Suppr超能文献

利用9.4T磁共振成像的体内R∗图谱检测小鼠白色脂肪组织的褐变

Detecting white adipose tissue browning in mice with in vivo R∗ mapping at 9.4T MRI.

作者信息

Zhong Qiaoling, Liu Hongsheng, Feng Yanqiu, Jiao Xiuwei, Yang Yuanbo, Zhang Daming, Wang Qian, Ahasan Zoheb, Li Andrew Z, Liew Chong Wee, Cai Zimeng, Liu Zaiyi, Cai Kejia

机构信息

Department of Radiology, Guangzhou Women and Children's Medical Center, Guangzhou Medical University, Guangzhou, China.

School of Biomedical Engineering, Southern Medical University, Guangzhou, China; Guangdong Provincial Key Laboratory of Medical Image Processing & Guangdong Province Engineering Laboratory for Medical Imaging and Diagnostic Technology, Southern Medical University, Guangzhou, China; Guangdong-Hong Kong-Macao Greater Bay Area Center for Brain Science and Brain-Inspired Intelligence & Key Laboratory of Mental Health of the Ministry of Education, Southern Medical University, Guangzhou, China; Department of Radiology, Shunde Hospital, Southern Medical University (The First People's Hospital of Shunde, Foshan), Foshan, China.

出版信息

J Lipid Res. 2025 Feb;66(2):100735. doi: 10.1016/j.jlr.2024.100735. Epub 2024 Dec 19.

Abstract

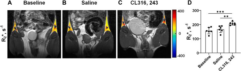
White adipose tissue (WAT) browning is considered a promising strategy to combat obesity and related metabolic diseases. Currently, fat-water fraction (FWF) has been used as a marker for the loss of lipids associated with WAT browning. However, FWF may not be sensitive to metabolic changes and cannot specifically reflect iron-regulated metabolism during browning. Here, we report a noninvasive preclinical imaging approach based on iron content detected by R∗ mapping to assess in vivo WAT browning in mice. In this study, we investigated the browning of inguinal white adipose tissue (iWAT) induced by long-term CL-316,243 (CL) drug stimulation in mice. We quantified the changes in R∗, FWF, uncoupling protein 1 (UCP1) expression, and iron content. The iWAT of all mice was dissected for H&E staining and immunohistochemistry for the absorbance of UCP1 and iron content. In in vivo experiments, a significant increase in R∗ and a decrease in FWF were observed in iWAT after 7 days of CL administration compared with the saline-treated and the baseline groups. Accordingly, in ex vivo experiments, UCP1 expression and the total iron content in iWAT significantly increased after 7 days of CL stimulation. By pooling all mice data, the UCP1 expression level of iWAT and iron content was found to be highly correlated with R∗ and inversely correlated with FWF. Taken together, R∗ may serve as a potential imaging biomarker for assessing WAT browning, which provides a new diagnostic and therapeutic evaluation tool for metabolic diseases.

摘要

白色脂肪组织(WAT)褐变被认为是对抗肥胖及相关代谢性疾病的一种有前景的策略。目前,脂肪水分数(FWF)已被用作与WAT褐变相关的脂质损失的标志物。然而,FWF可能对代谢变化不敏感,并且不能特异性反映褐变过程中铁调节的代谢。在此,我们报告一种基于通过R∗映射检测铁含量的非侵入性临床前成像方法,以评估小鼠体内的WAT褐变。在本研究中,我们研究了长期使用CL-316,243(CL)药物刺激诱导的小鼠腹股沟白色脂肪组织(iWAT)的褐变。我们量化了R∗、FWF、解偶联蛋白1(UCP1)表达和铁含量的变化。解剖所有小鼠的iWAT进行苏木精-伊红(H&E)染色以及针对UCP1吸光度和铁含量的免疫组织化学分析。在体内实验中,与生理盐水处理组和基线组相比,CL给药7天后iWAT中的R∗显著增加,FWF降低。相应地,在体外实验中,CL刺激7天后iWAT中的UCP1表达和总铁含量显著增加。通过汇总所有小鼠的数据,发现iWAT的UCP1表达水平和铁含量与R∗高度相关,与FWF呈负相关。综上所述,R∗可作为评估WAT褐变的潜在成像生物标志物,为代谢性疾病提供了一种新的诊断和治疗评估工具。

https://cdn.ncbi.nlm.nih.gov/pmc/blobs/f19c/11786758/b8f08a96bebd/gr1.jpg

文献检索

告别复杂PubMed语法,用中文像聊天一样搜索,搜遍4000万医学文献。AI智能推荐,让科研检索更轻松。

立即免费搜索

文件翻译

保留排版,准确专业,支持PDF/Word/PPT等文件格式,支持 12+语言互译。

免费翻译文档

深度研究

AI帮你快速写综述,25分钟生成高质量综述,智能提取关键信息,辅助科研写作。

立即免费体验