Suppr超能文献

色甘酸钠通过抑制肥大细胞衍生的白细胞介素-13增强的上皮-间质转化过程,减轻脂多糖诱导的肺纤维化。

Cromolyn sodium reduces LPS-induced pulmonary fibrosis by inhibiting the EMT process enhanced by MC-derived IL-13.

作者信息

Tan Cheng, Zhou Hang, Xiong Qiangfei, Xian Xian, Liu Qiyuan, Zhang Zexin, Xu Jingjing, Yao Hao

机构信息

Department of Anesthesiology, The Affiliated Wuxi People's Hospital of Nanjing Medical University, Wuxi People's Hospital, Wuxi Medical Center, Wuxi, 214002, Jiangsu Province, China.

Department of Anesthesiology, The Second Affiliated Hospital of Nanjing Medical University, Nanjing Medical University, Nanjing, 210011, Jiangsu Province, China.

出版信息

Respir Res. 2025 Jan 6;26(1):3. doi: 10.1186/s12931-024-03045-0.

Abstract

BACKGROUND

Sepsis is a systemic inflammatory response caused by infection. When this inflammatory response spreads to the lungs, it can lead to acute lung injury (ALI) or more severe acute respiratory distress syndrome (ARDS). Pulmonary fibrosis is a potential complication of these conditions, and the early occurrence of pulmonary fibrosis is associated with a higher mortality rate. The underlying mechanism of ARDS-related pulmonary fibrosis remains unclear.

METHODS

To evaluate the role of mast cell in sepsis-induced pulmonary fibrosis and elucidate its molecular mechanism. We investigated the level of mast cell and epithelial-mesenchymal transition(EMT) in LPS-induced mouse model and cellular model. We also explored the influence of cromolyn sodium and mast cell knockout on pulmonary fibrosis. Additionally, we explored the effect of MC-derived IL-13 on the EMT and illustrated the relationship between mast cell and pulmonary fibrosis.

RESULTS

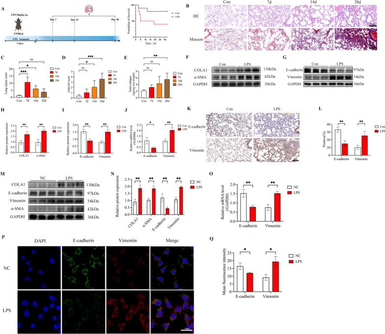
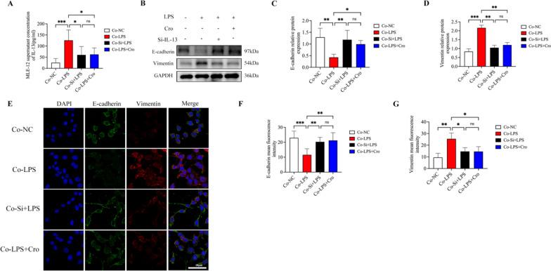
Mast cell was up-regulated in the lung tissues of the pulmonary fibrotic mouse model compared to control groups. Cromolyn sodium and mast cell knockout decreased the expression of EMT-related protein and IL-13, alleviated the symptoms of pulmonary fibrosis in vivo and in vitro. The PI3K/AKT/mTOR signaling was activated in fibrotic lung tissue, whereas Cromolyn sodium and mast cell knockout inhibited this pathway.

CONCLUSION

The expression level of mast cell is increased in fibrotic lungs. Cromolyn sodium intervention and mast cell knockout alleviate the symptoms of pulmonary fibrosis probably via the PI3K/AKT/mTOR signaling pathway. Therefore, mast cell inhibition is a potential therapeutic target for sepsis-induced pulmonary fibrosis.

摘要

背景

脓毒症是由感染引起的全身炎症反应。当这种炎症反应扩散至肺部时,可导致急性肺损伤(ALI)或更严重的急性呼吸窘迫综合征(ARDS)。肺纤维化是这些病症的潜在并发症,而肺纤维化的早期发生与较高的死亡率相关。ARDS相关肺纤维化的潜在机制仍不清楚。

方法

为评估肥大细胞在脓毒症诱导的肺纤维化中的作用并阐明其分子机制。我们在脂多糖诱导的小鼠模型和细胞模型中研究了肥大细胞水平和上皮-间质转化(EMT)。我们还探讨了色甘酸钠和肥大细胞敲除对肺纤维化的影响。此外,我们探究了肥大细胞衍生的白细胞介素-13对EMT的作用,并阐明了肥大细胞与肺纤维化之间的关系。

结果

与对照组相比,肺纤维化小鼠模型的肺组织中肥大细胞上调。色甘酸钠和肥大细胞敲除降低了EMT相关蛋白和白细胞介素-13的表达,在体内和体外均减轻了肺纤维化症状。PI3K/AKT/mTOR信号通路在纤维化肺组织中被激活,而色甘酸钠和肥大细胞敲除抑制了该通路。

结论

纤维化肺中肥大细胞的表达水平升高。色甘酸钠干预和肥大细胞敲除可能通过PI3K/AKT/mTOR信号通路减轻肺纤维化症状。因此,抑制肥大细胞是脓毒症诱导的肺纤维化的潜在治疗靶点。

https://cdn.ncbi.nlm.nih.gov/pmc/blobs/2191/11706190/55eb3563c021/12931_2024_3045_Fig1_HTML.jpg

文献检索

告别复杂PubMed语法,用中文像聊天一样搜索,搜遍4000万医学文献。AI智能推荐,让科研检索更轻松。

立即免费搜索

文件翻译

保留排版,准确专业,支持PDF/Word/PPT等文件格式,支持 12+语言互译。

免费翻译文档

深度研究

AI帮你快速写综述,25分钟生成高质量综述,智能提取关键信息,辅助科研写作。

立即免费体验