Suppr超能文献

导致食管中段憩室的食管过度收缩

Hypercontractile Esophagus Causing Midesophageal Diverticulum.

作者信息

Strigenz Rebecca Z, Dairi Obaida F, Curley Michael A

机构信息

Department of Medicine, Dartmouth Health, Lebanon, NH.

Department of Gastroenterology and Hepatology, Dartmouth Health, Lebanon, NH.

出版信息

ACG Case Rep J. 2025 Jan 4;12(1):e01586. doi: 10.14309/crj.0000000000001586. eCollection 2025 Jan.

Abstract

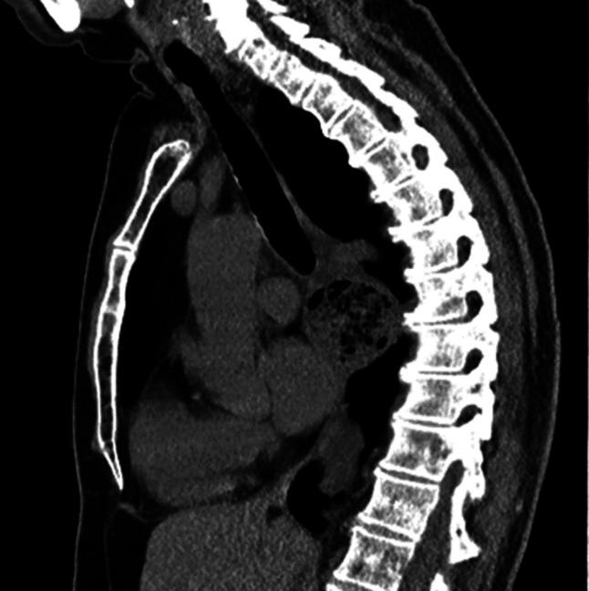
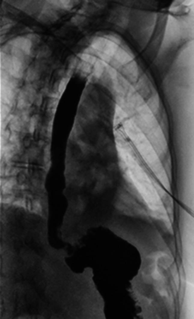
Esophageal diverticulum (ED) is a rare condition with a clinical presentation that can be variable. Esophageal diverticulum has been associated with motility disorders; however, the association with mid-ED is less clear. Hypercontractile esophagus, also known as jackhammer esophagus, is a rare motility disorder of peristalsis diagnosed by esophageal high-resolution manometry after exclusion of mechanical obstruction. We describe the second reported case of mid-ED secondary to hypercontractile esophagus successfully treated through robotic diverticulectomy with long myotomy. KEYWORDS: esophagus; esophageal manometry; motility; diverticular disease.

摘要

食管憩室(ED)是一种罕见疾病,临床表现多变。食管憩室与动力障碍有关;然而,与中段食管憩室的关联尚不清楚。高收缩性食管,也称为风钻食管,是一种罕见的蠕动动力障碍,在排除机械性梗阻后通过食管高分辨率测压诊断。我们描述了第二例因高收缩性食管继发中段食管憩室的病例,该病例通过机器人憩室切除术加延长肌切开术成功治疗。关键词:食管;食管测压;动力;憩室病

https://cdn.ncbi.nlm.nih.gov/pmc/blobs/6bc5/11703436/afdd5c1cdb60/ac9-12-e01586-g001.jpg

文献检索

告别复杂PubMed语法,用中文像聊天一样搜索,搜遍4000万医学文献。AI智能推荐,让科研检索更轻松。

立即免费搜索

文件翻译

保留排版,准确专业,支持PDF/Word/PPT等文件格式,支持 12+语言互译。

免费翻译文档

深度研究

AI帮你快速写综述,25分钟生成高质量综述,智能提取关键信息,辅助科研写作。

立即免费体验