• 文献检索
  • 文档翻译
  • 深度研究
  • 学术资讯
  • Suppr Zotero 插件Zotero 插件
  • 邀请有礼
  • 套餐&价格
  • 历史记录
应用&插件
Suppr Zotero 插件Zotero 插件浏览器插件Mac 客户端Windows 客户端微信小程序
定价
高级版会员购买积分包购买API积分包
服务
文献检索文档翻译深度研究API 文档MCP 服务
关于我们
关于 Suppr公司介绍联系我们用户协议隐私条款
关注我们

Suppr 超能文献

核心技术专利:CN118964589B侵权必究
粤ICP备2023148730 号-1Suppr @ 2026

文献检索

告别复杂PubMed语法,用中文像聊天一样搜索,搜遍4000万医学文献。AI智能推荐,让科研检索更轻松。

立即免费搜索

文件翻译

保留排版,准确专业,支持PDF/Word/PPT等文件格式,支持 12+语言互译。

免费翻译文档

深度研究

AI帮你快速写综述,25分钟生成高质量综述,智能提取关键信息,辅助科研写作。

立即免费体验

巨细胞性心肌炎与心脏结节病:利用氟代脱氧葡萄糖正电子发射断层显像重新审视诊断

Giant Cell Myocarditis vs Cardiac Sarcoidosis: Reconsidering the Diagnosis With FDG PET Imaging.

作者信息

Fraser Ethan J, Culver Austin, Lam Phillip H, Hofmeyer Mark, Sheikh Farooq H, Gupta Richa

机构信息

Department of Internal Medicine, MedStar Georgetown University Hospital, Washington, DC, USA.

MedStar Heart and Vascular Institute, Washington, DC, USA.

出版信息

JACC Case Rep. 2024 Nov 20;29(22):102738. doi: 10.1016/j.jaccas.2024.102738.

DOI:10.1016/j.jaccas.2024.102738
PMID:39691891
原文链接:https://pmc.ncbi.nlm.nih.gov/articles/PMC11646884/
Abstract

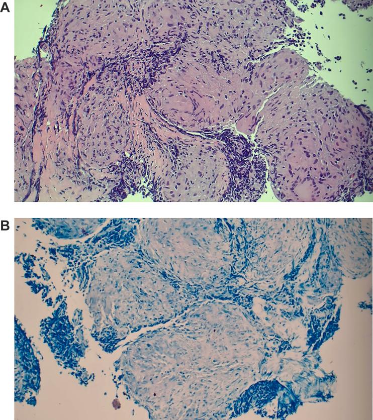
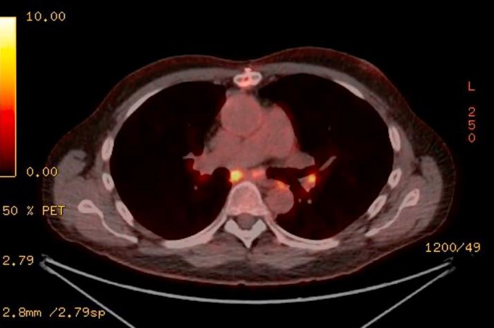
Giant cell myocarditis (GCM) and cardiac sarcoidosis share clinical and histologic features, but whether they represent separate processes or lie on an inflammatory cardiomyopathy spectrum is unclear. We present a case of cardiogenic shock thought to be secondary to biopsy-proven GCM with a subsequent post-transplant diagnosis of sarcoidosis through 18-fluorodeoxyglucose positron emission tomography and biopsy.

摘要

巨细胞性心肌炎(GCM)与心脏结节病具有共同的临床和组织学特征,但它们是代表不同的疾病过程还是属于炎症性心肌病谱系尚不清楚。我们报告一例心源性休克病例,最初认为是活检证实的GCM所致,随后通过18氟脱氧葡萄糖正电子发射断层扫描和活检在移植后诊断为结节病。

https://cdn.ncbi.nlm.nih.gov/pmc/blobs/abba/11646884/cfc7952fe147/gr4.jpg
https://cdn.ncbi.nlm.nih.gov/pmc/blobs/abba/11646884/ba27497824e0/ga1.jpg
https://cdn.ncbi.nlm.nih.gov/pmc/blobs/abba/11646884/9721671b94e1/gr5.jpg
https://cdn.ncbi.nlm.nih.gov/pmc/blobs/abba/11646884/190db9de7adf/gr1.jpg
https://cdn.ncbi.nlm.nih.gov/pmc/blobs/abba/11646884/7de96a74c783/gr2.jpg
https://cdn.ncbi.nlm.nih.gov/pmc/blobs/abba/11646884/f7abf7ec37f7/gr3.jpg
https://cdn.ncbi.nlm.nih.gov/pmc/blobs/abba/11646884/cfc7952fe147/gr4.jpg
https://cdn.ncbi.nlm.nih.gov/pmc/blobs/abba/11646884/ba27497824e0/ga1.jpg
https://cdn.ncbi.nlm.nih.gov/pmc/blobs/abba/11646884/9721671b94e1/gr5.jpg
https://cdn.ncbi.nlm.nih.gov/pmc/blobs/abba/11646884/190db9de7adf/gr1.jpg
https://cdn.ncbi.nlm.nih.gov/pmc/blobs/abba/11646884/7de96a74c783/gr2.jpg
https://cdn.ncbi.nlm.nih.gov/pmc/blobs/abba/11646884/f7abf7ec37f7/gr3.jpg
https://cdn.ncbi.nlm.nih.gov/pmc/blobs/abba/11646884/cfc7952fe147/gr4.jpg

相似文献

1
Giant Cell Myocarditis vs Cardiac Sarcoidosis: Reconsidering the Diagnosis With FDG PET Imaging.巨细胞性心肌炎与心脏结节病:利用氟代脱氧葡萄糖正电子发射断层显像重新审视诊断
JACC Case Rep. 2024 Nov 20;29(22):102738. doi: 10.1016/j.jaccas.2024.102738.
2
Recurrent Cardiac Sarcoidosis and Giant Cell Myocarditis After Heart Transplant: A Case Report and Systematic Literature Review.心脏移植后复发性心脏结节病和巨细胞心肌炎:病例报告及系统文献复习。
Am J Cardiol. 2023 Nov 15;207:271-279. doi: 10.1016/j.amjcard.2023.08.005. Epub 2023 Sep 26.
3
The Clinical and Histological Intersection of Cardiac Sarcoidosis and Giant Cell Myocarditis.心脏结节病与巨细胞性心肌炎的临床与组织学交叉点
Cureus. 2024 May 7;16(5):e59783. doi: 10.7759/cureus.59783. eCollection 2024 May.
4
Fulminant cardiac sarcoidosis resembling giant cell myocarditis: a case report.酷似巨细胞心肌炎的暴发性心脏结节病:一例报告
Eur Heart J Case Rep. 2021 Mar 10;5(3):ytab042. doi: 10.1093/ehjcr/ytab042. eCollection 2021 Mar.
5
Phenotyping of giant cell myocarditis versus cardiac sarcoidosis using cardiovascular magnetic resonance.应用心血管磁共振对巨细胞性心肌炎与心脏结节病进行表型分析。
Int J Cardiol. 2023 Sep 15;387:131143. doi: 10.1016/j.ijcard.2023.131143. Epub 2023 Jun 25.
6
Diagnosis, management, and outcome of cardiac sarcoidosis and giant cell myocarditis: a Swedish single center experience.心脏结节病和巨细胞心肌炎的诊断、治疗和转归:瑞典单中心经验。
BMC Cardiovasc Disord. 2022 Apr 26;22(1):192. doi: 10.1186/s12872-022-02639-0.
7
Cardiac magnetic resonance in giant cell myocarditis: a matched comparison with cardiac sarcoidosis.巨细胞心肌炎的心脏磁共振:与心脏结节病的匹配比较。
Eur Heart J Cardiovasc Imaging. 2023 Mar 21;24(4):404-412. doi: 10.1093/ehjci/jeac265.
8
Idiopathic giant cell myocarditis or cardiac sarcoidosis? A retrospective audit of a nationwide case series.特发性巨细胞性心肌炎还是心脏结节病?一项对全国病例系列的回顾性审计。
ESC Heart Fail. 2020 Jun;7(3):1362-1370. doi: 10.1002/ehf2.12725. Epub 2020 Apr 28.
9
Hybrid Cardiac Magnetic Resonance/Fluorodeoxyglucose Positron Emission Tomography to Differentiate Active From Chronic Cardiac Sarcoidosis.心脏磁共振成像/氟脱氧葡萄糖正电子发射断层显像联合检查用于鉴别活动性与慢性心脏结节病
JACC Cardiovasc Imaging. 2022 Mar;15(3):445-456. doi: 10.1016/j.jcmg.2021.08.018. Epub 2021 Oct 13.
10
Cardiac sarcoidosis and giant cell myocarditis as causes of atrioventricular block in young and middle-aged adults.心脏结节病和巨细胞性心肌炎导致年轻和中年成人房室传导阻滞。
Circ Arrhythm Electrophysiol. 2011 Jun;4(3):303-9. doi: 10.1161/CIRCEP.110.959254. Epub 2011 Mar 22.

本文引用的文献

1
Recurrent giant cell myocarditis after heart transplant: a case report.心脏移植术后复发性巨细胞性心肌炎:一例报告
Eur Heart J Case Rep. 2022 Sep 5;6(9):ytac362. doi: 10.1093/ehjcr/ytac362. eCollection 2022 Sep.
2
Cardiac sarcoidosis: state-of-the-art review.心脏结节病:最新综述
Heart. 2021 Oct;107(19):1591-1599. doi: 10.1136/heartjnl-2019-316442. Epub 2021 Mar 4.
3
Cardiac Sarcoidosis and Giant Cell Myocarditis: Actually, 2 Ends of the Same Disease?心脏结节病与巨细胞性心肌炎:实际上,是同一种疾病的两个极端?
J Am Heart Assoc. 2021 Mar 16;10(6):e020542. doi: 10.1161/JAHA.121.020542. Epub 2021 Mar 4.
4
Manifestations and Outcome of Cardiac Sarcoidosis and Idiopathic Giant Cell Myocarditis by 25-Year Nationwide Cohorts.25 年全国队列研究:心肌结节病和特发性巨细胞心肌炎的临床表现和转归。
J Am Heart Assoc. 2021 Mar 16;10(6):e019415. doi: 10.1161/JAHA.120.019415. Epub 2021 Mar 4.
5
Management of Patients With Giant Cell Myocarditis: JACC Review Topic of the Week.巨细胞心肌炎患者的管理:JACC 本周综述主题。
J Am Coll Cardiol. 2021 Mar 2;77(8):1122-1134. doi: 10.1016/j.jacc.2020.11.074.
6
Recognition and Initial Management of Fulminant Myocarditis: A Scientific Statement From the American Heart Association.暴发性心肌炎的识别和初步处理:美国心脏协会的科学声明。
Circulation. 2020 Feb 11;141(6):e69-e92. doi: 10.1161/CIR.0000000000000745. Epub 2020 Jan 6.
7
A clinical and histopathologic comparison of cardiac sarcoidosis and idiopathic giant cell myocarditis.心脏结节病与特发性巨细胞心肌炎的临床及组织病理学比较
J Am Coll Cardiol. 2003 Jan 15;41(2):322-9. doi: 10.1016/s0735-1097(02)02715-8.
8
Idiopathic giant-cell myocarditis--natural history and treatment. Multicenter Giant Cell Myocarditis Study Group Investigators.特发性巨细胞性心肌炎——自然病程与治疗。多中心巨细胞性心肌炎研究组研究者
N Engl J Med. 1997 Jun 26;336(26):1860-6. doi: 10.1056/NEJM199706263362603.