• 文献检索
  • 文档翻译
  • 深度研究
  • 学术资讯
  • Suppr Zotero 插件Zotero 插件
  • 邀请有礼
  • 套餐&价格
  • 历史记录
应用&插件
Suppr Zotero 插件Zotero 插件浏览器插件Mac 客户端Windows 客户端微信小程序
定价
高级版会员购买积分包购买API积分包
服务
文献检索文档翻译深度研究API 文档MCP 服务
关于我们
关于 Suppr公司介绍联系我们用户协议隐私条款
关注我们

Suppr 超能文献

核心技术专利:CN118964589B侵权必究
粤ICP备2023148730 号-1Suppr @ 2026

文献检索

告别复杂PubMed语法,用中文像聊天一样搜索,搜遍4000万医学文献。AI智能推荐,让科研检索更轻松。

立即免费搜索

文件翻译

保留排版,准确专业,支持PDF/Word/PPT等文件格式,支持 12+语言互译。

免费翻译文档

深度研究

AI帮你快速写综述,25分钟生成高质量综述,智能提取关键信息,辅助科研写作。

立即免费体验

特发性阴囊钙化症:病例报告及文献综述

Idiopathic scrotal calcinosis: Case report and literature review.

作者信息

Yang Xiaofeng, Tian Tao, Wang Qianqian

机构信息

Department of Urology, Zaozhuang Municipal Hospital, 41th, Zaozhuang, China.

Department of Outpatient, Zaozhuang Municipal Hospital, 41th, Zaozhuang, China.

出版信息

Int J Surg Case Rep. 2025 Jan;126:110770. doi: 10.1016/j.ijscr.2024.110770. Epub 2024 Dec 24.

DOI:10.1016/j.ijscr.2024.110770
PMID:39729894
原文链接:https://pmc.ncbi.nlm.nih.gov/articles/PMC11741090/
Abstract

INTRODUCTION

This case report discusses the clinical manifestations, diagnosis and treatment of idiopathic scrotal calcinosis, and reviews the literature of similar cases, providing important reference for the diagnosis and treatment of this rare disease.

CASE PRESENTATION

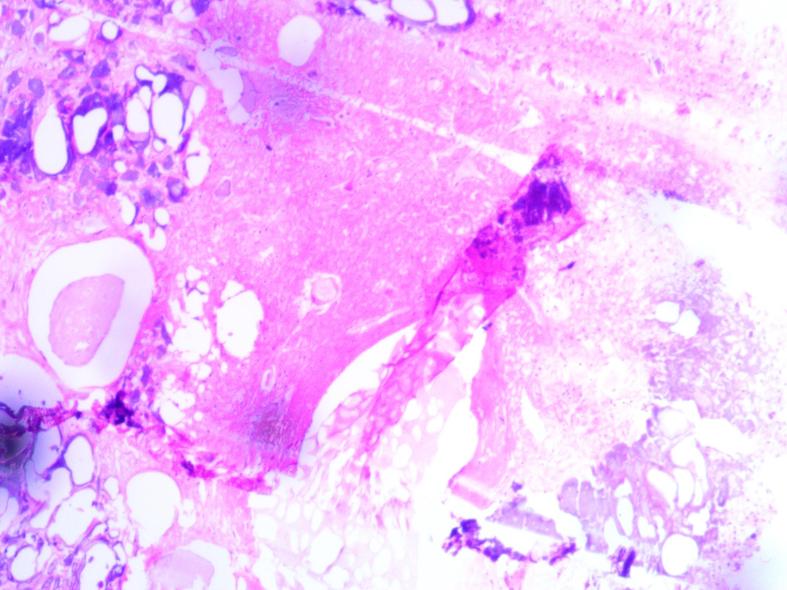
Idiopathic scrotal calcinosis is a rare condition characterized by calcium deposition in the skin of the scrotum. We present a case of a 67-year-old male patient with idiopathic scrotal calcinosis, a rare condition characterized by calcium deposition in the skin of the scrotum. The patient initially noticed multiple nodular masses on his scrotum 30 years ago, which gradually increased in size and caused discomfort. Physical examination and enhanced CT scans revealed multiple, well-demarcated high-density nodules on the skin surface of the scrotum. The patient underwent surgical resection of the lesions, and histopathological findings confirmed the diagnosis of idiopathic skin calcium deposition in the scrotum.

DISCUSSION

Idiopathic calcinosis scrotum (ISC) is a rare benign surgical skin disorder that primarily affects the skin of the scrotum.It is characterized by the spontaneous deposition of calcium in the dermis, resulting in the formation of multiple asymptomatic calcified nodules. ISC is usually diagnosed based on clinical presentation and confirmed by histological examination. ISC can be treated well with surgery.

CONCLUSION

Idiopathic Scrotal Calcinosis is a rare but distinct dermatosurgical disorder that requires surgical excision for definitive diagnosis and treatment. In managing ISC, surgical excision remains the primary treatment option, offering good outcomes and patient satisfaction. It is important for clinicians to recognize ISC to avoid misdiagnosis and unnecessary medical interventions.

摘要

引言

本病例报告讨论了特发性阴囊钙化症的临床表现、诊断和治疗,并回顾了类似病例的文献,为这种罕见疾病的诊断和治疗提供重要参考。

病例介绍

特发性阴囊钙化症是一种罕见病症,其特征为阴囊皮肤出现钙沉积。我们报告一例67岁男性特发性阴囊钙化症患者,该病症以阴囊皮肤钙沉积为特征。患者30年前最初注意到阴囊上有多个结节状肿物,肿物逐渐增大并引起不适。体格检查和增强CT扫描显示阴囊皮肤表面有多个边界清晰的高密度结节。患者接受了病变手术切除,组织病理学检查结果证实为阴囊特发性皮肤钙沉积。

讨论

特发性阴囊钙化症(ISC)是一种罕见的良性外科皮肤疾病,主要累及阴囊皮肤。其特征是钙在真皮中自发沉积,导致形成多个无症状的钙化结节。ISC通常根据临床表现诊断,并通过组织学检查确诊。ISC手术治疗效果良好。

结论

特发性阴囊钙化症是一种罕见但独特的皮肤外科疾病,需要手术切除以明确诊断和治疗。在处理ISC时,手术切除仍然是主要的治疗选择,可取得良好效果并让患者满意。临床医生认识ISC以避免误诊和不必要的医疗干预很重要。

https://cdn.ncbi.nlm.nih.gov/pmc/blobs/22d3/11741090/82922c26d22a/gr3.jpg
https://cdn.ncbi.nlm.nih.gov/pmc/blobs/22d3/11741090/bb3dce9ade1e/gr1.jpg
https://cdn.ncbi.nlm.nih.gov/pmc/blobs/22d3/11741090/821620e1c3dc/gr2.jpg
https://cdn.ncbi.nlm.nih.gov/pmc/blobs/22d3/11741090/82922c26d22a/gr3.jpg
https://cdn.ncbi.nlm.nih.gov/pmc/blobs/22d3/11741090/bb3dce9ade1e/gr1.jpg
https://cdn.ncbi.nlm.nih.gov/pmc/blobs/22d3/11741090/821620e1c3dc/gr2.jpg
https://cdn.ncbi.nlm.nih.gov/pmc/blobs/22d3/11741090/82922c26d22a/gr3.jpg

相似文献

1
Idiopathic scrotal calcinosis: Case report and literature review.特发性阴囊钙化症:病例报告及文献综述
Int J Surg Case Rep. 2025 Jan;126:110770. doi: 10.1016/j.ijscr.2024.110770. Epub 2024 Dec 24.
2
Excessive collagen fiber deposition in idiopathic scrotal calcinosis: a case report.特发性阴囊钙化症中胶原纤维过度沉积:病例报告。
BMC Urol. 2024 Oct 3;24(1):212. doi: 10.1186/s12894-024-01601-w.
3
Idiopathic scrotal calcinosis: Is the cause still unknown? A case report.特发性阴囊钙化症:病因仍不明?一例报告。
Int J Surg Case Rep. 2024 Apr;117:109503. doi: 10.1016/j.ijscr.2024.109503. Epub 2024 Mar 11.
4
Idiopathic Scrotal Calcinosis (ISC): A Familial Case Series of Two Cases.特发性阴囊钙化症(ISC):两例家族性病例系列报道
Cureus. 2025 Jan 1;17(1):e76711. doi: 10.7759/cureus.76711. eCollection 2025 Jan.
5
[comIdiopathic scrotal calcinosis: A report of 10 cases and review of the literature].[特发性阴囊钙化症:10例报告及文献复习]
Zhonghua Nan Ke Xue. 2019 Jun;25(6):544-548.
6
Idiopathic Scrotal Calcinosis: A Case Report and Review of Postoperative Outcomes.特发性阴囊钙化症:一例报告及术后结果回顾
Case Rep Urol. 2020 Sep 14;2020:8877695. doi: 10.1155/2020/8877695. eCollection 2020.
7
Idiopathic scrotal calcinosis in a case who presented 20 years after the initiation of symptoms: a review of the literature.症状出现20年后就诊的特发性阴囊钙化症病例:文献综述
Clin Ter. 2014;165(5):239-41. doi: 10.7417/CT.2014.1752.
8
Idiopathic Scrotal Calcinosis.特发性阴囊钙化症
Indian J Surg. 2016 Aug;78(4):329-30. doi: 10.1007/s12262-016-1463-4. Epub 2016 Mar 19.
9
Idiopathic calcinosis cutis of the scrotum: a case report and review of the literature.阴囊特发性皮肤钙化症:一例报告并文献复习
J Med Case Rep. 2018 Dec 12;12(1):366. doi: 10.1186/s13256-018-1922-6.
10
Scrotal calcinosis effect - Case report and review of literature.阴囊钙质沉着症的影响——病例报告及文献综述
Urol Case Rep. 2020 Jul 18;33:101347. doi: 10.1016/j.eucr.2020.101347. eCollection 2020 Nov.

本文引用的文献

1
Idiopathic scrotal calcinosis.特发性阴囊钙质沉着症。
Asian J Surg. 2024 Feb;47(2):1178-1179. doi: 10.1016/j.asjsur.2023.11.016. Epub 2023 Nov 29.
2
The SCARE 2023 guideline: updating consensus Surgical CAse REport (SCARE) guidelines.SCARE 2023 指南:更新共识外科病例报告(SCARE)指南。
Int J Surg. 2023 May 1;109(5):1136-1140. doi: 10.1097/JS9.0000000000000373.
3
Idiopathic calcinosis of scrotum: A case report and review of the literature.特发性阴囊钙化症:一例报告并文献复习
Heliyon. 2022 Sep 28;8(9):e10762. doi: 10.1016/j.heliyon.2022.e10762. eCollection 2022 Sep.
4
Calcinosis cutis: need for early and aggressive treatment.皮肤钙质沉着症:需要早期积极治疗。
Rheumatol Adv Pract. 2022 Aug 29;6(3):rkac072. doi: 10.1093/rap/rkac072. eCollection 2022.
5
Calciphylaxis and Kidney Disease: A Review.钙过敏症与肾脏疾病:综述
Am J Kidney Dis. 2023 Feb;81(2):232-239. doi: 10.1053/j.ajkd.2022.06.011. Epub 2022 Aug 12.
6
Generalized Dystrophic Calcinosis Cutis in a Patient with Dermatomyositis.皮肌炎患者的全身性营养不良性皮肤钙化症
J Gen Intern Med. 2022 Jan 31. doi: 10.1007/s11606-021-06672-1.
7
[Clinical aspects and management of scrotal calcinosis].[阴囊钙化症的临床特征与处理]
Prog Urol. 2022 Mar;32(3):177-181. doi: 10.1016/j.purol.2021.10.009. Epub 2021 Dec 14.
8
Scrotal Calcinosis Treated with Carbon Dioxide Laser: Two Cases and a Short Literature Review.二氧化碳激光治疗阴囊钙质沉着症:两例报告及文献综述
Acta Derm Venereol. 2021 Apr 29;101(4):adv00444. doi: 10.2340/00015555-3801.
9
Idiopathic Scrotal Calcinosis: A Case Report of a Rare Entity.特发性阴囊钙化症:一例罕见病例报告
Case Rep Urol. 2019 Dec 16;2019:6501964. doi: 10.1155/2019/6501964. eCollection 2019.
10
Clinical and genetic analysis of idiopathic normophosphatemic tumoral calcinosis in 19 patients.19 例特发性低磷血症肿瘤性钙化症的临床和遗传学分析。
J Endocrinol Invest. 2020 Feb;43(2):173-183. doi: 10.1007/s40618-019-01097-4. Epub 2019 Sep 18.