• 文献检索
  • 文档翻译
  • 深度研究
  • 学术资讯
  • Suppr Zotero 插件Zotero 插件
  • 邀请有礼
  • 套餐&价格
  • 历史记录
应用&插件
Suppr Zotero 插件Zotero 插件浏览器插件Mac 客户端Windows 客户端微信小程序
定价
高级版会员购买积分包购买API积分包
服务
文献检索文档翻译深度研究API 文档MCP 服务
关于我们
关于 Suppr公司介绍联系我们用户协议隐私条款
关注我们

Suppr 超能文献

核心技术专利:CN118964589B侵权必究
粤ICP备2023148730 号-1Suppr @ 2026

文献检索

告别复杂PubMed语法,用中文像聊天一样搜索,搜遍4000万医学文献。AI智能推荐,让科研检索更轻松。

立即免费搜索

文件翻译

保留排版,准确专业,支持PDF/Word/PPT等文件格式,支持 12+语言互译。

免费翻译文档

深度研究

AI帮你快速写综述,25分钟生成高质量综述,智能提取关键信息,辅助科研写作。

立即免费体验

柠檬醛、水飞蓟素、百里醌和姜黄素对5-氟尿嘧啶诱导的大鼠心脏和肺毒性预防作用的比较评价

Comparative Evaluation of the Preventive Effects of Citral, Silymarin, Thymoquinone, and Curcumin on 5-Fluorouracil-Induced Cardiac and Pulmonary Toxicity in Rats.

作者信息

Zahed Tohid, Ahmadi Nasrollah, Noorbakhsh Mohammad Foad, Saeed Nazifi, Ahmad Oryan

机构信息

Department of Pathobiology, School of Veterinary Medicine, Shiraz University, Shiraz, Iran.

Department of Basic Sciences, School of Veterinary Medicine, Shiraz University, Shiraz, Iran.

出版信息

J Pharmacopuncture. 2024 Dec 31;27(4):277-286. doi: 10.3831/KPI.2024.27.4.277.

DOI:10.3831/KPI.2024.27.4.277
PMID:39741570
原文链接:https://pmc.ncbi.nlm.nih.gov/articles/PMC11656059/
Abstract

OBJECTIVES

5-fluorouracil chemotherapy is a highly recommended treatment for different types of solid tumors. However, this treatment can have severe side effects on the heart and lungs. In this study, we compared the protective effects of citral, silymarin, thymoquinone, and curcumin against 5-fluorouracil-induced toxicity in the heart and lungs of rats.

METHODS

56 healthy adult male rats were randomly assigned to seven experimental groups (n = 8), including healthy and carrier (dimethylsulfoxide) groups, 5-fluorouracil, citral group, silymarin group, thymoquinone group, and curcumin group. Blood samples and representative tissue specimens of the heart and lungs were immediately collected at the end of the experiment to measure the biochemical parameters, conduct histopathological studies, and analyze antioxidant activity, respectively.

RESULTS

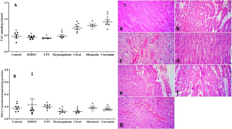
The intraperitoneal administration of 5-fluorouracil caused cardiotoxicity, as evidenced by elevated serum levels of creatine phosphokinase, creatine kinase-MB (p < 0.05), and lactate dehydrogenase (p < 0.05). Besides, 5-fluorouracil increased malondealdehyde levels, indicating a lipid peroxidation index and a decrease in the total antioxidant capacity index in the cardiac and pulmonary tissues (p < 0.05) of the animals. The preventive and therapeutic use of all the above compounds, in combination with 5-fluorouracil, led to a decrease in the mentioned cardiac serum biomarkers and malondealdehyde in the animals (p < 0.05). In addition, all the therapeutic compounds increased total antioxidant capacity in the heart and lungs (p < 0.05), indicating a high antioxidant capacity of these biological substances in ameliorating the resultant oxidative and histologic damages.

CONCLUSION

Our study indicated that the natural compounds citral, silymarin, thymoquinone, and curcumin, when combined with 5-fluorouracil, could minimize the histopathological and biochemical changes caused by 5-fluorouracil treatment in the heart and pulmonary tissues likely via antioxidant mechanisms. These products can be useful and effective in chemotherapy patients by reducing the potential adverse effects of 5-fluorouracil administration.

摘要

目的

5-氟尿嘧啶化疗是针对不同类型实体瘤的一种高度推荐的治疗方法。然而,这种治疗可能会对心脏和肺部产生严重的副作用。在本研究中,我们比较了柠檬醛、水飞蓟宾、百里醌和姜黄素对5-氟尿嘧啶诱导的大鼠心脏和肺部毒性的保护作用。

方法

56只健康成年雄性大鼠被随机分为7个实验组(n = 8),包括健康组和载体(二甲基亚砜)组、5-氟尿嘧啶组、柠檬醛组、水飞蓟宾组、百里醌组和姜黄素组。在实验结束时立即采集血液样本以及心脏和肺部的代表性组织标本,分别用于测量生化参数、进行组织病理学研究以及分析抗氧化活性。

结果

腹腔注射5-氟尿嘧啶导致心脏毒性,血清肌酸磷酸激酶、肌酸激酶-MB(p < 0.05)和乳酸脱氢酶水平升高(p < 0.05)可证明这一点。此外,5-氟尿嘧啶增加了丙二醛水平,表明脂质过氧化指数升高,并且动物心脏和肺部组织中的总抗氧化能力指数降低(p < 0.05)。上述所有化合物与5-氟尿嘧啶联合进行预防性和治疗性使用,导致动物体内上述心脏血清生物标志物和丙二醛水平降低(p < 0.05)。此外,所有治疗性化合物均增加了心脏和肺部的总抗氧化能力(p < 0.05),表明这些生物物质在改善由此产生的氧化和组织学损伤方面具有高抗氧化能力。

结论

我们的研究表明,天然化合物柠檬醛、水飞蓟宾、百里醌和姜黄素与5-氟尿嘧啶联合使用时,可能通过抗氧化机制将5-氟尿嘧啶治疗引起的心脏和肺部组织的组织病理学和生化变化降至最低。这些产品通过减少5-氟尿嘧啶给药的潜在不良反应,对化疗患者可能是有用且有效的。

https://cdn.ncbi.nlm.nih.gov/pmc/blobs/bbc7/11656059/e4bf496f7ddc/jop-27-4-277-f4.jpg
https://cdn.ncbi.nlm.nih.gov/pmc/blobs/bbc7/11656059/39cd424df594/jop-27-4-277-f1.jpg
https://cdn.ncbi.nlm.nih.gov/pmc/blobs/bbc7/11656059/55177e73be8e/jop-27-4-277-f2.jpg
https://cdn.ncbi.nlm.nih.gov/pmc/blobs/bbc7/11656059/f72da6c10286/jop-27-4-277-f3.jpg
https://cdn.ncbi.nlm.nih.gov/pmc/blobs/bbc7/11656059/e4bf496f7ddc/jop-27-4-277-f4.jpg
https://cdn.ncbi.nlm.nih.gov/pmc/blobs/bbc7/11656059/39cd424df594/jop-27-4-277-f1.jpg
https://cdn.ncbi.nlm.nih.gov/pmc/blobs/bbc7/11656059/55177e73be8e/jop-27-4-277-f2.jpg
https://cdn.ncbi.nlm.nih.gov/pmc/blobs/bbc7/11656059/f72da6c10286/jop-27-4-277-f3.jpg
https://cdn.ncbi.nlm.nih.gov/pmc/blobs/bbc7/11656059/e4bf496f7ddc/jop-27-4-277-f4.jpg

相似文献

1
Comparative Evaluation of the Preventive Effects of Citral, Silymarin, Thymoquinone, and Curcumin on 5-Fluorouracil-Induced Cardiac and Pulmonary Toxicity in Rats.柠檬醛、水飞蓟素、百里醌和姜黄素对5-氟尿嘧啶诱导的大鼠心脏和肺毒性预防作用的比较评价
J Pharmacopuncture. 2024 Dec 31;27(4):277-286. doi: 10.3831/KPI.2024.27.4.277.
2
Comparative Study of the Protective Effects of Citral, Thymoquinone, and Silymarin on Methotrexate-induced Cardiotoxicity in Rats.柠檬醛、百里醌和水飞蓟宾对甲氨蝶呤诱导的大鼠心脏毒性保护作用的比较研究
J Pharmacopuncture. 2024 Sep 30;27(3):245-252. doi: 10.3831/KPI.2024.27.3.245.
3
Evaluation of the Protective Effect of Citral, Silymarin, and Thymoquinone on Methotrexate-Induced Lung Injury in Rats.柠檬醛、水飞蓟宾和百里醌对甲氨蝶呤诱导的大鼠肺损伤的保护作用评估
J Pharmacopuncture. 2023 Jun 30;26(2):184-191. doi: 10.3831/KPI.2023.26.2.184.
4
Antioxidant Actions of Thymoquinone, Silymarin, and Curcumin on Experimental Aortic Ischemia-Reperfusion Model in Wistar Albino Rats.姜黄素、水飞蓟素和姜烯酚对 Wistar 白化大鼠实验性主动脉缺血再灌注模型的抗氧化作用。
Braz J Cardiovasc Surg. 2022 Dec 1;37(6):807-813. doi: 10.21470/1678-9741-2021-0462.
5
Protective Effect of Curcumin, Chrysin and Thymoquinone Injection on Trastuzumab-Induced Cardiotoxicity via Mitochondrial Protection.姜黄素、白杨素和百里醌注射液通过线粒体保护对曲妥珠单抗诱导的心脏毒性的保护作用
Cardiovasc Toxicol. 2022 Jul;22(7):663-675. doi: 10.1007/s12012-022-09750-w. Epub 2022 May 14.
6
Evaluating the protective potency of Acacia hydaspica R. Parker on histological and biochemical changes induced by Cisplatin in the cardiac tissue of rats.评价金合欢(Acacia hydaspica R. Parker)对顺铂诱导的大鼠心肌组织组织学和生化变化的保护效力。
BMC Complement Altern Med. 2019 Jul 23;19(1):182. doi: 10.1186/s12906-019-2575-8.
7
Protective effects of curcumin and silymarin against paracetamol induced hepatotoxicity in adult male albino rats.姜黄素和水飞蓟素对乙酰氨基酚诱导的成年雄性白化大鼠肝毒性的保护作用。
Gene. 2019 Sep 5;712:143966. doi: 10.1016/j.gene.2019.143966. Epub 2019 Jul 4.
8
Protective effect of thymoquinone nanoemulsion in reducing the cardiotoxic effect of 5-fluorouracil in rats.丁香醌纳米乳对减轻氟尿嘧啶大鼠心脏毒性的保护作用。
Drug Dev Res. 2024 Apr;85(2):e22171. doi: 10.1002/ddr.22171.
9
Protective effects of silymarin and curcumin on cyclophosphamide-induced cardiotoxicity.水飞蓟素和姜黄素对环磷酰胺诱导的心脏毒性的保护作用。
Exp Toxicol Pathol. 2017 Jun 14;69(5):317-327. doi: 10.1016/j.etp.2017.02.002. Epub 2017 Feb 21.
10
Cardioprotective effect of silymarin nanoemulsion on 5-fluorouracil-induced cardiotoxicity in rats.水飞蓟宾纳米乳对氟尿嘧啶致大鼠心脏毒性的保护作用。
Arch Pharm (Weinheim). 2022 Jul;355(7):e2200060. doi: 10.1002/ardp.202200060. Epub 2022 Apr 11.

引用本文的文献

1
Novel Micellar Formulation of Silymarin (Milk Thistle) with Enhanced Bioavailability in a Double-Blind, Randomized, Crossover Human Trial.水飞蓟素(奶蓟)新型胶束制剂在双盲、随机、交叉人体试验中的生物利用度增强。
Pharmaceutics. 2025 Jul 4;17(7):880. doi: 10.3390/pharmaceutics17070880.

本文引用的文献

1
Protective effect of thymoquinone nanoemulsion in reducing the cardiotoxic effect of 5-fluorouracil in rats.丁香醌纳米乳对减轻氟尿嘧啶大鼠心脏毒性的保护作用。
Drug Dev Res. 2024 Apr;85(2):e22171. doi: 10.1002/ddr.22171.
2
Naringin ameliorates 5-fluorouracil induced cardiotoxicity: An insight into its modulatory impact on oxidative stress, inflammatory and apoptotic parameters.柚皮苷可改善 5-氟尿嘧啶引起的心脏毒性:其对氧化应激、炎症和凋亡参数的调节作用。
Tissue Cell. 2023 Apr;81:102035. doi: 10.1016/j.tice.2023.102035. Epub 2023 Feb 5.
3
Cardioprotective effect of silymarin nanoemulsion on 5-fluorouracil-induced cardiotoxicity in rats.
水飞蓟宾纳米乳对氟尿嘧啶致大鼠心脏毒性的保护作用。
Arch Pharm (Weinheim). 2022 Jul;355(7):e2200060. doi: 10.1002/ardp.202200060. Epub 2022 Apr 11.
4
Colchicine Ameliorates 5-Fluorouracil-Induced Cardiotoxicity in Rats.秋水仙碱可减轻 5-氟尿嘧啶诱导的大鼠心脏毒性。
Oxid Med Cell Longev. 2022 Jan 28;2022:6194532. doi: 10.1155/2022/6194532. eCollection 2022.
5
Lemongrass Essential Oil Components with Antimicrobial and Anticancer Activities.具有抗菌和抗癌活性的柠檬草精油成分
Antioxidants (Basel). 2021 Dec 22;11(1):20. doi: 10.3390/antiox11010020.
6
Insights into the Protective Effects of Thymoquinone against Toxicities Induced by Chemotherapeutic Agents.姜黄素对化疗药物毒性的保护作用的研究进展。
Molecules. 2021 Dec 30;27(1):226. doi: 10.3390/molecules27010226.
7
Pharmacological Effects of Marine-Derived EA9 against Acute Lung Injury and Inflammation in Cecal Ligated and Punctured Septic Rats.海洋来源的 EA9 对盲肠结扎穿孔脓毒症大鼠急性肺损伤和炎症的药理作用。
Biomed Res Int. 2021 Dec 6;2021:5801700. doi: 10.1155/2021/5801700. eCollection 2021.
8
Cardioprotective effects of bosentan in 5-fluorouracil-induced cardiotoxicity.波生坦对氟尿嘧啶诱导的心脏毒性的心脏保护作用。
Toxicology. 2022 Jan 15;465:153042. doi: 10.1016/j.tox.2021.153042. Epub 2021 Nov 17.
9
Effects of citral on serum antioxidant status and liver genes expressions of and in a rat model of streptozotocin-induced diabetes mellitus.柠檬醛对链脲佐菌素诱导的糖尿病大鼠模型血清抗氧化状态及肝脏基因表达的影响。 (你提供的原文中“and”后内容缺失,我按完整句式翻译了大致内容,你可补充完整准确内容后继续向我提问。)
Iran J Vet Res. 2021 Summer;22(3):195-202. doi: 10.22099/ijvr.2021.38416.5585.
10
WNT Signalling in Lung Physiology and Pathology.WNT 信号通路在肺生理学和病理学中的作用。
Handb Exp Pharmacol. 2021;269:305-336. doi: 10.1007/164_2021_521.