• 文献检索
  • 文档翻译
  • 深度研究
  • 学术资讯
  • Suppr Zotero 插件Zotero 插件
  • 邀请有礼
  • 套餐&价格
  • 历史记录
应用&插件
Suppr Zotero 插件Zotero 插件浏览器插件Mac 客户端Windows 客户端微信小程序
定价
高级版会员购买积分包购买API积分包
服务
文献检索文档翻译深度研究API 文档MCP 服务
关于我们
关于 Suppr公司介绍联系我们用户协议隐私条款
关注我们

Suppr 超能文献

核心技术专利:CN118964589B侵权必究
粤ICP备2023148730 号-1Suppr @ 2026

文献检索

告别复杂PubMed语法,用中文像聊天一样搜索,搜遍4000万医学文献。AI智能推荐,让科研检索更轻松。

立即免费搜索

文件翻译

保留排版,准确专业,支持PDF/Word/PPT等文件格式,支持 12+语言互译。

免费翻译文档

深度研究

AI帮你快速写综述,25分钟生成高质量综述,智能提取关键信息,辅助科研写作。

立即免费体验

可切除的中高位直肠腺癌与癌旁远端组织的表观扩散系数比较。

Comparison of apparent diffusion coefficients of resectable mid‑high rectal adenocarcinoma and distal paracancerous tissue.

作者信息

Luo Hui, Gou Yue-Qin, Wang Yue-Su, Qin Hui-Lin, Zhou Hai-Ying, Zhang Xiao-Ming, Chen Tian-Wu

机构信息

Medical Imaging Key Laboratory of Sichuan Province, Department of Radiology, Affiliated Hospital of North Sichuan Medical College, Nanchong, Sichuan 637000, P.R. China.

Department of Radiology, The Second Affiliated Hospital of Chongqing Medical University, Chongqing 400010, P.R. China.

出版信息

Oncol Lett. 2024 Dec 10;29(2):97. doi: 10.3892/ol.2024.14843. eCollection 2025 Feb.

DOI:10.3892/ol.2024.14843
PMID:39697979
原文链接:https://pmc.ncbi.nlm.nih.gov/articles/PMC11653244/
Abstract

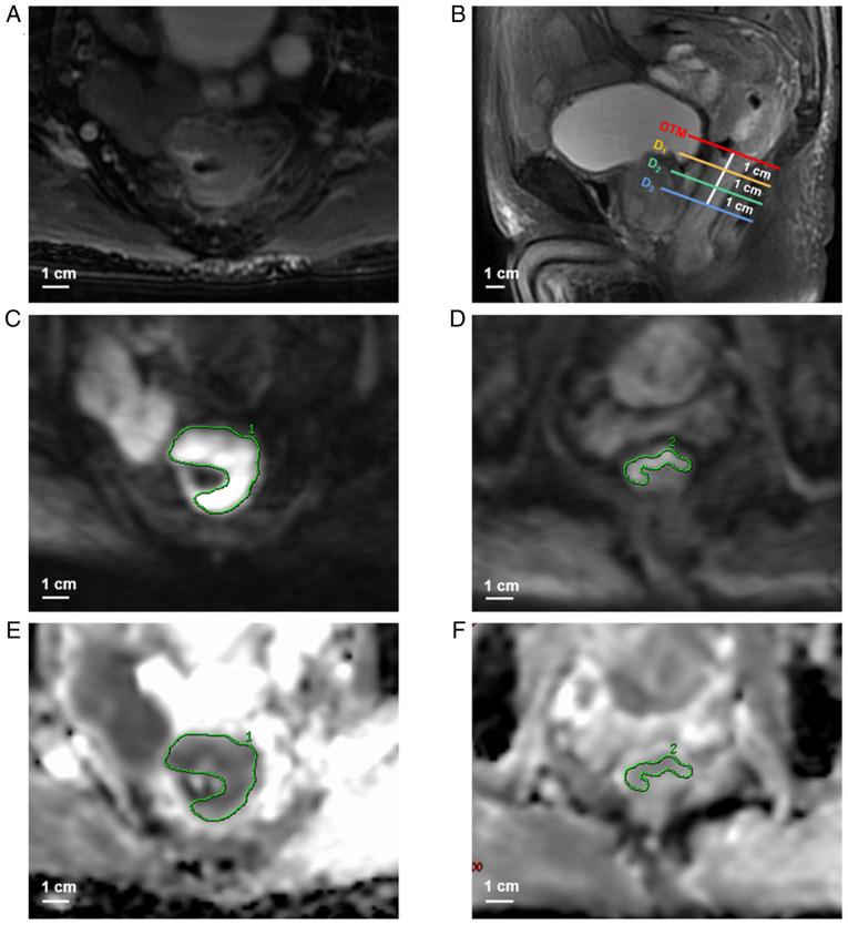
Paracancerous tissues actively communicate with the tumor and undergo molecular alterations associated with tumorigenesis. Apparent diffusion coefficient (ADC) can help distinguish between rectal adenocarcinoma (RA), tumor-adjacent and tumor-distant tissues. Preoperative determining optimal distal resection margin (DRM) is crucial for formulating surgical options. The present study aimed to assess ADC differences between RA and 1 cm-layer distal paracancerous tissues, providing a potential reference basis for preoperatively determining optimal DRM. A total of 110 consecutive patients with mid-high RA undergoing preoperative diffusion-weighted imaging were included. ADCs of RA and distal paracancerous tissues located ~1, 2 and 3 cm from the tumor margin (defined as D, D and D, respectively) were measured using five b-value pairs (0 and 50; 0 and 100; 0 and 800; 0 and 1,000; and 0 and 1,500 sec/mm). Differences in ADCs between RA, D, D and D were compared using the Friedman test with a post hoc Bonferroni correction. Variables that demonstrated statistical differences in multiple pairwise comparisons underwent receiver operating characteristic (ROC) analysis to assess diagnostic performance of ADCs in distinguishing between tissues. ADC at all b-value pairs demonstrated satisfactory performance in distinguishing RA from D, D and D [areas under the ROC curves (AUCs), 0.838 to 0.996)]. When the maximum b-value was ≥800 sec/mm, the ADC of D was significantly lower compared with those of D and D (P<0.001). ADC exhibited an optimal performance in differentiating D from D at b-values of 0 and 800 sec/mm, and D from D at b-values of 0 and 1,000 sec/mm (AUCs: 0.652 and 0.692, respectively). However, ADCs of D and D demonstrated no differences at all b-value pairs (all P>0.05). In conclusion, ADC may distinguish RA from D, D and D, and D from D/D, but cannot distinguish between D and D.

摘要

癌旁组织与肿瘤积极沟通,并经历与肿瘤发生相关的分子改变。表观扩散系数(ADC)有助于区分直肠腺癌(RA)、肿瘤邻近组织和肿瘤远处组织。术前确定最佳远端切缘(DRM)对于制定手术方案至关重要。本研究旨在评估RA与距肿瘤边缘1 cm层的远端癌旁组织之间的ADC差异,为术前确定最佳DRM提供潜在的参考依据。共纳入110例连续的中高位RA患者,术前行扩散加权成像。使用五对b值(0和50;0和100;0和800;0和1000;以及0和1500秒/平方毫米)测量RA以及距肿瘤边缘约1 cm、2 cm和3 cm处的远端癌旁组织的ADC(分别定义为D、D和D)。使用Friedman检验及事后Bonferroni校正比较RA、D、D和D之间的ADC差异。在多个两两比较中显示出统计学差异的变量进行受试者操作特征(ROC)分析,以评估ADC区分组织的诊断性能。所有b值对下的ADC在区分RA与D、D和D方面均表现出令人满意的性能[ROC曲线下面积(AUC)为0.838至0.996]。当最大b值≥800秒/平方毫米时,D的ADC显著低于D和D(P<0.001)。在b值为0和800秒/平方毫米时,ADC在区分D与D方面表现最佳,在b值为0和1000秒/平方毫米时,在区分D与D方面表现最佳(AUC分别为0.652和0.692)。然而,D和D的ADC在所有b值对下均无差异(所有P>0.05)。总之,ADC可以区分RA与D、D和D,以及D与D/D,但无法区分D和D。

https://cdn.ncbi.nlm.nih.gov/pmc/blobs/343f/11653244/99cec65ddba8/ol-29-02-14843-g03.jpg
https://cdn.ncbi.nlm.nih.gov/pmc/blobs/343f/11653244/f7151024be5c/ol-29-02-14843-g00.jpg
https://cdn.ncbi.nlm.nih.gov/pmc/blobs/343f/11653244/711cda75052b/ol-29-02-14843-g01.jpg
https://cdn.ncbi.nlm.nih.gov/pmc/blobs/343f/11653244/a892ec062589/ol-29-02-14843-g02.jpg
https://cdn.ncbi.nlm.nih.gov/pmc/blobs/343f/11653244/99cec65ddba8/ol-29-02-14843-g03.jpg
https://cdn.ncbi.nlm.nih.gov/pmc/blobs/343f/11653244/f7151024be5c/ol-29-02-14843-g00.jpg
https://cdn.ncbi.nlm.nih.gov/pmc/blobs/343f/11653244/711cda75052b/ol-29-02-14843-g01.jpg
https://cdn.ncbi.nlm.nih.gov/pmc/blobs/343f/11653244/a892ec062589/ol-29-02-14843-g02.jpg
https://cdn.ncbi.nlm.nih.gov/pmc/blobs/343f/11653244/99cec65ddba8/ol-29-02-14843-g03.jpg

相似文献

1
Comparison of apparent diffusion coefficients of resectable mid‑high rectal adenocarcinoma and distal paracancerous tissue.可切除的中高位直肠腺癌与癌旁远端组织的表观扩散系数比较。
Oncol Lett. 2024 Dec 10;29(2):97. doi: 10.3892/ol.2024.14843. eCollection 2025 Feb.
2
Apparent diffusion coefficient derived from diffusion-weighted imaging to differentiate between tumor, tumor-adjacent and tumor-distant tissues in resectable rectal adenocarcinoma.基于扩散加权成像的表观扩散系数对可切除直肠腺癌肿瘤、肿瘤毗邻组织和肿瘤远处组织的鉴别诊断。
Eur J Radiol. 2022 Oct;155:110506. doi: 10.1016/j.ejrad.2022.110506. Epub 2022 Sep 1.
3
[Comparative study of ultra-high field diffusion-weighted MRI imaging between hepatocellular carcinoma and paracancerous, distant cancerous, and background liver tissues].肝细胞癌与癌旁、远处癌灶及肝脏背景组织的超高场扩散加权磁共振成像对比研究
Zhonghua Gan Zang Bing Za Zhi. 2024 Aug 20;32(8):726-733. doi: 10.3760/cma.j.cn501113-20240530-00276.
4
A novel pN stage prediction model for resectable rectal adenocarcinoma based on preoperative MRI features and multiregional apparent diffusion coefficients.一种基于术前MRI特征和多区域表观扩散系数的可切除直肠腺癌pN分期预测新模型。
Eur Radiol. 2025 Mar 25. doi: 10.1007/s00330-025-11528-x.
5
Improved effects of the b-value for 2000 sec/mm DWI on an accurate qualitative and quantitative assessment of rectal cancer.2000 sec/mm DWI 中 b 值对直肠癌准确定性和定量评估的改善作用。
Arab J Gastroenterol. 2023 Nov;24(4):230-237. doi: 10.1016/j.ajg.2023.09.001. Epub 2023 Nov 20.
6
Application of cellular microstructural diffusion MRI (cell size imaging) in rectal lesions: a preliminary study.细胞微观结构扩散磁共振成像(细胞大小成像)在直肠病变中的应用:一项初步研究。
Front Oncol. 2025 Feb 3;15:1535271. doi: 10.3389/fonc.2025.1535271. eCollection 2025.
7
Quantitative Assessment of Rectal Cancer Response to Neoadjuvant Combined Chemotherapy and Radiation Therapy: Comparison of Three Methods of Positioning Region of Interest for ADC Measurements at Diffusion-weighted MR Imaging.直肠癌新辅助放化疗后反应的定量评估:三种 ADC 测量感兴趣区定位方法在弥散加权成像中的比较。
Radiology. 2017 Feb;282(2):418-428. doi: 10.1148/radiol.2016151908. Epub 2016 Jun 2.
8
Differentiation of central gland prostate cancer from benign prostatic hyperplasia using monoexponential and biexponential diffusion-weighted imaging.应用单指数和双指数扩散加权成像鉴别中央腺体前列腺癌与前列腺增生。
Magn Reson Imaging. 2013 Oct;31(8):1318-24. doi: 10.1016/j.mri.2013.03.002. Epub 2013 Jun 21.
9
Diffusion-weighted imaging of rectal cancer on repeatability and cancer characterization: an effect of b-value distribution study.直肠癌弥散加权成像的可重复性和癌症特征:b 值分布研究的影响。
Cancer Imaging. 2018 Nov 15;18(1):43. doi: 10.1186/s40644-018-0177-1.
10
Grading astrocytic tumors by using apparent diffusion coefficient parameters: superiority of a one- versus two-parameter pilot method.利用表观扩散系数参数对星形细胞瘤进行分级:单参数与双参数初步方法的优势
Radiology. 2009 Jun;251(3):838-45. doi: 10.1148/radiol.2513080899. Epub 2009 Mar 24.

本文引用的文献

1
Colonic stem cells from normal tissues adjacent to tumor drive inflammation and fibrosis in colorectal cancer.正常组织来源的结肠干细胞驱动结直肠癌中的炎症和纤维化。
Cell Commun Signal. 2023 Aug 1;21(1):186. doi: 10.1186/s12964-023-01140-1.
2
Abdominal Diffusion-Weighted MRI With Simultaneous Multi-Slice Acquisition: Agreement and Reproducibility of Apparent Diffusion Coefficients Measurements.腹部磁共振弥散加权成像采用同时多层面采集技术:表观弥散系数测量的一致性和可重复性。
J Magn Reson Imaging. 2024 Apr;59(4):1170-1178. doi: 10.1002/jmri.28876. Epub 2023 Jun 19.
3
Colorectal cancer statistics, 2023.
2023 年结直肠癌统计数据。
CA Cancer J Clin. 2023 May-Jun;73(3):233-254. doi: 10.3322/caac.21772. Epub 2023 Mar 1.
4
High-resolution integrated dynamic shimming diffusion-weighted imaging (DWI) in the assessment of rectal cancer.高分辨率集成动态匀场扩散加权成像(DWI)在直肠癌评估中的应用
Eur Radiol. 2023 Aug;33(8):5769-5778. doi: 10.1007/s00330-023-09494-3. Epub 2023 Feb 24.
5
Advances in Imaging of Inflammation, Fibrosis, and Cancer in the Gastrointestinal Tract.胃肠道炎症、纤维化和癌症的影像学进展。
Int J Mol Sci. 2022 Dec 17;23(24):16109. doi: 10.3390/ijms232416109.
6
Accuracy of magnetic resonance imaging in defining dentate line in anal fistula.磁共振成像在肛痿齿线定义中的准确性。
BMC Med Imaging. 2022 Nov 18;22(1):201. doi: 10.1186/s12880-022-00927-x.
7
Rectal Cancer, Version 2.2022, NCCN Clinical Practice Guidelines in Oncology.《直肠癌(2022 年第 2 版)》,美国国家综合癌症网络(NCCN)肿瘤学临床实践指南。
J Natl Compr Canc Netw. 2022 Oct;20(10):1139-1167. doi: 10.6004/jnccn.2022.0051.
8
Association of levels of metabolites with the safe margin of rectal cancer surgery: a metabolomics study.代谢物水平与直肠癌手术安全边界的关系:代谢组学研究。
BMC Cancer. 2022 Oct 5;22(1):1043. doi: 10.1186/s12885-022-10124-2.
9
Apparent diffusion coefficient derived from diffusion-weighted imaging to differentiate between tumor, tumor-adjacent and tumor-distant tissues in resectable rectal adenocarcinoma.基于扩散加权成像的表观扩散系数对可切除直肠腺癌肿瘤、肿瘤毗邻组织和肿瘤远处组织的鉴别诊断。
Eur J Radiol. 2022 Oct;155:110506. doi: 10.1016/j.ejrad.2022.110506. Epub 2022 Sep 1.
10
Is a Distal Resection Margin of ≤ 1 cm Safe in Patients with Intermediate- to Low-Lying Rectal Cancer? A Systematic Review and Meta-Analysis.距离肛门边缘 ≤ 1 厘米的直肠远端切缘是否安全?一项系统评价和荟萃分析。
J Gastrointest Surg. 2022 Aug;26(8):1791-1803. doi: 10.1007/s11605-022-05342-9. Epub 2022 May 2.