Turkez Hasan, Alper Fatih, Bayram Cemil, Baba Cem, Yıldız Edanur, Saracoglu Melik, Kucuk Muhammed, Gozegir Berrah, Kiliclioglu Metin, Yeşilyurt Mustafa, Tozlu Ozlem Ozdemir, Bolat Ismail, Yildirim Serkan, Barutcigil Muhammed Furkan, Isik Fatih, Kiki Özlem, Aydın Fahri, Arslan Mehmet Enes, Cadircı Kenan, Karaman Adem, Tatar Abdulgani, Hacımüftüoğlu Ahmet
Department of Medical Biology, Faculty of Medicine, Atatürk University, Erzurum, Turkey.
Department of Radiology, Faculty of Medicine, Atatürk University, Erzurum, Turkey.
Med Oncol. 2025 Jan 17;42(2):47. doi: 10.1007/s12032-025-02600-z.
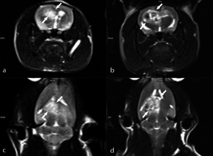
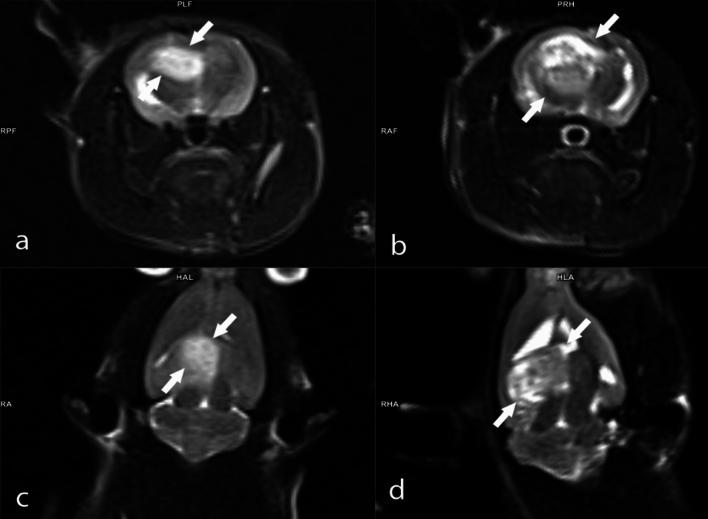
Limited advancements in managing malignant brain tumors have resulted in poor prognoses for glioblastoma (GBM) patients. Standard treatment involves surgery, radiotherapy, and chemotherapy, which lack specificity and damage healthy brain tissue. Boron-containing compounds, such as boric acid (BA), exhibit diverse biological effects, including anticancer properties. This study aimed to examine whether boron supplementation, as BA, can inhibit glioblastoma growth in a xenograft animal model. Using MRI-based tumor size measurement, survival rates, hematological, clinical biochemistry analyses, and genotoxicity parameters, we assessed the impact of BA. Histopathological, immunohistochemical, and immunofluorescence examinations were also conducted. All BA doses (3.25, 6.5, and 13 mg kg b.w.) extended survival compared to GBM controls after 14 days, with a dose-dependent anti-GBM effect observed in MRI analyses. BA treatment improved hematological (WBC and PLT counts) and biochemical parameters (LDL-C, CREA, and ALP). Histopathological examination revealed a significant reduction in tumor diameter with 6.5 and 13 mg kg BA. Immunohistochemical and immunofluorescence staining showed modulation of intracytoplasmic Ki67, cytoplasmic CMPK2, and GFAP expressions in tumor cells post-BA treatment. Additionally, BA did not increase micronuclei formations, indicating its non-genotoxic nature. In conclusion, targeting tumor suppressor networks with boron demonstrates significant therapeutic potential for GBM treatment.
恶性脑肿瘤治疗进展有限,导致胶质母细胞瘤(GBM)患者预后不良。标准治疗包括手术、放疗和化疗,这些方法缺乏特异性,会损害健康脑组织。含硼化合物,如硼酸(BA),具有多种生物学效应,包括抗癌特性。本研究旨在探讨以BA形式补充硼是否能在异种移植动物模型中抑制胶质母细胞瘤的生长。我们使用基于MRI的肿瘤大小测量、生存率、血液学、临床生化分析和遗传毒性参数来评估BA的影响。还进行了组织病理学、免疫组织化学和免疫荧光检查。与GBM对照组相比,所有BA剂量(3.25、6.5和13mg/kg体重)在14天后均延长了生存期,MRI分析显示出剂量依赖性的抗GBM效应。BA治疗改善了血液学参数(白细胞和血小板计数)和生化参数(低密度脂蛋白胆固醇、肌酐和碱性磷酸酶)。组织病理学检查显示,6.5和13mg/kg BA可使肿瘤直径显著减小。免疫组织化学和免疫荧光染色显示,BA治疗后肿瘤细胞内的胞浆Ki67、胞质CMPK2和GFAP表达发生了变化。此外,BA并未增加微核形成,表明其无遗传毒性。总之,用硼靶向肿瘤抑制网络对GBM治疗具有显著的治疗潜力。