Suppr超能文献

小肠子宫内膜异位症的罕见表现。

Rare presentations of small bowel endometriosis.

作者信息

Sakiris Anthony, Fraz Ezaam Naik, Rajandran Arvinf, Smith Jason, Allen Benjamin, Pillai Sooraj, Ramaswamy Pradeep Kakkadasam, John Sneha

机构信息

Department of Gastroenterology Gold Coast University Hospital Gold Coast Australia.

出版信息

DEN Open. 2024 Jun 11;5(1):e395. doi: 10.1002/deo2.395. eCollection 2025 Apr.

Abstract

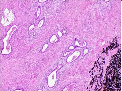
Despite endometriosis being a relatively common chronic gynecological condition in women of childbearing age, small bowel endometriosis is rare. Presentations can vary from completely asymptomatic to reported symptoms of abdominal pain, bloating, and diarrhea. The following two cases depict very atypical manifestations of ileal endometriosis that presented as obscure intermittent gastrointestinal bleeding and bowel obstruction requiring surgical intervention. The first case describes a previously healthy 40-year-old woman with severe symptomatic iron deficiency anemia and intermittent melena. A small bowel enteroscopy diagnosed multiple ulcerated strictures in the distal small bowel as the likely culprit. Despite nonsteroidal anti-inflammatory drug-induced enteropathy being initially considered as the likely etiology, histopathological examination of the resected distal ileal segment revealed evidence of endometriosis. The second case describes a 66-year-old with a presumptive diagnosis of Crohn's disease who reported a 10-year history of intermittent perimenstrual abdominal pain, diarrhea, and nausea with vomiting. Following two subsequent episodes of acute bowel obstruction and surgical resection of the patient's stricturing terminal ileal disease, histopathological examination demonstrated active chronic inflammation with endometriosis. Small bowel endometriosis should be considered as an unusual differential diagnosis in women who may present with obscure gastrointestinal bleeding from the small bowel or recurrent bowel obstruction.

摘要

尽管子宫内膜异位症是育龄期女性相对常见的慢性妇科疾病,但小肠子宫内膜异位症却很罕见。其表现形式多样,从完全无症状到出现腹痛、腹胀和腹泻等症状。以下两个病例描述了回肠子宫内膜异位症非常不典型的表现,分别为不明原因的间歇性胃肠道出血和肠梗阻,均需要手术干预。第一个病例是一名40岁的既往健康女性,患有严重的症状性缺铁性贫血和间歇性黑便。小肠肠镜检查诊断为远端小肠多发溃疡狭窄,这可能是病因所在。尽管最初认为非甾体抗炎药引起的肠病是可能的病因,但对切除的远端回肠段进行组织病理学检查发现了子宫内膜异位症的证据。第二个病例是一名66岁的女性,初步诊断为克罗恩病,她有10年的间歇性经前期腹痛、腹泻、恶心伴呕吐病史。在随后两次急性肠梗阻发作以及对患者狭窄的末端回肠疾病进行手术切除后,组织病理学检查显示为伴有子宫内膜异位症的活动性慢性炎症。对于可能出现不明原因的小肠胃肠道出血或反复肠梗阻的女性,小肠子宫内膜异位症应被视为一种不常见的鉴别诊断。

https://cdn.ncbi.nlm.nih.gov/pmc/blobs/cba0/11166675/362cdfc514ac/DEO2-5-e395-g001.jpg

文献检索

告别复杂PubMed语法,用中文像聊天一样搜索,搜遍4000万医学文献。AI智能推荐,让科研检索更轻松。

立即免费搜索

文件翻译

保留排版,准确专业,支持PDF/Word/PPT等文件格式,支持 12+语言互译。

免费翻译文档

深度研究

AI帮你快速写综述,25分钟生成高质量综述,智能提取关键信息,辅助科研写作。

立即免费体验