Suppr超能文献

影像学检查结果为阴性的腹直肌盆腔外子宫内膜异位症罕见病例的外科治疗:病例报告及小型文献综述

Surgical Treatment of a Rare Case of Extrapelvic Endometriosis in the Rectus Abdominis Muscles With Negative Imaging Findings: A Case Report and Mini Literature Review.

作者信息

Thanasa Efthymia, Thanasa Anna, Kamaretsos Evangelos, Kontogeorgis Gerasimos, Paraoulakis Ioannis, Thanasas Ioannis

机构信息

Department of Health Sciences, Medical School, Aristotle University of Thessaloniki, Thessaloniki, GRC.

Third Department of Obstetrics and Gynecology, University General Hospital "ATTIKON" Medical School, National and Kapodistrian University of Athens, Athens, GRC.

出版信息

Cureus. 2024 Nov 18;16(11):e73891. doi: 10.7759/cureus.73891. eCollection 2024 Nov.

Abstract

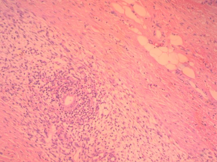
Abdominal wall endometriosis is an uncommon clinical entity. The localization of the disease in the muscles of the abdominal wall is considered extremely rare. Our patient with two cesarean sections in her obstetric history presented to the gynecology outpatient clinic of the General Hospital of Trikala, Trikala, Greece, complaining of intense pain, particularly during menstruation, though no palpable lesions were found in the abdominal wall. The pelvic imaging revealed no abnormalities. Based on the clinical findings, endometriosis of the abdominal wall was suspected. Surgical excision of a flat lesion from the abdominal wall muscles, followed by histological examination of the surgical specimen, confirmed endometriosis of the rectus abdominis muscle. The patient's postoperative course was smooth. Six months after surgery, without additional hormonal suppressive medication, the patient reported complete relief of symptoms. To date, she is regularly followed up at the Gynecology outpatient clinic. The remarkable feature of this case is the surgical treatment of endometriosis in the rectus abdominis muscles, based on the typical clinical findings of the disease. The case emphasizes the rarity of endometriosis in the rectus abdominis muscle, the significant challenges in preoperative diagnosis, and the crucial role of recognizing typical clinical features for early diagnosis and effective treatment of abdominal wall endometriosis.

摘要

腹壁子宫内膜异位症是一种不常见的临床病症。该病定位于腹壁肌肉被认为极为罕见。我们的这位患者有两次剖宫产史,她前往希腊特里卡拉综合医院的妇科门诊就诊,主诉疼痛剧烈,尤其是在月经期间,尽管腹壁未发现可触及的病变。盆腔影像学检查未发现异常。根据临床发现,怀疑为腹壁子宫内膜异位症。从腹壁肌肉切除一个扁平病变,随后对手术标本进行组织学检查,证实为腹直肌子宫内膜异位症。患者术后恢复顺利。术后六个月,未使用额外的激素抑制药物,患者报告症状完全缓解。迄今为止,她在妇科门诊定期随访。该病例的显著特点是基于该病典型的临床发现,对腹直肌子宫内膜异位症进行了手术治疗。该病例强调了腹直肌子宫内膜异位症的罕见性、术前诊断的重大挑战以及识别典型临床特征对腹壁子宫内膜异位症早期诊断和有效治疗的关键作用。

https://cdn.ncbi.nlm.nih.gov/pmc/blobs/e3ed/11655051/15ce957cb666/cureus-0016-00000073891-i01.jpg

文献检索

告别复杂PubMed语法,用中文像聊天一样搜索,搜遍4000万医学文献。AI智能推荐,让科研检索更轻松。

立即免费搜索

文件翻译

保留排版,准确专业,支持PDF/Word/PPT等文件格式,支持 12+语言互译。

免费翻译文档

深度研究

AI帮你快速写综述,25分钟生成高质量综述,智能提取关键信息,辅助科研写作。

立即免费体验