni, Kapetanakis Stylianos, Tsiridis Eleftherios, Magras Ioannis, Psalla Dimitra, Kazakos George, Tzetzis Dimitrios, Kritis Aristeidis

机构信息

Department of Physiology and Pharmacology, School of Medicine, Faculty of Health Sciences, Aristotle University of Thessaloniki (A.U.Th.), 54124 Thessaloniki, Greece.

Regenerative Medicine Center, Department of Basic and Translational Research of Special Unit of Biomedical Research and Education, School of Medicine, Faculty of Health Sciences, Aristotle University of Thessaloniki (A.U.Th.), 54124 Thessaloniki, Greece.

出版信息

Int J Mol Sci. 2024 Nov 22;25(23):12579. doi: 10.3390/ijms252312579.

Abstract

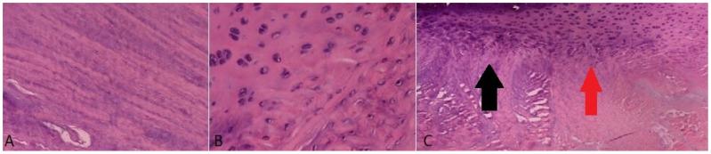
The ovine cervical spine model has been established as a representative model of the human cervical spine in the current literature, and is the most commonly used large animal model in studies investigating pathogenesis and treatment strategies for intervertebral disc (IVD) degeneration. However, existing data regarding morphometry, biomechanical profiles and the microscopic features of a physiological ovine cervical IVD remain scarce. Hence, the aim of this study was to perform a multimodal morphometric, biomechanical and histologic evaluation of a normal ovine cervical IVD. For this purpose, nine ovine cervical IVDs were harvested from three female sheep, and subjected to morphometrical, biomechanical and histologic analyses. The biomechanical assessment included the performance of cyclic compression, creepand compressive strength tests in a controlledlaboratory environment. Histological evaluation was performed using hematoxylin-eosin, Masson's trichrome and Alcian blue staining. The results from the morphometric analysis showed that the range of disc heights was 4-9 mm in all surfaces, featuring a constant increase from cranial to caudal levels. Biomechanical evaluation revealed that cyclic loading for 20 cycles was necessary for preconditioning so that the repeatability of the force-displacement hysteresis response is present. The critical failure point was defined at 15.5 MPa, whereas Young's modulus of elasticity was 1.2 MPa. The histologic assessment demonstrated the presence of a concentric arrangement of collagen lamellae in external annulus fibrosus, along with the sparsely organized internal nucleus pulposus. Ovine cervical IVD represents a complex structure with distinct features that should be considered by researchers in this field in order to optimize the reliability and validity of testing results.

摘要

在当前文献中,绵羊颈椎模型已被确立为人类颈椎的代表性模型,并且是研究椎间盘退变发病机制和治疗策略时最常用的大型动物模型。然而,关于生理状态下绵羊颈椎椎间盘的形态测量、生物力学特征和微观特征的现有数据仍然匮乏。因此,本研究的目的是对正常绵羊颈椎椎间盘进行多模态形态测量、生物力学和组织学评估。为此,从三只雌性绵羊身上获取了九个绵羊颈椎椎间盘,并对其进行了形态测量、生物力学和组织学分析。生物力学评估包括在可控的实验室环境中进行循环压缩、蠕变和抗压强度测试。组织学评估采用苏木精-伊红染色、Masson三色染色和阿尔辛蓝染色。形态测量分析结果表明,所有表面的椎间盘高度范围为4-9毫米,从颅侧到尾侧水平呈持续增加趋势。生物力学评估显示,进行20次循环的循环加载对于预处理是必要的,以便出现力-位移滞后响应的可重复性。临界失效点定义为15.5兆帕,而杨氏弹性模量为1.2兆帕。组织学评估表明,在外层纤维环中存在同心排列的胶原板层,同时内部髓核组织稀疏。绵羊颈椎椎间盘代表一种具有独特特征的复杂结构,该领域的研究人员应予以考虑,以便优化测试结果的可靠性和有效性。

https://cdn.ncbi.nlm.nih.gov/pmc/blobs/77d0/11641721/3d1c5fcb8912/ijms-25-12579-g001.jpg

文献检索

告别复杂PubMed语法,用中文像聊天一样搜索,搜遍4000万医学文献。AI智能推荐,让科研检索更轻松。

立即免费搜索

文件翻译

保留排版,准确专业,支持PDF/Word/PPT等文件格式,支持 12+语言互译。

免费翻译文档

深度研究

AI帮你快速写综述,25分钟生成高质量综述,智能提取关键信息,辅助科研写作。

立即免费体验