Suppr超能文献

对于18F-FDG PET/CT上偶然发现的前列腺摄取情况,是否存在类似的磁共振多参数成像(Mp-MRI)?

Is there a comparable Mp-MRI for incidental prostate uptake on 18 F-FDG PET/CT?

作者信息

Şam Özdemir Merve, Kaya Nurullah, Savun Metin, Keskin Emin Taha, Yüzkan Sabahattin, Arslan Fatma Zeynep, Budak Burcu, Omak Özgür, Yardımcı Aytül Hande, Özdemir Harun

机构信息

Department of Radiology, Başaksehir Çam and Sakura City Hospital, Istanbul, Turkey.

Department of Urology, Başaksehir Çam and Sakura City Hospital, Istanbul, Turkey.

出版信息

World J Surg Oncol. 2024 Dec 20;22(1):339. doi: 10.1186/s12957-024-03578-0.

Abstract

PURPOSE

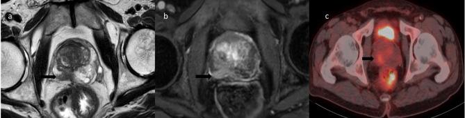
Although 18 F-FDG-PET/CT is helpful in defining many types of cancer, localized prostate cancer should not be treated with this technique. This study describes the use of multi-parametric MRI (mpMRI) to characterize incidental 18 F-FDG uptake in the prostate.

METHODS AND MATERIALS

While 18 F-FDG-PET/CT is useful for characterizing a variety of cancers, it is not advised for prostate cancer that is localized. This work investigates the use of mpMRI to describe incidental 18 F-FDG uptake in the prostate.mpMRI included T2-weighted (T2W), dynamic contrast enhancement (DCE), and apparent diffusion coefficient (ADC) sequences. Patients were classified according to PI-RADS (Prostate Imaging Reporting and Data System) version 2.1 by an experienced uroradiologist, and 18 F-FDG-PET was evaluated to determine whether the area of involvement on CT had a counterpart in mpMRI. A biopsy was performed on 30 of the 92 patients. These patients' maximum standardized uptake values (SUVmax) 6 < and ≥ 6, PS(PSA) density 0.15 < and ≥ 0.15, PSA level, uptake pattern (focal involvement/diffuse involvement), and PI-RADS scores were compared. P < .05 was considered statistically significant. Logistic regression was used to analyze PI-RADS score groups age, PSA, PSA density and SUVmax.

RESULTS

In the study, 92 patients with incidental 18 F-FDG-PET/CT prostate uptake were examined. Median age was 66, PSA median was 3.6 ng/ml (range: 0-3198 ng/ml). Notably, in 70.6% of cases, PET/CT uptake didn't correlate with mp-MRI findings. Among PI-RADS 3-4-5 patients (29.3%), there was a correlation. Biopsies in 30 patients revealed 43.3% benign, 56.7% malignant. Significant differences between benign and malignant cases were observed in PSA density, PI-RADS scores, and PSA levels (p < .05), while SUVmax and uptake pattern were not significant. In multivariate logistic regression analysis, PI-RADS score groups were found to be independent risk factors for predicting malignancy.

CONCLUSIONS

Our study showed that incidental 18 F-FDG-PET/CT prostate uptake was detected and that high PSA density values, PI-RADS scores, and PSA values, such as in routine patients, and not PET-CT findings such as SUVmax and uptake pattern, were more predictive of malignancy.

摘要

目的

尽管18F-FDG-PET/CT有助于诊断多种类型的癌症,但局部前列腺癌不应采用该技术进行治疗。本研究描述了使用多参数磁共振成像(mpMRI)来表征前列腺中偶然出现的18F-FDG摄取情况。

方法和材料

虽然18F-FDG-PET/CT有助于诊断多种癌症,但不建议用于局部前列腺癌。本研究探讨了使用mpMRI来描述前列腺中偶然出现的18F-FDG摄取情况。mpMRI包括T2加权(T2W)、动态对比增强(DCE)和表观扩散系数(ADC)序列。由经验丰富的泌尿放射科医生根据前列腺影像报告和数据系统(PI-RADS)第2.1版对患者进行分类,并对18F-FDG-PET进行评估,以确定CT上的受累区域在mpMRI中是否有对应区域。92例患者中有30例进行了活检。比较了这些患者的最大标准化摄取值(SUVmax)<6和≥6、前列腺特异抗原(PSA)密度<0.15和≥0.15、PSA水平、摄取模式(局灶性受累/弥漫性受累)以及PI-RADS评分。P<0.05被认为具有统计学意义。采用逻辑回归分析PI-RADS评分组的年龄、PSA、PSA密度和SUVmax。

结果

本研究共检查了92例前列腺偶然出现18F-FDG-PET/CT摄取的患者。中位年龄为66岁,PSA中位数为3.6 ng/ml(范围:0 - 3198 ng/ml)。值得注意的是,在70.6%的病例中,PET/CT摄取与mp-MRI结果不相关。在PI-RADS 3 - 4 - 5级的患者中(占29.3%),存在相关性。30例患者的活检结果显示,43.3%为良性,56.7%为恶性。良性和恶性病例在PSA密度、PI-RADS评分和PSA水平上存在显著差异(P<0.05),而SUVmax和摄取模式无显著差异。在多因素逻辑回归分析中,发现PI-RADS评分组是预测恶性肿瘤的独立危险因素。

结论

我们的研究表明,检测到了前列腺偶然出现的18F-FDG-PET/CT摄取,并且与常规患者一样,高PSA密度值、PI-RADS评分和PSA值比SUVmax和摄取模式等PET-CT结果更能预测恶性肿瘤。

https://cdn.ncbi.nlm.nih.gov/pmc/blobs/9200/11662805/a5964dab8550/12957_2024_3578_Fig1_HTML.jpg

文献检索

告别复杂PubMed语法,用中文像聊天一样搜索,搜遍4000万医学文献。AI智能推荐,让科研检索更轻松。

立即免费搜索

文件翻译

保留排版,准确专业,支持PDF/Word/PPT等文件格式,支持 12+语言互译。

免费翻译文档

深度研究

AI帮你快速写综述,25分钟生成高质量综述,智能提取关键信息,辅助科研写作。

立即免费体验