• 文献检索
  • 文档翻译
  • 深度研究
  • 学术资讯
  • Suppr Zotero 插件Zotero 插件
  • 邀请有礼
  • 套餐&价格
  • 历史记录
应用&插件
Suppr Zotero 插件Zotero 插件浏览器插件Mac 客户端Windows 客户端微信小程序
定价
高级版会员购买积分包购买API积分包
服务
文献检索文档翻译深度研究API 文档MCP 服务
关于我们
关于 Suppr公司介绍联系我们用户协议隐私条款
关注我们

Suppr 超能文献

核心技术专利:CN118964589B侵权必究
粤ICP备2023148730 号-1Suppr @ 2026

文献检索

告别复杂PubMed语法,用中文像聊天一样搜索,搜遍4000万医学文献。AI智能推荐,让科研检索更轻松。

立即免费搜索

文件翻译

保留排版,准确专业,支持PDF/Word/PPT等文件格式,支持 12+语言互译。

免费翻译文档

深度研究

AI帮你快速写综述,25分钟生成高质量综述,智能提取关键信息,辅助科研写作。

立即免费体验

MFGE8通过促进PD-L1的细胞外囊泡分选来诱导抗PD-1治疗耐药性。

MFGE8 induces anti-PD-1 therapy resistance by promoting extracellular vesicle sorting of PD-L1.

作者信息

Wang Wenhui, Chen Jiming, Wang Shibo, Sun Xinhai, Yang Jie, Yu Pengfei, Hu Guinv, Wang Jiang, Zhang Jing, Qiao Shuya, Wang Jianli, Zhang Gensheng, He Yuzhou, Feng Huajun, Cai Zhijian

机构信息

Department of Orthopaedics of the Second Affiliated Hospital and Institute of Immunology, Zhejiang University School of Medicine, Hangzhou 310009, China.

Key Laboratory of Functional and Clinical Translational Medicine, Fujian Province University, Xiamen Medical College, Xiamen 361023, China; Institute of Respiratory Diseases Xiamen Medical College, Xiamen 361023, China; Organiod Platform of Medical Laboratory Science, Xiamen Medical College, Xiamen 361023, China.

出版信息

Cell Rep Med. 2025 Feb 18;6(2):101922. doi: 10.1016/j.xcrm.2024.101922. Epub 2025 Jan 21.

DOI:10.1016/j.xcrm.2024.101922
PMID:
39842432
原文链接:https://pmc.ncbi.nlm.nih.gov/articles/PMC11866489/
Abstract

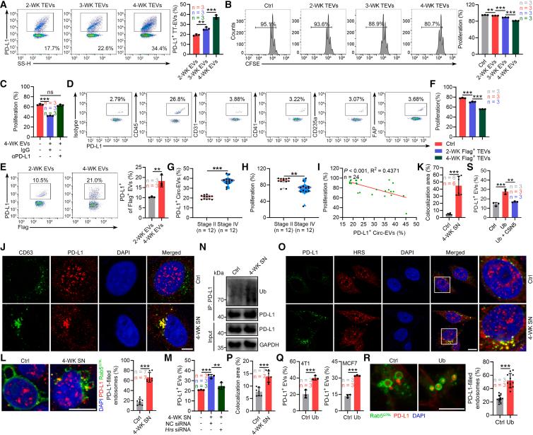
Anti-PD-1 therapy, effective in patients with various advanced tumors, still encounters the challenge of insensitivity in most patients. Here, we demonstrate that PD-L1 on tumor cell-derived extracellular vesicles (TEVs) is critical for anti-PD-1 therapy resistance. Reducing endogenous and transferring exogenous TEVs abrogates and induces anti-PD-1 therapy resistance, respectively. Notably, PD-L1 is sorted onto TEVs via the endosomal sorting complex required for transport after ubiquitination by UBE4A and gradually upregulated on TEVs with tumor progression. During progression, increased MFGE8 from tumor cells promotes self α integrin signaling activation, enabling themselves to upregulate UBE4A, thereby increasing PD-L1 on TEVs and enhancing their immunosuppressive abilities. Translationally, anti-MFGE8-neutralizing antibodies effectively downregulate UBE4A and TEV PD-L1, thereby negating anti-PD-1 therapy resistance. Furthermore, serum MFGE8 and PD-L1 EV levels of tumor patients correlate positively, and high levels of both indicate poor prognosis after anti-PD-1 therapy. Thus, MFGE8 is a promising target for overcoming resistance and predicting responsiveness to anti-PD-1 therapy.

摘要

抗PD-1疗法对各种晚期肿瘤患者有效,但在大多数患者中仍面临不敏感的挑战。在此,我们证明肿瘤细胞衍生的细胞外囊泡(TEV)上的PD-L1对抗PD-1治疗耐药性至关重要。减少内源性TEV并转移外源性TEV分别消除和诱导抗PD-1治疗耐药性。值得注意的是,PD-L1在被UBE4A泛素化后通过运输所需的内体分选复合物被分选到TEV上,并随着肿瘤进展在TEV上逐渐上调。在肿瘤进展过程中,肿瘤细胞中增加的MFGE8促进自身α整合素信号激活,使其能够上调UBE4A,从而增加TEV上的PD-L1并增强其免疫抑制能力。在转化医学方面,抗MFGE8中和抗体有效地下调UBE4A和TEV PD-L1,从而消除抗PD-1治疗耐药性。此外,肿瘤患者血清中的MFGE8和PD-L1 EV水平呈正相关,两者水平高均表明抗PD-1治疗后预后不良。因此,MFGE8是克服耐药性和预测抗PD-1治疗反应性的一个有前景的靶点。

https://cdn.ncbi.nlm.nih.gov/pmc/blobs/62d2/11866489/ef9d6ce05a36/gr2.jpg
https://cdn.ncbi.nlm.nih.gov/pmc/blobs/62d2/11866489/332882ccc774/gr1.jpg
https://cdn.ncbi.nlm.nih.gov/pmc/blobs/62d2/11866489/ef9d6ce05a36/gr2.jpg
https://cdn.ncbi.nlm.nih.gov/pmc/blobs/62d2/11866489/332882ccc774/gr1.jpg
https://cdn.ncbi.nlm.nih.gov/pmc/blobs/62d2/11866489/ef9d6ce05a36/gr2.jpg

相似文献

1
MFGE8 induces anti-PD-1 therapy resistance by promoting extracellular vesicle sorting of PD-L1.MFGE8通过促进PD-L1的细胞外囊泡分选来诱导抗PD-1治疗耐药性。
Cell Rep Med. 2025 Feb 18;6(2):101922. doi: 10.1016/j.xcrm.2024.101922. Epub 2025 Jan 21.
2
Circulating extracellular vesicles expressing PD1 and PD-L1 predict response and mediate resistance to checkpoint inhibitors immunotherapy in metastatic melanoma.循环细胞外囊泡表达 PD1 和 PD-L1 可预测转移性黑色素瘤对检查点抑制剂免疫治疗的反应并介导耐药性。
Mol Cancer. 2022 Jan 18;21(1):20. doi: 10.1186/s12943-021-01490-9.
3
Lactic acid inhibits the interaction between PD-L1 protein and PD-L1 antibody in the PD-1/PD-L1 blockade therapy-resistant tumor.乳酸在PD-1/PD-L1阻断治疗耐药的肿瘤中抑制PD-L1蛋白与PD-L1抗体之间的相互作用。
Mol Ther. 2025 Feb 5;33(2):723-733. doi: 10.1016/j.ymthe.2024.12.044. Epub 2024 Dec 31.
4
Tumor extracellular vesicles mediate anti-PD-L1 therapy resistance by decoying anti-PD-L1.肿瘤细胞外囊泡通过诱饵抗 PD-L1 介导抗 PD-L1 治疗耐药性。
Cell Mol Immunol. 2022 Nov;19(11):1290-1301. doi: 10.1038/s41423-022-00926-6. Epub 2022 Oct 11.
5
High-throughput screening identifies ibuprofen as an sEV PD-L1 inhibitor for synergistic cancer immunotherapy.高通量筛选鉴定布洛芬为一种外泌体 PD-L1 抑制剂,用于协同癌症免疫治疗。
Mol Ther. 2024 Oct 2;32(10):3580-3596. doi: 10.1016/j.ymthe.2024.08.027. Epub 2024 Aug 31.
6
Study and analysis of antitumor resistance mechanism of PD1/PD-L1 immune checkpoint blocker.PD1/PD-L1 免疫检查点抑制剂抗肿瘤耐药机制的研究与分析。
Cancer Med. 2020 Nov;9(21):8086-8121. doi: 10.1002/cam4.3410. Epub 2020 Sep 2.
7
Macitentan improves antitumor immune responses by inhibiting the secretion of tumor-derived extracellular vesicle PD-L1.马西替坦通过抑制肿瘤来源的细胞外囊泡 PD-L1 的分泌来改善抗肿瘤免疫反应。
Theranostics. 2022 Jan 31;12(5):1971-1987. doi: 10.7150/thno.68864. eCollection 2022.
8
Sigma1 inhibitor suppression of adaptive immune resistance mechanisms mediated by cancer cell derived extracellular vesicles.Sigma1抑制剂对癌细胞衍生的细胞外囊泡介导的适应性免疫抵抗机制的抑制作用。
Cancer Biol Ther. 2025 Dec;26(1):2455722. doi: 10.1080/15384047.2025.2455722. Epub 2025 Jan 26.
9
Mechanisms underlying low-clinical responses to PD-1/PD-L1 blocking antibodies in immunotherapy of cancer: a key role of exosomal PD-L1.癌症免疫治疗中 PD-1/PD-L1 阻断抗体低临床反应的机制:外泌体 PD-L1 的关键作用。
J Immunother Cancer. 2021 Jan;9(1). doi: 10.1136/jitc-2020-001698.
10
Wnt Inhibition Sensitizes PD-L1 Blockade Therapy by Overcoming Bone Marrow-Derived Myofibroblasts-Mediated Immune Resistance in Tumors.Wnt 抑制通过克服肿瘤中骨髓来源的肌成纤维细胞介导的免疫抵抗来增强 PD-L1 阻断治疗。
Front Immunol. 2021 Mar 15;12:619209. doi: 10.3389/fimmu.2021.619209. eCollection 2021.

引用本文的文献

1
APG-115 Induces SLC7A11-Mediated Ferroptosis and Upregulates PD-L1 Expression in Thyroid Cancer.APG-115诱导甲状腺癌中SLC7A11介导的铁死亡并上调PD-L1表达。
ACS Omega. 2025 Jul 14;10(28):31099-31107. doi: 10.1021/acsomega.5c04710. eCollection 2025 Jul 22.
2
The role of exosomes in immunopathology and potential therapeutic implications.外泌体在免疫病理学中的作用及潜在治疗意义。
Cell Mol Immunol. 2025 Jul 14. doi: 10.1038/s41423-025-01323-5.
3
Post-translational modifications of cancer immune checkpoints: mechanisms and therapeutic strategies.

本文引用的文献

1
Breaking free: endocytosis and endosomal escape of extracellular vesicles.突破束缚:细胞外囊泡的内吞作用与内体逃逸
Extracell Vesicles Circ Nucl Acids. 2023 Jun 30;4(2):283-305. doi: 10.20517/evcna.2023.26. eCollection 2023.
2
Tumor extracellular vesicles mediate anti-PD-L1 therapy resistance by decoying anti-PD-L1.肿瘤细胞外囊泡通过诱饵抗 PD-L1 介导抗 PD-L1 治疗耐药性。
Cell Mol Immunol. 2022 Nov;19(11):1290-1301. doi: 10.1038/s41423-022-00926-6. Epub 2022 Oct 11.
3
The Role of Periostin in Angiogenesis and Lymphangiogenesis in Tumors.
癌症免疫检查点的翻译后修饰:机制与治疗策略
Mol Cancer. 2025 Jul 8;24(1):193. doi: 10.1186/s12943-025-02397-5.
4
Extracellular Vesicles and PD-L1-A Review of Complex Immunoregulatory Properties and Clinical Importance.细胞外囊泡与程序性死亡受体1配体——复杂免疫调节特性及临床重要性综述
Biomedicines. 2025 May 31;13(6):1356. doi: 10.3390/biomedicines13061356.
骨膜蛋白在肿瘤血管生成和淋巴管生成中的作用
Cancers (Basel). 2022 Aug 30;14(17):4225. doi: 10.3390/cancers14174225.
4
Untouched isolation enables targeted functional analysis of tumour-cell-derived extracellular vesicles from tumour tissues.未受干扰的隔离使我们能够针对肿瘤组织中肿瘤细胞衍生的细胞外囊泡进行靶向功能分析。
J Extracell Vesicles. 2022 Apr;11(4):e12214. doi: 10.1002/jev2.12214.
5
Tubeimoside-1 induces TFEB-dependent lysosomal degradation of PD-L1 and promotes antitumor immunity by targeting mTOR.土贝母苷甲通过靶向mTOR诱导依赖于转录因子EB(TFEB)的程序性死亡配体1(PD-L1)溶酶体降解并促进抗肿瘤免疫。
Acta Pharm Sin B. 2021 Oct;11(10):3134-3149. doi: 10.1016/j.apsb.2021.03.039. Epub 2021 Apr 1.
6
Neddylation of Coro1a determines the fate of multivesicular bodies and biogenesis of extracellular vesicles.Coro1a 的类泛素化决定了多泡体的命运和细胞外囊泡的生物发生。
J Extracell Vesicles. 2021 Oct;10(12):e12153. doi: 10.1002/jev2.12153.
7
Effects of exosome-mediated delivery of myostatin propeptide on functional recovery of mdx mice.外泌体介导的肌生成抑制素前肽递送对mdx小鼠功能恢复的影响。
Biomaterials. 2020 Apr;236:119826. doi: 10.1016/j.biomaterials.2020.119826. Epub 2020 Jan 25.
8
Quality and efficiency assessment of six extracellular vesicle isolation methods by nano-flow cytometry.通过纳米流式细胞术对六种细胞外囊泡分离方法的质量和效率评估
J Extracell Vesicles. 2019 Nov 29;9(1):1697028. doi: 10.1080/20013078.2019.1697028. eCollection 2020.
9
Reassessment of Exosome Composition.重新评估外泌体组成。
Cell. 2019 Apr 4;177(2):428-445.e18. doi: 10.1016/j.cell.2019.02.029.
10
Suppression of Exosomal PD-L1 Induces Systemic Anti-tumor Immunity and Memory.抑制外泌体 PD-L1 诱导全身性抗肿瘤免疫和记忆。
Cell. 2019 Apr 4;177(2):414-427.e13. doi: 10.1016/j.cell.2019.02.016.