• 文献检索
  • 文档翻译
  • 深度研究
  • 学术资讯
  • Suppr Zotero 插件Zotero 插件
  • 邀请有礼
  • 套餐&价格
  • 历史记录
应用&插件
Suppr Zotero 插件Zotero 插件浏览器插件Mac 客户端Windows 客户端微信小程序
定价
高级版会员购买积分包购买API积分包
服务
文献检索文档翻译深度研究API 文档MCP 服务
关于我们
关于 Suppr公司介绍联系我们用户协议隐私条款
关注我们

Suppr 超能文献

核心技术专利:CN118964589B侵权必究
粤ICP备2023148730 号-1Suppr @ 2026

文献检索

告别复杂PubMed语法,用中文像聊天一样搜索,搜遍4000万医学文献。AI智能推荐,让科研检索更轻松。

立即免费搜索

文件翻译

保留排版,准确专业,支持PDF/Word/PPT等文件格式,支持 12+语言互译。

免费翻译文档

深度研究

AI帮你快速写综述,25分钟生成高质量综述,智能提取关键信息,辅助科研写作。

立即免费体验

布加综合征作为不完全系统性红斑狼疮的初始表现

Budd-Chiari Syndrome as an Initial Manifestation of Incomplete Systemic Lupus Erythematosus.

作者信息

Porcu Cecilia, Merkel Nathalie, Fusi-Schimdhauser Tanja

机构信息

Department of Internal Medicine, Ospedale Regionale di Lugano EOC, Lugano, Switzerland.

Department of Rehabilitation and Geriatrics, University of Geneva, Geneva, Switzerland.

出版信息

Eur J Case Rep Intern Med. 2024 Dec 2;11(12):005015. doi: 10.12890/2024_005015. eCollection 2024.

DOI:10.12890/2024_005015
PMID:39790846
原文链接:https://pmc.ncbi.nlm.nih.gov/articles/PMC11716300/
Abstract

UNLABELLED

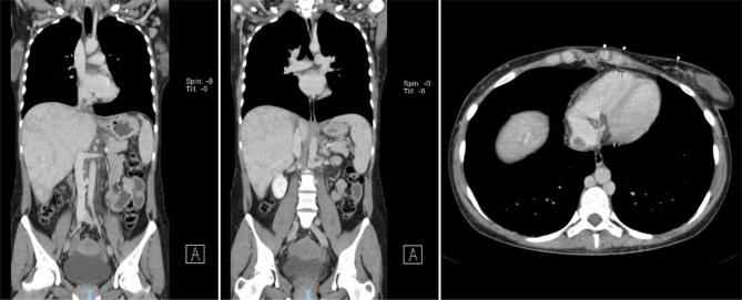
This article describes a case of a 26-year-old female with a history of Evan's syndrome who presented with severe exertional dyspnoea and abdominal discomfort. The patient was diagnosed with chronic Budd-Chiari syndrome, a rare vascular disorder characterized by obstruction of the hepatic vein. We discuss the risk factors, the clinical manifestations, and diagnostic methods for Budd-Chiari syndrome, as well as the possible association with an underlying incomplete systemic lupus erythematosus. The importance of close follow-up and timely diagnosis for preventing disease progression and reducing mortality is emphasized. The article concludes by highlighting the need for further monitoring to identify any symptoms or signs suggesting a progression to complete lupus erythematosus.

LEARNING POINTS

Budd-Chiari syndrome can present as the initial manifestation of a broader autoimmune disorder such as incomplete systemic lupus erythematosus.Evan's syndrome, when associated with other thrombotic conditions like antiphospholipid syndrome, may indicate an underlying, evolving autoimmune process.Early recognition and management of incomplete lupus are crucial to prevent progression to a full-blown systemic lupus erythematosus and associated complications.

摘要

未标注

本文描述了一例26岁患有伊文氏综合征的女性病例,该患者出现严重劳力性呼吸困难和腹部不适。患者被诊断为慢性布加综合征,这是一种罕见的血管疾病,其特征为肝静脉阻塞。我们讨论了布加综合征的危险因素、临床表现、诊断方法,以及与潜在的不完全系统性红斑狼疮的可能关联。强调了密切随访和及时诊断对于预防疾病进展和降低死亡率的重要性。文章最后强调需要进一步监测,以识别任何提示进展为完全性红斑狼疮的症状或体征。

学习要点

布加综合征可作为更广泛的自身免疫性疾病如不完全系统性红斑狼疮的初始表现。伊文氏综合征与抗磷脂综合征等其他血栓形成性疾病相关时,可能提示潜在的、正在发展的自身免疫过程。早期识别和处理不完全性狼疮对于预防进展为全面性系统性红斑狼疮及相关并发症至关重要。

https://cdn.ncbi.nlm.nih.gov/pmc/blobs/d8be/11716300/693a31212c7f/5015_Fig1.jpg
https://cdn.ncbi.nlm.nih.gov/pmc/blobs/d8be/11716300/693a31212c7f/5015_Fig1.jpg
https://cdn.ncbi.nlm.nih.gov/pmc/blobs/d8be/11716300/693a31212c7f/5015_Fig1.jpg

相似文献

1
Budd-Chiari Syndrome as an Initial Manifestation of Incomplete Systemic Lupus Erythematosus.布加综合征作为不完全系统性红斑狼疮的初始表现
Eur J Case Rep Intern Med. 2024 Dec 2;11(12):005015. doi: 10.12890/2024_005015. eCollection 2024.
2
Budd-Chiari Syndrome as an Initial Presentation of Systemic Lupus Erythematosus Associated with Antiphospholipid Syndrome: A Case Report with Review of the Literature.布加综合征作为系统性红斑狼疮合并抗磷脂综合征的首发表现:一例报告并文献复习
Open Access Rheumatol. 2023 Aug 16;15:139-143. doi: 10.2147/OARRR.S425535. eCollection 2023.
3
Budd- Chiari Syndrome as an Initial Manifestation of Systemic Lupus Erythematosus.布加综合征作为系统性红斑狼疮的首发表现
J Clin Diagn Res. 2016 Apr;10(4):OD01-2. doi: 10.7860/JCDR/2016/16623.7532. Epub 2016 Apr 1.
4
[Budd Chiari syndrome secondary to antiphospholipid syndrome and systemic lupus erythematosus in an adolescent: a case report].[青少年抗磷脂综合征和系统性红斑狼疮继发布加综合征:一例报告]
Rev Gastroenterol Peru. 2022 Apr-Jun;42(2):131-135.
5
Budd Chiari syndrome associated with antiphospholipid syndrome: Clinical characteristics and prognosis of 17 patients from single center.布加综合征合并抗磷脂综合征:单中心17例患者的临床特征与预后
Lupus. 2025 Apr;34(5):484-491. doi: 10.1177/09612033251330082. Epub 2025 Mar 21.
6
[Budd-Chiari syndrome and severe thrombocytopenia in a patient with Systemic Lupus Erythematosus and Secondary Antiphospholipid Syndrome].[系统性红斑狼疮和继发性抗磷脂综合征患者的布加综合征与严重血小板减少症]
Acta Reumatol Port. 2007 Apr-Jun;32(2):175-80.
7
Budd-Chiari syndrome with inferior vena cava obstruction associated with systemic lupus erythematosus.布加综合征合并下腔静脉阻塞伴系统性红斑狼疮
J Clin Gastroenterol. 1984 Jun;6(3):253-6.
8
Budd-Chiari syndrome as the major thrombotic complication of systemic lupus erythematosus with the lupus anticoagulant.布加综合征作为系统性红斑狼疮伴狼疮抗凝物的主要血栓形成并发症。
Ann Rheum Dis. 1986 May;45(5):435-7. doi: 10.1136/ard.45.5.435.
9
Antiphospholipid syndrome presenting as isolated renal vein thrombosis: a case report and review of the literature.以孤立性肾静脉血栓形成表现的抗磷脂综合征:一例病例报告及文献复习
J Med Case Rep. 2025 Mar 19;19(1):123. doi: 10.1186/s13256-025-05117-1.
10
Antiphospholipid syndrome as the second cause of non-tumorous Budd-Chiari syndrome.抗磷脂综合征作为非肿瘤性布加综合征的第二大病因。
J Hepatol. 1994 Jul;21(1):76-80. doi: 10.1016/s0168-8278(94)80140-1.

本文引用的文献

1
The Role of Clinical Features and Serum Biomarkers in Identifying Patients with Incomplete Lupus Erythematosus at Higher Risk of Transitioning to Systemic Lupus Erythematosus: Current Perspectives.临床特征和血清生物标志物在识别不完全性红斑狼疮患者向系统性红斑狼疮转变高风险中的作用:当前观点
J Inflamm Res. 2022 Feb 18;15:1133-1145. doi: 10.2147/JIR.S275043. eCollection 2022.
2
From incomplete to complete systemic lupus erythematosus; A review of the predictive serological immune markers.从不完全性系统性红斑狼疮到完全性系统性红斑狼疮:预测性血清免疫标志物综述。
Semin Arthritis Rheum. 2021 Feb;51(1):43-48. doi: 10.1016/j.semarthrit.2020.11.006. Epub 2020 Dec 18.
3
Evans' Syndrome: From Diagnosis to Treatment.
伊文氏综合征:从诊断到治疗
J Clin Med. 2020 Nov 27;9(12):3851. doi: 10.3390/jcm9123851.
4
Anticoagulating Budd-Chiari syndrome patients presenting with variceal bleed: A retrospective study.伴有静脉曲张出血的布加综合征患者抗凝治疗:一项回顾性研究。
J Gastroenterol Hepatol. 2020 Aug;35(8):1397-1403. doi: 10.1111/jgh.14971. Epub 2020 Jan 16.
5
Incomplete Systemic Lupus Erythematosus: What Remains After Application of American College of Rheumatology and Systemic Lupus International Collaborating Clinics criteria?未分化系统性红斑狼疮:美国风湿病学会和系统性红斑狼疮国际合作临床中心标准应用后剩下的是什么?
Arthritis Care Res (Hoboken). 2020 May;72(5):607-614. doi: 10.1002/acr.23894.
6
Budd-Chiari Syndrome.布加综合征
Prague Med Rep. 2017;118(2-3):69-80. doi: 10.14712/23362936.2017.6.
7
Recurrent venous thromboembolism and abnormal uterine bleeding with anticoagulant and hormone therapy use.复发性静脉血栓栓塞症以及抗凝和激素治疗相关的异常子宫出血。
Blood. 2016 Mar 17;127(11):1417-25. doi: 10.1182/blood-2015-08-665927. Epub 2015 Dec 22.
8
Etiology, management, and outcome of the Budd-Chiari syndrome.布加综合征的病因、治疗及预后
Ann Intern Med. 2009 Aug 4;151(3):167-75. doi: 10.7326/0003-4819-151-3-200908040-00004.