Suppr超能文献

巨噬细胞STING信号通过IL6-STAT3途径促进良性气道狭窄中的纤维化。

Macrophage STING signaling promotes fibrosis in benign airway stenosis via an IL6-STAT3 pathway.

作者信息

Chen YiLin, Yang ChengCheng, Miao YuShan, Shi DongChen, Li Xiang, Tian Sen, Zhang YiFei, Xu ChengFei, Dong YuChao, Han ChaoFeng, Shi Hui, Bai Chong

机构信息

Department of Respiratory and Critical Care Medicine, The First Affiliated Hospital of Naval Medical University, Shanghai, China.

Department of Respiratory and Critical Care Medicine, General Hospital of Central Theater Command of Chinese People's Liberation Army, Wuhan, China.

出版信息

Nat Commun. 2025 Jan 3;16(1):289. doi: 10.1038/s41467-024-55170-5.

Abstract

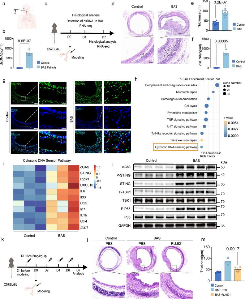
Acute and chronic inflammation are important pathologies of benign airway stenosis (BAS) fibrosis, which is a frequent complication of critically ill patients. cGAS-STING signalling has an important role in inflammation and fibrosis, yet the function of STING in BAS remains unclear. Here we demonstrate using scRNA sequencing that cGAS‒STING signalling is involved in BAS, which is accompanied by increased dsDNA, expression and activation of STING. STING inhibition or deficiency effectively alleviates tracheal fibrosis of BAS mice by decreasing both acute and chronic inflammation. Macrophage depletion also effectively ameliorates BAS. Mechanistically, dsDNA from damaged epithelial cells activates the cGAS-STING pathway of macrophages and induces IL-6 to activate STAT3 and promote fibrosis. In summary, the present results suggest that cGAS-STING signalling induces acute inflammation and amplifies the chronic inflammation and tracheal fibrosis associated with benign airway stenosis, highlighting the mechanism and potential drug target of BAS.

摘要

急性和慢性炎症是良性气道狭窄(BAS)纤维化的重要病理表现,而BAS纤维化是重症患者常见的并发症。cGAS-STING信号通路在炎症和纤维化中起重要作用,但STING在BAS中的功能仍不清楚。在此,我们通过单细胞RNA测序证明cGAS-STING信号通路参与BAS,其伴随着双链DNA增加、STING的表达和激活。抑制或缺乏STING可通过减少急性和慢性炎症有效减轻BAS小鼠的气管纤维化。耗竭巨噬细胞也可有效改善BAS。机制上,受损上皮细胞释放的双链DNA激活巨噬细胞的cGAS-STING通路并诱导IL-6激活STAT3,从而促进纤维化。总之,目前的结果表明,cGAS-STING信号通路诱导急性炎症并放大与良性气道狭窄相关的慢性炎症和气管纤维化,突出了BAS的机制和潜在药物靶点。

https://cdn.ncbi.nlm.nih.gov/pmc/blobs/f254/11698984/71e31b24ef3d/41467_2024_55170_Fig1_HTML.jpg

文献检索

告别复杂PubMed语法,用中文像聊天一样搜索,搜遍4000万医学文献。AI智能推荐,让科研检索更轻松。

立即免费搜索

文件翻译

保留排版,准确专业,支持PDF/Word/PPT等文件格式,支持 12+语言互译。

免费翻译文档

深度研究

AI帮你快速写综述,25分钟生成高质量综述,智能提取关键信息,辅助科研写作。

立即免费体验