• 文献检索
  • 文档翻译
  • 深度研究
  • 学术资讯
  • Suppr Zotero 插件Zotero 插件
  • 邀请有礼
  • 套餐&价格
  • 历史记录
应用&插件
Suppr Zotero 插件Zotero 插件浏览器插件Mac 客户端Windows 客户端微信小程序
定价
高级版会员购买积分包购买API积分包
服务
文献检索文档翻译深度研究API 文档MCP 服务
关于我们
关于 Suppr公司介绍联系我们用户协议隐私条款
关注我们

Suppr 超能文献

核心技术专利:CN118964589B侵权必究
粤ICP备2023148730 号-1Suppr @ 2026

文献检索

告别复杂PubMed语法,用中文像聊天一样搜索,搜遍4000万医学文献。AI智能推荐,让科研检索更轻松。

立即免费搜索

文件翻译

保留排版,准确专业,支持PDF/Word/PPT等文件格式,支持 12+语言互译。

免费翻译文档

深度研究

AI帮你快速写综述,25分钟生成高质量综述,智能提取关键信息,辅助科研写作。

立即免费体验

序贯、共定位射频与脉冲场消融对心脏损伤大小及组织学的影响

Effect of Sequential, Colocalized Radiofrequency and Pulsed Field Ablation on Cardiac Lesion Size and Histology.

作者信息

Verma Atul, Maffre Jennifer, Sharma Tushar, Farshchi-Heydari Salman

机构信息

Division of Cardiology, McGill University Health Centre, Montreal, QC, Canada (A.V.).

Department of Research and Development, Biosense Webster, Inc, Irvine, CA (J.M., T.S., S.F.-H.).

出版信息

Circ Arrhythm Electrophysiol. 2025 Feb;18(2):e013143. doi: 10.1161/CIRCEP.124.013143. Epub 2025 Jan 24.

DOI:10.1161/CIRCEP.124.013143
PMID:39851044
原文链接:https://pmc.ncbi.nlm.nih.gov/articles/PMC11837966/
Abstract

BACKGROUND

Sequential application of radiofrequency with pulsed field (PF) ablation may increase lesion depth while preserving the advantages of PF. The study's aim was to determine lesion dimensions of sequential, colocalized radiofrequency and PF ablation.

METHODS

A preclinical study using swine (n=4) performed lesions in the right/left ventricles. Ablations were performed with a force-sensing 3.5-mm irrigated-tip ablation catheter using a generator delivering both radiofrequency and PF. PF was delivered using unipolar, biphasic pulses at a standard dose (PF index, 300) with 4-mL/min irrigation. Radiofrequency was delivered at 50 W for 10 s (15 mL/min). Lesions were created by applying colocalized radiofrequency followed by sequential application of PF on the same location, PF followed by sequential application of radiofrequency on the same location, PF alone, or radiofrequency alone. Tissue was collected after 2 hours for lesion assessment. Results are mean±SD.

RESULTS

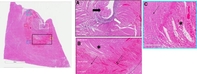
Forty-five lesions were analyzed. The lesion depth of radiofrequency alone was 4.9±0.8 mm. The mean lesion depth and width for PF alone were 3.5±0.6 and 5.1±1.8 mm. Lesion depths for combined applications were significantly greater versus PF alone (6.2±1.8 mm radiofrequency followed by sequential application of PF on the same location; 5.7±1.3 mm PF followed by sequential application of radiofrequency on the same location; <0.0001 for both). Lesion widths were also significantly greater with combined therapy versus PF alone (8.6±1.8 mm radiofrequency followed by sequential application of PF on the same location; 8.9±2.1 mm PF followed by sequential application of radiofrequency on the same location; <0.0001 for both). Histology for both combined lesions showed central thermal necrosis surrounded by a hemorrhagic and transitional PF zone.

CONCLUSIONS

Combined, colocalized radiofrequency and PF, irrespective of order, show significantly increased lesion size compared with the same dose of PF or radiofrequency alone.

摘要

背景

将射频与脉冲场(PF)消融序贯应用可能会增加消融灶深度,同时保留PF的优势。本研究的目的是确定射频与PF联合、共定位消融后的消融灶尺寸。

方法

一项在猪(n = 4)身上进行的临床前研究,在右/左心室制造消融灶。使用配备有能同时输送射频和PF的发生器的3.5毫米压力感应灌注消融导管进行消融。PF采用单极双相脉冲,以标准剂量(PF指数300)、4毫升/分钟的灌注速度输送。射频以50瓦功率输送10秒(15毫升/分钟)。通过在同一位置先进行共定位射频消融,然后序贯应用PF,或先进行PF消融,然后序贯应用射频,或单独应用PF,或单独应用射频来制造消融灶。2小时后收集组织进行消融灶评估。结果以平均值±标准差表示。

结果

共分析了45个消融灶。单独射频消融灶的深度为4.9±0.8毫米。单独PF消融灶的平均深度和宽度分别为3.5±0.6毫米和5.1±1.8毫米。联合应用时的消融灶深度显著大于单独应用PF时(在同一位置先进行射频消融然后序贯应用PF,深度为6.2±1.8毫米;在同一位置先进行PF消融然后序贯应用射频,深度为5.7±1.3毫米;两者均P<0.0001)。联合治疗时的消融灶宽度也显著大于单独应用PF时(在同一位置先进行射频消融然后序贯应用PF,宽度为8.6±1.8毫米;在同一位置先进行PF消融然后序贯应用射频,宽度为8.9±2.1毫米;两者均P<0.0001)。两种联合消融灶的组织学表现均为中央热坏死,周围有出血性和过渡性PF区。

结论

射频与PF联合、共定位应用,无论顺序如何,与相同剂量的单独PF或单独射频相比,消融灶尺寸均显著增大。

https://cdn.ncbi.nlm.nih.gov/pmc/blobs/a28c/11837966/a86d5e74ee2f/hae-18-e013143-g008.jpg
https://cdn.ncbi.nlm.nih.gov/pmc/blobs/a28c/11837966/382ca5230d2d/hae-18-e013143-g003.jpg
https://cdn.ncbi.nlm.nih.gov/pmc/blobs/a28c/11837966/ee3840719179/hae-18-e013143-g004.jpg
https://cdn.ncbi.nlm.nih.gov/pmc/blobs/a28c/11837966/22e6f94d8513/hae-18-e013143-g005.jpg
https://cdn.ncbi.nlm.nih.gov/pmc/blobs/a28c/11837966/40b59dda7444/hae-18-e013143-g006.jpg
https://cdn.ncbi.nlm.nih.gov/pmc/blobs/a28c/11837966/488f16c29ff6/hae-18-e013143-g007.jpg
https://cdn.ncbi.nlm.nih.gov/pmc/blobs/a28c/11837966/a86d5e74ee2f/hae-18-e013143-g008.jpg
https://cdn.ncbi.nlm.nih.gov/pmc/blobs/a28c/11837966/382ca5230d2d/hae-18-e013143-g003.jpg
https://cdn.ncbi.nlm.nih.gov/pmc/blobs/a28c/11837966/ee3840719179/hae-18-e013143-g004.jpg
https://cdn.ncbi.nlm.nih.gov/pmc/blobs/a28c/11837966/22e6f94d8513/hae-18-e013143-g005.jpg
https://cdn.ncbi.nlm.nih.gov/pmc/blobs/a28c/11837966/40b59dda7444/hae-18-e013143-g006.jpg
https://cdn.ncbi.nlm.nih.gov/pmc/blobs/a28c/11837966/488f16c29ff6/hae-18-e013143-g007.jpg
https://cdn.ncbi.nlm.nih.gov/pmc/blobs/a28c/11837966/a86d5e74ee2f/hae-18-e013143-g008.jpg

相似文献

1
Effect of Sequential, Colocalized Radiofrequency and Pulsed Field Ablation on Cardiac Lesion Size and Histology.序贯、共定位射频与脉冲场消融对心脏损伤大小及组织学的影响
Circ Arrhythm Electrophysiol. 2025 Feb;18(2):e013143. doi: 10.1161/CIRCEP.124.013143. Epub 2025 Jan 24.
2
Impact of Contact Force on Pulsed Field Ablation Outcomes Using Focal Point Catheter.使用焦点导管对接触力对脉冲场消融结果的影响。
Circ Arrhythm Electrophysiol. 2024 Jun;17(6):e012723. doi: 10.1161/CIRCEP.123.012723. Epub 2024 May 1.
3
Focal Pulsed Field Ablation for Pulmonary Vein Isolation and Linear Atrial Lesions: A Preclinical Assessment of Safety and Durability.聚焦脉冲场消融用于肺静脉隔离和线性心房病变:安全性和耐久性的临床前评估。
Circ Arrhythm Electrophysiol. 2020 Jun;13(6):e008716. doi: 10.1161/CIRCEP.120.008716. Epub 2020 May 6.
4
Bipolar ablation with contact force-sensing of swine ventricles shows improved acute lesion features compared to sequential unipolar ablation.双极消融联合接触力感知在猪心室中可改善急性消融损伤特征,优于顺序性单极消融。
J Cardiovasc Electrophysiol. 2020 May;31(5):1128-1136. doi: 10.1111/jce.14407. Epub 2020 Mar 2.
5
Characteristics of In Vivo Lesion Formation With a Temperature-Controlled Diamond-Tip Radiofrequency Ablation Catheter in the Ventricle: A Preclinical Model.使用温度控制的金刚石尖端射频消融导管在心室中进行体内病变形成的特征:一种临床前模型。
Circ Arrhythm Electrophysiol. 2025 Feb;18(2):e013120. doi: 10.1161/CIRCEP.124.013120. Epub 2025 Jan 24.
6
Lattice-Tip Focal Ablation Catheter That Toggles Between Radiofrequency and Pulsed Field Energy to Treat Atrial Fibrillation: A First-in-Human Trial.点阵尖端聚焦消融导管在射频和脉冲电场能量之间切换以治疗心房颤动:首例人体试验。
Circ Arrhythm Electrophysiol. 2020 Jun;13(6):e008718. doi: 10.1161/CIRCEP.120.008718. Epub 2020 May 8.
7
Chamber-Specific Radiofrequency Lesion Dimension Estimation Using Novel Catheter-Based Tissue Interface Temperature Sensing: A Preclinical Assessment.基于新型导管组织界面温度感知的特定心腔射频消融损伤尺寸估计:一项临床前评估。
JACC Clin Electrophysiol. 2017 Oct;3(10):1092-1102. doi: 10.1016/j.jacep.2017.08.008. Epub 2017 Oct 16.
8
Evaluation of Ablation Parameters to Predict Irreversible Lesion Size During Pulsed Field Ablation.评估消融参数以预测脉冲场消融期间的不可逆转损伤大小。
Circ Arrhythm Electrophysiol. 2024 Aug;17(8):e012814. doi: 10.1161/CIRCEP.124.012814. Epub 2024 Jul 25.
9
Pulsed Field Ablation Index-Guided Ablation for Lesion Formation: Impact of Contact Force and Number of Applications in the Ventricular Model.脉冲场消融指数指导下的消融致病变形成:接触力和应用次数对心室模型的影响。
Circ Arrhythm Electrophysiol. 2024 Apr;17(4):e012717. doi: 10.1161/CIRCEP.123.012717. Epub 2024 Feb 23.
10
Point-by-Point Pulsed Field Ablation Using a Multimodality Generator and a Contact Force-Sensing Ablation Catheter: Comparison With Radiofrequency Ablation in a Remapped Chronic Swine Heart.多点脉冲场消融使用多模态发生器和接触力感应消融导管:与映射慢性猪心的射频消融比较。
Circ Arrhythm Electrophysiol. 2023 Dec;16(12):663-671. doi: 10.1161/CIRCEP.123.012344. Epub 2023 Nov 23.

引用本文的文献

1
Safety and efficacy of a lattice-tip catheter for ventricular arrhythmia ablation: the AFFERA Ventricular Arrhythmia Ablation Registry (AVAAR).用于室性心律失常消融的点阵式尖端导管的安全性和有效性:AFFERA室性心律失常消融注册研究(AVAAR)
Europace. 2025 Sep 1;27(9). doi: 10.1093/europace/euaf139.
2
Biophysics and Clinical Effectiveness of Irreversible Electroporation for Catheter Ablation of Atrial Fibrillation.不可逆电穿孔用于心房颤动导管消融的生物物理学与临床疗效
J Cardiovasc Dev Dis. 2025 Jun 7;12(6):218. doi: 10.3390/jcdd12060218.
3
Electrophysiological impact of subgingival nicotine gum use in athletes: Completing the Coumel triangle in sustained ventricular tachycardia reentry.

本文引用的文献

1
Evaluation of Ablation Parameters to Predict Irreversible Lesion Size During Pulsed Field Ablation.评估消融参数以预测脉冲场消融期间的不可逆转损伤大小。
Circ Arrhythm Electrophysiol. 2024 Aug;17(8):e012814. doi: 10.1161/CIRCEP.124.012814. Epub 2024 Jul 25.
2
Effects of Contact Force on Lesion Size During Pulsed Field Catheter Ablation: Histochemical Characterization of Ventricular Lesion Boundaries.脉冲场导管消融过程中接触力对损伤大小的影响:心室损伤边界的组织化学特征。
Circ Arrhythm Electrophysiol. 2024 Jan;17(1):e012026. doi: 10.1161/CIRCEP.123.012026. Epub 2023 Dec 28.
3
Point-by-Point Pulsed Field Ablation Using a Multimodality Generator and a Contact Force-Sensing Ablation Catheter: Comparison With Radiofrequency Ablation in a Remapped Chronic Swine Heart.
运动员使用龈下尼古丁口香糖的电生理影响:在持续性室性心动过速折返中完成库梅尔三角。
HeartRhythm Case Rep. 2025 Apr 10;11(6):503-508. doi: 10.1016/j.hrcr.2025.04.005. eCollection 2025 Jun.
4
An Accord Between Man and Machine: Concordance Between Traditional and Novel Mapping Techniques for Atrioventricular Nodal Reentrant Tachycardia Ablation.人与机器的契合:房室结折返性心动过速消融的传统与新型标测技术的一致性
Cureus. 2025 May 24;17(5):e84746. doi: 10.7759/cureus.84746. eCollection 2025 May.
多点脉冲场消融使用多模态发生器和接触力感应消融导管:与映射慢性猪心的射频消融比较。
Circ Arrhythm Electrophysiol. 2023 Dec;16(12):663-671. doi: 10.1161/CIRCEP.123.012344. Epub 2023 Nov 23.
4
Pulsed Field or Conventional Thermal Ablation for Paroxysmal Atrial Fibrillation.脉冲场或常规热消融治疗阵发性心房颤动。
N Engl J Med. 2023 Nov 2;389(18):1660-1671. doi: 10.1056/NEJMoa2307291. Epub 2023 Aug 27.
5
Thermal Profiles for Focal Pulsed Electric Field Ablation.聚焦脉冲电场消融的热分布特性。
JACC Clin Electrophysiol. 2023 Sep;9(9):1854-1863. doi: 10.1016/j.jacep.2023.05.005. Epub 2023 Jul 19.
6
Pulsed Field Ablation for the Treatment of Atrial Fibrillation: PULSED AF Pivotal Trial.脉冲场消融治疗心房颤动:PULSED AF 关键试验。
Circulation. 2023 May 9;147(19):1422-1432. doi: 10.1161/CIRCULATIONAHA.123.063988. Epub 2023 Mar 6.
7
Preclinical assessment of the feasibility, safety and lesion durability of a novel 'single-shot' pulsed field ablation catheter for pulmonary vein isolation.新型“单次脉冲”电场消融导管用于肺静脉隔离的可行性、安全性和消融灶持久性的临床前评估。
Europace. 2023 Apr 15;25(4):1369-1378. doi: 10.1093/europace/euad030.
8
Paroxysmal Atrial Fibrillation Ablation Using a Novel Variable-Loop Biphasic Pulsed Field Ablation Catheter Integrated With a 3-Dimensional Mapping System: 1-Year Outcomes of the Multicenter inspIRE Study.采用新型可变环双相脉冲场消融导管联合三维标测系统对阵发性心房颤动的消融:多中心 inspIRE 研究的 1 年结果。
Circ Arrhythm Electrophysiol. 2023 Mar;16(3):e011780. doi: 10.1161/CIRCEP.122.011780. Epub 2023 Feb 3.
9
Characteristics of pulsed electric field cardiac ablation porcine treatment zones with a focal catheter.脉冲电场心脏消融猪处理区的特点与焦点导管。
J Cardiovasc Electrophysiol. 2023 Jan;34(1):99-107. doi: 10.1111/jce.15734. Epub 2022 Nov 16.
10
Combined pulsed field ablation with ultra-low temperature cryoablation: A preclinical experience.联合脉冲场消融与超低温冷冻消融:一项临床前经验。
J Cardiovasc Electrophysiol. 2023 Oct;34(10):2124-2133. doi: 10.1111/jce.15701. Epub 2022 Oct 25.