Suppr超能文献

肿瘤学中的一个紧迫急症:一组后可逆性脑病综合征患者的病例系列

A Pressing Emergency in Oncology: A Case Series of Patients With Posterior Reversible Encephalopathy Syndrome.

作者信息

Narasimhan Vikram L, Kumar P Pavan

机构信息

Department of Critical Care Medicine, Vydehi Institute of Medical Sciences and Research Centre, Bangalore, IND.

Department of General Medicine, Vydehi Institute of Medical Sciences and Research Centre, Bangalore, IND.

出版信息

Cureus. 2024 Dec 3;16(12):e75028. doi: 10.7759/cureus.75028. eCollection 2024 Dec.

Abstract

BACKGROUND

The defining characteristic of posterior reversible encephalopathy syndrome (PRES) is a reversible, predominantly vasogenic edema of the white matter, particularly affecting the parenchyma supplied by the posterior circulation. PRES is most commonly associated with hypertension. We present a case series of seven normotensive patients diagnosed with cancer who had posterior reversible encephalopathy syndrome.

MATERIALS AND METHODS

This series of retrospective cases includes seven patients hospitalized between August 2022 and October 2024, all with a primary oncological condition and diagnosed with PRES either at admission or during their hospital stay. PRES was established according to the diagnostic criteria outlined in the 2012 Berlin Study. Our study concentrated on clinical characteristics, including underlying disease, triggering clinical events, chemotherapy agents, and outcome measures such as reversibility, functional status, and mortality.

RESULTS

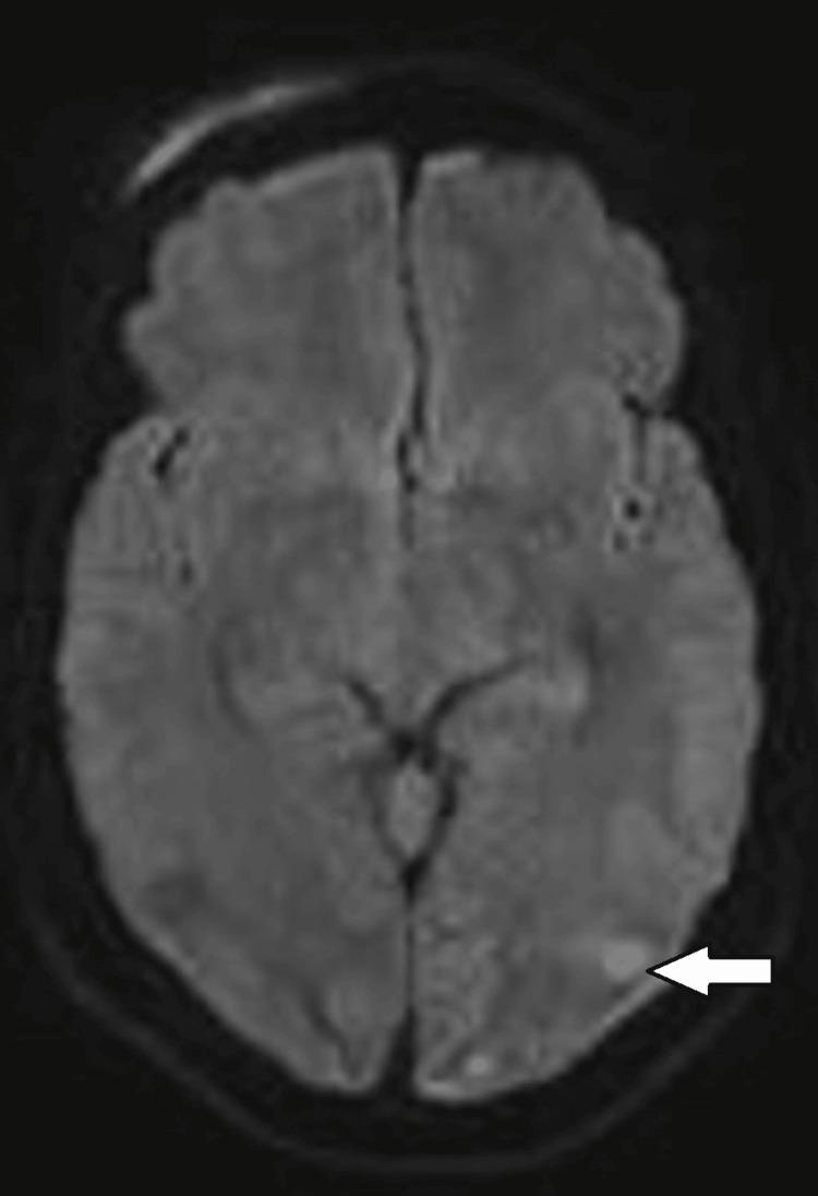
The median age of patients in this study was 48 years. No patient exhibited significantly elevated blood pressure during their inpatient stay. Altered consciousness with seizures was the primary initial manifestation in most patients, followed by headache. The predominant observation on the MRI was T2 flair hyperintensity in the posterior circulation. All subjects attained nearly full neurological recovery by 28 days, regardless of steroid therapy. The 90-day all-cause mortality rate was 14% (one out of seven patients). There were no fatalities attributable to PRES.

CONCLUSION

Posterior reversible encephalopathy syndrome is a neurological emergency that may evade the discerning attention of the attending physician. Owing to the extensive range of clinical features and MRI findings, the list of differential diagnoses is substantial. The reversibility of symptoms, while not always applicable, is predominantly certain, as demonstrated in our case series. We must extend our focus beyond conventional risk variables such as hypertension to consider additional clinical insults. Delayed diagnosis may lead to worse neurological outcomes.

摘要

背景

后部可逆性脑病综合征(PRES)的典型特征是白质出现可逆性、主要为血管源性的水肿,尤其影响后循环供血的脑实质。PRES最常与高血压相关。我们报告一组七例被诊断患有癌症的血压正常患者的后部可逆性脑病综合征病例。

材料与方法

这一系列回顾性病例包括2022年8月至2024年10月期间住院的七名患者,所有患者均患有原发性肿瘤疾病,且在入院时或住院期间被诊断为PRES。PRES根据2012年柏林研究中概述的诊断标准确定。我们的研究集中在临床特征,包括基础疾病、引发临床事件、化疗药物,以及诸如可逆性、功能状态和死亡率等结局指标。

结果

本研究中患者的中位年龄为48岁。所有患者在住院期间血压均无显著升高。意识改变伴癫痫发作是大多数患者最初的主要表现,其次是头痛。MRI的主要表现是后循环区域T2加权像高信号。所有受试者在28天时几乎都实现了神经功能的完全恢复,无论是否接受类固醇治疗。90天全因死亡率为14%(七名患者中的一名)。没有因PRES导致的死亡病例。

结论

后部可逆性脑病综合征是一种可能会被主治医生忽视的神经急症。由于临床特征和MRI表现范围广泛,鉴别诊断的清单很长。症状的可逆性虽然并非总是适用,但如我们的病例系列所示,在大多数情况下是确定的。我们必须将关注范围从高血压等传统风险变量扩展到考虑其他临床损伤因素。延迟诊断可能导致更差的神经结局。

https://cdn.ncbi.nlm.nih.gov/pmc/blobs/b2ea/11694496/7070af89d54a/cureus-0016-00000075028-i01.jpg

文献检索

告别复杂PubMed语法,用中文像聊天一样搜索,搜遍4000万医学文献。AI智能推荐,让科研检索更轻松。

立即免费搜索

文件翻译

保留排版,准确专业,支持PDF/Word/PPT等文件格式,支持 12+语言互译。

免费翻译文档

深度研究

AI帮你快速写综述,25分钟生成高质量综述,智能提取关键信息,辅助科研写作。

立即免费体验