Suppr超能文献

彩色及能量多普勒联合胎儿智能导航超声心动图(FINE)评估胎儿心脏。

Color and power Doppler combined with Fetal Intelligent Navigation Echocardiography (FINE) to evaluate the fetal heart.

机构信息

Perinatology Research Branch, Program for Perinatal Research and Obstetrics, Division of Intramural Research, Eunice Kennedy Shriver National Institute of Child Health and Human Development, NIH, Bethesda, MD and Detroit, MI, USA.

Detroit Medical Center, Hutzel Women's Hospital, Detroit, MI, USA.

出版信息

Ultrasound Obstet Gynecol. 2017 Oct;50(4):476-491. doi: 10.1002/uog.17522. Epub 2017 Aug 14.

Abstract

OBJECTIVE

To evaluate the performance of color and bidirectional power Doppler ultrasound combined with Fetal Intelligent Navigation Echocardiography (FINE) in examining the fetal heart.

METHODS

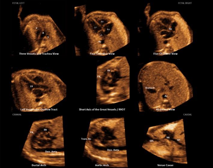
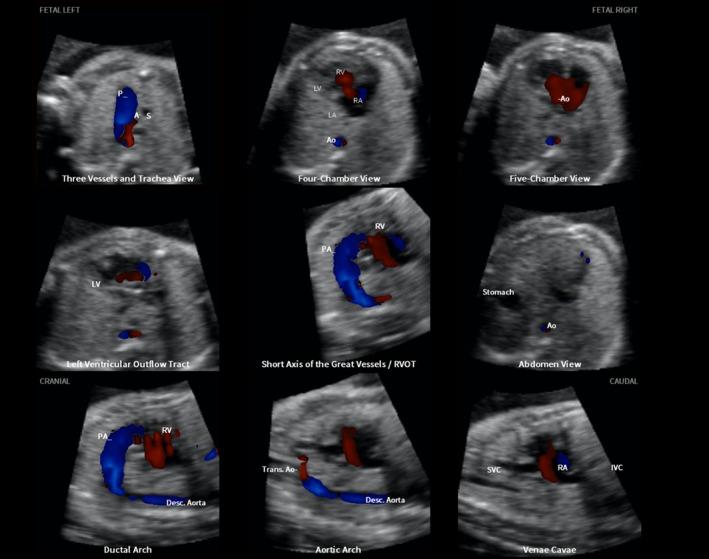
A prospective cohort study was conducted of fetuses in the second and third trimesters with a normal heart or with congenital heart disease (CHD). One or more spatiotemporal image correlation (STIC) volume datasets, combined with color or bidirectional power Doppler (S-flow) imaging, were acquired in the apical four-chamber view. Each successfully obtained STIC volume was evaluated by STICLoop™ to determine its appropriateness before applying the FINE method. Visualization rates for standard fetal echocardiography views using diagnostic planes and/or Virtual Intelligent Sonographer Assistance (VIS-Assistance®) were calculated for grayscale (removal of Doppler signal), color Doppler and S-flow Doppler. In four cases with CHD (one case each of tetralogy of Fallot, hypoplastic left heart and coarctation of the aorta, interrupted inferior vena cava with azygos vein continuation and asplenia, and coarctation of the aorta with tricuspid regurgitation and hydrops), the diagnostic potential of this new technology was presented.

RESULTS

A total of 169 STIC volume datasets of the normal fetal heart (color Doppler, n = 78; S-flow Doppler, n = 91) were obtained from 37 patients. Only a single STIC volume of color Doppler and/or a single volume of S-flow Doppler per patient were analyzed using FINE. Therefore, 60 STIC volumes (color Doppler, n = 27; S-flow Doppler, n = 33) comprised the final study group. Median gestational age at sonographic examination was 23 (interquartile range, 21-27.5) weeks. Color Doppler FINE generated nine fetal echocardiography views (grayscale) using (1) diagnostic planes in 73-100% of cases, (2) VIS-Assistance in 100% of cases, and (3) a combination of diagnostic planes and/or VIS-Assistance in 100% of cases. The rate of generating successfully eight fetal echocardiography views with appropriate color and S-flow Doppler information was 89-100% and 91-100% of cases, respectively, using a combination of diagnostic planes and/or VIS-Assistance. However, the success rate for the ninth echocardiography view (i.e. superior and inferior venae cavae) was 33% and 30% for color and S-flow Doppler, respectively. In all four cases of CHD, color Doppler FINE demonstrated evidence of abnormal fetal cardiac anatomy and/or hemodynamic flow.

CONCLUSIONS

The FINE method applied to STIC volumes of normal fetal hearts acquired with color or bidirectional power Doppler information can generate successfully eight to nine standard fetal echocardiography views (via grayscale, color Doppler or power Doppler) in the second and third trimesters. In cases of CHD, color Doppler FINE demonstrates successfully abnormal anatomy and/or Doppler flow characteristics. Published 2017. This article is a U.S. Government work and is in the public domain in the USA. Ultrasound in Obstetrics & Gynecology published by John Wiley & Sons Ltd on behalf of the International Society of Ultrasound in Obstetrics and Gynecology.

摘要

目的

评估彩色及双向能量多普勒超声联合胎儿智能导航超声心动图(FINE)检查胎儿心脏的性能。

方法

前瞻性队列研究纳入了孕中期和孕晚期具有正常心脏或先天性心脏病(CHD)的胎儿。在四腔心切面获取一个或多个时空关联成像(STIC)容积数据集,联合彩色或双向能量多普勒(S-flow)成像。应用 STICLoopTM 评估每个成功获取的 STIC 容积,以确定其是否适用于 FINE 方法。计算标准胎儿超声心动图切面应用灰阶(去除多普勒信号)、彩色多普勒和 S-flow 多普勒的可视化率。在 4 例 CHD(法洛四联症、左心发育不良、主动脉缩窄、下腔静脉缺如合并奇静脉延续和无脾、主动脉缩窄合并三尖瓣反流和水肿各 1 例)中,展示了这项新技术的诊断潜力。

结果

37 例患者共获得 169 例正常胎儿心脏的 STIC 容积数据集(彩色多普勒,n=78;S-flow 多普勒,n=91)。仅对每位患者的单个 STIC 彩色多普勒和/或单个 S-flow 多普勒容积应用 FINE 进行分析。因此,最终研究组包含 60 个 STIC 容积(彩色多普勒,n=27;S-flow 多普勒,n=33)。中位超声检查孕龄为 23(四分位间距,21-27.5)周。彩色多普勒 FINE 利用(1)诊断切面,在 73%-100%的病例中生成 9 个胎儿超声心动图切面(灰阶),(2)100%的病例应用虚拟智能声束辅助(VIS-Assistance®),(3)100%的病例应用诊断切面和/或 VIS-Assistance 的联合,生成 9 个胎儿超声心动图切面。利用诊断切面和/或 VIS-Assistance 的联合,成功生成 8 个具有适当彩色和 S-flow 多普勒信息的胎儿超声心动图切面的成功率为 89%-100%和 91%-100%,分别用于彩色和 S-flow 多普勒。然而,第九个切面(上、下腔静脉)的成功率为彩色多普勒 33%和 S-flow 多普勒 30%。在所有 4 例 CHD 中,彩色多普勒 FINE 均显示出胎儿心脏解剖结构和/或血流动力学异常的证据。

结论

应用于获取彩色或双向能量多普勒信息的正常胎儿心脏 STIC 容积的 FINE 方法可在孕中期和孕晚期成功生成 8-9 个标准胎儿超声心动图切面(通过灰阶、彩色多普勒或能量多普勒)。在 CHD 病例中,彩色多普勒 FINE 可成功显示异常解剖结构和/或多普勒血流特征。发表于 2017 年。本文为美国政府的作品,在美国属于公有领域。国际妇产科超声学会出版的《妇产科超声》由 John Wiley & Sons Ltd 代表国际妇产科超声学会出版。

https://cdn.ncbi.nlm.nih.gov/pmc/blobs/6094/5656930/3af5ae7d8388/UOG-50-476-g001.jpg

文献检索

告别复杂PubMed语法,用中文像聊天一样搜索,搜遍4000万医学文献。AI智能推荐,让科研检索更轻松。

立即免费搜索

文件翻译

保留排版,准确专业,支持PDF/Word/PPT等文件格式,支持 12+语言互译。

免费翻译文档

深度研究

AI帮你快速写综述,25分钟生成高质量综述,智能提取关键信息,辅助科研写作。

立即免费体验