Suppr超能文献

用于物理和虚拟胎儿心脏模型的三维超声:现状与未来展望

Three-Dimensional Ultrasound for Physical and Virtual Fetal Heart Models: Current Status and Future Perspectives.

作者信息

Bravo-Valenzuela Nathalie Jeanne, Giffoni Marcela Castro, Nieblas Caroline de Oliveira, Werner Heron, Tonni Gabriele, Granese Roberta, Gonçalves Luis Flávio, Araujo Júnior Edward

机构信息

Department of Pediatrics, Pediatric Cardiology, School of Medicine, Federal University of Rio de Janeiro (UFRJ), Rio de Janeiro 21941-901, RJ, Brazil.

Department of Fetal Medicine, Biodesign Laboratory DASA/PUC, Rio de Janeiro 22453-900, RJ, Brazil.

出版信息

J Clin Med. 2024 Dec 13;13(24):7605. doi: 10.3390/jcm13247605.

Abstract

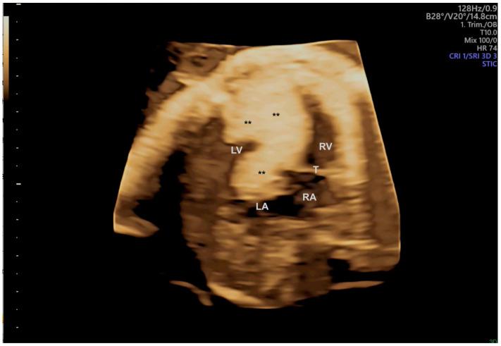
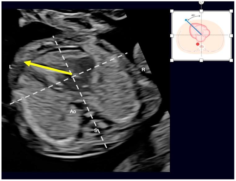
Congenital heart defects (CHDs) are the most common congenital defect, occurring in approximately 1 in 100 live births and being a leading cause of perinatal morbidity and mortality. Of note, approximately 25% of these defects are classified as critical, requiring immediate postnatal care by pediatric cardiology and neonatal cardiac surgery teams. Consequently, early and accurate diagnosis of CHD is key to proper prenatal and postnatal monitoring in a tertiary care setting. In this scenario, fetal echocardiography is considered the gold standard imaging ultrasound method for the diagnosis of CHD. However, the availability of this examination in clinical practice remains limited due to the need for a qualified specialist in pediatric cardiology. Moreover, in light of the relatively low prevalence of CHD among at-risk populations (approximately 10%), ultrasound cardiac screening for potential cardiac anomalies during routine second-trimester obstetric ultrasound scans represents a pivotal aspect of diagnosing CHD. In order to maximize the accuracy of CHD diagnoses, the views of the ventricular outflow tract and the superior mediastinum were added to the four-chamber view of the fetal heart for routine ultrasound screening according to international guidelines. In this context, four-dimensional spatio-temporal image correlation software (STIC) was developed in the early 2000s. Some of the advantages of STIC in fetal cardiac evaluation include the enrichment of anatomical details of fetal cardiac images in the absence of the pregnant woman and the ability to send volumes for analysis by an expert in fetal cardiology by an internet link. Sequentially, new technologies have been developed, such as fetal intelligent navigation echocardiography (FINE), also known as "5D heart", in which the nine fetal cardiac views recommended during a fetal echocardiogram are automatically generated from the acquisition of a cardiac volume. Furthermore, artificial intelligence (AI) has recently emerged as a promising technological innovation, offering the potential to warn of possible cardiac anomalies and thus increase the ability of non-cardiology specialists to diagnose CHD. In the early 2010s, the advent of 3D reconstruction software combined with high-definition printers enabled the virtual and 3D physical reconstruction of the fetal heart. The 3D physical models may improve parental counseling of fetal CHD, maternal-fetal interaction in cases of blind pregnant women, and interactive discussions among multidisciplinary health teams. In addition, the 3D physical and virtual models can be an useful tool for teaching cardiovascular anatomy and to optimize surgical planning, enabling simulation rooms for surgical procedures. Therefore, in this review, the authors discuss advanced image technologies that may optimize prenatal diagnoses of CHDs.

摘要

先天性心脏病(CHD)是最常见的先天性缺陷,约每100例活产中就有1例发生,是围产期发病和死亡的主要原因。值得注意的是,这些缺陷中约25%被归类为重症,需要儿科心脏病学和新生儿心脏外科团队在出生后立即进行护理。因此,在三级医疗环境中,早期准确诊断CHD是进行适当产前和产后监测的关键。在这种情况下,胎儿超声心动图被认为是诊断CHD的金标准成像超声方法。然而,由于需要合格的儿科心脏病学专家,这种检查在临床实践中的可用性仍然有限。此外,鉴于高危人群中CHD的患病率相对较低(约10%),在常规孕中期产科超声扫描期间对潜在心脏异常进行超声心脏筛查是诊断CHD的一个关键方面。为了最大限度地提高CHD诊断的准确性,根据国际指南,在胎儿心脏的四腔心视图中增加了心室流出道和上纵隔的视图用于常规超声筛查。在这种背景下,四维时空图像相关软件(STIC)于21世纪初开发。STIC在胎儿心脏评估中的一些优点包括在孕妇不在场的情况下丰富胎儿心脏图像的解剖细节,以及能够通过互联网链接将容积发送给胎儿心脏病学专家进行分析。随后,开发了新技术,如胎儿智能导航超声心动图(FINE),也称为“5D心脏”,其中在胎儿超声心动图检查期间推荐的九个胎儿心脏视图是从心脏容积采集中自动生成的。此外,人工智能(AI)最近作为一种有前途的技术创新出现,有可能警告可能的心脏异常,从而提高非心脏病学专家诊断CHD的能力。在21世纪10年代初,3D重建软件与高清打印机的出现使得胎儿心脏的虚拟和3D实体重建成为可能。3D实体模型可以改善对胎儿CHD的家长咨询、盲孕孕妇的母婴互动以及多学科医疗团队之间的互动讨论。此外,3D实体和虚拟模型可以成为教授心血管解剖学和优化手术规划的有用工具,为手术操作提供模拟室。因此,在本综述中,作者讨论了可能优化CHD产前诊断的先进图像技术。

https://cdn.ncbi.nlm.nih.gov/pmc/blobs/ab30/11679263/438ac3b77595/jcm-13-07605-g001.jpg

文献检索

告别复杂PubMed语法,用中文像聊天一样搜索,搜遍4000万医学文献。AI智能推荐,让科研检索更轻松。

立即免费搜索

文件翻译

保留排版,准确专业,支持PDF/Word/PPT等文件格式,支持 12+语言互译。

免费翻译文档

深度研究

AI帮你快速写综述,25分钟生成高质量综述,智能提取关键信息,辅助科研写作。

立即免费体验