Suppr超能文献

急性和亚急性胆囊扭转的不同致病机制:两例不同扭转程度病例的分析

Contrasting Pathogenic Mechanisms in Acute and Subacute Gallbladder Volvulus: Analysis of Two Cases with Different Degrees of Torsion.

作者信息

Kawano Yuka, Kawashita Yujo, Hirayama Shintaro, Ueda Takashi, Tateishi Masaki, Yamaguchi Junzo, Abe Sousei, Washida Yasuo

机构信息

Surgery, Fukuoka Seisyukai Hospital, Fukuoka, JPN.

Radiology, Fukuoka Seisyukai Hospital, Fukuoka, JPN.

出版信息

Cureus. 2024 Dec 10;16(12):e75444. doi: 10.7759/cureus.75444. eCollection 2024 Dec.

Abstract

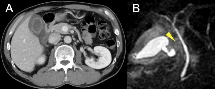
Gallbladder volvulus is a rare but potentially severe condition that requires urgent surgical intervention. This report presents two contrasting cases of gallbladder volvulus with distinct pathogenic mechanisms and degrees of torsion. The first case involves a 97-year-old female who presented with acute symptoms and 270° torsion, leading to complete gallbladder necrosis (Gross type II). The second case involves a 52-year-old male with a subacute presentation and 90° torsion, resulting in incomplete necrosis (Gross type I). Both cases underwent successful laparoscopic cholecystectomy, completed in 69 and 59 minutes, respectively. Analysis of these cases reveals that the degree of torsion correlates with the acuity of presentation and the extent of tissue ischemia, which influences the timing of surgical intervention. This study underscores the importance of early recognition and prompt surgical management in gallbladder volvulus, regardless of presentation pattern. Although gallbladder volvulus predominantly affects elderly females, it can occur across different age groups and genders, highlighting the need for increased clinical awareness to achieve optimal outcomes.

摘要

胆囊扭转是一种罕见但可能很严重的病症,需要紧急手术干预。本报告呈现了两例形成对比的胆囊扭转病例,其致病机制和扭转程度各不相同。第一例是一位97岁女性,出现急性症状且有270°扭转,导致胆囊完全坏死(大体类型II)。第二例是一位52岁男性,表现为亚急性症状且有90°扭转,导致不完全坏死(大体类型I)。两例均成功进行了腹腔镜胆囊切除术,分别用时69分钟和59分钟。对这些病例的分析表明,扭转程度与症状的急性程度以及组织缺血程度相关,这会影响手术干预的时机。本研究强调了在胆囊扭转中早期识别和及时手术治疗的重要性,无论其表现形式如何。虽然胆囊扭转主要影响老年女性,但它可发生于不同年龄组和性别,这凸显了提高临床认识以实现最佳治疗效果的必要性。

https://cdn.ncbi.nlm.nih.gov/pmc/blobs/f7c9/11717323/417ff7498549/cureus-0016-00000075444-i01.jpg

文献AI研究员

20分钟写一篇综述,助力文献阅读效率提升50倍。

立即体验

用中文搜PubMed

大模型驱动的PubMed中文搜索引擎

马上搜索

文档翻译

学术文献翻译模型,支持多种主流文档格式。

立即体验