• 文献检索
  • 文档翻译
  • 深度研究
  • 学术资讯
  • Suppr Zotero 插件Zotero 插件
  • 邀请有礼
  • 套餐&价格
  • 历史记录
应用&插件
Suppr Zotero 插件Zotero 插件浏览器插件Mac 客户端Windows 客户端微信小程序
定价
高级版会员购买积分包购买API积分包
服务
文献检索文档翻译深度研究API 文档MCP 服务
关于我们
关于 Suppr公司介绍联系我们用户协议隐私条款
关注我们

Suppr 超能文献

核心技术专利:CN118964589B侵权必究
粤ICP备2023148730 号-1Suppr @ 2026

文献检索

告别复杂PubMed语法,用中文像聊天一样搜索,搜遍4000万医学文献。AI智能推荐,让科研检索更轻松。

立即免费搜索

文件翻译

保留排版,准确专业,支持PDF/Word/PPT等文件格式,支持 12+语言互译。

免费翻译文档

深度研究

AI帮你快速写综述,25分钟生成高质量综述,智能提取关键信息,辅助科研写作。

立即免费体验

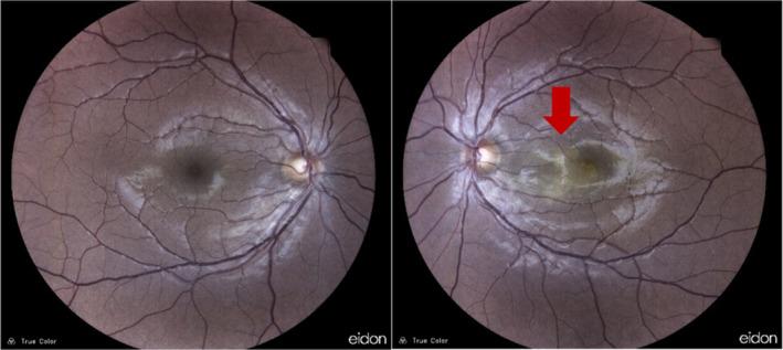
非典型急性缺血性脉络膜毛细血管炎:一例报告

Atypical Acute Ischemic Choriocapillaritis: A Case Report.

作者信息

Shariati Mehrdad Motamed, Shoeibi Nasser, Yaghoubi Mariye

机构信息

Eye Research Center Mashhad University of Medical Sciences Mashhad Iran.

出版信息

Clin Case Rep. 2024 Dec 16;12(12):e9646. doi: 10.1002/ccr3.9646. eCollection 2024 Dec.

DOI:10.1002/ccr3.9646
PMID:39691487
原文链接:https://pmc.ncbi.nlm.nih.gov/articles/PMC11649817/
Abstract

Optical coherence tomography angiography is a valuable tool for evaluating acute ischemic choriocapillaritis. Tuberculosis and syphilis are the main secondary differentials..

摘要

光学相干断层扫描血管造影术是评估急性缺血性脉络膜毛细血管炎的一项重要工具。结核病和梅毒是主要的继发性鉴别诊断病因。

https://cdn.ncbi.nlm.nih.gov/pmc/blobs/3e72/11649817/eebae82e411b/CCR3-12-e9646-g001.jpg
https://cdn.ncbi.nlm.nih.gov/pmc/blobs/3e72/11649817/39ef0592a01e/CCR3-12-e9646-g003.jpg
https://cdn.ncbi.nlm.nih.gov/pmc/blobs/3e72/11649817/49bb28a8f39b/CCR3-12-e9646-g002.jpg
https://cdn.ncbi.nlm.nih.gov/pmc/blobs/3e72/11649817/eebae82e411b/CCR3-12-e9646-g001.jpg
https://cdn.ncbi.nlm.nih.gov/pmc/blobs/3e72/11649817/39ef0592a01e/CCR3-12-e9646-g003.jpg
https://cdn.ncbi.nlm.nih.gov/pmc/blobs/3e72/11649817/49bb28a8f39b/CCR3-12-e9646-g002.jpg
https://cdn.ncbi.nlm.nih.gov/pmc/blobs/3e72/11649817/eebae82e411b/CCR3-12-e9646-g001.jpg

相似文献

1
Atypical Acute Ischemic Choriocapillaritis: A Case Report.非典型急性缺血性脉络膜毛细血管炎:一例报告
Clin Case Rep. 2024 Dec 16;12(12):e9646. doi: 10.1002/ccr3.9646. eCollection 2024 Dec.
2
OPTICAL COHERENCE TOMOGRAPHY ANGIOGRAPHY SHOWS INNER CHOROIDAL ISCHEMIA IN ACUTE POSTERIOR MULTIFOCAL PLACOID PIGMENT EPITHELIOPATHY.光学相干断层扫描血管造影显示急性后极部多灶性扁平状色素上皮病变存在脉络膜内层缺血。
Retin Cases Brief Rep. 2017;11 Suppl 1:S136-S143. doi: 10.1097/ICB.0000000000000473.
3
Choriocapillaris Involvement in Acute Syphilis Posterior Placoid Chorioretinitis is Responsible for Functional Impairment and Points towards an Immunologic Mechanism: A Comprehensive Clinicopathological Approach.脉络膜毛细血管受累在急性梅毒后极部扁平状脉络膜视网膜炎中导致功能损害并提示免疫机制:一项综合临床病理研究
J Curr Ophthalmol. 2020 Dec 12;32(4):381-389. doi: 10.4103/JOCO.JOCO_184_20. eCollection 2020 Oct-Dec.
4
Mechanisms, Pathophysiology and Current Immunomodulatory/Immunosuppressive Therapy of Non-Infectious and/or Immune-Mediated Choroiditis.非感染性和/或免疫介导性脉络膜炎的发病机制、病理生理学及当前免疫调节/免疫抑制治疗
Pharmaceuticals (Basel). 2022 Mar 24;15(4):398. doi: 10.3390/ph15040398.
5
[Acute posterior multifocal placoid pigment epitheliopathy. Case report].[急性后极部多灶性扁平色素上皮病变。病例报告]
Cir Cir. 2016 Mar-Apr;84(2):135-9. doi: 10.1016/j.circir.2015.06.009. Epub 2015 Aug 1.
6
Acute posterior multifocal placoid pigment epitheliopathy. Pigment epitheliopathy of choriocapillaritis?急性后极部多灶性扁平色素上皮病变。脉络膜毛细血管炎的色素上皮病变?
Br J Ophthalmol. 1972 Dec;56(12):863-74. doi: 10.1136/bjo.56.12.863.
7
[Patterns of structural and functional changes in the retina and choroid in acute posterior multifocal placoid pigment epitheliopathy].[急性后极部多灶性扁平状色素上皮病变中视网膜和脉络膜的结构与功能变化模式]
Vestn Oftalmol. 2023;139(4):44-51. doi: 10.17116/oftalma202313904144.
8
Acute Posterior Multifocal Placoid Pigment Epitheliopathy (APMPPE): A Comprehensive Approach and Case Series: Systemic Corticosteroid Therapy Is Necessary in a Large Proportion of Cases.急性后极部多发性斑状色素上皮病变(APMPPE):全面的处理方法和病例系列:大部分病例需要全身皮质类固醇治疗。
Medicina (Kaunas). 2022 Aug 8;58(8):1070. doi: 10.3390/medicina58081070.
9
THE SPECTRUM OF RELENTLESS PLACOID AND ACUTE POSTERIOR MULTIFOCAL PLACOID PIGMENT EPITHELIOPATHY: A MULTIMODAL IMAGING ANALYSIS.顽固性地图状及急性后极部多灶性鳞状色素上皮病变的谱系:多模态影像学分析
Retin Cases Brief Rep. 2025 Mar 1;19(2):148-151. doi: 10.1097/ICB.0000000000001555.
10
Choroidal perfusion abnormalities associated with Acute Posterior Multifocal Placoid Pigment Epitheliopathy: a case report.急性后极部多灶性鳞状色素上皮病变相关的脉络膜灌注异常:一例报告
BMC Ophthalmol. 2018 Apr 10;18(1):87. doi: 10.1186/s12886-018-0756-8.

本文引用的文献

1
Unilateral acute posterior multifocal placoid pigment epitheliopathy (APMPPE) with delayed contralateral eye involvement.单侧急性后部多灶性盘状视网膜色素上皮病变伴迟发性对侧眼受累。
BMC Ophthalmol. 2024 Jan 9;24(1):17. doi: 10.1186/s12886-023-03221-8.
2
Diagnosis, Mechanisms, and Differentiation of Inflammatory Diseases of the Outer Retina: Photoreceptoritis versus Choriocapillaritis; A Multimodal Imaging Perspective.外层视网膜炎症性疾病的诊断、机制及鉴别:光感受器炎与脉络膜毛细血管炎;多模态影像学视角
Diagnostics (Basel). 2022 Sep 9;12(9):2179. doi: 10.3390/diagnostics12092179.
3
Mechanisms, Pathophysiology and Current Immunomodulatory/Immunosuppressive Therapy of Non-Infectious and/or Immune-Mediated Choroiditis.
非感染性和/或免疫介导性脉络膜炎的发病机制、病理生理学及当前免疫调节/免疫抑制治疗
Pharmaceuticals (Basel). 2022 Mar 24;15(4):398. doi: 10.3390/ph15040398.
4
Diagnosis and Treatment of Primary Inflammatory Choriocapillaropathies (PICCPs): A Comprehensive Overview.原发性炎症性脉络膜毛细血管病变(PICCPs)的诊断与治疗:全面综述。
Medicina (Kaunas). 2022 Jan 21;58(2):165. doi: 10.3390/medicina58020165.
5
Acute syphilitic posterior placoid chorioretinitis: when the great mimicker cannot pretend any more; new insight of an old acquaintance.急性梅毒性后极部扁平状脉络膜视网膜病变:当这个强大的模仿者再也无法伪装时;对一位老相识的新认识。
J Ophthalmic Inflamm Infect. 2022 Feb 22;12(1):9. doi: 10.1186/s12348-022-00286-2.
6
Tuberculosis-related serpiginous choroiditis: aggressive therapy with dual concomitant combination of multiple anti-tubercular and multiple immunosuppressive agents is needed to halt the progression of the disease.结核相关性匐行性脉络膜炎:需要采用多种抗结核药物和多种免疫抑制剂双重联合的积极治疗来阻止疾病进展。
J Ophthalmic Inflamm Infect. 2022 Feb 8;12(1):7. doi: 10.1186/s12348-022-00282-6.
7
Multimodal imaging supporting the pathophysiology of white dot syndromes.支持白点综合征病理生理学的多模态成像
J Ophthalmic Inflamm Infect. 2021 Oct 22;11(1):32. doi: 10.1186/s12348-021-00261-3.
8
Unilateral acute posterior multifocal placoid pigment epitheliopathy in a convalescent COVID-19 patient.一名新冠康复患者的单侧急性后极部多灶性鳞状色素上皮病变
Int J Retina Vitreous. 2021 May 25;7(1):41. doi: 10.1186/s40942-021-00312-w.
9
The Clinical Characteristics of Unilateral Placoid Pigment Epitheliopathies.单侧盘状色素上皮病变的临床特征。
Ocul Immunol Inflamm. 2021 Aug 18;29(6):1072-1079. doi: 10.1080/09273948.2019.1705498. Epub 2020 Feb 20.
10
Macular serpiginous choroiditis - case report.黄斑匐行性脉络膜炎——病例报告
Rom J Ophthalmol. 2018 Jul-Sep;62(3):217-221.