• 文献检索
  • 文档翻译
  • 深度研究
  • 学术资讯
  • Suppr Zotero 插件Zotero 插件
  • 邀请有礼
  • 套餐&价格
  • 历史记录
应用&插件
Suppr Zotero 插件Zotero 插件浏览器插件Mac 客户端Windows 客户端微信小程序
定价
高级版会员购买积分包购买API积分包
服务
文献检索文档翻译深度研究API 文档MCP 服务
关于我们
关于 Suppr公司介绍联系我们用户协议隐私条款
关注我们

Suppr 超能文献

核心技术专利:CN118964589B侵权必究
粤ICP备2023148730 号-1Suppr @ 2026

文献检索

告别复杂PubMed语法,用中文像聊天一样搜索,搜遍4000万医学文献。AI智能推荐,让科研检索更轻松。

立即免费搜索

文件翻译

保留排版,准确专业,支持PDF/Word/PPT等文件格式,支持 12+语言互译。

免费翻译文档

深度研究

AI帮你快速写综述,25分钟生成高质量综述,智能提取关键信息,辅助科研写作。

立即免费体验

细胞周期蛋白依赖性激酶5(CDK5)与MST2相互作用并调节河马信号通路。

CDK5 interacts with MST2 and modulates the Hippo signalling pathway.

作者信息

Passi Mehak, Stöckl Jan B, Fröhlich Thomas, Moser Simone, Vollmar Angelika M, Zahler Stefan

机构信息

Center for Drug Research, Ludwig-Maximilians-University Munich, Germany.

Laboratory for Functional Genome Analysis, Gene Center Munich, Ludwig-Maximilians-University Munich, Germany.

出版信息

FEBS Open Bio. 2025 Apr;15(4):647-660. doi: 10.1002/2211-5463.13962. Epub 2024 Dec 30.

DOI:10.1002/2211-5463.13962
PMID:39739588
原文链接:https://pmc.ncbi.nlm.nih.gov/articles/PMC11961382/
Abstract

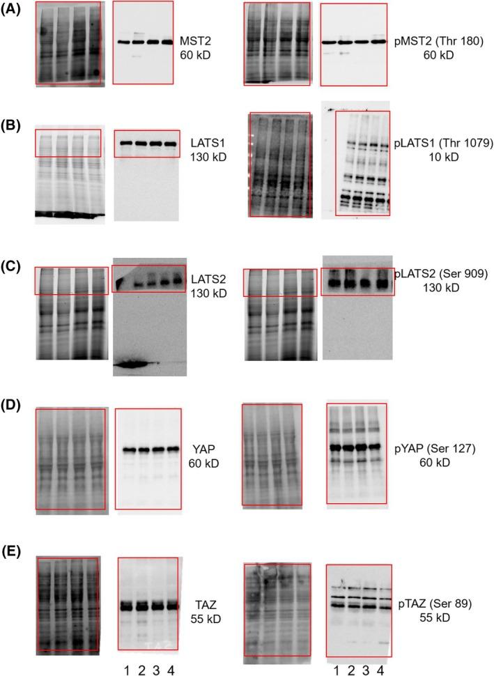
MST2 (STK3) is a major upstream kinase in the Hippo signalling pathway, an evolutionary conserved pathway in regulation of organ size, self-renewal and tissue homeostasis. Its downstream effectors are the transcriptional regulators YAP and TAZ. This pathway is regulated by a variety of factors, such as substrate stiffness or cell-cell contacts. Using a yeast two-hybrid screen, we detected a novel interaction between the kinases MST2 and CDK5, which we further confirmed by co-immunoprecipitation experiments. Cyclin-dependent kinase 5 (CDK5) is an unusual member of the family of cyclin-dependent kinases, involved in tumour growth and angiogenesis. Although a link between CDK5 and Hippo has been previously postulated, the mode of action is still elusive. Here, we show that knockdown of CDK5 causes reduced transcriptional activity of YAP and that CDK5 influences the phosphorylation levels of the Hippo upstream kinase LATS1. Moreover, a phosphoproteomics approach revealed that CDK5 interferes with the phosphorylation of DLG5, another upstream kinase, which regulates the Hippo pathway. Hence, CDK5 seems to act as a signalling hub for integrating the Hippo pathway and other signalling cascades. These interactions might have important implications for the use of CDK5 inhibitors, which are already in clinical use for tumour diseases.

摘要

MST2(STK3)是Hippo信号通路中的一种主要上游激酶,该通路在调节器官大小、自我更新和组织稳态方面具有进化保守性。其下游效应分子是转录调节因子YAP和TAZ。该通路受多种因素调节,如底物硬度或细胞间接触。通过酵母双杂交筛选,我们检测到激酶MST2和CDK5之间存在一种新的相互作用,并通过免疫共沉淀实验进一步证实。细胞周期蛋白依赖性激酶5(CDK5)是细胞周期蛋白依赖性激酶家族中的一个特殊成员,参与肿瘤生长和血管生成。尽管之前有人推测CDK5与Hippo之间存在联系,但其作用方式仍不清楚。在此,我们表明敲低CDK5会导致YAP的转录活性降低,并且CDK5会影响Hippo上游激酶LATS1的磷酸化水平。此外,磷酸化蛋白质组学方法显示CDK5会干扰另一种调节Hippo通路的上游激酶DLG5的磷酸化。因此,CDK5似乎作为一个信号枢纽,整合Hippo通路和其他信号级联反应。这些相互作用可能对已经在肿瘤疾病临床应用中的CDK5抑制剂的使用具有重要意义。

https://cdn.ncbi.nlm.nih.gov/pmc/blobs/67b3/11961382/2ff5cfe7c3a1/FEB4-15-647-g004.jpg
https://cdn.ncbi.nlm.nih.gov/pmc/blobs/67b3/11961382/eed399281fd3/FEB4-15-647-g003.jpg
https://cdn.ncbi.nlm.nih.gov/pmc/blobs/67b3/11961382/f761ce2c5e0f/FEB4-15-647-g001.jpg
https://cdn.ncbi.nlm.nih.gov/pmc/blobs/67b3/11961382/2deb6d8c462b/FEB4-15-647-g007.jpg
https://cdn.ncbi.nlm.nih.gov/pmc/blobs/67b3/11961382/81b41947bef0/FEB4-15-647-g006.jpg
https://cdn.ncbi.nlm.nih.gov/pmc/blobs/67b3/11961382/719c9a32c2e3/FEB4-15-647-g002.jpg
https://cdn.ncbi.nlm.nih.gov/pmc/blobs/67b3/11961382/2ff5cfe7c3a1/FEB4-15-647-g004.jpg
https://cdn.ncbi.nlm.nih.gov/pmc/blobs/67b3/11961382/eed399281fd3/FEB4-15-647-g003.jpg
https://cdn.ncbi.nlm.nih.gov/pmc/blobs/67b3/11961382/f761ce2c5e0f/FEB4-15-647-g001.jpg
https://cdn.ncbi.nlm.nih.gov/pmc/blobs/67b3/11961382/2deb6d8c462b/FEB4-15-647-g007.jpg
https://cdn.ncbi.nlm.nih.gov/pmc/blobs/67b3/11961382/81b41947bef0/FEB4-15-647-g006.jpg
https://cdn.ncbi.nlm.nih.gov/pmc/blobs/67b3/11961382/719c9a32c2e3/FEB4-15-647-g002.jpg
https://cdn.ncbi.nlm.nih.gov/pmc/blobs/67b3/11961382/2ff5cfe7c3a1/FEB4-15-647-g004.jpg

相似文献

1
CDK5 interacts with MST2 and modulates the Hippo signalling pathway.细胞周期蛋白依赖性激酶5(CDK5)与MST2相互作用并调节河马信号通路。
FEBS Open Bio. 2025 Apr;15(4):647-660. doi: 10.1002/2211-5463.13962. Epub 2024 Dec 30.
2
Lipid kinase PIP5Kα contributes to Hippo pathway activation via interaction with Merlin and by mediating plasma membrane targeting of LATS1.脂质激酶 PIP5Kα 通过与 Merlin 相互作用,并介导 LATS1 向质膜定位,促进 Hippo 通路的激活。
Cell Commun Signal. 2023 Jun 19;21(1):149. doi: 10.1186/s12964-023-01161-w.
3
Interaction of LATS1 with SMAC links the MST2/Hippo pathway with apoptosis in an IAP-dependent manner.LATS1 与 SMAC 的相互作用以依赖 IAP 的方式将 MST2/Hippo 通路与细胞凋亡联系起来。
Cell Death Dis. 2022 Aug 8;13(8):692. doi: 10.1038/s41419-022-05147-3.
4
MOB1 Mediated Phospho-recognition in the Core Mammalian Hippo Pathway.MOB1介导的核心哺乳动物河马通路中的磷酸化识别
Mol Cell Proteomics. 2017 Jun;16(6):1098-1110. doi: 10.1074/mcp.M116.065490. Epub 2017 Apr 3.
5
CDK5 Activates Hippo Signaling to Confer Resistance to Radiation Therapy Via Upregulating TAZ in Lung Cancer.CDK5 通过上调肺癌中的 TAZ 激活 Hippo 信号传导从而赋予其对放射治疗的抗性。
Int J Radiat Oncol Biol Phys. 2020 Nov 1;108(3):758-769. doi: 10.1016/j.ijrobp.2020.05.005. Epub 2020 May 12.
6
WWC proteins mediate LATS1/2 activation by Hippo kinases and imply a tumor suppression strategy.WWC 蛋白通过 Hippo 激酶介导 LATS1/2 的激活,并暗示了一种肿瘤抑制策略。
Mol Cell. 2022 May 19;82(10):1850-1864.e7. doi: 10.1016/j.molcel.2022.03.027. Epub 2022 Apr 15.
7
A ZO-2 scaffolding mechanism regulates the Hippo signalling pathway.一种ZO-2支架机制调节Hippo信号通路。
FEBS J. 2025 Apr;292(7):1587-1601. doi: 10.1111/febs.17304. Epub 2024 Oct 27.
8
Regulation of Hippo pathway transcription factor TEAD by p38 MAPK-induced cytoplasmic translocation.p38丝裂原活化蛋白激酶(MAPK)诱导的细胞质转位对河马通路转录因子TEAD的调控
Nat Cell Biol. 2017 Jul 28;19(8):996-1002. doi: 10.1038/ncb3581.
9
The Hippo kinases control inflammatory Hippo signaling and restrict bacterial infection in phagocytes.Hippo 激酶控制炎症性 Hippo 信号通路,并限制吞噬细胞中的细菌感染。
mBio. 2024 May 8;15(5):e0342923. doi: 10.1128/mbio.03429-23. Epub 2024 Apr 16.
10
Comprehensive split TEV based protein-protein interaction screening reveals TAOK2 as a key modulator of Hippo signalling to limit growth.基于全面拆分 TEV 的蛋白质-蛋白质相互作用筛选揭示 TAOK2 是 Hippo 信号限制生长的关键调节剂。
Cell Signal. 2024 Jan;113:110917. doi: 10.1016/j.cellsig.2023.110917. Epub 2023 Oct 7.

本文引用的文献

1
The two sides of Hippo pathway in cancer. Hippo 通路在癌症中的两面性。
Semin Cancer Biol. 2022 Oct;85:33-42. doi: 10.1016/j.semcancer.2021.07.006. Epub 2021 Jul 13.
2
The Role of CDK5 in Tumours and Tumour Microenvironments.细胞周期蛋白依赖性激酶5在肿瘤及肿瘤微环境中的作用
Cancers (Basel). 2020 Dec 31;13(1):101. doi: 10.3390/cancers13010101.
3
Targeting the Hippo pathway in cancer, fibrosis, wound healing and regenerative medicine.针对癌症、纤维化、伤口愈合和再生医学中的 Hippo 通路。
Nat Rev Drug Discov. 2020 Jul;19(7):480-494. doi: 10.1038/s41573-020-0070-z. Epub 2020 Jun 17.
4
CDK5 Activates Hippo Signaling to Confer Resistance to Radiation Therapy Via Upregulating TAZ in Lung Cancer.CDK5 通过上调肺癌中的 TAZ 激活 Hippo 信号传导从而赋予其对放射治疗的抗性。
Int J Radiat Oncol Biol Phys. 2020 Nov 1;108(3):758-769. doi: 10.1016/j.ijrobp.2020.05.005. Epub 2020 May 12.
5
New insights into YAP/TAZ nucleo-cytoplasmic shuttling: new cancer therapeutic opportunities?YAP/TAZ 核质穿梭的新见解:新的癌症治疗机会?
Mol Oncol. 2019 Jun;13(6):1335-1341. doi: 10.1002/1878-0261.12498. Epub 2019 May 17.
6
Roscovitine, an experimental CDK5 inhibitor, causes delayed suppression of microglial, but not astroglial recruitment around intracerebral dopaminergic grafts.罗克洛文,一种实验性的 CDK5 抑制剂,会延迟抑制多巴胺能神经移植周围小胶质细胞,但不会抑制星形胶质细胞的募集。
Exp Neurol. 2019 Aug;318:135-144. doi: 10.1016/j.expneurol.2019.04.013. Epub 2019 Apr 25.
7
Role of Hippo Pathway-YAP/TAZ Signaling in Angiogenesis.河马通路-YAP/TAZ信号在血管生成中的作用。
Front Cell Dev Biol. 2019 Apr 10;7:49. doi: 10.3389/fcell.2019.00049. eCollection 2019.
8
The HU177 Collagen Epitope Controls Melanoma Cell Migration and Experimental Metastasis by a CDK5/YAP-Dependent Mechanism.HU177 胶原表位通过 CDK5/YAP 依赖性机制控制黑色素瘤细胞迁移和实验性转移。
Am J Pathol. 2018 Oct;188(10):2356-2368. doi: 10.1016/j.ajpath.2018.06.017. Epub 2018 Aug 14.
9
The Hippo Pathway: Immunity and Cancer.河马通路:免疫与癌症
Cancers (Basel). 2018 Mar 28;10(4):94. doi: 10.3390/cancers10040094.
10
Inhibition of YAP function overcomes BRAF inhibitor resistance in melanoma cancer stem cells.抑制YAP功能可克服黑色素瘤癌症干细胞中的BRAF抑制剂耐药性。
Oncotarget. 2017 Nov 22;8(66):110257-110272. doi: 10.18632/oncotarget.22628. eCollection 2017 Dec 15.